Начало темы

Список препаратов по теме

27.2. Железы кожи

27.2.1. Потовые железы

27.2.1.1. Общие сведения

1. Количество потовых
желёз
а) Средняя концентрация - 200 желёз/см2 кожи.

б) Общее количество -

2·102 1/cм2 · 2·104 см2 (площадь кожи) = 4.000.000 желёз.

2. Пот а) Объём пота - 600-700 мл/сутки.
б) Состав:

98 % - вода,
2 % - твёрдые компоненты:

соли (NaCl и др),

продукты метаболизма (лактат, мочевина, мочевая кислота, аммиак и др.),

некоторые белки.

3. Функцио-
нальное
значение
Функциональное значение потоотделения: это

один из способов теплоотдачи,

дополнительный способ выделения продуктов обмена.

4. Регуляция
Большинство потовых желёз стимулируется

симпатической нервной системой,

но эффекторным  медиатором является не норадреналин, а

ацетилхолин.

5. Тип
потовых
желёз
а) По морфологии потовые железы  -

простые неразветвлённые трубчатые.

б) По характеру секреции бывают двух видов:

мерокриновые (эккриновые) и
апокриновые.

27.2.1.2. Характеристика желёз

  МЕРОКРИНОВЫЕ ЖЕЛЕЗЫ АПОКРИНОВЫЕ
ЖЕЛЕЗЫ
1. ЛОКАЛИЗАЦИЯ Составляют большинство потовых желёз. Находятся в

подмышечных впадинах,
аногенитальной области,
коже лба.

2. ПОЯСНЕНИЕ ТИПА СЕКРЕЦИИ Выделяя секрет, клетки сохраняют свою целостность. Выделение секрета сопровождается разрушением апикальных отделов секреторных клеток.
3. СОСТАВ СЕКРЕТА Содержание органических веществ - низкое (около 2%). а) В секрете - относительно много (до 5 %) органических веществ (в т.ч. белков секреторных клеток).

б) При их разложении на поверхности кожи - резкий запах.

4. КОНЦЕВЫЕ ОТДЕЛЫ а) В обоих случаях концевые отделы

располагаются в глубоких слоях дермы и в подкожной клетчатке;

представляют собой длинные трубочки, свёрнутые в клубочек;

содержат секреторные и миоэпителиальные клетки (образующие однослойный эпителий).

б) Но у мерокриновых желёз размер концевых отделов невелик - 30-35 мкм. б) У апокриновых желёз концевые отделы - крупные - 150-200 мкм.
5. ВЫВОДНЫЕ ПРОТОКИ а) В обоих случаях выводные протоки

образованы двуслойным кубическим эпителием;

представляют собой длинные трубочки, имеющие спиралеобразный ход.

б) При этом у мерокриновых желёз выводные протоки открываются на поверхности кожи потовыми порами. б) У апокриновых желёз выводные протоки обычно открываются в волосяные воронки (вместе с сальными железами).
При повреждениях кожи клетки выводных протоков потовых желёз могут участвовать в регенерации эпидермиса.
6. ПРОИС-
ХОЖДЕНИЕ ЖЕЛЁЗ
Из эпидермальных почек, врастающих в мезенхиму. Из закладок волосяных фолликулов.
7. СПЕЦИАЛЬНЫЕ ВИДЫ ЖЕЛЁЗ ------------ Железы наружного слухового прохода, выделяющие ушную серу.

27.2.1.3. Потовые железы на иллюстрациях

I. Малое увеличение

Рисунок с препарата - кожа пальца; окраска гематоксилин-эозином.
1. При этом увеличении видны:

эпидермис (1) с очень толстым роговым слоем (1.А),
сосочковый (2.А) и сетчатый (2.Б) слои дермы,
подкожная жировая клетчатка (3).

2. Концевые отделы (4) потовых желёз

расположены на границе дермы с подкожной клетчаткой и
имеют вид клубочков.

Полный размер

3. а) Что же касается выводных протоков, то, из-за их спиралеобразного хода, мы видим в дерме лишь отдельные фрагменты протоков (5.А), похожие на изогнутых червячков.

