Список препаратов по теме

ВООК

Содержание темы

27.1. Кожа

27.1.1. Исходные сведения

27.1.1.1. Компоненты кожи
27.1.1.2. Типы кожи

27.1.2. Эпидермис: клеточный состав

27.1.2.1. Типы клеток
27.1.2.2. Кератиноциты
27.1.2.3. Меланоциты
27.1.2.4. Внутриэпителиальные макрофаги (клетки Лангерганса)
27.1.2.5. Осязательные клетки Меркеля

27.1.3. Процесс кератинизации

27.1.3.1. Введение
27.1.3.2. Базальные клетки
27.1.3.3. Шиповатые клетки
27.1.3.4. Зернистые клетки
27.1.3.5. Клетки блестящего слоя
27.1.3.6. Роговые чешуйки
27.1.3.7. Резюме
27.1.3.8. Базальная мембрана эпидермиса

27.1.4. Дерма

27.1.4.1. Препарат
27.1.4.2. Характеристика слоёв дермы

27.1.5. Кровоснабжение и иннервация кожи

27.1.5.1. Кровоснабжение
27.1.5.2. Иннервация кожи

27.2. Железы кожи

27.2.1. Потовые железы

27.2.1.1. Общие сведения
27.2.1.2. Характеристика желёз
27.2.1.3. Потовые железы на иллюстрациях
27.2.1.4. Потовые железы на препарате

27.2.2. Сальные железы

27.2.2.1. Общие сведения
27.2.2.2. Характеристика желёз

27.3. Придатки кожи

27.3.1. Волосы

27.3.1.1. Общие сведения
27.3.1.2. Составные части
27.3.1.3. Строение волоса: волосяная луковица
27.3.1.4. Строение волоса: корень и стержень
27.3.1.5. Эпителиальные влагалища волоса
27.3.1.6. Смена волос

27.3.2. Ногти

27.3.2.1. Составные части
27.3.2.2. Строение частей ногтя

27.4. Функции и развитие кожи

27.4.1. Функции
27.4.2. Развитие

 

1. Кроме кожи, человек имеет следующие её производные. -

Ж е л е з ы: Придатки кожи:
потовые,
молочные (по происхождению это видоизменённые потовые железы),
сальные.
волосы,
ногти.

2. а) Молочные железы будут рассмотрены вместе с женской половой системой.
б) Остальные перечисленные структуры и сама кожа - содержание этой темы.

27.1. Кожа

27.1.1. Исходные сведения

27.1.1.1. Компоненты кожи

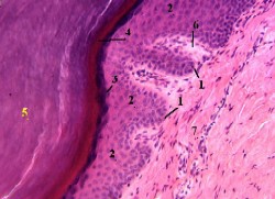
1,а. Препарат - кожа пальца ("толстая" кожа). Окраска гематоксилин-эозином.
1. Ранее мы неоднократно встречались с препаратами кожи (пп. 2.3; 4.2.2.3; 7.2.3.3; 7.3; 13.2.3.1), в т.ч. и с этим.

2. Поэтому вам уже известно, что в коже имеются два основных компонента:

многослойный плоский ороговевающий эпителий, называемый эпидермисом, и

соединительнотканная основа, или дерма.

Полный размер

3. В свою очередь (и об этом тоже говорилось выше),

в эпидермисе выделяют 5 слоев (их обычно перечисляют, начиная с базального, чем обусловлена нумерация в нижеследующей таблице),
а в дерме - два.

Э п и д е р м и с

5. Роговой слой (5)
4. Блестящий слой (4)
3. Зернистый слой (3)
2. Шиповатый слой (2)
1. Базальный слой (1)

Д е р м а

1. Сосочковый слой (6)рыхлая неоформленная соединительная ткань.

2. Сетчатый слой (7) - плотная неоформленная соединительная ткань.

4. Под дермой обычно располагается подкожная жировая клетчатка, или гиподерма.

27.1.1.2. Типы кожи

I. Основные различия

По толщине эпидермиса различают два типа кожи. –

ТОЛСТАЯ КОЖА
(на ладонях, подошвах)
ТОНКАЯ КОЖА
(в остальных участках тела)
1. а) В эпидермисе - все 5 вышеперечисленных слоёв.

б) Роговой слой - очень толстый: ороговевшие клетки образуют несколько десятков рядов.

1. а) Отсутствует блестящий слой.

б) Роговой слой - тонкий: содержит 3-4 ряда ороговевших клеток.

