
Препарат 21.
| Тимус
ребёнка. Окраска гематоксилин-эозином. |
(Нижеследующее описание основывается
на материале раздела 20.3.2.)
А. Общие сведения
| 1. а) Тимус, как и
красный костный мозг, относится к центральным органам
кроветворения. б) В нём происходят
заключительные стадии антигеннезависимого созревания Т-лимфоцитов. |
| 2. а) С поверхности
тимус покрыт капсулой
(1) из плотной
волокнистой соединительной ткани. б) От неё отходят перегородки (2), разделяющие тимус на дольки (3).
3. В каждой дольке
различают две области: |
а)
(Малое увеличение)
 Полный размер |
 на периферии - корковое вещество (4), более тёмное на препарате
(поскольку густо заселено лимфоцитами);
в центре дольки - светлое мозговое вещество (5).
4. В свою очередь, в каждой
области имеются два тканевых компонента:
лимфоидный и
стромальный.
|
Охарактеризуем эти
компоненты отдельно для коркового и для
мозгового вещества.
Б. Корковое вещество:
лимфоидный компонент
1. а) В подкапсулярной
области коры находятся
интенсивно делящиеся Т-лимфобласты (1) - клетки класса
IV - более крупные и светлые, чем зрелые лимфоциты.
б) Они образуются из
предшественников Т-лимфоцитов, поступающих сюда
из красного костного мозга. |
б) (Среднее увеличение)
 Полный размер |
2. а) После некоторого числа делений
Т-лимфобласты превращаются в
клетки V класса - созревающие
Т-лимфоциты (2), -
которые занимают основную часть коры. |
 |
б) Те из созревающих Т-клеток, которые несут на
поверхности рецепторы против собственных
антигенных детерминант организма,
отбраковываются: в иих
запускается механизм апоптоза (самоуничтожения).
|
3. а) Оставшиеся зрелые
Т-лимфоциты
попадают в мозговое вещество тимуса и
поступают в
кровеносные капилляры, находящиеся на границе коркового и
мозгового вещества.
б) Далее из кровотока они мигрируют в периферические
лимфоидные органы. |
В. Корковое вещество - стромальный компонент
| 1. Дольки тимуса разделены междольковой соединительной
тканью (2). 2. а) В самих же дольках роль
стромы играют ретикулоэпителиальные,
или эпителиоретикулярные клетки (1).
б) Однако разглядеть их в корковом
веществе среди массы лимфоидных клеток весьма
трудно. |
в) (Большое
увеличение) 
Полный размер |
3. Данные клетки
подразделяются на 3 вида:
опорные клетки - составляют
каркас коркового вещества; часть этих клеток
окружают сосуды и
участвуют в формировании гематотимусного барьера;
секреторные клетки -
выделяют факторы, стимулирующие Т-лимфоцитопоэз;
клетки-"няньки" - имеют
глубокие инвагинации, в которых и происходит
развитие Т-клеток.
|
4. а) В коре тимуса имеются также вспомогательные (акцессорные) клетки макрофагического ряда
(моноцитарного происхождения):
макрофаги,
дендритные клетки,
интердигитирующие клетки.
б) Клетки последних двух видов
представляют образовавшимся в коре Т-лимфоцитам собственные антигенные
детерминанты организма,
что влечёт за собой
процесс отбраковки соответствующих Т-клеток. |
Г. Корковое
вещество: гематотимусный барьер
| 1. В
корковом веществе тимуса можно видеть также капилляры (3) 2. Они участвуют в
образовании гематотимусного
барьера, в который
входят:
эндотелий
капилляров с
непрерывной базальной мембраной,
|

|
периваскулярное
пространство,
особый вид опорных
эпителиоретикулоцитов плоской формы
и их базальная
мембрана.
3. Барьер оберегает созревающие
лимфоциты от контакта с антигенами, находящимися в кровотоке. |
Д. Мозговое вещество: лимфоидный компонент
| 1. а) В мозговом
веществе нет гематотимусного
барьера. б) Поэтому здесь
содержится пул рециркулирующих Т-лимфоцитов
(1),
т.е. клеток, попадающих в тимус повторно из крови.
2. Расположены лимфоциты
здесь гораздо менее плотно, чем в корковом
веществе. |
г) Большое
увеличение:
другое поле зрения 
Полный размер |
| 3. Среди этих
клеток, видимо, присутствуют как антигеннестимулированные,
так и антигенстимулированные Т-лимфоциты. |
Е. Мозговое вещество:
стромальный компонент
| 1. Из-за редкого расположения
Т-клеток, в мозговом слое видны
и эпителиоретикулярные
клетки (2). 2. а) Многие из них (как и
стромальные клетки красного костного мозга) имеют
|
 |
неправильную форму (иногда -
звёздчатую),
розовую
цитоплазму и
бледноокрашенное
ядро.
б) Одни из них выполняют опорную, другие - секреторную
функцию.
|
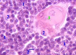
| 3. а) Кроме того, имеется особенный вид
эпителиоретикулярных клеток. – б) Они образуют т.н. тельца
Гассаля,
или слоистые эпителиальные тельца (3) -
концентрические наслоения
эпителиоретикулоцитов.
|
 |
