Список
экзаменационных
препаратов

Предыдущий препарат

Следующий
препарат

Список экзаменационных микрофотографий

Препарат 20.

Срез красного костного мозга  (в препарате 13.Кортиев орган).  Окраска гематоксилин-эозином.

(Нижеследующее описание основывается на материале разделов 20.1.2.1 и 20.3.1.)

А. Введение

1. Напомним из описания преп.13, что речь идёт о срезе головы зародыша мыши.

2. Поэтому в нём могут встретиться различные образования:

многослойный покровный эпителий (выстилающий слизистую оболочку полости рта),
железистый эпителий (слюнные или слёзные железы),
развивающаяся костная ткань (костные балки и красный костный мозг между ними),
развивающиеся зубы,
скелетная мышечная ткань (например, языка),
формирующаяся нервная ткань (извилины больших полушарий или мозжечка; нервные ганглии; нервные стволы);
хоаны (носовые ходы), выстланные многорядным эпителием;
глазное яблоко с хрусталиком, характерной многослойной сетчаткой и другими компонентами стенки,
улитка.

Б. Общее описание

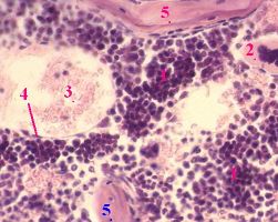
1. а) Таким образом, для демонстрации красного костного мозга необходимо поставить в поле зрения

костные балки (5)

с находящимися между ними многочисленными гемопоэтическими клетками (1) тёмно-фиолетового цвета (точнее, такую окраску имеют их ядра).

б) Совокупность этих клеток составляет важнейший - гемальный - компонент красного костного мозга.

 

Полный размер


2. а) Второй компонент -
стромальный: его клетки имеют

неправильную форму,
светло-розовую цитоплазму и
бледноокрашенное ядро.

б) Однако найти эти клетки на препарате довольно трудно - из-за обилия интенсивно окрашенных гемопоэтических клеток.

3. а) Зато хорошо видны

синусоидные капилляры (3), выстланные плоскими эндотелиоцитами (4).

б) Эти капилляры имеют

широкий просвет и
поры в эндотелиоцитах и базальной мембране,

что способствует интенсивному перемещению созревших клеток из красного костного мозга в кровь.

Теперь несколько подробней охарактеризуем гемальный и стромальный компоненты красного костного мозга.

В. Гемальный компонент

1. а) В красном костном мозгу происходят все стадии миелопоэза, т.е. образование

эритроцитов,
гранулоцитов (нейтрофилов, эозинофилов, базофилов),
моноцитов и
тромбоцитов.

б) Кроме того, здесь же происходят и многие события лимфопоэза:

антигеннезависимое созревание В-лимфоцитов и

образование предшественников Т-лимфоцитов, мигрирующих далее в тимус для окончательного антигеннезависимого созревания.


2. а) Причём, в каждом из этих 8 направлений миело- и лимфопоэза выделяют 6 классов клеток:

I. стволовые клетки крови,
II. полустволовые клетки,
III. унипотентные клетки,
IV. бласты,
V. созревающие клетки,
VI. зрелые клетки.

б) В пределах же V класса часто (в эритропоэзе и  в трёх направлениях гранулоцитопоэза) различают не одну, а целую серию клеточных форм.

в) Поэтому, несмотря на видимое однообразие гемопоэтических клеток (1) на срезе красного костного мозга,

здесь фактически имеется 2-3 десятка видов клеток,

отличающиеся друг от друга потенциями развития и степенью зрелости.

3. а) При этом

клетки каждого направления (начиная с IV класса) располагаются островками,
а в пределах последних, как правило, преобладают клетки V класса.

б) Вот составы некоторых островков

Эритро-
поэтический
островок
Гранулоцито-
поэтические островки
(нейтро-, эозино- и
базофильные)
Тромбоцито-
поэтический
островок
Клетки
IV класса
Эритробласты Миелобласты Мегакарио-
бласты
Клетки
V класса
а) Проэритро-
бласты

б-г) Базофильные,

полихромато-
фильные
и

оксифильные

эритробласты

а) Промиелоциты

б) Миелоциты
(нейтро-, эозино- или базофильные)

в) Метамиелоциты
(нейтро-, эозино- или базофильные)

г) Палочкоядерные
нейтро-, эозино- или базофилы

а) Промега-
кариоциты

б) Мега-
кариоциты

Форменные
элементы
VI класса
а) Ретикулоциты

б) Эритроциты

Сегментоядерные
нейтро-, эозино- или базофилы
Тромбоциты

4. а) На срезе костного мозга среди вышеперечисленных клеток можно различить лишь

мегакариоциты (2) - крупные многоядерные клетки.

б) Их цитоплазма какой-то своей частью обычно проникает в просвет синусоидного капилляра, после чего фрагменты цитоплазмы отщепляются в виде тромбоцитов.

 

Г. Стромальный компонент и клетки с макрофагальной активностью

1. В стромальный компонент красного костного мозга входят клетки четырёх видов:

остеогенные клетки - стволовые клетки для хрящевой и костной ткани;

ретикулярные клетки - имеют отростки и вместе с образуемыми ими ретикулярными волокнами формируют своего рода сеть, в ячейках которой располагаются гемопоэтические клетки;

адвентициальные клетки - клетки наружного слоя капилляров,

адипоциты - жировые клетки, развивающиеся из адвентициальных.


2. Кроме того, в красном костном мозгу имеется несколько видов клеток с макрофагальной (литической) активностью:

типичные макрофаги - поглощают чужеродные и погибающие клетки;

клетки-"кормилки" - находятся в центре эритропоэтических островков и, захватывая ионы железа из крови, передают их эритробластам (для синтеза гемоглобина);

остеокласты - многоядерные клетки, осуществляющие резорбцию костного вещества.