б) В поле зрения также попала эпидермальная часть протока (5.Б), заканчивающаяся потовой порой (5.В).

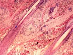
II. Большое увеличение

Рисунок с препарата - потовая железа; окраска гематоксилин-эозином.
Клетки концевых отделов а) При большом увеличении в концевых отделах можно различить

секреторные клетки (6) - высокие, с округлыми ядрами, и

миоэпителиальные клетки (7) - уплощённые и располагающиеся по периферии концевого отдела.

б) Своими сокращениями последние клетки способствуют выделению секрета.

Секретор-
ные  клетки

В свою очередь,
секреторные клетки подразделяют на

светлые - продуцируют воду и ионы,
тёмные - секретируют органические вещества.

Выводные протоки
Лежащие рядом начальные участки
выводных протоков (5.А) отличаются от концевых отделов двумя признаками:

меньшим диаметром и
большей базофилией.

27.2.1.4. Потовые железы на препарате

I. Глубокие слои кожи

2,в-г. Препарат - кожа с волосом ("тонкая" кожа). Окраска гематоксилин-эозином.
(Малое увеличение)

в) Полный размер

(Большое увеличение)

г) Полный размер

1. а) Здесь мы видим в толще кожи выводные протоки (1) и концевые отделы (1.А) потовых желез.

б) Из-за извилистого хода, протоки попадают в срез лишь отдельными червеобразными фрагментами.

2. Участок дермы, находящийся в поле зрения, - это сетчатый слой (2):
в нём находятся
толстые пучки оксифильных коллагеновых волокон, идущие в разных направлениях.

3. Также на снимках -

внутрикожные части волос (3) (левый снимок) и
мышца, поднимающая волос (3.А) (правый снимок).

4. Наконец, виден концевой отдел сальной железы (4), на строении которого мы остановимся в п. 27.2.2.2.


II. Поверхностные слои кожи

2,д. Препарат - кожа с волосом ("тонкая" кожа). Окраска гематоксилин-эозином.
Обратимся также к снимку более поверхностной части кожи.

1. В поле зрения - сетчатый (1) и сосочковый (2) слои дермы,
а также
эпидермис (3).

2. а) Все эти слои пронизывает длинный неразветвлённый проток потовой железы (4).

б) Он открывается на поверхности потовой порой (5).

Полный размер

 

27.2.2. Сальные железы

27.2.2.1. Общие сведения

1.а) Распро-
странение
А. Сальные железы имеются на всей площади "тонкой" кожи

(т.е. данных желёз нет только в "толстой" коже ладоней и подошв).

Б. При этом большая часть желёз связана с волосами, открываясь своими выводными протоками в волосяные воронки.

1.б) Концентрация А. С 1 волосом связано по 1-3 железы.

Б. В расчёте на площадь кожи, получается 50-800 желёз/см2,
в зависимости от участка тела (больше всего - в коже головы).

2. Секрет - кожное сало а) Продукция кожного сала - 20 г/сутки.

б) Состав:

60 % - нейтральный жир (триглицериды),

40 % - cквален (нециклический углеводородный предшественник холестерина), сам холестерин и восковые эфиры.

в) Благодаря сальным железам, рН на поверхности кожи - слабокислый (4,5-5,5).

3. Функцио-
нальная роль
Функциональная роль кожного сала:

смазка кожи и волос,

бактерицидное и фунгицидное действие,

ограничение теплопотери.

4. Тип
сальных желёз
а) По морфологии - простые альвеолярные железы с разветвлёнными концевыми отделами.

б) По характеру секреции - голокринные (секреторные клетки, выделяя секрет, полностью разрушаются).

5. Регуляция а) Регуляция - не нервная (как в случае потовых желёз), а гормональная:

стимулирующее действие на образование кожного сала оказывают половые гормоны - тестостерон и прогестерон.

б) Выделение же кожного сала из сальных желёз стимулируется при сокращении мышцы, поднимающей волос, т.е. при охлаждении организма.

