Список препаратов по теме

ВООК

Содержание темы

25.1. Толстая кишка

25.1.1. Ободочные отделы кишки

25.1.1.1. Макроскопические особенности
25.1.1.2. Состав стенок
25.1.1.3. Препарат

25.1.2. Червеобразный отросток

25.1.2.1. Особенности строения
25.1.2.2. Препарат

25.1.3. Прямая кишка

25.1.3.1. Подразделение на части
25.1.3.2. Особенности строения стенок

25.2. Печень

25.2.1. Общие сведения

25.2.1.1. Компоненты печени
25.2.1.2. Взаимосвязь компонентов
25.2.1.3. Функции печени

25.2.2. Строение печени

25.2.2.1. Виды внутрипечёночных кровеносных сосудов
25.2.2.2. Печёночные дольки
25.2.2.3. Препарат: общее строение долек (иллюстрация предыдущего)
25.2.2.4. Гепатоциты
25.2.2.5. Кровеносные внутридольковые капилляры
25.2.2.6. Желчные капилляры
25.2.2.7. Дополнительные иллюстрации
25.2.2.8. Желчные внутрипечёночные протоки

25.2.3. Внепечёночные желчные протоки и желчный пузырь

25.2.3.1. Общие сведения
25.2.3.2. Строение стенок

25.2.4. Развитие печени

25.3. Поджелудочная железа

25.3.1. Общие сведения

25.3.1.1. Внешний вид
25.3.1.2. Компоненты железы и их функция
25.3.1.3. Иллюстрация
25.3.1.4. Развитие поджелудочной железы

25.3.2. Экзокринная часть

25.3.2.1. Ацинусы
25.3.2.2. Ацинарные клетки
25.3.2.3. Выводные протоки поджелудочной железы

25.3.3. Эндокринная часть

25.1. Толстая кишка

25.1.1. Ободочные отделы кишки

25.1.1.1. Макроскопические особенности

I. Подразделение на отделы

1. Общая длина толстой кишки - 1 - 1,5 м;
ширина колеблется в пределах 4-7 см.


2. Как отмечалось в п. 23.1.1, эта кишка включает
6 отделов:

короткую слепую кишку (8) с червеобразным отростком (9) -

участок толстой кишки от её начала до места впадения тонкой кишки;

восходящую ободочную кишку (10),

поперечную ободочную кишку (11),

нисходящую ободочную кишку (12),

сигмовидную ободочную кишку (13) и

прямую кишку (14).


II. Наружная поверхность

Почти на всём своём протяжении (кроме прямой кишки) толстая кишка имеет с наружной поверхности следующие особенности.-
а) Три продольных тяжа, или ленты
На эти тяжи распадается
наружный слой мышечной оболочки кишки (который, таким образом, здесь не является сплошным).
б) Поперечные вздутия (выпячивания). Они образуются вследствие того, что продольные мышечные тяжи несколько короче остальных слоёв кишки.
в) Жировые отростки. Это выпячивания (длиной до 4-5 см) серозной оболочки, содержащие жировую ткань.


III. Внутренняя поверхность

Со стороны  внутренней  поверхности толстой кишки особенности таковы. -
а) Полулунные циркулярные складки А. Складки образуются по той же причине, что и поперечные вздутия,
и располагаются между последними.

Б. В их образовании участвуют все слои стенки (а не только слизистая оболочка).

В. Складки отсутствуют в области лент;
поэтому они
не сплошные, а полулунные.

б) Отсутствие ворсинок
Из-за отсутствия ворсинок внутренняя поверхность
является гладкой (а не бархатистой, как у тонкой кишки)

25.1.1.2. Состав стенок

а) Обзор строения стенки толстой кишки дадим в сравнении со строением тонкой кишки.

б) Некоторые отличия нам уже известны из предыдущего пункта.

  Тонкая кишка Толстая кишка
(без прямой кишки)

Рисунок с препарата

Образования слизистой оболочки

1. Циркулярные складки.

2. Ворсинки (1.А).

3. Крипты (1.Б) (трубчатые углубления).

