Начало темы

Список препаратов по теме

25.2.2. Строение печени

1. Теперь более детально рассмотрим компоненты печени:

систему кровеносных сосудов,
дольки и
систему желчных капилляров и протоков.

2. Поскольку внутри дольки эти компоненты тесно взаимосвязаны между собой, к системе сосудов мы обратимся дважды - до и после знакомства с дольками.

25.2.2.1. Виды внутрипечёночных кровеносных сосудов

Рисунок - кровообращение в печени.

 

1. На приведённом рисунке показана совокупность сосудов разного уровня, связывающих,

с одной стороны, печёночную артерию и воротную вену

и, с другой стороны, печёночные вены.

 

2. Перечислим эти сосуды, составив следующую схему. –

Полный размер

а) Как уже отмечалось, сосуды 1-5 (ветви печёночной артерии и воротной вены)

идут в составе триад (п.25.2.1.2).

б) А. Капилляры (6) отходят от вокругдольковых артерий и вен и вступают в дольки.

Б. Здесь они сливаются в единые внутридольковые синусоидные капилляры (7), идущие к центру дольки.

в) А. В центре дольки синусоидные капилляры впадают в центральную вену (8), которая проходит по оси дольки.
Б. Покидая дольку, вена становится поддольковой.

В. Поддольковые вены (9) собираются в собирательные вены,
а те (в конечном счёте) - в несколько печёночных вен (10) - 3-4 крупные и несколько более мелких.

25.2.2.2. Печёночные дольки

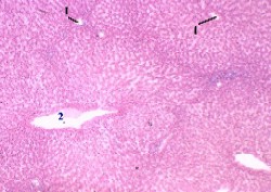
I. Печень свиньи

Рисунок с препарата - печень свиньи; окраска гематоксилином.

1. Мы уже говорили, что печёночные дольки (в классическом представлении) имеют вид призм (шести- или пятигранных) с размерами 1,5-2,0 мм.

2. Особенно хорошо это видно в печени свиньи, где дольки (1) разделены выраженными соединительнотканными перегородками, или септами (2).

3. На поперечном сечении долек ясно просматривается их радиальная структура с центральной веной (3) посередине.

Полный размер


II. Печень человека

Границы долек и триады а) У человека в норме границы долек столь чётко не обозначаются.

б) Тем не менее, их можно примерно определить по положению триад, которые обычно находятся на стыке соседних долек.

в) В частности, на рисунке в составе триады видны:

междольковая артерия (1),
междольковая вена (2) и
междольковый желчный проток (3).

Рисунок с препарата - печень человека. Окраска гематоксилин-эозином.

Полный размер

Капилляры печени а) От междольковых артерий и вен, как мы знаем, отходят вокругдольковые сосуды,
а от этих сосудов - капилляры, сливающиеся в синусоидные капилляры (4).

б) Последние видны как светлые пространства между печёночными клетками (гепатоцитами (5)), часто заполненные эритроцитами.

Печёноч-
ные балки

а) Печёночные клетки, разделяющие синусоидные капилляры, образуют т.н.
балки (6).

На поперечном срезе это двойные ряды клеток,
а в объёмной призмоподобной дольке - двуслойные стенки.

б) А. Балки, как и капилляры, имеют радиальное направление, т.е. сходятся к центральной вене (7).

Б. Вместе с тем, балки часто анастомозируют (сливаются) друг с другом, смыкаясь над или под синусоидными капиллярами.

25.2.2.3. Препарат: общее строение долек
(иллюстрация предыдущего)

I. Триады, центральные и поддольковые вены

3,а. Препарат - печень человека. Окраска гематоксилин-эозином.
1. Здесь уже перед нами - не рисунок, а снимок с препарата.

2. Видно несколько печеночных долек:

на их границе располагаются триады (I),
а в центре - центральные вены (1).

3. В нижней половине снимка - более крупные поддольковые вены (2) - продолжения центральных вен вне долек.

(См. большое увеличение)

Полный размер


II. Печёночные балки, синусоидные капилляры и центральная вена

3,б. Препарат - печень человека. Окраска гематоксилин-эозином.
1. а) На этом снимке - та часть печёночной дольки, которая примыкает к центральной вене (1).

б) В частности, различимы печёночные балки (2) и синусоидные капилляры (3),
имеющие примерно радиальную ориентацию.

2. Печёночные балки включают чаще всего 2 ряда клеток.