27.2.2.2. Характеристика желёз

I. Строение

2,е. Препарат - кожа с волосом ("тонкая" кожа). Окраска гематоксилин-эозином.


а) Строение сальных желёз уже описывалось в п. 7.3.3
.

б) Напомним основные моменты и сделаем некоторые добавления.

Полный размер

1. Положение в коже Сальные железы располагаются более поверхностно, нежели потовые железы, - на границе сетчатого и сосочкового слоёв дермы.
2. Концевые отделы:
общий вид
а) А. Концевой отдел железы - это "гроздь" из нескольких мешочков, или альвеол (1).

Б. Такое строение и означает ветвление концевых отделов.

б) В каждом мешочке - несколько сотен клеток - себоцитов.

3. Себоциты а) Среди себоцитов различают:

малодифференцированные базальные (или камбиальные) клетки, способные к митотическим делениям,

секреторные клетки на разных стадяих жирового перерождения.

б) Последние

имеют большой объём, светлую ячеистую цитоплазму и
постепенно смещаются к выводному протоку.

в) Смесь перерождённых и разрушенных себоцитов и составляет кожное сало.

4. Выводной
проток
а) Выводной проток (2) сальной железы -

короткий и
выстлан многослойным плоским эпителием.

б) Он, как уже говорилось, открывается в волосяную воронку.

Заметим, что на вышеприведённом снимке рядом с сальной железой и волосом видна мышца, поднимающая волос (3).


II. Типы себоцитов на препарате

2,г. Препарат - кожа с волосом ("тонкая" кожа). Окраска гематоксилин-эозином.

1. Здесь на уже известном нам снимке - несколько альвеол сальной железы.

2. Хорошо различимы разные виды себоцитов:

базальные (или камбиальные) клетки (4.А) - тёмные и относительно небольшие;

Полный размер

созревающие секреторные клетки (4.Б) - с увеличивающимся объёмом и всё более светлой и ячеистой цитоплазмой;
разрушенные клетки (4.В) - с плотными гиперхромными ядрами.

 

27.3. Придатки кожи

27.3.1. Волосы

27.3.1.1. Общие сведения

1. Количество волос а) Волосы, как и связанные с ними сальные железы, распространены почти по всей поверхности "тонкой" кожи (за исключением ряда мест).

б) Количество волос на голове - до 100.000.

в) Общее количество волос на теле - несколько сотен тысяч.

2. Рост волос а) Скорость роста волоса - 0,3-0,4 мм/сутки.

б) Длина - от нескольких мм до 1,5-2,0 м.

3. Обновление
волос
а) Средняя продолжительность жизни волоса -
от нескольких месяцев
до 2-4 лет.

б) На месте выпавшего волоса обычно вырастает новый волос.

в) Всего за жизнь человека вырастает (и выпадает) несколько миллионов волос.

4. Регуляция роста а) Андрогены стимулируют рост волос на лице (усы, борода).

б) В то же время, как считается, стрижка и бритьё не оказывают влияние на скорость роста волос.

5. Типы волос Различают три типа волос:

длинные (волосы головы, бороды, усов, подмышечных впадин и лобка),

щетинистые (волосы бровей и ресниц),

пушковые (остальные волосы).

27.3.1.2. Составные части

а) Волос образует единый комплекс с целым рядом структур, содержащихся в дерме.

б) Данный комплекс включает:

собственно волос,

волосяной фолликул,

дермальное влагалище,

дополнительные структуры (сальные железы и мышцу, поднимающую волос).

в) Дадим вначале общее представление о компонентах этих структур.

I. Собственно волос

1. Части волоса По длине волос подразделяется на 3 части; это

волосяная луковица (1) - расширение в основании волоса;

корень (2) - следующая часть, до выхода волоса в волосяную ямку (4)

(последняя образуется эпидермисом кожи);

стержень (3) - остальная (свободная) часть волоса.

Полный размер

2. Слои волоса а) По толщине в корне и стержне длинных и щетинистых волос выделяют 3 слоя:

кутикулу (5) - самый поверхностный,

корковое вещество (6) и

мозговое вещество (7) - внутренний слой.