2. Сосочки дермы выражены особенно сильно:
это увеличивает площадь базального (росткового) слоя эпидермиса -
в дифференцировку вступает большее количество клеток.
2. Сосочки дермы выражены слабо.
3. Здесь не растут волосы 3. Растут волосы.


II. Препарат тонкой кожи

2,а. Препарат - кожа с волосом ("тонкая" кожа). Окраска гематоксилин-эозином.


а) Препарат, приведённый выше (в п. 27.1.1.1), относился к
"толстой" коже.

б) Данный же препарат иллюстрирует перечисленные особенности "тонкой" кожи. -

Полный размер

Эпидермис а) Общая толщина эпидермиса - весьма небольшая.
б) В его составе мы видим
только 4 слоя:

базальный (1),
шиповатый (2),
зернистый (3) и
очень тонкий роговой (4).

Дерма а) А. Подлежащая соединительная ткань образует сосочки (5), но они выражены достаточно слабо.
Б. Соответственно, тонким является и сосочковый слой (5) дермы.

б) Под ним расположен сетчатый слой (6), образованный плотной неоформленной соединительной тканью.

Волосы Толщу кожи пронизывают волосы, один из которых (7) виден на снимке.

 

27.1.2. Эпидермис: клеточный состав

27.1.2.1. Типы клеток

1. В эпидермисе находятся клетки следующих типов:

кератиноциты (I),

меланоциты (II),

внутриэпителиальные макрофаги (клетки Лангерганса) (III.А) и
Т-лимфоциты (III.Б),

осязательные клетки Меркеля (IV).

2. Из них только кератиноциты располагаются во всех слоях эпидермиса - базальном (1), шиповатом (2), зернистом (3), блестящем (4) и роговом (5).

3. Ниже приводится краткая характеристика каждого типа клеток.

Схема - эпидермис.

Полный размер

27.1.2.2. Кератиноциты

Кератиноциты - основной тип клеток (85 %) эпидермиса.

I. Обновление состава

1. а) Кератиноциты разных слоёв - это клетки, проходящие последовательные стадии дифференцировки ( в которую вступают исходные стволовые клетки).

б) В процессе дифференцировки происходит образование роговых чешуек (5): последние

лишены всех органелл,
но заполнены кератиновыми филаментами.

2. Продолжительность всего процесса (до слущивания роговых чешуек с поверхности кожи) - 20-40 дней (в зависимости от локализации кожи).

3. а) При этом постоянно происходит

не только слущивание роговых чешуек,
но и вступление в дифференцировку новых стволовых клеток.

б) Поэтому состав кератиноцитов всё время обновляется.

4. Процесс кератинизации и особенности кератиноцитов разных слоёв эпидермиса рассматриваются в п. 27.1.3.


II. Функции кератиноцитов

1. Образование барьера а) Между собой кератиноциты связаны многочисленными контактами, главными из которых являются десмосомы.

б) Благодаря этим контактам и гидрофобным свойствам роговых чешуек, эпидермис выполняет барьерную функцию.

2. Стимуляция Т-лимфоцитов Кератиноциты, подобно эпителиоретикулярным клеткам тимуса, синтезируют вещества (типа тимозина, тимопоэтина и т.д.), которые

привлекают в эпидермис Т-лимфоциты и

вызывают их антигеннезависимую пролиферацию.

3. Активация
вит. D
Поглощая УФ-лучи, кератиноциты превращают неактивный провитамин D в активный витамин.

27.1.2.3. Меланоциты

Локализация а) Меланоциты (II) имеют, скорее всего, невральное происхождение (т.е. выселяются в эмбриогенезе из закладки нервной системы).

б) Они располагаются в базальном слое эпидермиса (составляя не менее 10% клеток этого слоя).

в) Причём, десмосомных контактов с соседними клетками не образуют.

Общая характерис-
тика клеток
а) Меланоциты имеют многоотростчатый вид.

б) Они содержат меланосомы - мембранные органеллы, где синтезируется (из аминокислоты тирозина) и накапливается в виде плотных гранул пигмент меланин.

в) Но при обычной окраске гистологических препаратов (гематоксилин-эозином) меланин не виден и меланоциты выглядят как светлые клетки.

Меланосомы а) У людей разной расы (разного цвета кожи) различно

не количество меланоцитов в эпидермисе,
а количество и размер меланосом в клетках.