 

Полный размер

3. а) А в стенке синусоидных капилляров обнаруживаются клетки с уплощёнными ядрами (3.А).

б) Как будет сказано позднее, это, в основном, клетки двух типов -

эндотелиоциты и
звёздчатые макрофаги.

4. а) Синусоидные капилляры впадают в центральную вену (1).

б) Последняя - вена безмышечного типа (п. 19.1.2):
она содержит только

слой эндотелия (1.А) и
очень тонкий слой соединительной ткани (1.Б).

25.2.2.4. Гепатоциты

I. Общая характеристика

3,в. Препарат - печень человека. Окраска гематоксилин-эозином.
а) Здесь мы вновь видим, но при большом увеличении,

печёночные балки (2) и
лежащие между ними
синусоидные капилляры (3).

б) Используя данный снимок, остановимся на гепатоцитах (4) - клетках, образующих печёночные балки.

Полный размер

Отн. содержание Гепатоциты составляют примерно 60 % клеток печени.
Функции Именно гепатоциты выполняют практически все функции, перечисленные в п. 25.2.1.3 (очевидно, кроме фагоцитоза и кроветворения в эмбриональном периоде).
Морфология а) Это крупные клетки (на снимке границы между ними почти не видны).

б) Многие клетки (до 20 %) - двуядерные,
а многие ядра (до 50 и более %) - полиплоидные.

в) В связи с многообразием функций клеток, в их цитоплазме хорошо развиты все основные виды органелл (в т.ч. как шероховатая, так и гладкая ЭПС).

г) Имеются также разнообразные включения - гликогена, липидов, пигментов.


II. Включения гликогена и нейтрального жира

4. Препарат - включения гликогена в клетках печени. Окраска по Бесту.
1. Природу включений можно установить с помощью специальной окраски.

2. а) В данном случае использованный метод выявляет в цитоплазме гепатоцитов многочисленные глыбки гликогена (1), окрашенные в ярко-красный цвет.

б) Ядра (2) клеток имеют фиолетовый цвет.

3. Напомним: этот препарат встречался нам в п. 3.1.2.

Полный размер


5. Препарат - жировые включения в клетках печени аксолотля. Фиксация осмиевой кислотой, окраска кармином.
1. А при данном способе фиксации (осмиевой кислотой) в цитоплазме гепатоцитов обнаруживаются жировые капли (1), приобретающие чёрный цвет (из-за поглощения осмия).

2. Прочие клеточные структуры, благодаря окраске кармином, имеют красноватый оттенок.

Полный размер

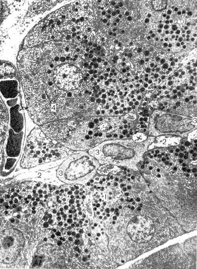
25.2.2.5. Кровеносные внутридольковые капилляры

Схема - ультрамикроскопическое строение синусоидного кровеносного капилляра печени.

Теперь более внимательно рассмотрим строение кровеносных синусоидных капилляров, проходящих между балками гепатоцитов по направлению к центральной вене.

Полный размер

I. Клетки в составе стенок капилляров

В стенке капилляров - клетки двух видов.

1. Эндотелио-
циты
(1)
а) Составляют примерно 60 % клеток, формирующих стенки капилляров.

б) Имеют вытянутые ядра.

в) Ближе к центру дольки в эндотелиоцитах появляются фенестры (истончения цитоплазмы) и мелкие поры (1.А);
такие части клеток называются ситовидными.

2. Звёздчатые макрофаги, или клетки Купфера (2) а) Происходят из моноцитов.

б) А. Наряду с эндотелиоцитами, входят в состав однослойной стенки капилляров:
составляют около
40 % клеток этой стенки.

Б. Причём, большей частью сосредоточены на периферии долек (в связи с выполняемой защитной функцией).

в) Ядра тоже вытянутые, но форма клеток - отростчатая.

г) А. Способны к фагоцитозу; при этом отходят от стенки капилляра, превращаясь в свободные макрофаги.

Б. Кроме того, как и прочие макрофаги, способны представлять антигены лимфоцитам (п. 21.2.3.2.II).


II. Клетки в окружающем пространстве

В окружающем капилляры пространстве встречаются (в варьирующих количествах) клетки ещё двух видов.

1. Перисинусо-
идальные липоциты,
или клетки Ито (3)
а) Данные клетки имеют небольшой размер (в отличие от гепатоцитов (6) ).