б) В пушковых волосах мозгового слоя нет.

3. Клеточный состав а) Волосяная луковица состоит из эпителиальных клеток.

б) Все же слои корня и стержня построены из ороговевающих клеток или (по большей части) уже ороговевших клеток - роговых чешуек.


II. Волосяной фолликул

1. Компо-
ненты
а) Волосяной фолликул - это футляр (или мешок) эпителиальной природы, в который заключены луковица и корень волоса.

б) Фолликул включает 2 эпителиальных корневых влагалища:

внутреннее влагалище (8) - образуется за счёт деятельности волосяной луковицы,
наружное влагалище (9) - производное эпидермиса кожи.
2. Верхняя часть фолликула а) Сверху фолликул простирается до места перехода корня волоса в стержень,
т.е. до дна
волосяной ямки (4).

б) Здесь

внутреннее эпителиальное влагалище заканчивается,

а наружное эпителиальное влагалище переходит в эпидермис.

3. Фолликул в широком смысле Заметим: иногда под волосяным фолликулом понимают

не только пару эпителиальным влагалищ,

но и содержащиеся внутри них луковицу и корень волоса.


III. Дермальное влагалище (10), или волосяная сумка

1. Волосяная сумка - это соединительнотканный мешок вокруг эпителиального футляра (волосяного фолликула).


2. Здесь
различают 2 слоя волокон:

внутренний циркулярный и

наружный продольный.


3.
Снизу соединительная ткань вдаётся в волосяной фолликул в виде волосяного сосочка (11),
содержащего питающие сосуды.


IV. Дополнительные структуры волосяного комплекса

Сюда, как уже отмечалось, относятся 2 структуры.
Сальные железы (12) - открываются в волосяную воронку (4).
Мышца, поднимающая волос (13) А. Это пучок гладких миоцитов, идущий в косом направлении -

от дермального влагалища
до сосочкового слоя дермы.

Б. При сокращении мышцы волос становится вертикально.

Теперь более детально рассмотрим строение волоса и волосяного фолликула.

27.3.1.3. Строение волоса: волосяная луковица

2,ж. Препарат - кожа с волосом ("тонкая" кожа).
Окраска гематоксилин-эозином.


а) Напомним:
волосяная луковица (1) - самая нижняя часть волоса.

б) Она контактирует с соединительнотканным волосяным сосочком (2) и получает от него питание.

Полный размер

1. Матричная роль луковицы а) Эпителиальные клетки волосяной луковицы (кератиноциты) лежат многослойным пластом.

б) Клетки базального (а отчасти и шиповатого) слоя

активно делятся (каждые 1-3 суток),
тем самым играют такую же роль, как базальные клетки эпидермиса,
и поэтому называются матрицей (3) волоса.

б) Размножаясь, клетки матрицы дают начало

всем трём слоям волоса (кутикуле, корковому и мозговому веществу) и

внутреннему эпителиальному влагалищу (4).

2. Клеточный состав а) Кератиноциты луковицы имеют полигональную форму и крупное овальное ядро.

б) Кроме них, как и в базальном слое эпидермиса (п. 27.1.2), в луковице содержатся также другие клетки:

меланоциты,
внутриэпителиальные макрофаги (клетки Лангерганса),
осязательные клетки Меркеля.

27.3.1.4. Строение волоса: корень и стержень

В корне и стержне волоса, как мы знаем, имеются три слоя -

мозговое вещество,
корковое вещество и
кутикула.

I. Мозговое вещество

1. Клеточный состав в корне волоса:

изменение по мере продвижения вверх.

а) Мозговое вещество (5) корня волоса состоит из клеток полигональной формы, лежащих друг на друге в виде монетных столбиков.

б) По мере продвижения вверх в них происходят описанные выше (п. 27.1.3) процессы ороговения, т.е. появляются

кератиносомы,

"кератогиалиновые" гранулы,

оболочки из белка кератолинина.

