Список
экзаменационных
препаратов

Предыдущий препарат

Следующий
препарат

Список экзаменационных микрофотографий

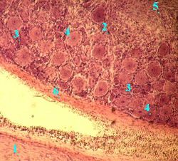
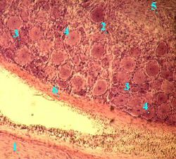
Препарат 8.

Спинномозговой узел. Окраска гематоксилин-эозином.

(Нижеследующее описание основывается на материале тем 12 и 14.)

А. Топография снимка

Прежде чем обсуждать строение узла, полезно разобраться во взаиморасположении   соответствующих структур:

а) слева от снимка должен находиться

спинной мозг (не попавший в препарат);

б) внизу снимка -

передний корешок (1) спинного мозга (по которому из мозга выходят

а) Малое увеличение

Полный размер

аксоны мотонейронов и
преганглионарные волокна вегетативной нервной системы);

в) вверху -

задний корешок (2) спинного мозга и в нём -

спинномозговой узел (3), образующий в этом корешке утолщение;

г) справа - т.н. бифуркация, где передний и задний корешки объединяются в

спинномозговой нерв (который далее распадается на несколько смешанных нервов).

Б. Топография узла

а) Снаружи спинномозговой узел покрыт

  соединительнотканной капсулой (6),
в которой находятся кровеносные сосуды.

Прослойки соединительной ткани (вместе с сосудами) проникают и внутрь узла.

б) В спинномозговом узле находятся

тела чувствительных нейронов (4).

При этом они располагаются группами на периферии узла.

в) В центре узла (между группами нейронов) проходят 

нервные волокна (5), содержащие

отростки чувствительных нейронов.

г) В составе этих волокон

к телам нейронов подходят (на снимке - справа) дендриты, начинающиеся чувствительными окончаниями в соме и внутренних органах  и затем идущие к узлу в составе смешанных нервов;

а от тел нейронов отходят (на снимке - влево) аксоны, которые идут в задних корешках к спинному мозгу и могут

а) оканчиваться в задних рогах спинного мозга (для замыкания наиболее короткой рефлекторной дуги),

б) оканчиваться в промежуточной зоне спинного мозга (откуда идут пути  к мозжечку),

в) не прерываясь, подниматься до продолговатого мозга (до нежного и клиновидного ядер, откуда идут пути через таламус к коре больших полушарий).

В. Характеристика чувствительных нейроцитов

а) Чувствительные нейроциты спинномозговых (да и прочих чувствительных) узлов являются

псевдоуниполярными.

Это значит, что 

места отхождения аксона и дендрита от тела клетки близки,
и кажется, будто клетка имеет всего один отросток,
который затем Т-образно делится на два.

б) Но разглядеть место отхождения отростков от тела чувствительного нейрона на обычном препарате обычно не удаётся.

в) Так что даже при большом увеличении у этих нейронов можно видеть лишь

крупное округлое тело (7)

а в центре последнего - относительно небольшое ядро (8) с плотным ядрышком.

б) Среднее увеличение

Полный размер

Г. Клетки, окружающие нейроциты

Вокруг тела каждого нейрона последовательно располагаются:

клетки-сателлиты (9), или глиоциты ганглиев, или мантийные глиоциты - с мелкими овальными ядрами,

базальная мембрана,

соединительнотканная капсула (10); образующие её фибробласты отличаются узкими ядрами.

То же видно и здесь:

часть тела (1) чувствительного нейрона;

клетки-сателлиты (2) и

фибробласты (3).

в) Большое увеличение

Полный размер