ДИСТРОФИЯ
Дистрофия - (от греч. dys — нарушение, trophe — питание) — качественные изменения химического состава, физико-химических свойств и морфологического вида клеток и тканей организма, связанные с нарушением обмена веществ. К дистрофическим процессам не имеют отношения изменения в метаболизме и структуре клеток, отражающие приспособительную изменчивость организма.
Этиология. Нарушение обменных процессов, приводящее к структурным изменениям тканей, наблюдается при действии многих внешних и внутренних факторов (биологически неполноценное кормление, различные условия содержания и эксплуатации животных, механические, физические, химические и биологические воздействия, инфекции, интоксикации, нарушения крово- и лимфообращения, поражения желез внутренней секреции и нервной системы, генетическая патология и др.). Патогенные факторы на органы и ткани действуют или непосредственно, или рефлекторно через нервно-гуморальную систему, регулирующую обменные процессы. Характер дистрофических процессов зависит от силы, продолжительности и частоты воздействия того или иного болезнетворного раздражителя на организм, а также реактивного состояния организма и вида поврежденной ткани. По существу, дистрофические изменения отмечают при всех болезнях, но в одних случаях они возникают первично и определяют характер болезней, а в других — представляют собой неспецифический или вторичный, сопутствующий заболеванию патологический процесс.
Патогенез. Современные методы исследования (гистохимические, электронно-микроскопические, авторадиографические, биохимические и др.) показали, что в основе любого дистрофического процесса лежит нарушение ферментативных реакций (ферментопатия) в обмене (синтезе и распаде) веществ с повреждением (альтерацией) структуры и функций клеточно – тканевых систем организма. При этом в тканях накапливаются продукты обмена (измененные как количественно, так и качественно), нарушаются физиологическая регенерация (восстановление живой материи прежде всего на молекулярном и ультраструктурном уровнях ее организации) и функции того или иного органа, а также жизнедеятельность организма в целом.
Механизм развития и сущность изменений при разных дистрофиях неодинаковые.
По механизму процесса дистрофических изменений различают: декомпозицию; инфильтрацию; трансформацию и измененный, или извращенный, синтез.
Декомпозиция (от лат. decompositio — перестройка) — изменение ультраструктур, макромолекул и комплексных (белково - жироуглеводных и минеральных) соединений клеточных и тканевых систем. Непосредственные причины такой перестройки — нарушение баланса питательных веществ, метаболитов и продуктов обмена, гипоксия и интоксикация, изменение температуры (лихорадка, простуда), нарушение кислотно-щелочного равновесия (ацидоз, реже алкалоз), окислительно-восстановительного и электролитного потенциала клеток и тканей. В результате изменений основных параметров клеточно-тканевых систем (рН, состояния АТФ-системы и др.) сложные биологические соединения клеточных органелл и макромолекул либо видоизменяются, либо распадаются на более простые соединения, которые становятся доступными для гистохимического исследования. Свободные белки гидролизуются с участием ферментов лизосом или подвергаются денатурации. При этом наряду с первичным повреждением ультраструктур могут возникать вторичные процессы (например, образование сложных соединений типа амилоида, гиалина и т. д.).
Патологическая инфильтрация (от лат. infiltratio — пропитывание) характеризуется отложением и накоплением (депонированием) в клетках и тканях продуктов обмена (белков, липидов, углеводов и др.) и веществ, приносимых с током крови и лимфы («болезни накопления»),
Трансформация (от лат. transformatio — превращение) — процесс химического преобразования соединений в другие, например жиров и углеводов в белки или белков и углеводов в жиры, повышенный синтез гликогена из глюкозы и т. д., с избыточным накоплением вновь образованных соединений.
Измененный синтез каких-либо соединений выражается в усиленном или уменьшенном образовании их с накоплением или обеднением и утратой в тканях, например гликогена, жира, кальция и др. («болезни недостаточности»). Возможен «извращенный» (патологический) синтез с появлением и накоплением в тканях соединений, не свойственных им в условиях нормального обмена, например синтез необычного белка амилоида, гликогена в эпителии почек, кератина в эпителии слезной железы, патологических пигментов и др.
Указанные патогенетические механизмы дистрофий могут проявляться одновременно или последовательно по мере развития процесса.
В морфологическом отношении дистрофии проявляются прежде всего нарушением строения ультраструктур клеток и тканей. В физиологических условиях перестройка органелл клетки и межклеточного вещества сочетается с процессами их восстановления, а при дистрофиях нарушается регенерация на молекулярном и ультраструктурном уровнях (молекулярный морфогенез). При многих дистрофиях в клетках и тканях обнаруживают включения, зерна, капли или кристаллы различной химической природы, которые в обычных условиях не встречаются или их количество увеличивается по сравнению с нормой. В других случаях, наоборот, в клетках и тканях уменьшается количество свойственных им соединений до полного исчезновения (гликогена, жира, минеральных веществ и др.). В обоих случаях клетки и ткани утрачивают характерную для них тонкую структуру (мышечная ткань — поперечную исчерченность, железистые клетки — полярность, соединительная ткань — фибрил-лярное строение и т. д.), а в тяжелых случаях наблюдается дискомп-лексация клеточных элементов (например, нарушается балочное строение печени).
Макроскопические изменения. При дистрофиях изменяются цвет, величина, форма, консистенция и рисунок органов. Изменение внешнего вида органа послужило основанием назвать этот процесс перерождением, или дегенерацией — термином, не отражающим сущность дистрофических изменений.
Функциональное значение дистрофий. Заключается оно в нарушении основных функций органа (например, синтез белка, углеводов, липопротеидов при гепатозе, протеинурия при нефрозе, ослабление сердечной деятельности при дистрофии миокарда и т. д.). После устранения причины, вызвавшей развитие дистрофического процесса, обмен веществ в клетках, тканях и целом организме, как правило, нормализуется, в результате чего орган приобретает функциональную полноценность и обычный внешний вид. Однако тяжелые дистрофические изменения бывают необратимыми, т. е. нарастающая диспропорция между повышенным распадом собственных структур и недостаточным восстановлением заканчивается некрозом их.
Белковые дистрофии — структурно-функциональные нарушения тканей, связанные с изменениями химического состава, физико-химических свойств и структурной организации белков. Возникают они при нарушении равновесия между синтезом и распадом белков в клетках и тканях в результате белковой или аминокислотной недостаточности, при поступлении в ткани чужеродных для организма веществ, а также при патологическом синтезе белков. Нарушения белкового обмена в организме разнообразны. Они могут иметь местное или общее (системное) распространение. По локализации различают нарушения белкового обмена в клетках (клеточные, или паренхиматозные, диспротеинозы), в межклеточном веществе (внеклеточные, или стромально-сосудистые, диспротеинозы) или одновременно в клетках и межклеточном веществе (смешанные диспротеинозы).
Зернистая дистрофия, или мутное набухание, - нарушение коллоидных свойств и ультраструктурной организации клеток с выявлением белка в виде зерен. Это самый частый вид белковых дистрофий.
Причины: инфекционные и инвазионные болезни, неполноценное кормление и интоксикации, расстройства крово- и лимфообращения и другие патогенные факторы.
Патогенез сложен. Ведущий механизм — декомпозиция, в основе которой лежит недостаточность АТФ-системы, связанная с гипоксией, действием токсических веществ на ферменты окислительного фосфорилирования (ферментопатия). В результате этого снижается окислительно-восстановительный потенциал клеток, накапливаются недоокисленные и кислые (ацидоз), реже щелочные (алкалоз) продукты обмена, увеличиваются онкотическо-осмотическое давление и проницаемость мембран. Расстройство электролитного и водного обменов сопровождается набуханием белков клеток, нарушением степени дисперсности коллоидных частиц и устойчивости коллоидных систем, особенно в митохондриях. При этом возрастает активность гидролитических ферментов лизосом. Гидролазы разрывают внутримолекулярные связи путем присоединения молекул воды, вызывая перестройку комплексных соединений и макромолекул. Адсорбция каких-либо токсических веществ в липопротеидных и гликопротеидных комплексах вызывает также их перестройку и распад. Освобождающийся белок, а затем и другие компоненты комплексных соединений (жир и др.) укрупняются, а будучи в изоэлектрическом состоянии, коагулируют с появлением зерен. При этом, возможно, нарушается синтез белка цитоплазмы (молекулярный морфогенез), как это было показано с помощью меченых атомов (С. В. Аничков, 1961).
Наряду с декомпозицией появление зернистости связано также с патологической трансформацией углеводов и жиров в белки, инфильтрацией и резорбцией чужеродных для организма белков (парапротеидов), приносимых током крови (диспротеинемия).
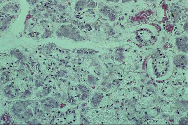
Гистологические признаки зернистой дистрофии наиболее ярко выражены в печени, почках, миокарде, а также в скелетных мышцах (поэтому ее называют еще паренхиматозной). Отмечают неравномерное увеличение объема эпителиальных клеток и мышечных волокон, сдавливающих капилляры, набухание и помутнение цитоплазмы, сглаженность и исчезновение тонкой структуры (щеточной каемки железистого эпителия, поперечной исчерченности в мышечной ткани и т. д.), появление и накопление в цитоплазме мелкой ацидофильной зернистости белковой природы. При этом границы клеток и очертания ядер различимы с трудом. Иногда цитоплазма приобретает пенистый вид, некоторые клетки отделяются от базальной мембраны и друг от друга (дискомплексация). Под воздействием слабого раствора уксусной кислоты или щелочи цитоплазма просветляется, ядро становится вновь заметным. Наряду с растворимостью в слабых кислотах и щелочах наличие белка в зернах определяют гисто-химическими методами, а также с помощью электронного микроскопа.
Электронно-микроскопически зернистая дистрофия характеризуется набуханием и округлением митохондрий, расширением цистерн и трубочек цитоплазматической сети. Митохондрии увеличиваются, мембраны их растягиваются, расслаиваются, гребешки неравномерно утолщаются и укорачиваются, структурные белки митохондрий растворяются с просветлением матрикса и появлением прозрачных вакуолей (вакуолизация митохондрий) или набухают и укрупняются. Распадается также белково-синтезирующий аппарат клетки (полисомы, рибосомы).
Макроскопически пораженные органы увеличены в объеме, дрябловатой консистенции, малокровны, на разрезе ткань выбухает за пределы капсулы, поверхность разреза тусклая, печень и почки серовато-коричневого цвета со сглаженным рисунком, а мышечная ткань (миокард, скелетные мышцы) напоминает ошпаренное кипятком мясо.
Клиническое значение зернистой дистрофии заключается в том, что нарушаются и могут изменяться качественно функции пораженных органов (сердечная слабость при инфекционных болезнях, альбуминурия при поражении почек и т. д.).
Исход зависит от многих причин. Зернистая дистрофия относится к числу обратимых процессов, но если ее причины не устранены, то на высоте развития она может переходить в более тяжелый патологический процесс — в гидропическую, гиалиново-капельную, жировую и другие виды дистрофий с исходом в некроз клетки (так называемая ацидофильная дегенерация, «баллонная» дистрофия или коагуляционный некроз).
Дифференциальная диагностика. Зернистую дистрофию необходимо отличать от физиологического синтеза белков в клетке с накоплением белковой зернистости, связанной с нормальной жизнедеятельностью организма (например, образование гранул секрета в железистом органе) или физиологической резорбцией белка клеткой (например, в почечных канальцах проксимального сегмента). От посмертного изменения органов (трупной тусклости) этот прижизненный процесс отличается ясно выраженным увеличением размеров клетки и органов, а также неравномерностью патологических поражений.
Гиалиново-капельная дистрофия (от греч. hyalos— стекловидный, прозрачный) — внутриклеточный диспротеиноз, характеризующийся появлением в цитоплазме прозрачных оксифильных белковых капель.
Причины: острые и хронические инфекции, интоксикации и отравления (сулемой, солями хрома, урана и т. д.); кроме того, дистрофия может быть результатом аллергических процессов после предварительной сенсибилизации белками. Ее отмечают также при хронических катарах желудочно-кишечного тракта, мочевого пузыря, в актиномикомах и опухолях.
Патогенез - гиалиново-капельной дистрофии состоит в том, что в патологических условиях происходит глубокая денатурация липопротеидов цитоплазмы с выпадением грубой дисперсной фазы вследствие потери белком гидрофильных свойств. В других случаях возможны резорбция и патологическая инфильтрация клетки грубодисперсными чужеродными для организма белками — парапротеидами, поступающими из крови.
Макроскопически гиалиново-капельную дистрофию не диагностируют.
Гистологические изменения встречаются в железистых органах (печень и др.), опухолях, мышечной ткани, а также в очагах хронического воспаления, но особенно часто—в эпителии канальцев почек. При этом в цитоплазме видны более или менее однородные, полупрозрачные капли белка, окрашивающиеся кислыми красителями (например, эозином). По мере накопления капель и слияния их между собой они могут полностью заполнять клетку. Наиболее тяжелые изменения бывают при гломерулонефритах и белковом нефрозе в эпителии извитых канальцев. Подобные же изменения возникают в эпителии надпочечников и бронхов. В хронически воспаленных тканях, преимущественно в плазмоцитах, находят так называемые русселевские, или фуксинофильные, тельца в виде крупных гомогенных, иногда слоистых гиалиновых шаров, которые интенсивно красятся фуксином и после распада клеток лежат свободно в ткани. Электронно-микроскопически отмечают появление гиалиновых капель и вакуолей в цитоплазме, набухание и распад митохондрий, исчезновение полисом и рибосом, разрыв цистерн сети и др.
Клиническое значение гиалиново-капельной дистрофии в том, что она отражает резко выраженную недостаточность органа, в частности почек.
Исход. В связи с необратимой денатурацией плазменного белка гиалиново-капельная дистрофия протекает с исходом в некроз.
Гидропическая (водяночная, вакуольная) дистрофия — нарушение белково-водноэлектролитного обмена клетки с высвобождением внутри клеток воды.
Причины: инфекционные болезни (ящур, оспа, вирусный гепатит и др.), воспалительная инфильтрация тканей, физические, химические и острые токсические воздействия, вызывающие гипоксию и развитие отека, болезни обмена веществ (белковая недостаточность, солевое голодание, гиповитаминозы, например пеллагра, и др.), а также хронические интоксикации и истощения (хронические гастроэнтериты, колиты и др.).