а) Только крипты (1.Б):

ворсинок нет,
а складки образуются всеми оболочками.

б) При этом крипты глубже, шире и многочисленней.

ЭПИТЕЛИЙ

(однослойный цилиндри-
ческий):

СОСТАВ

1. Столбчатые эпителиоциты (с каёмкой из микроворсинок).

2. Бокаловидные клетки.

3. Эндокриноциты.

4. Клетки с ацидофильными гранулами (клетки Панета).

5. Недифференцированные клетки (в основании крипт).

Встречаются те же 5 типов эпителиоцитов, что и в тонкой кишке, но

доля бокаловидных клеток значительно выше, чем в тонкой кишке;

у столбчатых эпителиоцитов каёмка - более тонкая, чем в тонкой кишке
(вместе с отсутствием ворсинок это приводит к
более слабой всасывающей способности),

остальные типы клеток  довольно редки.  

Другие слои
слизистой оболочки

и

подслизистая основа

Принципиальных отличий нет.-

1. Собственная пластинка (2) образует тонкие соединительнотканные прослойки между криптами.

2. Под криптами - мышечная пластинка (3) из двух слоёв -

внутреннего циркулярного,
наружного продольного.

3. В подслизистой основе (II) - кроме рыхлой волокнистой соединительной ткани, -

много жировых клеток,
одиночные лимфоидные узелки (проникающие из слизистой оболочки),
сосудистые и нервные сплетения.

Мышечная оболочка

2 слоя:

внутренний циркулярный (III.В) (более мощный),

наружный продольный (III.Г).

Те же 2 слоя (III.В-Г), но

наружный продольный слой -
не сплошной,
а
разбит на 3 ленты.

Между слоями - нервное сплетение (4).

Серозная оболочка
(IV)

2 слоя:

а) соединительнотканный слой,

б) мезотелий.

Серозная оболочка образует пальцеобразные выросты,
содержащие
скопления жировой ткани.

25.1.1.3. Препарат

I. Малое увеличение

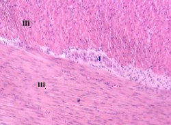
1,а-б. Препарат - толстая кишка. Окраска гематоксилин-эозином.
1. На снимках - стенка ободочной кишки и в ней:

слизистая оболочка (I),

подслизистая основа (II) с сосудами (5),

мышечная оболочка -

внутренний циркулярный слой (III.В)
(гладкие миоциты срезаны поперёк),

наружный продольный слой (III.Г)
(очевидно, срез прошёл в области продольной ленты);

серозная оболочка (IV).


2.
а) В составе слизистой оболочки на снимке 1,а видны следующие структуры:

крипты (1); имеют форму простых трубчатых желёз;

а) Полный размер

б) Полный размер

собственная пластинка (2) - прослойки рыхлой соединительной ткани между криптами;

мышечная пластинка (3) - гладкие миоциты под криптами.


II. Большое увеличение: слизистая оболочка и подслизистая основа

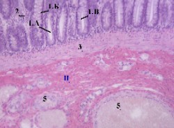
1,в-г. Препарат - толстая кишка. Окраска гематоксилин-эозином.
1. Здесь при большем увеличении представлены крипты (1.А).

а) А. В выстилающем их эпителии преобладают слизеобразующие бокаловидные клетки (1.Б) - светлые и округлые.

Б. Поэтому данные крипты с гораздо большим основанием (чем крипты тонкого кишечника) можно называть железами.

б) Среди остальных клеток эпителия (с тёмной цитоплазмой) основную массу составляют столбчатые клетки (1.В).

2. Узкие прослойки соединительной ткани между криптами образуют, как мы знаем, собственную пластинку (2) слизистой оболочки.

3. Ещё глубже располагаются

мышечная пластинка (3) слизистой оболочки и

подслизистая основа (II) с сосудами (5).

в) Полный размер

г) Полный размер


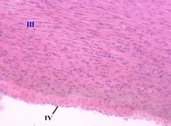
III. Большое увеличения: мышечная и серозная оболочки

1,д-е. Препарат - толстая кишка.
Окраска гематоксилин-эозином.