2,з. Препарат - кожа с волосом ("тонкая" кожа). Окраска гематоксилин-
эозином.

Полный размер

2. Клеточный состав в стержне а) На уровне перехода корня в стержень ороговевание мозгового вещества заканчивается.

б) Следовательно, в стержне мозговое вещество состоит из роговых чешуек, содержащих мягкий кератин.

3. Неклеточные компоненты а) В клетках и чешуйках мозгового вещества содержатся также

пигмент меланин (попадающий из меланоцитов волосяной луковицы) и
пузырьки воздуха.

б) С возрастом (при поседении волос)

количество пигмента снижается (за счёт уменьшения активности тирозиназы - фермента, катализирующего первую стадию образования меланина),

а количество пузырьков воздуха - увеличивается.


II. Корковое вещество и кутикула

1. Состав а) На снимке 2,з клеточное строение коркового вещества (6) и кутикулы (7) не просматривается.

б) Тем не менее, эти слои волоса тоже состоят из клеток,
которые быстро (примерно со второй четверти корня) превращаются в очень плоские
роговые чешуйки.

в) В роговых чешуйках коркового вещества тоже (как и в мозговом слое волоса) содержатся

зёрна пигмента и
пузырьки воздуха.

2,з. Препарат - кожа с волосом ("тонкая" кожа). Окраска гематоксилин-
эозином.

Полный размер

2. Форма и располо-
жение чешуек
а) В корковом слое чешуйки -

вытянутые (продольный размер в 20 раз больше поперечного)

и расположены перпендикулярно оси волоса.

б) В кутикуле чешуйки

гораздо короче и

лежат черепицеобразно: отходят от волоса под углом вверх,
располагаясь в 6-10 слоёв.

3. Особен-
ности
ороговения
В корковом слое и кутикуле ороговение отличается от такового в мозговом слое. -

а) Во-первых, оно происходит очень быстро (как уже сказано, на уровне первой четверти корня).

б) Во-вторых, отсутствует промежуточная стадия "кератогиалиновых" гранул.

в) В-третьих, продукт ороговения - не мягкий, а твёрдый кератин:

в нём гораздо выше количество дисульфидных связей (из-за более высокого содержания цистеина),

поэтому данный кератин плохо растворяется в кислотах и основаниях.


III. Резюмирующая таблица
: строение волоса

  Мозговое вещество Корковое вещество Кутикула

Клетки

В корне волоса - клетки полигональной формы;

в стержне волоса - роговые чешуйки;

те и другие уложены монетным столбиком.

Со второй четверти корня - очень вытянутые и плоские роговые чешуйки,

лежат перпендикулярно оси волоса.

Со второй четверти корня - короткие роговые чешуйки,

уложены черепицеобразно.

Кератин Мягкий кератин. Твёрдый кератин.
Другие компоненты

Меланин.
Пузырьки воздуха.

---------

27.3.1.5. Эпителиальные влагалища волоса

2,з. Препарат - кожа с волосом ("тонкая" кожа).
Окраска гематоксилин-эозином.

Сведения об эпителиальных влагалищах волоса сведены в таблицу. -

Полный размер

  Внутреннее эпителиальное влагалище (4) Наружное эпителиальное влагалище (8)
Происхождение Из клеток волосяной луковицы. Из эпидермиса.
Строение на уровне нижней трети корня 3 слоя:

кутикула - слой клеток, связанный с кутикулой волоса;

гранулосодержащий и

бледный слой.

Двуслойный
эпителий
Строение на вышележащих уровнях корня Единый слой из роговых чешуек с "мягким" кератином. Многослойный пласт неороговевающего эпителия.

В области воронки переходит в эпидермис.

Участие в регенерации эпидермиса --------- При повреждениях кожи клетки наружных эпителиальных влагалищ волос могут участвовать в регенерации эпидермиса.