Патогенез. В результате снижения окислительных процессов, недостатка энергии и накопления недоокисленных продуктов обмена связанная вода не только освобождается и задерживается в клетке (интрацеллюлярная вода), но и поступает из тканевой жидкости в клетку (экстрацеллюлярная вода) в связи с повышением коллоидно-осмотического давления и нарушением проницаемости клеточных мембран. При этом ионы калия выходят из клетки, в то время как ионы натрия усиленно проникают в нее вследствие нарушения процессов осмоса, связанных с «ионным насосом». Биохимическая сущность дистрофий заключается в активизации гидролитических ферментов лизосом (эстераз, глюкозидаз, пептидаз и др.), которые разрывают внутримолекулярные связи путем присоединения воды, вызывая гидролиз белков и других соединений.
Гистологические изменения часто устанавливают в эпителиальной ткани кожного покрова, печени, почек, надпочечников, в нервных клетках, мышечных волокнах и лейкоцитах. В них наблюдают признаки зернистой дистрофии, частичного цитолиза с образованием в цитоплазме вакуолей (вакуольная дистрофия), наполненных жидкостью, содержащей белок и ферменты. Иногда белок цитоплазматической жидкости свертывается под влиянием солей кальция. Дальнейшее растворение цитоплазмы и увеличение количества воды в ней вызывают более выраженный внутриклеточный отек, развитие которого может привести к кариоцитолизу. Клетка при этом увеличивается, ядро и цитоплазма растворяются, сохраняется лишь ее оболочка. Клетка приобретает вид баллона (баллоннаядистрофия). Электронно-микроскопически отмечают расширение и разрыв цистерн и трубочек, набухание и лизис митохондрий, рибосом и других органелл, а также растворение основной плазмы.
Макроскопически органы и ткани изменяются мало, за исключением отечности и бледности их. Вакуольную дистрофию определяют только под микроскопом.
Клиническое значение гидропической дистрофии в том, что понижаются функции пораженного органа.
Исход. Вакуольная дистрофия обратима при условии, если нет полного растворения цитоплазмы клетки. При сохранении ядра и части цитоплазмы нормализация водно-белкового и электролитного обменов приводит к восстановлению клетки. При значительном разрушении органелл с развитием выраженного отека (баллонной дистрофии) наступают необратимые изменения (колликвационный некроз).
Дифференциальная диагностика. Вакуольную дистрофию необходимо отличать от жировой, используя гистохимические методы определения жира, так как в процессе изготовления гистопрепаратов с применением растворителей (спирта, эфира, ксилола, хлороформа) жировые вещества извлекаются и на их месте также появляются вакуоли.
Роговая дистрофия или патологическое орговение — избыточное (гиперкератоз) или качественно нарушенное (паракератоз, гипокератоз) образование рогового вещества. Кератин окрашивается эозином в розовый цвет, а пикрофуксином по Ван Гизону — в желтый. Он обладает осмиофильностью и высокой электронной плотностью.
Причины: нарушение обмена веществ в организме — белковая, минеральная (недостаток цинка, кальция, фосфора) или витаминная недостаточность (гиповитаминоз А, особенно у птиц, крупного рогатого скота и свиней, пеллагра и др.); инфекционные болезни, связанные с воспалением кожи (дерматофитозы, чесотка, парша и др.); физические и химические раздражающие воздействия на слизистые оболочки и кожу; хроническое воспаление слизистых оболочек; иногда наследственные заболевания (ихтиоз — образование роговых наслоений на коже, напоминающих рыбью чешую или панцирь черепахи). Избыточное образование рога наблюдают в бородавках, канкроиде (ракоподобной опухоли) и дермоидных кистах.
Патогенез роговой дистрофии связан с избыточным или нарушенным синтезом керотина в эпидермисе кожи и в ороговевшем эпителии слизистых оболочек. Образование рогового вещества в слизистых оболочках пищеварительного тракта, верхних дыхательных путей и половых органов сопровождается заменой железистого эпителия ороговевающим плоским многослойным.
Паракератоз (от греч. para — около, keratos — роговое вещество) выражается в утрате способности клеток эпидермиса вырабатывать кератогиалин.
Гистологически при паракератозе выявляют утолщение эпидермиса в результате гиперплазии клеток мальпигиевого слоя и избыточного накопления рогового вещества. В слизистых оболочках кожного типа и в эпидермисе кожи возможно сосочковое утолщение эпидермиса из-за гиперплазии слоя шиловидных клеток и удлинения шиловидных отростков. Такие поражения называют акантозом (от греч. akantha— шип, игла).
При пара- и гипокератозе выражена атрофия зернистого слоя, роговой слой рыхлый, с дискомплексированными клетками, имеющими палочковидные ядра (неполное ороговение).
Макроскопически в местах патологического ороговения (распространенного или местного) кожа утолщена, с избыточным разрастанием рогового слоя. Она утрачивает эластичность, становится шероховатой и жесткой, образуются сухие утолщения и мозоли. При паракератозе роговой слой утолщен, рыхлый, с повышенным слущиванием роговых чешуек, иногда выпадением волос. У взрослых животных, особенно у молочных коров, отмечают неправильный рост копытного рога, который утрачивает глазурь и растрескивается.
При лейкоплакии (от греч. leukos — белый, plax, axos — плита) на слизистых оболочках образуются различного размера очаги ороговевшего эпителия в виде возвышающихся тяжей и бляшек серо-беловатого цвета.
Клиническое значение патологического ороговения связано с развитием инфекционных осложнений. Лейкоплакия может стать источником развития эпителиальных опухолей (папиллом, реже рака).
Исход роговой дистрофии зависит от течения основной болезни. При устранении причины, вызывающей патологическое ороговение, поврежденная ткань может восстанавливаться. Новорожденные животные, страдающие ихтиозом, обычно погибают в первый день жизни.
Это — нарушения белкового обмена в межклеточном веществе. Сущность их заключается в патологическом синтезе белков клетками мезенхимального происхождения, в дезорганизации (распаде) основного вещества и волокнистых структур с повышением сосудисто-тканевой проницаемости и накоплением в межклеточном веществе соединительной ткани белков крови и лимфы, а также продуктов метаболизма. Эти процессы могут быть местными или распространенными. К ним относятся мукоидное набухание, фибриноидное набухание (фибриноид), гиалиноз и амилоидоз.
Мукоидное набухание - начальная стадия дезорганизации соединительной ткани (стромы органов, сосудов), которая характеризуется нарушением связи с протеинами и перераспределением кислых гликозоаминогликанов (гиалуроновой, хондроитинсерной кислот и др.).
Причины: кислородное голодание, интоксикации, некоторые болезни обмена веществ (гиповитаминозы С, Е, К) и эндокринной системы (микседема), аллергические острые и хронические болезни соединительной ткани и сосудов («коллагеновые болезни», ревматизм, атеросклероз и др.), в развитии которых этиологическую роль играет гемолитический стрептококк группы А, а также инфекционные болезни (отечная болезнь поросят, рожа свиней и др.).
Патогенез изменений при мукоидном набухании заключается в нарушении синтеза межклеточного вещества или в его поверхностном распаде под действием гиалуронидазы экзогенного (гемолитический стрептококк и др.) или эндогенного происхождения, а также в условиях нарастающей гипоксии ткани с развитием ацидоза среды. Это ведет к деполимеризации белково-полисахаридного комплекса и накоплению высвобожденных кислых гликозоаминогликанов (особенно гиалуроновой и хондроитинсерной кислот), которые, обладая гидрофильными свойствами, вызывают повышение тканевой и сосудистой проницаемости, серозный отек ткани с пропитыванием ее белками плазмы (альбуминами, глобулинами и гликопротеидами).
Микроскопически мукоидное набухание соединительной ткани определяется базофилией и метахромазией волокон и основного вещества (например, толуидиновый синий окрашивает кислые гликозоаминогликаны в красный цвет, пикрофуксин — не в красный, а в желто-оранжевый цвет). Сущность метахромазии (от греч. metha — перемена, chromasia — окрашивание) состоит в способности гликозоаминогликанов вызывать полимеризацию красителя. И если краситель как мономер имеет синий цвет, как димер, тример — фиолетовый, то как полимер — красный (таутомерия). Изменения молекулярной структуры коллагеновых волокон сопровождаются их набуханием, неравномерно выраженным увеличением объема и размытостью контуров и структуры, разволокнением, а изменение межуточного вещества — скоплением Т-лимфоцитов и гистиоцитов.
Макроскопически орган остается без изменения, но опорно-трофические и барьерные функции соединительной ткани нарушаются.
Исход. Возможно полное восстановление поврежденных структур или переход в фибриноидное набухание.
Фибриноидное набухание— глубокая дезорганизация соединительной ткани стромы органов, сосудов, характеризующаяся усиленной деполимеризацией белков-полисахаридных комплексов основного вещества и фибриллярных структур с резким повышением сосудисто-тканевой проницаемости. В связи с плазморрагией соединительная ткань пропитывается белками крови (альбуминами, глобулинами, гликопротеидами, фибриногеном). В результате преципитации или химического взаимодействия этих соединений образуется сложное в химическом отношении неоднородное вещество — фибриноид, в состав которого входят белки и полисахариды распадающихся коллагеновых волокон, основной субстанции и плазмы крови, а также клеточные нуклеопротеиды.
Причины: те же самые аллергические, инфекционные факторы, нейротрофические нарушения, которые вызывают мукоидное набухание, но действуют с большей силой или продолжительностью. Как местный процесс фибриноидное набухание наблюдается в очагах хронического воспаления.
Патогенез. Фибриноидные изменения, будучи последующей стадией мукоидного набухания, развиваются в том случае, если процесс дезорганизации соединительной ткани углубляется, происходят распад не только основного вещества, но также коллагеновых и других фибриллярных структур, деполимеризация гликозоаминогликанов, распадающихся коллагеновых волокон и пропитывание их плазменными белками, в том числе грубодисперсным белком — фибриногеном, являющимся обязательным компонентом фибриноида. При этом нарушается фибриллогенез, особенно биосинтез кислых гликозоаминогликанов в мезенхимных клетках, а также наблюдается пролиферация Т-лимфоцитов и гистиоцитов. Химическое взаимодействие и полимеризация продуктов распада основного вещества, коллагена и белков плазмы сопровождаются образованием необычных белково-полисахаридных комплексов фибриноида.
Гистологические изменения протекают в две стадии: фибриноидное набухание и фибриноидный некроз. При фибриноидном набухании отмечают распад основного вещества, набухание и частичный распад коллагеновых и эластических волокон, плазморрагию с пропитыванием соединительной ткани альбуминами, глобулинами плазмы и фибриногеном, который выявляется гистохимическими и иммунофлуоресцентными методами. Коллаген, образуя с фибриногеном и другими веществами плотные нерастворимые соединения, изменяет свои тинкториальные свойства: он становится эозино-, пиронино- и аргирофильным, пикрофуксином красится в желтый цвет, ШИК-реакция резко положительная. Процесс завершается полной деструкцией соединительной ткани с развитием фибриноидного некроза. При этом ткань приобретает вид зернисто-глыбчатой или аморфной массы, в состав которой входят продукты распада коллагеновых волокон, основного вещества и плазменных белков. При полной деполимеризации свободных гликозоаминогликанов метахромазия обычно не выражена. Вокруг некротических масс развивается продуктивное воспаление с образованием неспецифических гранулем, состоящих из Т-лимфоцитов и макрофагов.
Макроскопически фибриноидные изменения соединительной ткани малозаметны, их обнаруживают под микроскопом.
Клиническое значение фибриноидного набухания вытекает из нарушения или выключения функции пораженного органа.
Исход связан с течением основной болезни, при которой развивается этот процесс. Фибриноидные массы могут резорбироваться, замещаться соединительной тканью, которая подвергается склерозу или гиалинозу.
Гиалиноз (от греч. hyalos — прозрачный, стекловидный), или гиалиновая дистрофия,— своеобразное физико-химическое превращение соединительной ткани в связи с образованием сложного белка — гиалина, сходного по морфологическим признакам с основным веществом хряща. Гиалин придает тканям особое физическое состояние: они становятся гомогенными, полупрозрачными и более плотными. В состав гиалина входят гликозоаминогликаны и белки соединительной ткани, плазмы крови (альбумины, глобулины, фибриноген), а также липиды, соли кальция. Данные электронной микроскопии говорят о том, что в составе гиалина имеется разновидность фибриллярного белка (фибрина). Гиалин стоек к действию кислот, щелочей, ферментов, интенсивно окрашивается кислыми красителями (эозином, кислым фуксином или пикрофуксином) в красный или желтый цвет, дает ШИК-положительную реакцию.
Причины. Гиалиноз развивается в исходе различных патологических процессов: плазматического пропитывания, мукоидного и фибриноидного набухания соединительной ткани. Физиологический прототип гиалиноза — старение.
Системный гиалиноз сосудов и соединительной ткани наблюдается при коллагеновых болезнях, артериосклерозе, инфекционных и токсических болезнях, хроническом воспалении, болезнях, связанных с нарушением белкового обмена, особенно у высокопродуктивных коров и свиней. Выраженный гиалиноз сосудов встречается при хроническом гломерулонефрите, особенно у собак. Наряду с этим местный гиалиноз (склероз) встречается во вновь образованной соединительной (рубцовой) ткани.
Патогенез. В возникновении и развитии системного гиалиноза важную роль играют гипоксия тканей, повреждение эндотелия и базального слоя сосудистой стенки, нарушения синтеза и структуры ретикулярных, коллагеновых, эластических волокон и основного вещества соединительной ткани. При этом происходят повышение сосудистой и тканевой проницаемости, пропитывание ткани плазменными белками, их адсорбция с образованием сложных белковых соединений, преципитация и уплотнение белковых масс.
В развитии гиалиноза участвуют также иммунологические механизмы, поскольку доказано, что гиалиновые массы обладают некоторыми свойствами иммунных комплексов антиген—антитело.
Гистологически гиалин обнаруживают в межклеточном веществе соединительной ткани. Системный гиалиноз стенок кровеносных сосудов и соединительной ткани проявляется образованием гиалина в основном веществе интимы и периваскулярной соединительной ткани артерий и капилляров. В конечном итоге образуется гомогенная плотная белковая масса, окрашивающаяся кислыми красителями. Хотя гиалин является индифферентным веществом, но накопление его сопровождается утолщением стенки сосуда, вытеснением медии гиалиновой массой с сужением просвета, вплоть до полного закрытия (облитерации) его в мелких сосудах. Некротизация тканей, подвергающихся гиалинозу, может сопровождаться кальцинацией их, разрывами стенки сосуда с возникновением кровоизлияний и тромбозов. В железистых органах гиалиноз соединительной ткани сопровождается утолщением базальных мембран желез, сдавливанием железистого эпителия с последующей его атрофией. Местный гиалиноз встречается в очагах хронического воспаления, во вновь образованной соединительной ткани (соединительнотканных капсулах и старых рубцах). При этом коллагеновые волокна набухают, сливаются в однородные ткани, а клетки атрофируются.
