Список
экзаменационных
препаратов

Предыдущий препарат

Следующий
препарат

Список экзаменационных микрофотографий

Препарат 7.

Развитие кости на месте хряща; продольный срез фаланги пальца эмбриона. Окраска гематоксилин-эозином.   (п. 10.4.2).

А. Общие замечания

а) Фаланга пальца - трубчатая кость.
Для таких костей характерен непрямой остеогенез, при котором

вначале образуется модель будущей кости из гиалинового хряща  

и лишь затем хрящ замещается костной тканью -

сперва - грубоволокнистой,
а впоследствии - пластинчатой.


б) При этом образование грубоволокнистой костной ткани происходит одновременно двумя способами - путём

перихондрального (вокруг хряща) и

энхондрального (внутри хряща) окостенения.

Б. Эпифиз

а) Отвечая по данному препарату, целесообразно сразу  указать: где эпифиз, а где - диафиз.

б) На приведённом снимке

эпифиз (1) - справа,
диафиз (2) - слева.

а) Малое увеличение

Полный размер
б) В эпифизе на достаточном удалении от пограничной области находится неизменённый гиалиновый хрящ (6) и в его составе -

хондроциты (9), которые

имеют обычную овальную форму и
лежат в лакунах, иногда образуя изогенные группы.

  Между хондроцитами расположено базофильное межклеточное вещество (10).

б) Среднее увеличение,
область эпифиза


Полный размер

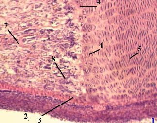
В. Метафиз (пограничная область между эпифизом и диафизом)

В пограничной области имеются две характерные зоны. 

а) Вначале неизменённый гиалиновый хрящ переходит

в зону столбчатого хряща (5), где

продолжается рост хряща и

размножающиеся клетки выстраиваются в колонки (наподобие монетных столбиков) вдоль длинной оси кости.

а) Малое увеличение

б) А эта зона, в свою очередь, переходит

в зону пузырчатого хряща (4) - на самой границе с окостеневающим диафизом. Здесь

нарушено питание хондроцитов,

отчего они находятся в набухшем, вакуолизированном состоянии, т.е. имеют пузырчатую форму

в) Среднее увеличение,
граница эпифиза и диафиза


Полный размер

Г. Диафиз: перихондральное окостенение

В диафизе, как уже отмечалось, происходит пери- и энхондральное окостенение.
а) Малое увеличение
г) Среднее увеличение,
область диафиза


Полный размер
а) Перихондральное окостенение начинается с появления в надхрящнице остеобластов. Тем самым

надхрящница превращается в надкостницу (11).

б) По ходу разрастающихся сосудов остеобласты формируют грубоволокнистую костную ткань - в виде т.н.

костной манжетки (3) вокруг хряща, которая и является результатом перихондрального окостенения.

Д. Диафиз: энхондральное окостенение

а) В свою очередь, костная манжетка нарушает питание хряща.

Это приводит его к дистрофическим изменениям -

набуханию клеток,
минерализации матрикса (омелению),
прорастанию сосудами и
полному разрушению врастающими остеокластами

Затем на этом месте формируются костные балки.

а) Малое увеличение
г) Среднее увеличение,
область диафиза
б) Поэтому в  глубокой области диафиза видны

участки минерализованного хряща (8), имеющие характерный серовато-фиолетовый цвет;

а вокруг них - оксифильные костные балки (7), возникшие путём энхондрального окостенения.

д) Большое увеличение,
область диафиза


Полный размер
в) Кроме того, на снимке г) видны

полости и в них -
кроветворные клетки красного костного мозга (12).