27.3.1.6. Смена волос

1. Волос в своём жизненном цикле проходит 3 фазы:

I. фазу роста (фазу анагена),

II. фазу инволюции сосочка и луковицы (фазу катагена),

III. фазу покоя (фазу телогена) - до выпадения волоса.


2. Более подробно содержание этих фаз о
тражается следующей схемой (указанные на ней цифры соответствуют цифрам на рисунке).-

Рисунок - смена волос:
I - прекращение роста старого волоса;
II - фаза покоя старого волоса и начало роста нового волоса.

Полный размер

27.3.2. Ногти

27.3.2.1. Составные части

1. а) Ноготь (3.А-Б) - это роговая пластинка из твёрдого кератина, лежащая на ногтевом ложе (1-2).

б) Сверху ногтевое ложе содержит ростковые слои эпидермиса, называемые подногтевой пластинкой (2).

в) Поэтому можно сказать и так, что

ноготь - это роговой слой подногтевой пластинки.

Рисунок - строение ногтя.

Полный размер

г) Он образован плотно прилегающими дркг к другу роговыми чешуйками, содержащими твёрдый кератин.

2. Сзади и с боков ноготь прикрыт складками кожи - ногтевыми валиками (5).

27.3.2.2. Строение частей ногтя

В свою очередь, перечисленные структуры включают по несколько компонентов. -

1. Ногтевое ложе а) Дермальное ногтевое ложе
(1)
а) Образовано соединительной тканью;
в частности, богато
коллагеновыми волокнами.

б) Образует

продольные складки с сосудами,

а в задней части (в области роста ногтя) - ещё и сосочки с сосудами.

б) Подногтевая пластинка
(2)
а) Покрывает дермальное ложе и, как отмечалось, представляет собой ростковый слой эпидермиса.
б) Содержит базальный и шиповатый слои клеток.

в) Задняя часть подногтевой пластинки - ногтевая матрица (2.А), т.е. место роста ногтя (где происходит деление и ороговение клеток).

2. Ногтевая пластинка в) Корень
(3.А)
а) Это задняя часть ногтевой пластинки, почти вся прикрытая кожной складкой - задним ногтевым валиком (5).

б) Часть корня выступает из-под кожной складки в виде полулунного беловатого участка - луночки ногтя (4).

б) Тело
(3.Б)
Это остальная часть ногтевой пластинки, лежащая на ногтевом ложе.
в) Край Часть пластинки, выступающая над ложем.
3. Ногтевые валики а) Ростковые слои эпидермиса Ростковые слои эпидермиса ногтевых валиков (базальный и шиповатый) делают 2 перегиба:

вначале с наружной поверхности валиков переходят на внутреннюю (сращённую с верхней поверхностью ногтя),

затем, огибая корень ногтя, переходят в подногтевую пластинку.

б) Роговой слой эпидермиса Роговой же слой эпидермиса валиков

у их края покидает остальные слои

и несколько наползает сверху на тело ногтя, образуя прозрачную кожицу ногтя (5).

27.4. Функции и развитие кожи

27.4.1. Функции

Рассматривая отдельные компоненты кожи, мы указывали и их функции.
Суммируя эти сведения, приходим к следующей таблице.

1. Кератиноциты а) Барьерная функция.

б) Образование активной формы витамина D.

в) Привлечение Т-лимфоцитов.

2. Эпителиальные макрофаги и Т-лимфоциты Участие в иммунных реакциях.
3. Меланоциты Защита подлежащих тканей от УФ-излучения.
4. Клетки Меркеля и рецепторные окончания Восприятие прикосновения, давления, боли, температуры.
5. Сосуды и гладкие миоциты дермы а) Депонирование крови.
б) Теплоотдача (путём теплопередачи) и её регуляция.
6. Потовые железы а) Ещё один способ теплоотдачи (путём испарения).
б) Выделение некоторых продуктов обмена.
7. Сальные железы а) Ограничение теплопотери.
б) Смазка кожи, в т.ч. усиление её гидрофобности.
в) Бактерицидное и фунгицидное действие.
8. Волосы и ногти. а) Отчасти защитная функция (ногти).
б) У человека, в основном, - косметическая функция.

Таким образом, функции кожи весьма многообразны.

27.4.2. Развитие

Развитие кожи отражается схемой. –