Макроскопически органы и ткани, пораженные гиалино-зом в слабой степени, не имеют заметно выраженных изменений, процесс обнаруживают лишь под микроскопом. При резко выраженном гиалинозе сосуды теряют эластичность, а пораженные органы становятся бледными и плотными. При выпадении солей кальция в гиалиновые массы они еще более уплотняются.
Функциональное значение гиалиноза зависит от степени и распространенности его. Системный гиалиноз вызывает нарушение функции органов, особенно их сосудов, с развитием атрофии, разрывы и другие тяжелые последствия. Местный гиалиноз может не вызывать существенных функциональных изменений.
Исход различный. Установлено, что гиалиновые массы могут разрыхляться и рассасываться или ослизняться, например, в рубцах, в так называемых келоидах. Однако в большинстве случаев распространенный гиалиноз проявляется как необратимый процесс.
Дифференциальная диагностика. Патологический гиалиноз следует отличать от физиологического, который проявляется в процессе инволюции и нормального старения тканей (например, инволюция желтого тела, сосудов матки, молочной железы и т. д.). При этом гиалиноз матки и молочной железы обратим в связи с усилением функции органа. Внешне с гиалинозом сходно гиалино-подобное превращение мертвых тканей, продуктов секреции (например, образование гиалиновых цилиндров при нефрозе-нефрите, гиалиновых тромбов, гиалинизация фибрина и т. д.).
Амилоидоз (амлоидная дистрофия) характеризуется патологическим синтезом своеобразного фибриллярного белка (преамилоида) в клетках ретикулоэндотелиальной системы с последующим образованием амилоида — сложного гликопротеида. Р. Вирхов (1859) принял этот гликопротеид за крахмалоподобное соединение (amylum — крахмал) из-за характерного окрашивания его в синий цвет йодом и серной кислотой. В связи с прочностью химических связей амилоид устойчив к действию кислот, щелочей, ферментов, противостоит гниению. Кислые гликозоаминогликаны (хондроитинсульфат) с различной степенью полимеризации придают амилоиду свойство метахромазии, что отличает его от гиалина и других белков. Амилоид окрашивается генциан- и крезилвиолетом в розово-красный цвет на фиолетовом фоне ткани. Йодгрюн также окрашивает амилоид в красный, а конго красный — в буровато-коричневый цвет. Конго красный, введенный в кровь, способен накапливаться в амилоидной массе in vivo, что используется для прижизненной диагностики амилоидоза. Амилоидные массы дают ШИК-положительную реакцию. Химический состав амилоида может быть различен. В связи с этим некоторые красочные реакции амилоида (например, метахромазия) выпадают (парамилоид).
Причины системного амилоидоза: воспалительные, нагноительные, некротические процессы любого происхождения и интоксикации. В этих случаях амилоидоз развивается как осложнение болезни (вторичный или типичный амилоидоз), вызванное распадом тканевого белка (например, при туберкулезе, злокачественных опухолях, неспецифических воспалительных процессах с нагноением и др.). Вторичный амилоидоз наблюдается у лактирующих высокопродуктивных коров, птиц, пушных зверей, лошадей («сенная болезнь») и др. Причины атипичного первичного (идиопатического) и старческого амилоидоза, характерного для человека, неизвестны. Генетический амилоидоз представляет собой наследственную энзимопатию или аномалию (мутацию) в генетическом аппарате клеток РЭС. В эксперименте на лабораторных животных амилоидоз можно вызвать парентеральным введением чужеродного белка (казеина), а также путем создания очагов хронического нагноения. В связи с длительным парентеральным введением чужеродного белка развивается амилоидоз у лошадей — продуцентов иммунных сывороток.
Причины местного амилоидоза: хронические воспалительные процессы с застоем крови и лимфы.
Патогенез амилоидоза сложный.
По теории диспротеиноза (К. Apitz, Е. Randerath, 1947) амилоид возникает на основе нарушенного белкового синтеза с появлением в крови парапротеинов или параглобулинов и развитием диспротеине-мии и гипергамма-глобулинемии. Эти продукты грубодисперсной белковой фракции плазмы крови, выделяясь через эндотелиальный барьер, прежде всего в селезенке, печени и почках, вступают в соединение с кислыми гликозоаминогликанами, которые освобождаются под влиянием плазменных белков и тканевых гиалуронидаз, и образуют амилоид.
По теории аутоиммунитета (Loeschke, Letterer, 1962) решающее значение в образовании амилоида имеют измененная реактивность организма и аутоиммунные процессы. При многих процессах, осложняющихся амилоидозом, накапливаются продукты распада тканей, лейкоцитов, бактерий, обладающих антигенными свойствами. Возможно, что нарушения реакций в иммунной системе, связанные с избытком антигена и недостатком антител, приводят к появлению в крови специфических для тканевых белков преципитинов и фиксации белкового комплекса в местах образования антител (Letterer). Эта теория сохранила свое значение для экспериментального и вторичного амилоидоза. Механизм же развития идиопатического, генетического и старческого амилоидоза она не объясняет.
Теория клеточного локального генеза (G.Teilum, 1962) рассматривает амилоид как продукт белкового синтеза клетками мезенхималь-ной системы с извращенным метаболизмом («мезенхимальная болезнь»). Она подтверждается избирательностью поражения этой системы и внутриклеточным образованием фибрилл преамилоида клетками мезенхимальной природы.
Выдвигается новая мутационная теория амилоидоза (Е. Benditt, N. Eriksen, 1977; В. В. Серов, И. А. Шамов, 1977), которая может стать универсальной для понимания патогенеза всех известных его форм с
учетом разнообразия факторов, вызывающих мутацию. По этой теории мутирующиеся клетки не распознаются иммунокомпетентной системой и не элиминируются, так как амилоидные фибриллы являются чрезвычайно слабыми антигенами. Появляющаяся реакция резорбции амилоида (амилоидоклазия) в самом начале его образования бывает недостаточной и быстро подавляется. Возникают иммунологическая толерантность (терпимость) организма к амилоиду и необратимое развитие амилоидоза. Мутационная теория объясняет близость амилоидоза к опухолевым процессам.
Гистологические и макроскопические изменения зависят от причины образования, отношения к различным соединительнотканным клеткам и локализации амилоида.
При общем типичном амилоидозе, наиболее распространенном у сельскохозяйственных животных, амилоид выпадает по ходу ретикулярных волокон сосудистых и железистых мембран и в периретикулярные пространства паренхиматозных органов (периретикулярный или паренхиматозный амилоидоз). Поражаются печень, селезенка, почки, реже надпочечники, гипофиз, собственная оболочка желез кишечника, интима капилляров и артериол. В соединительнотканных клетках накапливаются преамилоидные фибриллы, исчезают рибосомы, гипертрофируются митохондрии (гигантские митохондрии), а также пластинчатый комплекс Гольджи (А. Поликар, М. Бесси, 1970).
Накопление амилоида в ткани сопровождается атрофией и гибелью паренхиматозных элементов органа.
Амилоидоз печени характеризуется образованием амилоида в вокруг синусоидном пространстве (пространстве Диссе) между звездчатыми ретикулоэндотелиоцитами и печеночными клетками (рис. 8). Амилоид отмечают также в стенках междольковых капилляров и артериол. По мере накопления амилоидного вещества печень увеличивается в размере, приобретает бледно-коричневый цвет, более плотную, а у лошадей дряблую консистенцию. У лошадей она может достигать массы 16—33 кг, при этом около 10% случаев заканчиваются разрывом печени в связи с расплавлением стромы (А. П. Гиндин, 1959), появляются кровоподтеки, которые нередко заканчиваются смертельным кровоизлиянием в брюшную полость.
Амилоидоз селезенки проявляется в двух формах: фолликулярной и диффузной. В первом случае амилоид откладывается в ретикулярную ткань фолликулов, начиная с их периферии. Ретикулярная и лимфоидная ткани фолликулов атрофируются и замещаются амилоидными массами. Макроскопически амилоидно измененные фолликулы на разрезе имеют вид полупрозрачных зерен, которые напоминают зерна разваренного саго («саговая селезенка»). Во втором •случае амилоид выпадает более или менее равномерно по всей ретикулярной строме органа и под эндотелием синусов. При диффузном амилоидозе селезенка увеличена в размере, плотной консистенции, а у лошадей тестоватой; поверхность разреза гладкая, светло-красно-коричневая, напоминает собой сырую ветчину («сальная», или «ветчинная», селезенка). У лошадей возможны разрыв органа и кровоизлияния.
В почках амилоид откладывается в первую очередь в мезангиуме и за эндотелием капиллярных петель и артериол клубочков, а также в ретикулярной строме коркового и мозгового веществ, в стенках артериол и мелких артерий, реже в базальном слое под эпителием канальцев. Почечные клубочки постепенно атрофируются, эпителий канальцев, кроме того, подвергается зернистой и гиалиново-капельной дистрофии. По мере накопления амилоида почки увеличиваются в размере, становятся бледно-коричневыми, восковидными, суховатыми. При изолированном поражении почечных клубочков они имеют вид серовато-красных крапинок.
В других органах (надпочечники, гипофиз, кишечник) амилоид откладывается в ретикулярной строме и базальном слое сосудов и желез. В связи с тем что органы при амилоидозе приобретают восковой или сальный вид, венгерский патолог К. Рокитанский в 1844 г. описал эти изменения под названием сальной болезни.
Первичный атипичный амилоидоз с системным поражением адвентиции сосудов среднего и крупного калибров, миокарда, попереч-нополосатых и гладких мышц, желудочно-кишечного тракта, легких, нервов, кожи у сельскохозяйственных животных — сравнительно редко"» явление. Его отмечают при болезнях соединительной ткани ин-фекционно-аллергического происхождения (ревматизм и др.), вирусном плазмоцитозе и др. При этом амилоид обнаруживается главным образом в стенках капилляров и артерий, у плазмалемм фибробластов и коллагеновых волокон (периколлагеновый амилоидоз). Этот амилоид не всегда дает реакцию метахромазии (парамило-ид) и проявляет склонность к развитию клеточно-пролиферативной реакции с образованием узловатых разращений.
К редким атипическим формам амилоидоза относится местный амилоидоз с отложением амилоидных масс в соединительную ткань и в стенку сосудов на изолированном участке органа. Его встречают в альвеолах легких при хронической пневмонии, в слизистой оболочке носовой полости у лошадей, в предстательной железе у старых животных (собаки и др.), в центральной нервной системе на месте дистрофически измененных и погибших нервных клеток, а также в слизистых оболочках других органов.
Функциональное значение амилоидоза связано с развитием атрофии и гибелью паренхиматозных клеток и прогрессирующей недостаточности органа (печеночная, почечная), расстройством крово- и лимфообращения и возможностью разрыва органа (в частности, у лошадей), сопровождающегося иногда смертельным кровотечением.
Исход общего амилоидоза обычно бывает неблагоприятным. Однако имеются экспериментальные, клинические и патоморфо-логические данные о том, что амилоидные массы могут рассасываться при участии гигантских клеток, если причина его образования устранена (М. Н. Никифоров, А. И. Струков, Б. И. Мигунов, 1971). У животных амилоидоз относится к числу необратимых процессов.
Смешанные диспротеинозы— нарушения обмена сложных белков: хромопротеидов (эндогенных пигментов), нуклеоп-ротеидов, гликопротеидов и липопротеидов. Они проявляются структурными изменениями как в клетках, так и в межклеточном веществе.
Патология пигментации. Все органы и ткани имеют определенный цвет, который зависит от наличия в них окрашенных соединений (пигментов). В тканях они откладываются в растворимой, зернистой или кристаллической форме. Одни из них образуются в самом организме (эндогенные пигменты) и связаны с определенными типами обмена (белков, жиров и т. д.), другие поступают в организм извне (экзогенные пигменты).
Эндогенные пигменты принято делить натри группы: пигменты, возникающие при распаде гемоглобина, — гемоглобиногенные пигменты; производные аминокислот тирозина и триптофана — протеиногенные, тирозинтриптофановые пигменты; связанные с обменом жиров - липидогенные пигменты.
Нарушения в нормальной пигментации органов и тканей проявляются повышенным образованием пигментов в тканях, отложением их в необычных местах, недостаточным образованием с частичной или полной депигментацией нормальных органов. Изменение цвета - один из важных показателей состояния внутренней среды организма и нередко имеет диагностическое значение.
Гемоглобиногенные пигменты образуются в результате физиологического и патологического распада эритроцитов, в состав которых входит высокомолекулярный хромопротеид гемоглобин, придающий крови специфическую окраску. Часть эритроцитов в результате физиологического отмирания (ежедневно около 1/30 их числа) расщепляется путем внутрисосудистого гемолиза с отщеплением гемоглобина и поглощением его, осколков эритроцитов или всей клетки (эритрофагия) макрофагами мононуклеарно-макрофа-гальной системы (ММС). В этих клетках происходит ферментативное (гидролитическое) расщепление гемоглобина с образованием пигментов: ферритина, гемосидерина, билирубина и др.
Ферритин - резервный железопротеид. В нем содержится приблизительно 23% железа, которое в форме гидрата окиси образует с фосфатными группами специфического белка (апоферритина) комплексное соединение. Образуется из пищевого железа в слизистой оболочке кишечника и поджелудочной железе и при распаде эритроцитов и гемоглобина в селезенке, печени, костном мозге и лимфоузлах. В этих органах его выявляют гистохимической реакцией на берлинскую лазурь. Кристаллы чистого ферритина обнаруживают в печени, почках и в других паренхиматозных органах и клетках ММС.
Так как ферритин обладает вазопаралитическим действием, то повышение его концентрации в крови (ферритинемия) способствует развитию необратимого шока и коллапса. Избыточное накопление ферритина в клетках ММС сопровождается образованием крупных пигментных гранул гемосидерина, в состав которого входит ферритин.
Гемосидерин (от греч. haima — кровь, sideros — железо) в норме образуется при распаде гемоглобина или эритроцитов в клетках ММС селезенки, а также в небольшом количестве в костном мозге, отчасти в лимфатических узлах.