б) Некоторое количество меланосом может из меланоцитов эпидермиса переходить в состав других клеток (не способных к синтезу меланина) -

кератиноцитов и макрофагов эпидермиса,
а также меланоцитов дермы.

в) Меланин, поглощая УФ-лучи, защищает подлежащие ткани.

г) При высокой интенсивности солнечного облучения в меланоцитах эпидермиса компенсаторно увеличивается синтез меланина, что внешне воспринимается как загар.

27.1.2.4. Внутриэпителиальные макрофаги
(клетки Лангерганса)

Напомним, что данные клетки находятся также в эпителии воздухоносных путей (пп. 26.2.1.2 и 26.2.3.2).

Происхож-
дение,
локализация
и форма
а) Клетки Лангерганса (III.A), как и прочие макрофаги, происходят из моноцитов.

б) Располагаются в базальном и шиповатом слоях эпидермиса.

в) Подобно меланоцитам,

не образуют десмосомных контактов и

имеют многоотростчатую форму (причём, отростки доходят до зернистого слоя).

Другие особенности
а) Ядро данных клеток - многолопастное.

б) А в цитоплазме содержатся   т.н. гранулы Бирбека в виде теннисных ракеток.

Формо-
образующая
функция
а) Своими вертикально ориентированными отростками клетки Лангерганса способствуют правильной послойной организации кератиноцитов.

б) Видимо, существуют эпидермальные пролиферативные единицы:
каждая из них содержит

определённое число кератиноцитов разной степени зрелости и

организующий их в единое целое макрофаг.

Иммунная
функция
Другая функция клеток Лангерганса - участие в иммунных реакциях: они

представляют корпускулярные антигены привлечённым сюда Т-лимфоцитам,

а также выделяют лизоцим и интерферон.

27.1.2.5. Осязательные клетки Меркеля

Основная функция Клетки Меркеля - один из видов механорецепторов кожи.

( а) Ещё один вид этих рецепторов нам уже знаком - осязательные тельца Мейснера в сосочковом слое дермы; п. 13.2.3.1.

б) Более полно обзор механорецепторов кожи даётся в п. 27.1.5.2.)

Локали-
зация и происхож-
дение
а) Клетки Меркеля (IV) находятся

в базальном слое эпидермиса (их много в кончиках пальцев) и

в волосяных луковицах.

б) Вероятно, они, как и меланоциты, имеют невральное происхождение.

Схема - клетка Меркеля.

Полный размер

Контакт с кератино-
цитами и нервными окончани-
ями
а) Клетки Меркеля образуют десмосомы с соседними кератиноцитами.

б) С этими клетками контактируют окончания дендритов (1) чувствительных нейронов.

в) Причём, образуются т.н. диски Меркеля - объединения нескольких клеток, контактирующих с веточками одного дендрита.

Участие в регенера-
ции
а) Кроме того, данные клетки содержат гранулы с гормоноподобными факторами: энкефалином, вазоинтестинальным пептидом (ВИП) и др.

б) Последние выделяются после раздражения клеток и влияют на

регенерацию эпителия и
тонус кровеносных сосудов.

в) Следовательно, с помощью осязательных воздействий можно влиять на процессы заживления.

27.1.3. Процесс кератинизации

27.1.3.1. Введение

I. Кератиноциты на препарате

1. Несмотря на присутствие в эпидермисе меланоцитов, макрофагов и осязательных клеток,
на гистологическом препарате мы видим, в основном, кератиноциты
на разных стадиях их дифференцировки.

2. Именно благодаря этой дифференцировке и образуются те пять слоёв, которые выделяют в эпидермисе:

базальный (1),
шиповатый (2),
зернистый (3),
блестящий (4) и
роговой (5).

1,б. Препарат - кожа пальца ("толстая" кожа). Окраска гематоксилин-эозином.

Полный размер


II. Кератиноциты на схеме

1. Используя приведённую схему, ниже мы опишем особенности кератиноцитов разных слоёв.

2. Обозначения на схеме таковы:

а) слои кератиноцитов -

I - базальный,
II - шиповатый,
III - зернистый,
IV -
роговой;

б) вне- и межклеточные структуры -

1 - базальная мембрана,
2
- полудесмосомы,
3 -
десмосомы;

в) специфические внутриклеточные структуры:

4 - кератиновые тонофибриллы,
5 - лизосомы и кератиносомы,
6 - "кератогиалиновые" гранулы,
7 - кератин в роговых чешуйках
;

г) обычная внутриклеточная структура:

8 - ядра клеток.