 

1. Здесь при большом увеличении -

а) слои мышечной оболочки:

внутренний циркулярный (III.В)

и наружный продольный (III.Г),


б) а также серозная оболочка (IV).


2. Между слоями мышечной оболочки располагается
интрамуральный ганглий (4).

д) Полный размер

е) Полный размер

25.1.2. Червеобразный отросток

а) О червеобразном отростке (аппендиксе) уже шла речь в п. 21.1.2.4 - в связи с лимфоидной системой слизистых оболочек.

б) Сейчас вкратце вновь напомним основные моменты, поскольку аппендикс одновременно - и компонент пищеварительной трубки.

25.1.2.1. Особенности строения

Рисунок с препарата - червеобразный отросток; поперечный срез.
Окраска гематоксилин-эозином.


1.
Червеобразный отросток отходит от медиально-задней поверхности слепой кишки,
на 2,5 - 3,5 см ниже впадения
тонкой кишки.


2
. а) Стенка аппендикса имеет слои, обычные для пищеварительной трубки:

слизистую оболочку (I),
подслизистую основу (II),
мышечную оболочку (III),
серозную оболочку (IV).

б) При этом строение слизистой оболочки в целом соответствует строению толстой кишки:

оболочка образует крипты (1),

крипты выстланы однослойным цилиндрическим эпителием (2), включающим клетки, перечисленные в п. 25.1.1.2.


3. Но существуют следующие
особенности.

а) Отсутствие складок Слизистая оболочка не образует полулунных или иных складок.
б) Облитерация просвета Просвет (3) отростка с годами может зарастать соединительной тканью.

(Закрытие просвета назвается облитерацией).

в) Состав эпителия В эпителии доля бокаловидных клеток невелика.
г) Наличие лимфоидной ткани А. В слизистой оболочке (с заходом в подслизистую основу) -

многочисленные крупные лимфатические фолликулы (4) и
межфолликулярная лимфоидная ткань (5).

Б. Благодаря этому, в ответ на попадание сюда микроорганизмов может развиваться бурная воспалительная реакция - аппендицит, своего рода "кишечная ангина".

В. Но, по сравнению с тонзиллярной ангиной (воспалением нёбных миндалин),
аппендицит
опасен возможным прободением стенки отростка с последующим развитием перитонита.

д) Мышечные элементы А. Мышечная пластинка в слизистой оболочке очень слабо развита,
так что собственная пластинка (6) переходит непосредственно в подслизистую основу (II).

Б. Наружный (продольный) мышечный слой не делится на ленты, а является сплошным.

25.1.2.2. Препарат

I. Малое увеличение

2,а. Препарат - червеобразный отросток; поперечный срез. Окраска гематоксилин-эозином.
На снимке - участок слизистой оболочки аппендикса.
Видны следующие структуры:

многочисленные фрагменты крипт (1),

выстилающий их однослойный цилиндрический эпителий (2);

причём, как отмечалось в п. 21.1.2.4, к просвету крипт (и просвету самого отростка) обращены эозинофильные (апикальные) части клеток;

Полный размер

подслизистая основа (3) и в ней -

лимфоидный фолликул (4) с большим реактивным центром (5);

многочисленные внефолликулярные лимфоциты (6), которые инфильтрируют собственную пластинку слизистой оболочки и эпителий.


II. Большое увеличение

2,б. Препарат - червеобразный отросток; поперечный срез. Окраска гематоксилин-эозином.
1. На этом снимке хорошо видны крипты (1).

Они глубоко проникают в слизистую оболочку отростка.

А в выстилающем их эпителии не заметны бокаловидные клетки.

2. У лимфоидного фолликула -

резко выраженные корона (2) из малых лимфоцитов и

светлый реактивный центр (3) из В-иммунобластов.

Полный размер

25.1.3. Прямая кишка

25.1.3.1. Подразделение на части

Рисунок - слизистая оболочка прямой кишки.


В прямой кишке различают три части:

надампулярный отдел (I),

ампулу (II),

анальный (заднепроходный) отдел (III).