В физико-химическом отношении гемосидерин представляет собой соединение коллоидной гидроокиси трехвалентного железа с белками, гликопротеидами и липидами клетки. Откладывается в цитоплазме в виде аморфных, сильно преломляющих свет зерен золотисто" желтого или коричневого цвета. При распаде пигментированных клеток может локализоваться внеклеточно. Наличие железа отличает гемосидерин от других сходных с ним пигментов. В гистохимической реакции Перлса гемосидерин вступает в соединение с железосинеродистым калием (желтой кровяной солью) в присутствии соляной кислоты с образованием железосинеродистого железа («берлинской лазури»), Суданом черным в нем выявляют липидный, а ШИК-реакцией—углеводный компоненты. Пигмент растворим в кислотах, нерастворим в щелочах, спирте и эфире; не обесцвечивается под действием перекиси водорода; чернеет от сернистого аммония, а при последующей обработке по методу Перлса дает реакцию с синим окрашиванием (турнбулиева синь).
При повышении интраваскулярного гемолиза возрастают образование и концентрация растворенного гемоглобина в крови (гемог-лобинемия), происходит выделение его с мочой (гемоглобинурия), увеличиваются синтез и накопление пигмента в клетках мононукле-арно-макрофагальной системы почек, легких и других органов, где в норме он отсутствует. Кроме того, пигмент обнаруживают в эпителиальных клетках выделительных органов, где одновременно накапливается и ферритин, особенно в паренхиматозных клетках печени.
Такой распространенный патологический процесс называют общим гемосидерозом. При нем селезенка, печень, костный мозг и лимфоузлы приобретают ржаво-коричневый цвет. Поскольку он всегда свидетельствует о патологическом внутрисосудистом гемолизе, наблюдаемом при сепсисе, сибирской язве, анемии, кровопаразитарных болезнях, отравлении мышьяком, фосфором и др., то его выявление имеет диагностическое значение.
Органный, или местный, гемосидероз, обусловленный внесосудистым (экстраваскулярным) гемолизом, наблюдают при кровоизлияниях. Фрагменты эритроцитов и целые клетки захватываются лейкоцитами, гистиоцитами, ретикулярными, эндотелиальными и эпителиальными клетками (сидерофагами), в которых синтезируется гемосидерин, придающий органам или его участкам буро-ржавый цвет (например, легким при хронической застойной гиперемии с развитием бурой индурации или в геморрагических инфарктах). В организме сидерофаги могут мигрировать и накапливаться в других органах, особенно часто в регионарных лимфоузлах. В крупных кровоизлияниях на периферии очага в живых клетках отмечают гемосидерин, а в центре его среди погибших клеток выявляют гематоидин.
Гематоидин образуется при распаде эритроцитов и гемоглобина внутриклеточно, и в растворенной форме его обычно не обнаруживают. Но при больших концентрациях в старых очагах кровоизлияний (в кровоподтеках, гематомах, инфарктах в стадии организации и т.д.), после гибели клеток (среди некротических масс центральных участков кровоизлияний, а также при распаде крови вне организма) он выпадает в виде ромбических или игольчатых кристаллов, образующих своеобразные фигуры звездочек, метелок, снопов и т. д., реже угловатых зерен или аморфных глыбок золотисто-желтого цвета, придавая вместе с гемосидерином соответствующую окраску этим очагам. В виде аморфной зернистости или глыбок его встречают и внутри гепатоцитов, звездчатых ретикулоэндотелиоцитов и особенно в эпителии мочевых канальцев при нарушенной функции или избыточном его образовании. В основе гематоидина лежит протопорфирированное кольцо гема, связанное с белками, но в нем в отличие от гемосидерина отсутствует железо. Пигмент растворяется в щелочах, дает положительную реакцию Гмелина (появление зеленой, затем синей или пурпурной окраски под воздействием концентрированных азотной и серной кислот). Обнаружение его имеет диагностическое значение. Химически гематоидин идентичен билирубину.
Билирубин образуется в результате разрушения эритроцитов и гемоглобина в клетках мононуклеарно-макрофагальной системы печени, селезенки, костного мозга и лимфоузлов. При распаде протопорфириновое кольцо гема теряет гидроокись железа и превращается в биливердин, а при обратимом восстановлении его образуется билирубин. Пигмент обладает такими же химическими свойствами, что и гематоидин. Легко окисляясь, он дает реакцию Гмелина. В крови билирубин находится в соединении с белками плазмы, но может откладываться в цитоплазме клеток и в тканях в виде мелких зерен или кристаллов желтовато-зеленого цвета. В чистом виде его выделяют в виде красноватых и желтоватых кристаллов. Обмен его тесно связан с органами кроветворения, с кровью, в плазме которой в норме содержится 0,3—0,6 мг % его, и с печенью, откуда он выделяется в водорастворимой форме в двенадцатиперстную кишку в составе желчи. Часть пигмента из толстого кишечника снова поступает в кровьи печень, а часть превращается в кишечнике в стеркобелин и выводится из организма. Кроме того, из крови он выводится с мочой в виде уробилина.
Нарушение обмена билирубина в организме может быть общим и местным. Общее увеличение количества билирубина в сыворотке крови с желтым окрашиванием всех органов, особенно склеры глаз, слизистых и серозных оболочек, интимы сосудов, называется желтухой. В органах выделения билирубина (в паренхимных клетках")? звездчатых ретикулоэндотелиоцитах печени, а также в эпителии почечных канальцев и в их просветах) обнаруживают зерна и глыбки пигмента. Различают три вида желтухи: гемолитическую, паренхиматозную (гепатоцеллюлярную) и механическую (застойную).
Гемолитическую желтуху отмечают при заболеваниях крови (анемии, гемобластозы и др.), инфекциях и интоксикациях, вызывающих распад эритроцитов (эритролиз) с образованием избыточного количества билирубина в клетках мононуклеарно-макрофагальной системы (гиперфункциональная желтуха). При этом, как было указано выше, образуется повышенное количество гемосидерина с развитием общего гемосидероза. Билирубин, не будучи полностью выделен печенью и тем более почками (поскольку внепеченочный билирубин тесно связан с белками плазмы и не фильтруется клубочками), накапливается в крови в избыточном количестве (билирубинемия) и вызывает желтое окрашивание тканей.
Гемолитическую желтуху как физиологическое явление, связанное с повышенным распадом эритроцитов крови плода сразу же после рождения, наблюдают в организме (особенно у детей) в первые дни жизни. Как самостоятельное заболевание гемолитическое происхождение имеет желтуха новорожденных.
Будучи врожденным заболеванием органов кроветворения и крови, гемолитическая желтуха новорожденных связана с резус- и групповой несовместимостью крови плода и матери. Резус-фактор вызывает гемолиз в связи с изменением физико-химических свойств эритроцитов. При этом образующийся билирубин, растворяясь в липидах, часто накапливается в тканях головного мозга, богатых липидами, вызывая гибель ганглиозных клеток базальных ядер головного мозга (ядерная желтуха). Подобное заболевание описано также у животных как последствие несовместимости крови родителей (K.Potel.1970).
Паренхиматозная, или гепатоцеллюлярная, желтуха проявляется при болезнях печени с нарушением физиологического механизма секреции билирубина печеночными клетками (инфекционный гепатит, лептоспироз, инфекционный энцефаломиелит лошадей, сепсис, токсическая дистрофия печени, вызванная отравлением фосфором, мышьяком, хлороформом и др.). Реже встречается врожденная форма паренхиматозной желтухи в связи с генетической ферментопатией (нарушением механизма соединения билирубина с глюкуронидами или транспорта его через мембраны гепатоцитов). Желтуха носит, по существу, смешанный характер, так как гипербилирубинемия характеризуется накоплением билирубина, связанного как с белками плазмы, так и с глюкуронидами, из-за неспособности поврежденных гепатоцитов выделять билирубин и желчь в целом в желчные капилляры. Последние поступают в кровеносные и лимфатические сосуды, придавая желтую окраску органам и тканям, особенно печени. Микроскопически наряду с некоторой дезорганизацией структуры долек и балок печени, особенно их центров, в дистрофически измененных печеночных, а также в купферовских клетках обнаруживают зерна и глыбки билирубина. Последний отмечают в клетках мононуклеарно-макрофагальной системы и других органов (в селезенке, почках, миокарде и др.).
Механическая, или застойная, желтуха появляется в результате механических препятствий оттоку желчи из системы желчных протоков в связи с сужением или закрытием их просвета из-за хронической застойной гиперемии, набухания слизистой оболочки при воспалении, опухолях, а также Рубцовых стягиваний, закупорки инородными телами, желчными камнями и др.
Застой желчи сопровождается проникновением ее в лимфатические пространства и кровеносные капилляры с появлением желчи в крови (холемия). Вместе с билирубином в крови и моче обнаруживают желчные кислоты, которые вызывают общую интоксикацию. Желчные кислоты, кроме того, понижают свертываемость крови. Отсутствие их в кишечнике снижает всасывание некоторых витаминов (особенно витамина К), что способствует развитию явлений геморрагического диатеза. Гистологически в печени отмечают расширение и переполнение желчью внутрибалочных капилляров и междолько-вых протоков, иногда в них образуются желчные пробки (желчные тромбы). В гепатоцитах и звездчатых ретикулоэндотелиоцитах накапливаются зерна и глыбки желчных пигментов.
Дистрофические изменения групп печеночных клеток и эпителия желчных протоков или целых долек, вызванные желчными кислотами, сопровождаются некрозом. Одновременно наблюдают разроет соединительной ткани, особенно вокруг желчных канальцев, пролиферацию их эпителия с образованием ложных желчных протоков (билиарный портальный цирроз).
Желчные кислоты, выделяемые с мочой, вызывают дистрофические и некротические изменения железистого эпителия извитых канальцев почек. В них выявляются зерна и глыбки билирубина. Указанные изменения в печени и почках отсутствуют при гемолитической и паренхиматозной желтухе.
Макроскопически механическая желтуха хорошо выражена. Органы и ткани приобретают желто-зеленые оттенки (билирубин окисляется в биливердин). В отличие от гемолитической и паренхиматозной желтухи содержимое кишечника утрачивает специфическую окраску вследствие механической непроходимости желчевыводящих путей и отсутствия желчи в кишечнике.
Гематины представляют собой окислительную форму гема. Они имеют вид анизотропных зерен или кристаллов темно-коричневого цвета, содержат железо в связанном виде, обесцвечиваются перекисью водорода, растворяются в щелочах, в кислотах малорастворимы. К ним относят пигменты: малярийный (гемомеланин), соляно-кислый (гемин) и формалиновый. В связи с образованием большого количества кровяных пигментов селезенка, костный мозг и печень могут приобретать аспидно-серую окраску. Солянокислый гематин образуется при действии на гемоглобин ферментов желудочного сока и соляной кислоты, придавая эрозиям и язвам желудка, а также его содержимому при наличии кровоизлияний буро-черный цвет. Формалиновый пигмент встречается в богатых кровью тканях при фиксации их в кислом формалине. Он выпадает в виде зерен, глыбок или тонких темно-коричневых кристаллов. Пигмент пропадает после обработки гистосреза слабым (1—2%-ным) водным или спиртовым (50—70%-ным) раствором едкой щелочи (КОН).
Порфирины — предшественники гема, лишены железа. Избыточное накопление их в крови (порфиринемия) сопровождается развитием гемолитической анемии и спленомегалии, коричнево-желтой или почти черной пигментации почек (порфиринурия с наличием красной мочи), костяка (остеогемохроматоз) и дентина зубов у свиней и крупного рогатого скота. Зерна пигмента выделяются в клетках мононуклеарно-макрофагальной системы костного мозга и в эпителии мочевых канальцев почек, придавая им радиальную исчерчен-ность. Развитие врожденной (идиопатической) порфирии связано с блокированием в эритроцитах ферментативного превращения протопорфирина III в уропорфирин III, лежащий в основе строения гема. Приобретенная порфирия встречается при отравлениях (свинцом, барбитуратами и др.), гиповитаминозах (пеллагра), пернициозной анемии, некоторых болезнях печени. Отложения порфирина в коже вызывают фотодинамический эффект (эритема, дерматит).
Железосодержащий пигмент образуется также при распаде миог-лобина. Миосидерин обнаруживают в атрофирующейся мышечной ткани, но в большей мере при дистрофии и восковидном некрозе её, связанных с беломышечной болезнью животных, паралитической миоглобинурией лошадей. При этом миоглобинемия сопровождается развитием миогемосидероза органов, богатых ретикулоэндотелиальнои тканью (селезенка, печень, лимфоузлы и др.), выделением растворенного пигмента с мочой (миоглобинурия с красным цветом мочи) и отложением его в эпителиальных клетках мочевых канальцев.
При некоторых отравлениях (нитритами и др.) общая пигментация связана с образованием метгемоглобина (светло-коричневый цвет крови). Гемоглобин может приобретать зеленоватую или черную окраску, если он соединяется с сероводородом и образуется сернистое железо (ложный меланоз). У свежих трупов лошадей пигментацию отмечают в подвздошной кишке в виде плоских или возвышающихся участков черного цвета.
Протеиногенные (тирозинтриптофановые) пигменты включают в себя меланин, андренохромы и пигмент энтерохромафинных клеток.
Меланин (от греч. melanos — черный) образуется в меланобластах —клетках неврогенной природы базального слоя эпидермиса, волосяных луковиц, сетчатки и радужной оболочки, придавая им специфический цвет (черный, бурый, желтый, рыжий). Это продукт естественной полимеризации тирозина и триптофана, который синтезируется в присутствии витамина С в бесцветный промеланин, а под влиянием тирозиназы (допаоксидазы) превращается в меланин. Пигмент не содержит железа и жира, обесцвечивается перекисью водорода и другими сильными окислителями, восстанавливает аммиачный раствор нитрата серебра до металлического серебра, растворим только в щелочах. В цитоплазме меланобластов пигмент откладывается в виде зерен и глыбок темно-коричневого цвета. Миграцию меланина в организме обеспечивают макрофаги — меланофоры, которые из-за отсутствия тирозиназы не способны к синтезу меланина. В отличие от меланобластов они не дают положительную допа - реакцию.
Нарушения меланогенеза проявляются повышенным образованием меланина, накоплением его в необычных местах, исчезновением или отсутствием пигмента. Все три вида расстройства обмена могут быть приобретенными или врожденными и носить распространенный или местный характер.
Избыточное образование меланина в коже и отложение его во внутренних органах называют общим меланозом, который встречается главным образом у крупного и мелкого рогатого скота, особенно у телят и овец. Природа меланоза неизвестна, но полагают, что этот процесс кормового происхождения. Отмечают его у животных, выпасавшихся на пастбищах с заболоченными и закисленными почвами. Меланин откладывается в печени, легких (рис. 9) и на серозных покровах, реже— в оболочках головного и спинного мозга, которые приобретают темно-коричневый или буро-черный цвет. Обычно меланоз обнаруживается после убоя животных. Распространенный меланоз с пигментацией кожи и слизистой оболочки ротовой полости в бронзовый цвет наблюдают у собак при аддисоновой болезни в связи с поражением надпочечников. Усиленная пигментация кожи бывает у сельскохозяйственных животных при хронических болезнях, сопровождающихся истощением.