Схема - процесс ороговения в эпидермисе кожи.

27.1.3.2. Базальные клетки

Опре-
деление
1. К базальным клеткам (I) относятся

стволовые клетки, находящиеся в Gо-периоде,

переходные клетки, которые 2-4 раза делятся,

переходные клетки, утратившие способность к делению и вступившие в созревание.

Общий вид а) У большинства данных клеток - овальная или кубическая форма.

б) Цитоплазма - базофильная из-за наличия в ней рибосом.

в) Ядро (8) - крупное, округлой или овальной формы.

Особен-
ности
структуры

а) В тех клетках, которые вступили в дифференцировку, на рибосомах происходит интенсивный синтез
кератина (и др. белков).

б) Кератин образует промежуточные филаменты, или тонофибриллы.

в) Но последних пока мало; они объединены в пучки и вплетаются в

полудесмосомы (2) - контакты с базальной мембраной (1) и
десмосомы (контакты с соседними клетками).

27.1.3.3. Шиповатые клетки

I. Основные сведения

Общая характе-
ристика
1. Шиповатые клетки (II) образуют несколько рядов -

от 3-4 ("тонкая" кожа)
до 10 и более ("толстая" кожа).

2. а) У них - короткие отростки ("шипики"),
между которыми образуются
десмосомы (3).

б) Отсюда - полигональная, шиповатая форма клеток.

Специфи-
ческие
структу-
ры
а) Кератино-
вые
тонофибриллы
(4)
а) Количество этих тонофибрилл увеличивается.

б) Причём, они ориентируются преимущественно концентрически - вокруг ядра.

б) Кератино-
сомы
(5)
а) Появляются также кератиносомы - плотные гранулы, окружённые мембраной.

б) А. В них начинается синтез липидов (церамидов, холестеринсульфата).

Б. Последние позднее (в поверхностных слоях эпидермиса) будут участвовать в связывании клеток друг с другом.

II. Дополнение: две микрофотографии

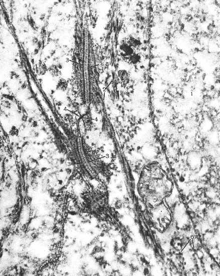
Электронная микрофотография. Шиповатый слой эпидермиса.
   А вот как выглядят шиповатые кератиноциты под электронным микроскопом.

1. а) Межклеточное пространство практически отсутствует (что характерно для всех видов эпителиальных тканей; п. 7.1.2.2).

б) А клетки, действительно, образуют друг с другом множество

десмосомных контактов (4).

2. а) От этих контактов в цитоплазму отходят

пучки кератиновых тонофибрилл (3).

n39.jpg (70851 bytes)

б) В некоторых клетках можно разглядеть и тонофибриллы, ориентированные концентрически вокруг ядра (1).

3. Ядра клеток - крупные, округлой или овальной формы.

4. В цитоплазме видны многочисленные электроноплотные гранулы:

некоторые из них идентифицированы как митохондрии (2);
другие, видимо, представляют собой кератиносомы.

Электронная микрофотография. Часть клеток шиповатого слоя эпидермиса. 
1. Здесь - те же клетки под большим увеличением,

так что на снимке - лишь граничные участки двух кератиноцитов.

2. а) Достаточно хорошо видна структура  десмосомных контактов (3) между этими клетками.

б) Она вполне соответствует классическому описанию (п. 2.2.3.1):

- в области десмосомы плазмолеммы утолщены с внутренней стороны (за счёт белков десмоплакинов),

- отсюда в цитоплазму отходят пучки кератиновых тонофибрилл (2),

n40.jpg (55690 bytes)

- пространство между плазмолеммами расширено (по сравнению с соседними участками (4)),
   причём, в нём  видны (образованные белками десмоглеинами)

поперечные фибриллоподобные структуры
и  срединная перегородка.

3. а) Некоторые тонофибриллы вновь расположены параллельно поверхности ядра (1).

б) В цитоплазме видны также митохондрии (5) и рибосомы (6).

в) Кератиномы в поле зрения не попали.

27.1.3.4. Зернистые клетки

Общая характе-
ристика
а) Клетки лежат в 3-4 ряда.

б) Их тела и ядра (8) несколько уплощены, имея овальную форму.

Специфи-
ческие
структу-
ры
а-б) "Керато-
гиалиновые"
гранулы
(6)
и
кератиновые
тонофибриллы
а) В клетках появляются специфические гранулы, которые и обуславливают зернистость цитоплазмы.