I-II.
Надампулярный и ампулярный отделы

В этих отделах имеются складки двух типов. –

Постоянные
поперечные складки (1)
с винтообразным ходом.
А. Таких складок - три или более.

Б. В их образовании участвуют

слизистая оболочка,
подслизистая основа и
циркулярный (внутренний) слой мышечной оболочки.

Непостоянные преимущественно продольные складки (2) А. Весьма многочисленны.

Б. Образованы только слизистой оболочкой.

В. Легко разглаживаются при растяжении стенок кишки.


III. Анальный отдел

Анаьный  отдел   включает три зоны.

Столбчатая зона А. Здесь - 8-10 постоянных продольных складок - анальных столбов (3).

Б. Углубления между ними - анальные синусы (4), или анальные крипты

Промежуточная, или геморроидальная, зона (5). В этой зоне слизистая оболочка имеет гладкую поверхность.
Кожная зона (6) Последняя зона изнутри покрыта кожей с обычными её производными - волосами, сальными железами и апокриновыми потовыми железами.

25.1.3.2. Особенности строения стенок

Кратко перечислим основные особенности строения стенки разных участков прямой кишки.

  Надампу-
лярный и ампуляр-
ный отделы
Анальный отдел
Столбчатая зона Геморрои-
дальная зона
Кожная зона
Крипты (трубчатые углубления) Имеются Не имеются 
(анальные крипты в столбчатой зоне не являются трубчатыми углублениями).
Эпителий Одно-
слойный
призмати-
ческий
Много-
слойный
кубический

Много
-
слойный плоский неорогове-
вающий

Много
-
слойный
плоский
орого
-
вевающий
Столбчатые,
бокаловидные (в большом количестве),
эндокринные (ECL-, т.е. гистаминпродуцирующие) и
недифференцированные клетки.
Собствен-
ная пластинка слизистой оболочки
Одиночные лимфоидные узелки;

сосуды.


Сеть тонкостенных
кровеносных лакун

(кровь оттекает в геморрои-
дальные вены).

а) Эластические волокна;

б) лимфоциты и тучные клетки.

а) Волосы,

б) сальные железы;

в) потовые апокрино-
вые железы

Мышеч-
ная пластинка
2 слоя. Узкие продольные пучки миоцитов.
Под-
слизистая
основа

а) Подслизистая основа хорощо развита.
В связи с этим, могут происходить

выпадения слизистой оболочки через задний проход.

б) Здесь содержатся

сосудистые и нервные сплетения,
пластинчатые тельца (барорецепторы).

--- В столбчатой зоне, кроме того, имеются 6-8 слепых эпителиальных трубочек (рудимен-
тарных анальных желез)
В промежуточной зоне вены образуют  геморрои-
дальное сплетение..
---
Мышеч-
ная
оболочка
2 сплошных слоя гладкой мышечной ткани. а) Циркулярный слой утолщён, образуя внутренний (гладкомышечный) сфинктер.

б) Продольный слой.

Под кожей -

наружный (поперечно-
полосатый) сфинктер.

Наружная оболочка
На небольшом протяжении - серозная оболочка;

затем - только соединительнотканная оболочка.

25.2. Печень

25.2.1. Общие сведения

25.2.1.1. Компоненты печени

1. а) Печень - крупный паренхиматозный орган массой около 1500 г.

б) С поверхности она покрыта соединительнотканной капсулой, которая срастается с висцеральной брюшиной.

2. В печени различают две доли - правую ольшую) и левую (меньшую).

3. В свою очередь, доли включают следующие компоненты:

печёночные дольки (всего - около 500 тысяч),
близкие по форме к шестигранным призмам размером 1,5-2.0 мм;

сложную систему кровеносных сосудов - внедольковых и внутридольковых,

систему желчных капилляров и протоков,

прослойки соединительной ткани между дольками.


4. Соединительнотканные прослойки

хорошо выражены в печени свиньи,

а у человека в норме развиты слабо, но разрастаются при циррозе печени.