Местная избыточная пигментация кожи связана с доброкачественным или злокачественным разрастанием меланобластов с образованием меланом. Нередко они возникают у лошадей серой масти и у собак. Источники появления их — родимые пятна (naevus).
В результате распада пигментных опухолей может развиться вторичный общий меланоз.
Врожденное недостаточное образование меланина или его полное отсутствие в организме называется альбинизмом (albus — белый). Это явление связано с рецессивным геном и отсутствием пигменто-образующих тирозиназ. Его наблюдают у лошадей серой масти, у крупного рогатого скота некоторых пород (герефорды), овец, пушных зверей, белых медведей, кроликов и др. Нередко у таких животных отмечают и другие генетические дефекты (например, патологические гранулы в лейкоцитах), а также общую слабость и предрасположенность к заболеваниям. Эта болезнь у людей и у животных описывается как Шедиак-Хигаши-синдром. Может быть и местная врожденная депигментация кожи (vitiligo). Приобретенные беспигментные пятна, называемые лейкодермией (от греч. leukos — белый, derma — кожа), образуются после длительных воспалений и других поражений кожи (ранений, язв, при случной болезни лошадей и др.).
К липидогенным пигментам, или липопигментам, принадлежат липофусцин, цероид и липохромы. В их состав входят жировые и белковые вещества.
Липофусцин — гликолипопротеид, образуется в клетках в процессе аутооксидации фосфолипидов. Под микроскопом имеет вид зерен и глыбок бурого цвета. Пигмент суданофилен, окрашивается шарлахом в красный цвет, нерастворим в органических растворителях и кислотах, частично растворим в щелочах, в отличие от меланина при взаимодействии с азотистокислым серебром не чернеет. Липофусцин является нормальным компонентом клетки, участвует в окислительных процессах.
Патологическую пигментацию липофусцином, особенно печени, почек, сердечной и скелетной мышц, нервных клеток, наблюдают при истощающих болезнях, например при углеводно-белковой недостаточности у коров с высокой продуктивностью, при атрофии паренхиматозных органов, в том числе в старости (старческая атрофия). Макроскопически по мере накопления пигмента орган приобретает бурый цвет (бурая атрофия).
Пигменты гемофусцин, обнаруживаемый в печени у лошадей при инфекционном энцефаломиелите, и цероид, образование которого связано с гиповитаминозом Е, по физико-химическим и биологическим свойствам идентичны липофусцину.
Липохромы — пигменты, придающие желтую окраску жировой клетчатке, коре надпочечников, желтку яиц, сыворотке крови и т. д. К липохромам также относится лютеин — пигмент желтого тела яичников. Они представляют собой липиды, в которых растворены окрашенные углеводороды — каротиноиды и флавины. Образование их тесно связано с белково-жировым метаболизмом и обменом растительных пигментов. При обработке гистосрезов кислотами (например, серной) последние дают нестойкое зеленовато-голубое окрашивание, под влиянием окислительных ферментов бледнеют, в ультрафиолетовом свете обладают зеленой флюоресценцией, под воздействием алкоголя выпадают в кристаллы. Усиленную пигментацию липохромами жировой клетчатки отмечают при истощениях в связи с конденсацией пигмента. При этом клетчатка приобретает ярко-желтую окраску. Желтое окрашивание и желто-бурый цвет костей встречают при нарушениях липидно-витаминного обмена (сахарный диабет и др.), а также в местах накопления холестерина (в атероматозных бляшках и ксантомах).
Экзогенные пигментации связаны с поступлением в организм чужеродных красящих веществ из внешней среды. Наиболее часто встречается отложение в легких пылевых частиц минерального, растительного или животного происхождения с развитием пневмокони-озов (от греч. рпеитоп — легкое, conia — пыль). Эти частицы адсорбируются на слизистых оболочках, внедряются в эпителиальные клетки, фагоцитируются макрофагами, проникают в лимфатические сосуды и узлы, а также могут заноситься в другие органы.
Среди этих заболеваний важное практическое значение имеют антракоз легких, связанный с отложением в них угольной пыли. Наиболее часто антракоз встречается улошадей и собак. Легкие при этом приобретают диффузную или пеструю аспидно-черную или шиферную окраску. Значительное отложение угольной пыли вызывает воспалительные изменения, развитие соединительной ткани и индура-цию легких. Из легких угольные частицы распространяются в реги-онарные лимфатические узлы, реже — в селезенку и печень. У крупного рогатого скота часто бывает антракоз мезентериальных лимфатических узлов при скармливании животным запыленного корма. Отложение в легких кремнезема, глинозема, глыбок кварца с образованием белых очагов называется силикозом.
При длительном лечении животных препаратами серебра может развиться артроз. Соли серебра откладываются в эпителии мочевых канальцев и в мезангиуме сосудистых клубочков, а также в ретикуло-эндотелиальных клетках печени и других органов, ткани которых приобретают серый (стальной) цвет. Определенную окраску придают органам некоторые лекарственные (например, метиленовая синька, пикриновая кислота) и красящие вещества, применяемые при татуировке животных.
Нарушение обмена нуклеопротеидов. Нуклеопротеиды представляют собой соединения белков с нуклеиновыми кислотами — дезоксирибонуклеиновой (ДНК) и рибонуклеиновыми (РНК). К нарушениям нуклеопротеидного обмена относят мочекис-лый диатез и мочекислые инфаркты.
Мочекислый диатез (от греч. diathesis — предрасположение) характеризуется повышенным образованием и накоплением мочевой кислоты и ее солей в крови (гиперурекемия) с последующим отложением кристаллов мочевой кислоты и аморфного мочекислого натрия в различные ткани и органы. Наиболее часто мочекислый диатез встречается у птиц, особенно из отряда куриных, реже — у млекопитающих (собаки и др.).
Появление этого заболевания у птиц в условиях клеточного содержания, в том числе и у диких в зоопарке, связывают с обильным и продолжительным белковым питанием продуктами животного (мясо, рыба, мясо-костная и рыбная мука) и растительного (концентрированные корма) происхождения, особенно при недостатке зеленых и других витаминных кормов (в частности, витамина А). Из внутренних факторов этому способствуют заболевания почек и печени.
Локализацию патологических процессов в определенных органах можно объяснить особым физико-химическим и аллергическим состоянием тканей, задерживающих мочевую кислоту и ее соли.
При микроскопическом исследовании в местах отложения массы с лучистыми кристаллами мочевой кислоты и аморфных осадков ее солей обнаруживают некротические очажки, вокруг которых образуется воспалительный инфильтрат с наличием лейкоцитов, гистиоцитов и особенно характерных гигантских клеток. За экссудативно-клеточной реакцией наступают более или менее выраженные пролиферативные изменения, которые сопровождаются образованием грануляционной и фиброзной тканей с деформацией пораженных органов.
Макроскопические изменения характеризуются тем, что мочевая кислота и мочекислый натрий выпадают на серозных оболочках, в почках и других внутренних органах, а также в суставах конечностей (хрящах, синовиях, сухожильных влагалищах). Поэтому различают висцеральную, суставную и смешанную формы болезни.
При висцеральном мочекислом диатезе (встречается только у птиц) мочевая кислота и ее соли в виде белых меловидных масс или мелкого кристаллического порошка откладываются на серозных оболочках грудобрюшной полости, воздухоносных мешков, почек, печени, селезенки, кишечника, сердца и легких, а также других органов. Под легко снимающимися наложениями выявляется воспаленный серозный покров. При тяжелой форме диатеза наложения становятся гипсовидными, серозные оболочки слипаются и срастаются. Во внутренних органах, особенно в почках, а также в печени, поджелудочной железе, сердечной и скелетной мышцах (мышцах ног, крыльев), в эндокарде и эндотелии крупных сосудов, под кожей, в железистом желудке обнаруживают отложения мочевой кислоты и уратов в форме рассеянных точек, пятен, полос или склонных к слиянию бело-желтых узелков. При этом пораженные органы, особенно почки, увеличиваются в объеме.
Суставная форма болезни, или подагра (от греч. pous—нога, agrios — жесткий), характеризуется отложением мочевой кислоты и уратов на синовиальных оболочках суставов и сухожильных влагалищ, в капсулах суставов и окружающих их тканях. Чаще других поражаются скакательные и пальцевые суставы. Пораженные суставы увеличенные, твердые, деформированные, с фиброзными умеренно плотными узлами - подагрическими шишками (tophi unci), в которых обнаруживают сухую меловидную или сливкоподобную массу. При этом в суставном хряще могут возникать некрозы и изъязвления в виде выемок (узуров), а вокруг них воспалительная реакция со скоплением гигантских клеток и разрастанием соединительной ткани.
Мочекислые инфаркты почек (infarcire — начинять, нафарширо-вывать) встречаются преимущественно у новорожденных. Мочевая кислота и ее соли откладываются в гомогенной гликопротеидной массе в просвете прямых канальцев, в апикальной части железистого эпителия и в строме органа, в мозговом слое и сосочках почек, образуя беловатые, беловато-желтоватые или красновато-желтые радиально расположенные крупинки, глыбки, зернышки или полоски.
В просвете прямых канальцев и в проксимальном отделе нефрона они встречаются в меньшем количестве.
Мочекислые инфаркты появляются в связи с массовым распадом ядросодержащих эритроцитов при переходе плода на режим внешнего дыхания, с перестройкой питания и обмена. При этом в крови резко возрастает концентрация мочевой кислоты. Образованию инфарктов, кроме того, способствует потеря новорожденным воды. Как показали наши наблюдения, конгломераты кристаллов мочекислого аммония и связывающая их рыхлая белковая масса могут явиться основой для развития мочекаменной болезни у молодых животных, в частности у норок.
Инкрустация мертвых масс. У взрослых животных мочевая кислота и ее соли могут пропитывать мертвые ткани и выпадать в них в осадок. Это происходит в тканях мочевыводных протоков при соприкосновении мертвой массы с мочой.
Функциональное значение и исход нарушений обмена нуклеопротеидов. При мочекислом диатезе нарушаются функции пораженных органов (почки, печень и др.). Суставная форма болезни сопровождается деформацией, малой подвижностью и болезненностью пораженных суставов. Гиперурекемия и гиперазотемия могут быть причиной внезапной смерти животного. Отложения мочевой кислоты и уратов в органах вызывают необратимые (некротические) изменения пораженных тканей.
Нарушения обмена гликопротеидов. Гликопротеиды — сложные соединения белка с полисахаридами, содержащими гексозы, гексозамины и гексуроновые кислоты. К ним относят муцины и мукоиды (о других гликопротеидах см. «Углеводные дистрофии»).
Мучины составляют основу слизи, секретируемой эпителием слизистых оболочек и желез. Слизь имеет вид полупрозрачного тягучего вещества, выпадающего под воздействием слабой уксусной кислоты или алкоголя в виде тонкой волокнистой сеточки. В состав слизи входят нейтральные или кислые полисахариды — белковые комплексы, содержащие гиалуроновую и хондроитинсерную кислоты (гликозоаминогликаны), которые придают слизи хромотропные или мета-хроматические свойства. Тионин и крезилвиолет окрашивают слизь в красный цвет, а ткани — в синий или фиолетовый. Муцикармин придает ей красный цвет, а толуидиновый синий — сиренево-розо-вый.
Слизеобразование как патологический процесс имеет защитно-приспособительное значение. Муцин защищает слизистые оболочки от физических повреждений и раздражений химическими веществами. Слизь является носителем пищеварительных ферментов.
Мукоиды, или слизеподобные вещества («псевдомуцины»), не однородные по составу химические соединения, содержащие белок и гликозоаминогликаны. Они входят в состав различных тканей: костей, хрящей, сухожилий, клапанов сердца, стенок артерий и др. В эмбриональных тканях мукоиды содержатся в большом количестве, р том числе в пупочном канатике новорожденных. Они имеют общие физико-химические свойства со слизью. Мукоиды обладают щелочной реакцией и в отличие от муцина не осаждаются спиртом или уксусной кислотой.
Слизистая дистрофия сопровождается накоплением слизи и сли-зеподобных веществ в тканях. Различают два вида ее: клеточную (паренхиматозную) и внеклеточную (мезенхимальную).
Клеточная (паренхиматозная) слизистая дистрофия — нарушения обмена гликопротеидов в железистом эпителии слизистых оболочек, которые проявляются гиперсекрецией слизи, изменением качественного состава ее и гибелью секретирующих клеток.
Слизистая дистрофия чаще возникает при катаральных воспалительных процессах на слизистых оболочках в результате прямого или непрямого (рефлекторного) действия различных патогенных раздражителей. Ее отмечают при заболеваниях пищеварительных, дыхательных и мочеполовых органов.
Раздражение слизистых оболочек вызывает расширение площади секреции и повышение интенсивности слизеобразования, а также изменение физико-химических свойств и состава самой слизи.
Гистологически слизистая дистрофия характеризуется гиперсекрецией или избыточным образованием муцина в цитоплазме эпителиальных (главным образом бокаловидных) клеток, выстилающих слизистые оболочки, повышенным слизевыделением, гибелью и десквамацией секретирующих клеток. Слизь может закрывать выводные протоки желез и вызывать образование ретенционных кист, чему способствует сдавливание их разрастающейся соединительной тканью. При более редком полипозном катаре, наоборот, наблюдают гиперплазию не только железистой, но и соединительной ткани.
Макроскопически слизистая оболочка набухшая, тусклая, покрытая толстым слоем слизи, при остром воспалении органа она гиперемирована с кровоизлияниями, а при хроническом — уплотнена из-за разроста соединительной ткани. Продуцируемая в большом количестве слизь в зависимости от степени гидратации или дегидратации и количества десквамированных клеток бывает разной консистентности и вязкости. В зависимости от вида воспаления органа к слизи примешивается экссудат разного состава (серозный, гнойный, геморрагическии).
Функциональное значение и исход слизистой дистрофии зависят от интенсивности и продолжительности процесса. При устранении патогенных факторов регенерация эпителия за счет камбиальных клеточных элементов может привести к полному восстановлению пораженных органов. Длительно текущий дистрофический процесс сопровождается гибелью клеточных элементов эпителия, разростом соединительной ткани и атрофией желез. В этих случаях отмечают резко выраженную функциональную недостаточность органа (например, частичное выпадение пищеварительной функции органов желудочно-кишечного тракта и при хроническом катаре с развитием истощения и т. д.).