б) Они содержат белок филагрин;

благодаря ему, на поверхности гранул агрегируют кератиновые тонофибриллы.

в) Кератино-
сомы
а) В кератиносомах продолжается синтез специфических липидов;

причём, последние уже начинают поступать в межклеточное пространство в виде ламеллярных (мембраноподобных) структур.

б) Это явление несколько напоминает образование сурфактантного комплекса в альвеолах лёгких (п. 26.3.2.1).

г) Белок кератолинин а) Синтезируется также белок кератолинин.

б) Накапливаясь под плазмолеммой, он постепенно (в клетках последующих слоёв) утолщает оболочку клетки примерно в 20 раз.

Связь между клетками Связь между клетками обеспечивается двумя способами:

ещё сохраняющимися десмосомами и
уже выделившимися в межклеточное вещество липидами.


27.1.3.5. Клетки блестящего слоя

Общие
сведения
а) В блестящем слое клетки тоже лежат в 3-4 ряда и ещё более уплощаются.

б) При этом они лишаются ядер и почти всех прочих органелл (митохондрий, аппарата Гольджи, рибосом и др.) - под действием ферментов лизосом.

в) "Кератогиалиновые" гранулы, обусловившие плотную упаковку кератиновых тонофибрилл, исчезают,
и составлявший их белок
филагрин распределяется по всей клетке.

Структуры
клеток
В итоге, в клетках остаются:

с поверхности - толстая оболочка (плазмолемма и под ней - мощный слой кератолинина),

внутри - продольно расположенные пучки кератиновых фибрилл в матриксе из филагрина.

Связь
между
клетками
а) Между собой клетки связаны липидами (церамидами, холестеринсульфатом),
образованными на предыдущих стадиях
кератиносомами.

б) В коже ладоней и подошв толщина межклеточных "прослоек", видимо, особенно велика; поэтому

границы клеток становятся неразличимыми
и весь слой воспринимается как блестящая полоса.

27.1.3.6. Роговые чешуйки (зрелые корнеоциты)

Форма
и
упаковка
клеток
а) Наконец, клетки ещё более уплотняются и приобретают форму плоских призм - 14-гранников.

б) Это позволяет им более тесно прилегать друг к другу и укладываться в виде столбиков:

по 3-4 (в "тонкой" коже) или
15-20 (в "толстой" коже) рядов.

Механизм
уплотне-
ния
а) Причина уплотнения клеток - появление поперечных сшивок

в составе кератолинина и
в кератиновых тонофиламентах (7).

(В частности, кератин становится нерастворимым).


б) Т.к. потребность в агрегирующей функции
филагрина исчезает,
он распадается до аминокислот.

Описание
клеток
а) В итоге, клетки выглядят как светлые призматические ячейки, которые

имеют толстую (роговую) оболочку из кератолинина и
содержат роговое вещество из т.н. мягкого кератина.

б) Внутри их также часто находятся пузырьки воздуха.

в) Между собой клетки по-прежнему соединены липидными мембраноподобными структурами.

Механизм
десква-
мации
а) В поверхностных слоях рогового слоя фермент стероидсульфатаза (выделяемый лизосомами клеток Лангерганса) разрушает один из склеивающих компонентов - холестеринсульфат.

б) Поэтому адгезия (связь) между роговыми чешуйками ослабевает и происходит их слущивание (десквамация).

в) При недостаточной активности названного фермента наблюдается ихтиоз - избыточное накопление роговых чешуек.

27.1.3.7. Резюме

На основании приведённых сведений можно составить следующую таблицу.

  СПЕЦИФИЧЕСКИЕ СТРУКТУРЫ
Базальные клетки а) Редкие пучки кератиновых тонофибрилл.
Шиповатые клетки а) Кератиновые тонофибриллы (ориентированы концентрически вокруг ядра).

б) Кератиносомы - начинают синтез межклеточных липидов.

Зернистые клетки а-б) "Кератогиалиновые" гранулы: содержат белок филагрин, агрегирующий тонофибриллы.

в) Кератиносомы - синтезируют липиды и выделяют их вне клеток.

г) Белок кератолинин под плазмолеммой.

Клетки блестящего слоя а) Толстая оболочка (под плазмолеммой) из белка кератолинина.

б) Продольно расположенные пучки тонофибрилл в матриксе из филагрина.