25.2.1.2. Взаимосвязь компонентов

1. Взаимосвязь вышеперечисленных компонентов (кроме соединительнотканных прослоек) отражается схемой. –

2. Схема иллюстрирует следующие особенности.

а) Приток крови Печень получает кровь из двух источников:

от аорты через печёночную артерию и

от вен желудка, кишечника и селезёнки через воротную вену.

б) Отток крови Оттекающая от печени кровь

собирается в печёночную вену и
поступает в нижнюю полую вену.

в) Образование желчи А. В печёночных дольках также образуется желчь.

Б. По системе желчных протоков она идёт

в желчный пузырь и
(во время пищеварения) в двенадцатиперстную кишку.

г) Триады Вне долек идут совместно, образуя триады,

ветви печеночной артерии,
ветви портальной вены и
желчные протоки.

(Поэтому на схеме они показаны вместе).

д) Ветви печёночных вен Ветви печёночной вены идут отдельно от других сосудов и от желчных протоков,
что является их отличительным признаком.

25.2.1.3. Функции печени

I. Желчеобразование

1. Благодаря образованию желчи, печень можно рассматривать как экзокринную железу.

2. Желчь включает три основные компонента. –

Желчные пигменты а) Представители - билирубин, биливердин.

б) Это продукты распада гема (небелковой части гемоглобина) после потери им железа.

в) Образуются, главным образом, в селезёнке;

затем поступают в печень, где выделяются в желчь.

Желчные кислоты а) Представители - холевая, дезоксихолевая (и др.) кислоты.

б) Образуются из холестерина в самих гепатоцитах.

в) Необходимы для

эмульгирования в просвете кишечника и
всасывания гидрофобных веществ (липидов, жирных кислот, жирорастворимых витаминов).

Холестерин 1. Это предшественник не только желчных кислот, но и ряда других стероидных соединений (например, половых гормонов и кортикостероидов).

2. Вероятно, попадание холестерина в желчь - просто побочное явление желчеобразования.


II. Синтез компонентов плазмы крови

1. В печени образуются многие вещества, поступающие в кровь; в том числе:
белки плазмы крови - альбумин, фибриноген, различные глобулины, кроме гамма-глобулинов;
липиды - холестерин, фосфолипиды, жиры;
конечные продукты обмена азотсодержащих соединений -
мочевина и мочевая кислота
;
промежуточные продукты обмена углеводов (глюкоза) и жирных кислот (кетоновые тела) - используются как источники энергии другими тканями.


2. а)
Но все эти вещества не являются гормонами (не обладают регуляторной функцией).

б) Поэтому печень не относится к эндокринным железам.


III. Защитные функции

Обезвреживание веществ А. Способ обезвреживания в гепатоцитах - химическая модификация веществ - например, путём

микросомального окисления или
конъюгации (связывания) с каким-либо соединением.

Б. Обезвреживаемые вещества - биологически активные и токсические соединения:

аммиак (превращаемый в печени в мочевину путём конъюгации с СО2),
гормоны,
лекарственные препараты,
продукты гниения из кишечника и т.д.

Фагоцитоз и лизис клеток а) А. Печень содержит многочисленные макрофаги
(
в синусоидных капиллярах печёночных долек).

    Б. Таким образом, она - компонент единой макрофагальной системы организма.

б) Кроме того, в печени содержатся т.н. ямочные клетки, представляющие собой N-киллеры и уничтожающие видоизменённые (например, опухолевые) клетки организма.


IV. Прочие функции

Депонирование углеводов и жирорастворимых витаминов а) А. Депонирование (откладывание) углеводов происходит после еды.
Б. При этом углеводы накапливаются в
гепатоцитах в виде гранул полисахарида - гликогена.

б) Жирорастворимые витамины (А, D, К, Е) депонируются, в основном, т.н. перисинусоидальными липоцитами, или клетками Ито (п. 25.2.2.5).

Кроветворение Эта функция, как известно, осуществляется в эмбриональном периоде.

Из всего перечисленного ясно, что печень гораздо больше по своему значению, чем просто экзокринная железа.

Продолжение темы