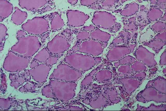
Своеобразной разновидностью нарушения обмена гликопротеидов является коллоидная дистрофия (от греч. colla— клей), которая характеризуется избыточным образованием и накоплением коллоидной массы псевдомуцина в железистых органах (щитовидные железы, почки, надпочечники, гипофиз, яичники, слизистые оболочки), а также в кистоаденомах. Физиологический прототип коллоида— секрет щитовидной железы. Встречается эта дистрофия при коллоидном зобе, связанном с йодной недостаточностью (эндемическое заболевание людей и животных в определенных геобиохимических зонах).
Микроскопически наблюдаются гиперсекреция коллоида, накопление его в фолликулах, атрофия железистой ткани, разрыв оболочек и слияние фолликулов с образованием кист. Вновь образованные железистые фолликулы путем почкования от предшествующих также могут подвергаться коллоидной дистрофии.
Макроскопически щитовидная железа, реже другие железистые органы увеличиваются в объеме, становятся неровными с поверхности, на разрезе в них обнаруживают кисты с тягучим клеевидным содержимым от серовато-желтого до темно-коричневого цвета.
Коллоидная дистрофия вызывает функциональную недостаточность органа. При коллоидном зобе развивается общий слизистый отек соединительной ткани (микседема).
Внеклеточная (мезенхимальная) слизистая дистрофия (ослизнение, слизистый метаморфоз) — патологический процесс, связанный с накоплением в соединительной ткани (волокнистой, жировой, хрящевой и костной) хромотропных веществ.
Причины тканевой слизистой дистрофии: истощение и кахексия любой этиологии, например при голодании, хронических болезнях (туберкулез, злокачественные опухоли и др.) и дисфункции желез внутренней секреции (коллоидный зоб и др.). Сущность слизистого метаморфоза состоит в высвобождении из связи с белком хромотропного вещества (гликозоаминогликанов) и накоплении его в основном веществе соединительной ткани.
Гистологически в отличие от мукоидного набухания происходит растворение коллагеновых волокон и замещение их слизеподобной массой. Клеточные элементы при этом обособляются, набухают, приобретают неправильную форму многоотростчатую или звездчатую, а также растворяются.
Макроскопически пораженные ткани становятся набухшими, дряблыми, студневидными, пропитанными полупросвечивающей слизеподобной массой.
Функциональное значение и исход этого процесса определяются степенью и местом его развития. В начальных стадиях ослизнения устранение причины сопровождается восстановлением структуры, внешнего вида и функции пораженной ткани.
По мере развития процесса происходят полное разжижение и колликвационный некроз ткани с образованием полостей, заполненных слизеподобной массой.
Жировые дистрофии (липидозы)—морфологические изменения тканей, связанные с нарушением обмена липидов.
Свободный жир в клетках и тканях имеет вид капель, иногда кристаллов (холестерин), растворим в органических растворителях: спирте-эфире, хлороформе, нерастворим в воде (в отличие от гликогена) и в уксусной кислоте (в отличие от белков). Судан III и шарлах в замороженных гистосрезах, зафиксированных формалином, окрашивают его в красный цвет, судан IV и осмиевая кислота — в черный. Нильблаусульфат окрашивает жирные кислоты (липоиды) в темно-синий цвет, нейтральный жир — в красный. Восстановление жиром осмиевой кислоты с образованием осмиофильных включений дает возможность обнаруживать его при электронной микроскопии. Электронно-микроскопически липидные включения обычно обнаруживают в виде свободнолежащих, не окруженных мембраной капель или кристаллов (в отличие от секреторных жировых включений в железистых органах, например в молочной железе).
Нарушения липидного обмена могут быть клеточные, или паренхиматозные (нарушения обмена цитоплазматического жира), внеклеточные, или стромально-сосудистые (нарушения обмена жира в жировой клетчатке), и смешанные (системные липоидозы и др.). По механизму развития различают: инфильтрацию, трансформацию, декомпозицию, т. е. распад клеточных белково-липидных комплексов, мембран и макромолекул, и измененный, или «извращенный», синтез. При этом изменяется не только количественное содержание жира, но и его качественный состав с появлением продуктов распада жира.
Клеточные (паренхиматозные) жировые дистрофии — нарушение обмена цитоплазматического жира с накоплением его в органах и тканях, паренхимные клетки которых в норме содержат мало свободного жира (печень, почки), не содержат его вообще (миокард, скелетная мышца, нервная ткань и др.) или в них образуется жир необычного химического состава в результате патологического синтеза.
Причины данной дистрофии: общее ожирение, углеводная и белковая недостаточность, дефицит липотропных факторов, например холина, метионина, других глюкопластических аминокислот, витамина В12 и др. (алипотропная, или простая, жировая дистрофия). Жировая дистрофия часто встречается в сочетании с зернистой дистрофией при болезнях обмена веществ, сердечно-сосудистой системы и кроветворных органов (анемии, расстройства кровообращения), а также при многих инфекциях, интоксикациях и отравлениях различными ядами, например фосфором, мышьяком, четыреххлористым углеродом и др. (дистрофическое ожирение).
Патогенез жировой дистрофии связан с инфильтрацией, т. е. с отложением в клетках жира, приносимого с током лимфы и крови из желудочно-кишечного тракта, мобилизацией жирных кислот из жировых депо, а также из очагов распада жировой ткани. Возможен повышенный синтез, или трансформация, жира из углеводов и белков, особенно при избыточном поступлении их (простое ожирение).
Наиболее часто жировая дистрофия развивается вследствие снижения окислительных процессов и замедленной ассимиляции жира в патологически измененных клетках (дистрофическое ожирение).
Механизм такого дистрофического ожирения связан с нарушением окислительных процессов в цикле Кребса — Эмбден — Мейергофа (в митохондриях) из-за недостатка кислорода или легко окисляемых субстратов (углеводов и глюкогенных аминокислот), способствующих окислению жирных кислот и кетоновых тел, или с блокадой и разобщающим действием токсических веществ на ферменты окислительного фосфорилирования (фермен-топатия).
Наряду с экзогенным ожирением источником дистрофического ожирения является эндогенный жир клетки, входящий в состав мембран, белково-жировых комплексных соединений, которые также под действием вышеуказанных причин (гипоксия, инфекция, интоксикация и др.) могут подвергаться более или менее выраженной декомпозиции, или липофанерозу (от греч. lipos — жир, phaneros — видимый). В основе деструкции лежат ферментативные (гидролитические) и физико-химические процессы, например дегидратация.
В развитии жировой дистрофии наряду с общим механизмом ее (инфильтрацией, трансформацией, декомпозицией) важную роль играют структурно-функциональные особенности органов и тканей.
В печени при жировой инфильтрации в цитоплазме гепатоци-тов (в ее периваскулярной зоне) сначала появляются отдельные мелкие капли жира (мелкокапельное периваскулярное ожирение), которые по мере накопления перемещаются к центру (центральное ожирение) и сливаются в более крупные капли (крупнокапельное ожирение) и, наконец, в одну большую каплю жира; последняя оттесняет ядро и атрофирующуюся цитоплазму к периферии клетки, придавая ей перстневидную форму (рис. 12), свойственную клеткам жировой ткани. Жировая инфильтрация может быть перилобулярной, центролобулярной или диффузной.
Электронно-микроскопически и гистохимически в печени при жировой инфильтрации разной степени (легкая, средняя и тяжелая) установлены набухание и уменьшение числа митохондрий, распад полисом и рибосом гепатоцитов, уменьшение или полное исчезновение гранул гликогена, снижение активности окислительно-восстановительных ферментов, появление капель жира в зоне незернистой цитоплазматической сети с более или менее выраженным накоплением его в гиалоплазме. При жировой декомпозиции речь идет о липофанерозе белково-жировых комплексных соединений (липопротеидов), содержащихся в зоне цитоплазматической сети с накоплением липосом, и о распаде органелл. Митохондрии подвергаются жировому метаморфозу, при этом образуются цитолизосомы с повышенной активностью гидролитических ферментов (кислой фосфатазы), а затем и липофусцина (А. В. Жаров, 1975).
При очаговой жировой декомпозиции с распадом ядер возникают участки жирового некроза, например в печени, в очагах размягчения головного мозга и др. В этих случаях вокруг таких очагов или системно часто развивается резорбтивное ожирение лейкоцитов и макрофагов соединительной ткани, из которых в процессе фагоцитоза жира образуются липофаги и зернистые шары. Клетки, фагоцитирующие холестерин, приобретают пластинчатую форму. В связи с тем что скопления таких клеток макроскопически имеют вид желтых пятен, их назвали ксантомными (от греч. xanthos — желтый).
Внешний вид печени при жировой дистрофии существенно изменяется. Жировая инфильтрация перилобулярного типа в сочетании с острой застойной гиперемией придает ей мускатный рисунок. При выраженной жировой дистрофии печень увеличена, желто-коричневого цвета, сальная, дряблая, рисунок долей сглажен, на поверхности ножа при разрезе остается сальный налет. Крайние формы дистрофического ожирения печени настолько снижают плотность органа, что его кусочки могут плавать в воде, как это наблюдается у молочных коров при кетозе.
В почках нейтральный жир как физиологическое явление встречается в эпителии вставочных отделов канальцев, петель Генле и собирательных трубочек. Макроскопически при жировой дистрофии почки увеличиваются, приобретают серо-желтый цвет, рисунок слоев сглажен, поверхность разреза органа жирная, липкая.
Жировая дистрофия миокарда проявляется как жировая инфильтрация и декомпознция. Жировая инфильтрация характеризуется отложением мелких капель жира в зоне капиллярной и венозной сетей в связи с гипоксией (мелкокапельное ожирение). В начальной стадии развития ее мелкие капельки жира ориентированы по ходу миофибрилл, а затем поперечная исчерченность исчезает, саркосомы набухают, саркоплазматическая сеть расширяется, рибосомы и гликоген распадаются. При жировой декомпозиции образование жира связано с распадом органелл. Жир может полностью замещать саркоплазму распавшихся волокон (миолиз). Макроскопически такие участки выявляются в виде серовато-желтых полосок, придающих миокарду рисунок тигровой шкуры («тигровое сердце»).
Функциональное значение жировой дистрофии паренхиматозных органов и специализированных элементов других тканей вытекает из того, что функции органов при этом снижаются, нарушаются или выпадают. При сохранении ядерного аппарата клеток и части органелл цитоплазмы жировая дистрофия обратима. Усиление жирового некробиоза и некроза ядер паренхимных клеток печени, миокарда, почек и других органов сопровождается смертельным исходом.
Внеклеточные (стромально-сосудистые) жировые дистрофии— нарушения обмена нейтрального жира и жирных кислот в жировой клетчатке, холестерина с его эстерами. В патологических условиях нарушения обмена нейтрального жира в жировой клетчатке проявляются в истощении и ожирении организма.
Истощение (кахексия) — общее уменьшение количества жира в жировой клетчатке с более или менее полной утратой свободного жира в органах.
Причины: голодание животных (алиментарная дистрофия), а также хронические, изнуряющие организм, инфекционные (туберкулез), инвазионные (гельминтозы) и незаразные (гастроэнтериты, бронхопневмонии, опухоли, гормональные и обменные расстройства и др.) болезни.
При микроскопии жировой ткани обнаруживают сморщенные клетки, а в основной субстанции — скопление серозной жидкости или слизеподобного вещества. Более или менее выраженные атрофи-ческие процессы (с накоплением липофусцина) находят и в паренхиматозных органах.
Макроскопически жировая клетчатка теряет жир, уменьшается в объеме, становится дряблой, влажной вследствие пропитывания серозной жидкостью (серозная атрофия жира), в дальнейшем развивается ослизнение ткани (слизистый метаморфоз), она приобретает студнеобразный вид и желтовато-серый цвет.
Функциональное значение и исход истощения зависят от причины, его вызвавшей, возможности ее устранения и степени патоморфологических изменений. Начальное и даже клинически выраженное истощение может быть обратимым.
Показателем крайнего истощения организма с неблагополучным исходом являются серозная атрофия эпикарда, бурая атрофия печени и миокарда. У старых животных, особенно у крупного рогатого скота и лошадей, необратимая атрофия жира может сопровождаться некоторым уплотнением клетчатки вследствие разроста соединительной ткани и темно-желтой окраски ее в связи с конденсацией липохромов.
Регионарное, или местное, уменьшение количества жира в жировой клетчатке называют липодистрофией, которую обнаруживают при эндокринных заболеваниях (рецидивирующем ненагнаивающемся панникулите и др.) и липогранулематозе. Сущность липогранулематоза состоит в очаговой деструкции жировой ткани с образованием окисленного жира, жировых кист или воспалительных гранулем. Возникновение таких очагов связано с травмой, некоторыми инфекционными болезнями (например, стрептококкозом) или с подкожной инъекцией лекарственных веществ.
Антиподом истощения является общее ожирение со значительным увеличением жира в жировой клетчатке и отложением его в необычных местах.
Причины: экзогенные факторы вследствие перекорма животных в условиях недостаточной подвижности и дефицита кислорода (алиментарное ожирение) и эндогенные — в связи с различными заболеваниями нервной (преимущественно у людей) и эндокринной систем. Алиментарное ожирение при высококалорийных рационах наблюдают у свиней, молочных коров в конце лактации и в сухостойный период, у овец, птиц и плотоядных. Эндокринные расстройства, сопровождающиеся ожирением, встречаются у животных при гипофункции яичников (например, у коров, плотоядных и др.), а также других желез внутренней секреции.
Микроскопически жировые отложения обнаруживают за пределами жировой клетчатки с образованием новых жировых депо и во внутренних органах. При этом паренхиматозные элементы атрофируются и замещаются в той или иной степени жировой тканью. Например, в интерстиции вымени коров образуется жировая клетчатка, которая вытесняет секреторную ткань. Ожирение эпикарда и соединительнотканного каркаса сердца сопровождается атрофией мышечных волокон.
Макроскопически общее ожирение проявляется в более или менее обильных отложениях преимущественно нейтрального жира не только в подкожной клетчатке, сальнике, брыжейке, под брюшиной, в средостении, в эпикарде, но и в соединительной ткани таких органов, где свободный жир в норме бывает в небольших количествах или совсем отсутствует. Например, по мере накопления подэпикар-диального жира в виде сплошной жировой прослойки отложение его происходит и в строму органа. В таких случаях сердечная мышца, особенно правого отдела сердца, приобретает дряблую консистенцию, на поверхности разреза миокарда и под эпикардом выявляют желтовато-белые полоски жировой ткани.