в) Межклеточное вещество - церамиды и холестеринсульфат.

Роговые чешуйки (плоские 14-гранники) а) Уплотнённые (за счёт поперечных связей) роговые оболочки.

б) Уплотнённые (за счёт поперечных связей) пучки тонофибрилл - мягкий кератин (без филагрина).

в) Межклеточное вещество: в поверхностных рядах слоя - гидролиз холестеринсульфата.

27.1.3.8. Базальная мембрана эпидермиса

В базальной мембране эпидермиса - 2 слоя.

  К О М П О Н Е Н Т Ы
Светлая пластинка (наружная) Белки ламинин и фибронектин - образуют якорные филаменты, которые (наряду с полудесмосомами) связывают базальные клетки с мембраной.
Тёмная пластинка (внутренняя) а) Протеогликан гепаринсульфат - образует фильтрационный барьер.

б) Коллагеновые волокна (из коллагена IV типа) - образуют ромбовидную сеть.

27.1.4. Дерма

27.1.4.1. Препарат

2,б. Препарат - кожа с волосом ("тонкая" кожа). Окраска гематоксилин-эозином.
Как уже отмечалось (п. 27.1.1.1), в дерме различают 2 слоя:
сосочковый слой (1) - образован рыхлой неоформленной соединительной тканью; и
  сетчатый
слой (2)
-
представлен плотной неоформлен-
ной соединительной тканью.

Полный размер

27.1.4.2. Характеристика слоёв дермы

Краткая характеристика двух слоёв дермы приводится в таблице.

  СОСОЧКОВЫЙ СЛОЙ СЕТЧАТЫЙ СЛОЙ
Клетки Фибробласты
Макрофаги
Тучные клетки (и др.)
Фибробласты
Волокна Тонкие коллагеновые

Эластические

Мощные пучки коллагеновых волокон, образующие трёхмерную сеть (строение которой зависит от функциональной нагрузки на участке кожи).

Сеть эластических волокон.

Другие элементы Небольшие пучки гладких миоцитов:

одни связаны с волосом и поднимают его;

другие вызывают появление "гусиной кожи" и сжимают при этом мелкие сосуды.

Потовые железы.

Сальные железы.

Корни волос (волосяные фолликулы).

Линии
на
коже
Сосочкам дермы соответствуют на "толстой" коже гребешки эпидермиса.

то лежит в основе дактилоскопии).

Сеть коллагеновых волокон сетчатого слоя обусловливает появление линий Лангера.

Это более крупный рисунок, видимый, например, на запястье в виде ромбовидной сети.


27.1.5. Кровоснабжение и иннервация кожи

27.1.5.1. Кровоснабжение

Кровоснабжение кожи отражается следующей схемой.

27.1.5.2. Иннервация кожи

I. Схема

1. Эфферентные окончания вегетативной нервной системы иннервируют в коже

гладкие миоциты в сосудах,
внесосудистые гладкие миоциты,
потовые железы.

2. а) Кроме того, в коже - много чувствительных нервных окончаний.
б) Их виды и локализация показаны на схеме.


II. Осязательные тельца Мейснера на препарате: специальная окраска

3. Препарат - осязательное тельце кожи. Импрегнация азотнокислым серебром.
1. Для иллюстрации приведён снимок (из п. 13.2.3.1), на котором, благодаря специальной обработке препарата, выявляется осязательное тельце Мейснера.

2. Мы видим обычные компоненты кожи:

эпидермис (1) и
сосочковый слой дермы (2).

3. а) Осязательное тельце (3) располагается в одном из соединительнотканных сосочков.

Полный размер

б) Оно включает три компонента, обычные для инкапсулированных нервных окончаний:

конечные ветвления дендрита,

окружающие их видоизменённые глиальные клетки (которые, возможно, принимают участие в рецепции),

тонкую (в данных тельцах) соединительнотканную капсулу.

4. а) От тельца отходит дендрит (4) чувствительного нейрона.
б) Тело нейрона, как мы знаем (п. 14.2.2.1), находится в одном из спинномозговых ганглиев.


III. Осязательные тельца Мейснера на препарате: обычная окраска

1,в. Препарат - кожа пальца. Окраска гематоксилин-эозином.

1. А этот снимок показывает, что осязательное тельце (3) можно обнаружить (хотя с большим трудом) и при обычной окраске.

2. Как обычно, оно располагается в сосочке (2) дермы.

Полный размер

Продолжение темы