Общее ожирение относится к числу обратимых процессов, за исключением случаев, обусловленных тяжелым поражением желез. Особое клиническое значение имеет вовлечение в процесс сердца, которое проявляется функциональной недостаточностью (миокардо-зом). Общее ожирение—одна из предпосылок развития кетоза, бесплодия и других осложнений, являющихся причиной преждевременной выбраковки или вынужденного убоя таких животных.
Местное избыточное накопление жира, или липоматоз, в основе которого лежит вакатное разрастание соединительной ткани, встречается при атрофии органов (в физиологических условиях при атрофии зобной железы, в патологических — почки, отдельных лимфоузлов, участков скелетных мышц и других органов).
Нарушения обмена холестерина и его эстеров наблюдают при сердечно-сосудистых заболеваниях типа артерио- и атеросклероза (от греч. athere — кашицеобразная масса, scleros — уплотнение).
Современные гистохимические и электронно-микроскопические исследования показали, что инфильтративному и резорбтивному ожирению сосудистой стенки (гиперхолестеринемии и липемии) предшествует предхолестериновая стадия болезни, связанная с нарушением обмена гликозоами-ногликанов и гликопротеидов, плазморрагией, мукоидным и фибриноидным набуханием, что характерно для атеросклероза (В. X. Анестиади, 1965). При этом из-за повышенной сосудистой проницаемости в интиме артерий накапливаются не только холестерин и его эстеры (Н. Н. Аничков, 1953), но также белки плазмы крови: альбумины, глобулины, фибриноген, b-липопротеиды, а у животных — преимущественно нейтральный жир (А. Ф. Ткаченко, 1965). Все это сопровождается дистрофией и некрозом сосудистой стенки с образованием макроскопически выраженных атероматозых бляшек белково-жирового детрита, разростом соединительной ткани и ее гиалинозом с сужением просвета сосудов. В атероматоз-ых бляшках обычно выпадают соли кальция по типу дистрофичекого обызвествления или на месте их возникают язвенные дефекты возможными неблагоприятными последствиями (кровотечение, тромбоз и т. д.).
Углеводными дистрофиями называют изменения состава и количества углеводов в тканях, обусловленные нарушениями их всасывания, синтеза и распада.
Большинство углеводов находится в составе комплексных соединений клеток и тканей. Гистохимически выделяют полисахариды реакцией с Шифф-йодистой кислотой (ШИК- или PAS-реакцией Мак-Мануса). Учитывая, что углеводы легко растворяются в воде, для их выявления используют спиртовые фиксаторы (фиксатор Шабадаша и др.). В ШИК-реакции после окисления полисахаридов йодистой кислотой высвобождаются альдегидные группы, которые дают с фуксином Шиффа (фуксинсернистой кислотой) соединения красного цвета. По методу Беста гликоген окрашивается в красный цвет.
В патологии углеводного обмена различают уменьшение или увеличение гликогена в клетках, а также патологический синтез и отложение его в органах и тканях, в которых он в норме не выявляется.
Причины: резко выраженные уменьшения количества гликогена в печени, скелетных мышцах и миокарде, наблюдаемые при остром и хроническом голодании, гипоксии, лихорадке, переохлаждении, а также при экзогенных и эндогенных интоксикациях и инфекциях. Дефицит гликогена часто наблюдается при патологии желез внутренней секреции, регулирующих его обмен. Уменьшение количества гликогена установлено при базедовой болезни в связи с повышением интенсивности основного обмена. Экспериментально у жвачных это воспроизводится при инъекциях тиреотропного гормона гипофиза и тироксина с развитием индуцированного кетоза.
Микроскопически у животных, особенно жвачных, углеводная недостаточность с уменьшением или исчезновение запасного гликогена из печени и мышечной ткани часто сочетается с зернистой
дистрофией, мобилизацией жира с повышенным образованием кетоновых тел и жировой инфильтрацией паренхиматозных органов, особенно печени, почек и миокарда (А. В.Жаров, 1975). Однако гликоген, связанный с белками, полностью не исчезает из клеток даже при полном голодании. При этом отмечаются патологический синтез гликогена и отложение его в почках, в эпителии узкого сегмента петли Генле.
Нарушения углеводного обмена ярко выражены при сахарном диабете (diabetus melitus). Сущность его состоит в недостаточной выработке b-клетками островков Лангерганса гликолитического гормона инсулина с развитием углеводной дистрофии, гипергликемии, глюкозурии, полиурии, а нередко и осложнений кетозом и ангиопатиями. Сахарный диабет имеет панкреатическое (поражение инсулярного аппарата) и внепанкреатическое (поражение углеводного центра, гиперфункция передней доли гипофиза и др.) происхождения. Он часто встречается у людей. Болеют собаки, реже лошади и крупный рогатый скот. Экспериментальный аллоксановый диабет (после введения аллоксана или уреида мезооксалевой кислоты) можно вызвать у крыс, кроликов, собак, обезьян.
Гистологически при сахарном диабете наряду с нарушением обмена гликогена в печени и скелетных мышцах отмечают инфильтрацию гликогеном сосудистой ткани (диабетическая ангиопа-тия), эпителия почечных канальцев (извитых и петель Генле), стро-мы и сосудистых клубочков почек с развитием интеркапиллярного диабетического склероза клубочков. При этом иногда гликоген выделяется и в просвет канальцев.
Макроскопически органы при углеводной дистрофии не имеют характерных изменений.
Клинически отмечают функциональные расстройства (угнетение, сердечная слабость и одышка), связанные с энергетической недостаточностью. Причем эти изменения вначале носят обратимый характер. Однако на основе углеводной дистрофии часто нарушаются белковый и жировой обмены, развиваются белковая и жировая дистрофии, которые могут сопровождаться омертвением клеток и неблагоприятным исходом.
Увеличение количества гликогена в клетках организма и его патологические отложения называются гликогенозом.
Избыточное содержание гликогена наблюдают при анемии, лейкозах, в лейкоцитах и соединительнотканных клетках в воспаленных очагах, по периферии острых инфарктов или туберкулезных очагов. Гликоген накапливается у откормочных животных, особенно при гипофункции щитовидной железы, вызванной тиреостатиками (хлорнокислый аммоний и др.). Гликогеновая инфильтрация встречается в тканевых элементах некоторых опухолей (миом, сарком, карцином, невром и др.). Особенно ярко выраженная патологическая инфильтрация клеток и тканей гликогеном отмечается у людей при болезнях, генетически обусловленных недостаточностью ферментов глюкозо-6-гликозидазы и др.
Гистологически при этих болезнях отмечают избыточное накопление гликогена в печени (гепатоциты «нафаршированы» гликогеном), сердце, почках, скелетных мышцах, стенке сосудов и др.
Макроскопически избыточное отложение гликогена характерных признаков не имеет.
Клинически гликогенозы сопровождаются сердечной и дыхательной недостаточностью, от которых и наступает смерть (Т.Е. Ивановская, 1989). У животных эти болезни изучены недостаточно.
Минеральные вещества, поступая в организм с кормом и водой, играют важную роль в обмене веществ. Одни из них в организме находятся в значительных количествах и называются макроэлемент томи (натрий, калий, кальций, магний, фосфор, хлор, сера, железо)у другие присутствуют в тканях в малых количествах— микроэлементы (кобальт, медь, марганец, цинк, молибден, бор, йод, бром и др.) или в очень малых количествах— ультрамикроэлементы.
Существует много методов определения минеральных веществ в тканях (гистоспектрография, ауторадиография, микросжигание с химическим анализом и др.). Для изучения ряда неорганических элементов (железо, фосфор, кальций, медь, калий и др.) после освобождения их связи с белком применяют гистохимические методы.
Морфологически наиболее изучен обмен кальция. Соли кальция, поступающие в организм, адсорбируются в тонком кишечнике, всасываются при участии витамина D и поступают во все ткани и клетки. Кальций находится в комплексе с белками в крови (10—12 мг%), тканевой жидкости, клетках, а также в молоке (казеинаты). 97% его входит в состав скелета в виде фосфорнокислых, углекислых [80% Са 3(Р0 4 )2 и 13% СаСОз] и других солей.
В клетках и тканях кальций выявляют при выпадении его солей из комплексных соединений в митохондриях и лизосомах (паренхиматозные дистрофии) или в основном или фибриллярном веществе соединительной ткани (мезенхимальные и смешанные дистрофии). Отложения кальция в матриксе митохондрий обнаруживают в виде мелких и очень плотных гранул. При воздействии какой-либо крепкой кислоты углекислый кальций растворяется с выделением газа. При взаимодействии с серной кислотой получаются кристаллы гипса. Кальций восстанавливает металлическое серебро в виде черного осадка в реакции Kocca с азотнокислым серебром. Гематоксилином выпавшие соли кальция окрашиваются в темно-синий цвет. При нарушении обмена кальция количество его солей в тканях может быть уменьшено, увеличено или они выпадают в необычных местах.
Содержание солей в костной ткани снижается при остеомаляции, фиброзной остеодистрофии и рахите.
Остеомаляция — заболевание взрослых животных, преимущественно жвачных и плотоядных. Сущность болезни состоит в выщелачивании солей кальция и частичном рассасывании уже сформированных костей. Наряду с первичной остеодистрофией, связанной с недостатком солей кальция и витамина D в кормах в условиях повышенного их расходования (например, у глубокостельных и высокопродуктивных коров), возможна также вторичная остеодистрофия вследствие нарушения белково-углеводно-жирового обмена с распадом белково-минеральных комплексных соединений (остеолизом) и развитием на этой основе относительной гиперкальциемии. Резорбция костной ткани в гаверсовых каналах и в других местах осуществляется ферментативным путем при участии остеокластов с образованием полостей, или лакун (лакунарная резорбция). Различное сочетание резорбции костной ткани, пониженного синтеза новых костных структур и деминерализации приводит к развитию в одних случаях преимущественно остеопороза, особенно при гормональной остеодистрофии, в других — остеомаляции и остеофиброза с замещением атрофичной костной ткани остеоидной, хрящевой, фиброзной или жировой.
Фиброзная остеодистрофия — распространенное или очаговое рассасывание костной ткани с замещением ее фиброзной. Как системное заболевание фиброзная остеодистрофия преобладает при неполноценном рационе по белку, витаминам А и D, вследствие гиперфункции околощитовидных желез. Обычно поражаются кости головы, в которых образуются размягченные утолщенные участки с разрастающейся фиброзной тканью. Очаговую остеодистрофию отмечают при специфических воспалительных процессах (например, при туберкулезе и опухолевых поражениях), при которых костная ткань замещается грануломатозной.
Рахит — болезнь молодых животных всех видов, связанная с недостатком витамина D и ультрафиолетового облучения, а также с неправильным кальциево-фосфорным соотношением в кормах. При этом происходят нарушение нормального процесса костеобразования, энхондрального окостенения, рассасывание сформированных костных пластинок с избыточным ростом остеоидной и хрящевой тканей, которые в эпифизах образуют костные выросты — остеофиты, а в местах сочленения ребер с реберными хрящами — утолщения
или рахитические четки. Наиболее часто поражаются кости конечностей, головы и грудины. Под влиянием тяжести тела и сокращения мышц недостаточно сформированная или мягкая, гибкая и ломкая костная ткань деформируется. На этой основе возможно не только искривление, но и перелом костей. Вследствие разрастания и уплотнения клеток эндооста костно-мозговая полость заметно уменьшается. В выраженных случаях рахита наблюдают диспропорцию частей тела (большая голова и короткие конечности с деформированными суставами). У взрослых животных возможны рахитические формы остеодистрофии. Кости мягкие, легко режутся ножом.
Отложение солей кальция в клетках и тканях. Этот процесс называется обызвествлением, или петрификацией. В зависимости от происхождения и механизма развития различают метастатическое, дистрофическое и метаболическое обызвествление.
Метастатическое обызвествление, или известковые метастазы, возникают при общем нарушении обмена солей кальция в организме с развитием гиперкальциемии. Последняя встречается при разрушении костной ткани (остеодистрофия, остеомиелит, гранулематоз, опухоли костной ткани и др.), при поражении желез, выделяющих соли кальция из организма, при гипервитаминозе D и гиперпаратиреозе. При этом ионизированный кальций в повышенной концентрации не удерживается в растворе, взаимодействует с кислотами и выпадает в осадок в виде солей в разных органах и тканях (системное обызвествление). Учитывая особый характер обмена, наиболее часто они выпадают в почках, легких, миокарде, в слизистой оболочке желудка и в стенках артерий. Указанные железистые органы выделяют кислые продукты (что вызывает их ощелачивание) и обладают меньшей способностью удерживать эти соли в растворе. Соли выпадают в строме органов, в клетках и в секрете желез. Выпадение солей кальция в стенках артерий связано с тем, что в них сама ткань тесно соприкасается с кровью, бедной СОз.
Наиболее часто обызвествление наблюдают в эластической оболочке сосудов селезенки, печени и сердца. В легких соли кальция обнаруживают в альвеолярных стенках; в почках — в стенках междольковых артерий, базальной мембране извитых канальцев, эпителиальных клетках собирательных трубочек и соединительнотканной основе; в слизистой оболочке желудка; в межжелезистой ткани; в базальной мембране; в стенках сосудов и в эластических волокнах мышечного слоя.
Дистрофическое обызвествление возникает в результате местного нарушения обмена веществ в органах с пониженной жизнедеятельностью, в дистрофически и атрофически измененных тканях и некротических очагах.
Вследствие физико-химических изменений среды ионизированный кальций взаимодействует с фосфатными группами белка, которые отщепляются под действием фосфатаз, с образованием фосфорокислого кальция. Накопление углекислоты в таких тканях сопровождается образованием углекислого кальция. Дистрофическое обызвествление встречается в гиализированной соединительной ткани, особенно во вновь образованной при хроническом воспалении и атрофии органа, при нефритах, холангитах (в связи с развитием фасциолеза и др.), атеросклерозе, в тромботических массах кровеносных сосудов (артериолиты, флеболиты) и в клапанах сердца. Обычно обызвествляются некротическая ткань инфарктов, казеозные массы при инфекционных болезнях (туберкулез, сап, актиномикоз и др.), омертвевшие паразитарные личинки в халикозных узелках и животные паразиты, а также опухоли (липомы, фибромы, миомы и др.) и ткани мумифицированного плода.
Метаболическое обызвествление (известковая подагра, кальциноз) может быть в одних случаях системным с выпадением солей в коже, сухожилиях, фасциях и апоневрозах, мышцах, нервах, сосудах и других тканях. В других случаях оно проявляется как местный процесс с отложением солей в коже пальцев конечностей. В отличие от метастатического обызвествления оно не связано с гиперкальциемией, а развивается при обычной концентрации солей на основе особого характера обмена, нестойкости буферных и коллоидных систем крови и ткани, а также особого состояния тканей в этой области с повышенной чувствительностью их к кальцию (кальцифилаксия).
Внешний вид тканей и органов при незначительном отложении солей кальция может быть неизмененным. Их выявляют лишь при гистологическом или электронно-микроскопическом исследовании. При повышенном накоплении солей кальция в тканях макроскопически наблюдают появление в органе беловатых крапинок, которые ощущаются в виде песчинок, хрустят под ножом. При большом отложении солей орган приобретает твердую консистенцию, с трудом режется ножом или не режется вообще.
Функциональное значение кальциевых дистрофий различно. Недостаток солей кальция в организме вызывает такие функциональные и структурные расстройства, которые только в начальной стадии могут быть обратимыми, а в последующем приводят к функциональной недостаточности органа и к смертельному исходу. Отложения солей кальция в стенке сосуда, сердечной мышце и клапанах сердца вызывают значительные функциональные изменения, представляющие опасность для жизни. Сосуды утрачивают эластичность, становятся ломкими, склонными к разрыву. В то же время обызвествление мертвых казеозных масс при туберкулезе купирует инфекционный процесс и свидетельствует о заживлении, хотя и неполном.
Исход отложения кальция в тканях. Доказано, что соли кальция способны рассасываться из очагов обызвествления. Рассасывание их может происходить ферментативным путем (галистерез) или при участии фагоцитов (лакунарная резорбция). При этом вокруг обызвествленного очага образуются скопления гистиоцитов и лимфоцитов, а в некоторых случаях появляются гигантские клетки типа остеокластов, частично рассасывающих известь, например в обызвествленных туберкулезных очагах (Н.А. Налетов, 1949). Однако обратное развитие патологических отложений кальция наблюдается редко. Обызвествленные ткани обычно стойко удерживают соли кальция. Нередко петрифицированная ткань инкапсулируется, причем обызвествления мертвых масс существенно не отражаются на функциях органов.
Образование камней (конкрементов). Конкременты представляют собой плотные или твердые образования, свободно лежащие в естественных полостях органов и выводных протоках желез. Возникают они из органического вещества белкового происхождения и солей различного состава, которые выпадают из секретов и экскретов полостных органов.
Причины и патогенез образования конкрементов в одних случаях связаны с неполноценным кормлением животных и с общим нарушением минерального обмена и растворимости солей в организме, В других случаях ведущую роль в их развитии играют местные патологические процессы в органах, вызывающие нарушение резорбтивной и секреторной функций органа, повышение концентрации солей, изменение защитных или предохранительных свойств коллоидов секретов и экскретов, которые в физиологических условиях удерживают соли в растворенном виде. Камни могут возникать также при воспалении слизистой оболочки выводных протоков, в которых скапливаются экссудат, сгущенная слизь, омертвевший эпителий, бактерии и паразиты. Различные соли, содержащиеся в этой массе в большом количестве, выпадают из коллоидного раствора и инкрустируют белковые вещества. Во многих случаях образование камней связано с застоем секрета или экскрета и со сгущением содержимого желез. Появление камней в секрете, в свою очередь, вызывает воспалительные изменения, что способствует их дальнейшему росту.
Состав, величина, форма, консистенция и окраска конкрементов зависят от условий и места их образования. У сельскохозяйственных животных наиболее часто конкременты встречаются в желудочно-кишечном тракте, почках и мочевыводящих путях, желчном пузыре и желчных протоках, поджелудочной и слюнных железах, реже — в других органах.
Желудочно-кишечные камни делят на истинные, ложные, фитобе-зоары, пилобезоары, конглобаты и плюмоконкременты.
Истинные камни, или энтеролиты, состоят в основном (до 90%) из фосфорнокислой аммиак-магнезии, фосфорнокислого кальция и других солей. Они имеют шаровидную или неправильную форму, твердую консистенцию и напоминают булыжный камень. Поверхность их шероховатая, гладкая, иногда пришлифованная (фасетированная) в результате плотного прилегания камней. Цвет только что извлеченных камней темно-коричневый, а после высыхания поверхностного слоя — серовато-белый. Характерная особенность энтеро-литов — слоистое строение поверхности распила, на разломе — радиальная лучистость, что свидетельствует о стадийности их роста. В центре камня может быть инородное тело (кусочек металла, кирпича, войлока, косточка и др.), послужившее основой кристаллизации. Эти камни в основном встречают у лошадей в толстом кишечнике. Размер их варьирует от горошины до 20—30 см в диаметре, масса — до 11 кг. Мелких камней находят до десятков и сотен, крупные — обычно одиночные.
Ложные камни, или псевдоэнтеролиты, имеют округлую форму, состоят в основном из органических веществ, но в незначительном количестве содержат и минеральные соли. Чаще их находят в ободочной кишке лошадей, а также в преджелудках и кишечнике жвачных. Образуются при поедании корма, смешанного с землей и песком. Поверхность их напоминает вылущенный грецкий орех, диаметр от 1—2 до 20 см и более, масса до 1 кг (иногда и более), количество — от одного до нескольких десятков.
Фитоконкременты (от лат. phyton — растение) образуются из растительных волокон. Они легкие, шаровидной или неправильной формы, поверхность их гладкая или шероховато-бугристая, консистенция рыхлая. Легко разламываются. Бывают одиночные и множественные. Чаще встречаются у жвачных в преджелудках. ;
Пилоконкременты (от лат. pilus — волос), или волосяные шары, безоары, встречаются в желудке и кишечнике крупного и мелкого рогатого скота. Животные, особенно молодняк, при недостатке солей в рационе и нарушении минерального обмена облизывают свой шерстный покров и друг друга (лизуха), заглатывают шерсть, которая обволакивается слизью и сваливается с образованием шаров. Автор наблюдал 25 и более шерстных шаров в желудке и кишечнике ягнят при минеральном голодании, в результате чего они облизывали и проглатывали шерсть своих матерей. Ягнята погибали от истощения.
Конглобаты — конкременты из непереваренных частиц корма и слипшихся каловых масс с примесью инородных тел (тряпка, земля и др.). Наиболее часто встречаются у лошадей в толстом кишечнике при атонии. У собак и кошек иногда бывают образования из перьев.
Мочевые камни находят у крупного рогатого скота, лошадей, пушных зверей (норок и др.), в том числе и в молодом возрасте. Образование их в почечных канальцах, лоханке и мочевом пузыре связано с мочекаменной болезнью, которая возникает при избыточном скармливании минеральных солей, общем нарушении минерального и белкового обменов, а также при недостатке витаминов, особенно А. У птиц появление их в почках связано с подагрой вследствие нарушения обмена нуклеопротеидов. Строение, форма, величина и цвет камней зависят от химического состава и вида животного. Они состоят из мочевой кислоты, уратов, оксалатов, карбонатов, фосфатов, цисти-на и ксантина. Поэтому по составу различают камни уратные, фосфатные, оксалатные, известковые и смешанные. Нередко камни имеют вид слепков, повторяющих форму полостей (почечной лоханки). Бывают одиночные и множественные камни. Поверхность камней обычно гладкая, зернистая или шиповатая, рисунок разреза может быть слоистый.
Соли могут выпадать также в виде песка (urosedimenta).
Желчные камни встречаются в желчном пузыре и желчных протоках у крупного рогатого скота и свиней при желчекаменной болезни.
Они бывают одиночные и множественные. Размер их варьирует от нескольких миллиметров до 10 см и более. У свиньи после откорма был обнаружен камень с гусиное яйцо. Форма камней копирует полость, в которой они образуются. Состав их: органическая белковая основа, соли кальция, желчные пигменты и холестерин. В зависимости от состава различают известковые, пигментные и смешанные камни. Холестериновых камней практически не встречают.
Слюнные камни (сиалолиты) чаще отмечают у лошадей в выводном протоке слюнной железы. У жвачных обнаруживают в протоке поджелудочной железы. В центре их иногда находят инородное тело:
овсяное зерно, соломинку и др. Минеральную основу составляют соли кальция. Поэтому обычно они белые и плотные. Размер и количество их варьируют.
Функциональное значение и исход камнеобразования различны. Многие камни не имеют клинического значения, и их обнаруживают лишь случайно при секции. Однако образование камней, особенно энтеролитов, может иметь и значительные последствия. Камни вызывают атрофию тканей, воспаление полостных органов, омертвение стенок полостей, перфорацию их с образованием проникающих язв, свищей, а также закупорку выводных протоков, что препятствует продвижению содержимого. В последнем случае в связи с раздражением нервных рецепторов отмечают спастические сокращения протоков с болевыми приступами (колики). Из-за давления камня на ткань при закупорке кишечника стенка последнего омертвевает и на этой основе развивается интоксикация организма со смертельным исходом.
| Мукоидное набухание фибриноидных структур стромы органа |
|
| Текст пока не наиден. | ![]() |
| Инфильтрационное ожирение, атрофия миокарда |
|
| Наблюдается истончение мышечных волокон и потеря ими продольной исчерченности, поперечная исчерченность различается но не во всех участках. Вследствии уменьшения объема мышечных волокон ядра их лежат ближе друг к другу, поэтому число ядер в поле зрения кажется увеличенным. В резко выраженных случа ях изменяются форма и объем ядер (вытянутые в длинну, темные, а так же сморщенные ядра). В сакроплазме по полюсам ядер откладыва ется липофусцин в виде мелких буроватых зернышек. С развитием ат рофии количество пигмента увеличивается, и он начинает откладыва ться в саркоплазме по всему волокну. Сами волокна при этом могут полностью атрофироваться и подвергну ться распаду, а на их месте остаются кучки пигмента | ![]() |
| Фибриноидное набухание и гиалиноз бронха |
|
| При гиалинозе происходит набухание и гомогенизация коллагеновых волокон, соседние волокна сливаются, образуя толстые тяжи, балки или целые поля из однородной гиалиновой массы, клеточные элементы подвергаются атрофии и распаду. Наблюдается распад основного вещества, набухание и частичный распад коллагеновых и эластических волокон, плазморрагию с пропитыванием соединительной ткани альбуминами, глобулинами плазмы и фибриногеном. | ![]() |
| Метохромазия хряща при мукоидном набухании |
|
| Мукоидное набухание определяется базофилией и метахромазией волокон и основного вещества, неравномерно выраженным увеличением объема и размытостью контуров и структуры, разволокнением. | ![]() |
| Альтеративное воспаление в виде зернистой дистрофии (слюнная железа) |
|
| Тектс пока не найден. | ![]() |
| Пролиферация и склероз стенок пищевода |
|
| Тектс пока не найден. | ![]() |
| Пролиферация и склероз стенок пищевода |
|
| Тектс пока не найден. | ![]() |
| Продуктивный панкреатит, начальные элементы склероза поджелудочной железы |
|
| Тектс пока не найден. | ![]() |
| Зернистая дистрофия с некробиозом гепатоцитов |
|
| Отмечают неравномерное увеличение объема эпителиальных клеток и мышечных волокон, сдавливающих капилляры, набухание и помутнение цитоплазмы, сглаженность и исчезновение тонкой структуры (щеточной каемки железистого эпителия, и т. д.), появление и накопление в цитоплазме мелкой ацидофильной зернистости белковой природы. При этом границы клеток и очертания ядер различимы с трудом. Иногда цитоплазма приобретает пенистый вид, некоторые клетки отделяются от базальной мембраны и друг от друга (дискомплексация). | ![]() |
| Амилоидная дистрофия |
|
| При общем типичном амилоидозе, наиболее распространенном у сельскохозяйственных животных, амилоид выпадает по ходу ретикулярных волокон сосудистых и железистых мембран и в периретикулярные пространства паренхиматозных органов (периретикулярный или паренхиматозный амилоидоз). Поражаются печень, селезенка, почки, реже надпочечники, гипофиз, собственная оболочка желез кишечника, интима капилляров и артериол. В соединительнотканных клетках накапливаются преамилоидные фибриллы, исчезают рибосомы, гипертрофируются митохондрии (гигантские митохондрии), а также пластинчатый комплекс Гольджи. Накопление амилоида в ткани сопровождается атрофией и гибелью паренхиматозных элементов органа. |
![]() |
| Начальный остеопороз (лакунарная резорбция кости) |
|
| Происходит выщелачивание солей кальция и частичное рассасывание уже сформированных костей. Резорбция костной ткани в гаверсовых каналах и в других местах осуществляется ферментативным путем при участии остеокластов с образованием полостей, или лакун (лакунарная резорбция). Различное сочетание резорбции костной ткани, пониженного синтеза новых костных структур и деминерализации приводит к развитию в одних случаях преимущественно остеопороза, особенно при гормональной остеодистрофии, в других — остеомаляции и остеофиброза с замещением атрофичной костной ткани остеоидной, хрящевой, фиброзной или жировой. | ![]() |
| Гиперфункция щитовидной железы (коллоидный зоб) |
|
| В сильно растянутых фолликулах и особенно в крупных полостях железистый эпителий, представляется низким кубическим, уплощенным, что указывает на его атрофию. Цитоплазма клеток грубо зернистая, ядро пиктоническое, границы клеток сглажены. Встречаются фолликулы, в которых эпителий сохранил форму, но увеличен в объеме. В цитоплазме таких клеток обнаруживают в большом количестве мелкие блестящие зерна коллоида, заполняющие иногда сплошь цитоплазму и оттесняющие ядро к переферии клетки. наблюдается также отслоение клеток от стенок фолликула. Одновременно с атрофическими процессами отмечают гиперплазию железистого эпителия и формирование новых фолликулов. | ![]() |
| Гиперкератоз (ихтиоз) |
|
| Тектс пока не найден. | ![]() |
| Мозоль - механический гиперкератоз кожи ладоней рук |
|
| Тектс пока не найден. | ![]() |
| Остеопороз - начальная стадия |
|
| Тектс пока не найден. | ![]() |
| Гиперкератоз |
|
| Тектс пока не найден. | ![]() |
| Амилоидоз миокарда |
|
| Тектс пока не найден. | ![]() |
| Мукоидное и фибриноидное набухание хряща |
|
| При фибриноидном набухании отмечают распад основного вещества, набухание и частичный распад основного вещества, набухание и частичный распад коллагеновых и эластических волокон, плазморагию с пропитыванием соединительной ткани альбуминами, глобулинами плазмы и фибриногеном. Мукоидное набухание определяется базофилией и метахромазией волокон и основного вещества, неравномерно выраженным увеличением объема размытостью контуров и структуры, разволокнением. | ![]() |



