б) А. В их цитоплазме - мелкие (не сливающиеся) капли жира.

Б. В этих каплях клетки способны накапливать (депонировать) жирорастворимые витамины (А, Д, Е, К).

в) А. Кроме того, они синтезируют коллаген III типа, образующий ретикулярные волокна.

Б. Волокна формируют сеть, поддерживающую стенку капилляра.

2. Лимфоциты, в т.ч. (кроме В- и Т-клеток) -
большие гранулированные лимфоциты, или ямочные (pit-) клетки.
а) Ямочные клетки, в отличие от прочих лимфоцитов, содержат гранулы (включающие серотонин и др. вещества).

б) Представляют собой NK-клетки, или естественные киллеры (п. 20.2.5.4), т.е. клетки, которые

узнают и уничтожают собственные видоизменённые (напр., опухолевые) клетки организма.

в) Образуются не в печени, а в красном костном мозге.


III. Дополнительные особенности синусоидных капилляров

1. Базальная мембрана В срединных участках дольки (там, где эндотелиоциты приобретают фенестры и поры) капилляры почти лишены базальной мембраны (4).
2. Пространство Диссе а) Вокруг капилляров (между ними и окружающими клетками) имеется узкое вокругсинусоидное пространство, или пространство Диссе (5).

б) Здесь

скапливаются фильтрующиеся из капилляров компоненты и

располагается сеть ретикулярных волокон, поддерживающих капилляры.
3. Микро-
ворсинки на гепатоцитах
На стороне, обращённой к пространству Диссе, гепатоциты имеют микроворсинки (6.А).

 

25.2.2.6. Желчные капилляры

I. Полярность гепатоцитов

Схема - образование желчных капилляров в печени.


1. а) Рассмотренные выше
кровеносные синусоидные капилляры (1) обмениваются веществами с гепатоцитами (2), которые, как мы знаем, лежат в составе двухслойных балок.

б) Между рядами (слоями) гепатоцитов в каждой балке имеются небольшие щелевидные пространства без собственной стенки.
Это и есть желчные капилляры (3).


2. Следовательно, у гепатоцита есть две стороны.-

 

Полный размер

Васкулярная сторона (2.А) а) Обращена к кровеносному капилляру  (точнее, в пространство Диссе).

б) Здесь происходит двусторонний обмен веществами (одни из них поступают из крови в гепатоциты, другие - наоборот).

Билиарная
сторона (2.Б)
а) Обращена к желчному капилляру.

б) На этой стороне, видимо, имеется только односторонний поток веществ - компонентов желчи из гепатоцитов в желчные капилляры.

в) На билиарной стороне (как и на васкулярной) гепатоциты

имеют микроворсинки.


II. Направление тока желчи

1. а) Желчные капилляры начинаются слепо в центральной части балки (и дольки в целом).

б) А. Ток желчи идёт по ним в направлении, противоположном току крови:

от центра дольки к её периферии.

Б. При этом в норме компоненты желчи и крови не перемешиваются, благодаря наличию плотных контактов между гепатоцитами одного ряда (слоя) балки.


2
. а) На периферии дольки желчные капилляры переходят в вокругдольковые желчные проточки, или холангиолы (4).

б) Последние идут рядом с вокругдольковой артерией (5) и вокругдольковой веной (6).

25.2.2.7. Дополнительные иллюстрации

I. Ещё одна схема

1. а) Пока мы не "вышли" из печёночной дольки вслед за желчными протоками, рассмотрим ещё одну схему, которая с несколько иного ракурса иллюстрирует взаимоотношения

гепатоцитов, синусных и желчных капилляров.

б) А заодно - достаточно подробно представляет структуру гепатоцита.

2. а) Так, в гепатоците мы видим ядро (14) и в нём:

эу- и гетерохроматин,

причём, первый явно преобладает (что свидетельствует о высокой функциональной активности ядра);

ядрышко (15) и
ядерную оболочку с порами (16).

б) Хорошо представлены также другие органеллы:

и шероховатая ЭПС (9) вместе с аппаратом Гольджи (11)

(синтез "экспортных" белков - например, белков плазмы крови),

и гладкая ЭПС (8)

(синтез стероидов и других липидов, обезвреживание токсических веществ);

Печень: гепатоцит, кровеносный и желчные капилляры. Схема.

n34.jpg (80252 bytes)

митохондрии (10) и
лизосомы (13).

в) В цитоплазме имеются также включения:

глыбки гликогена (рядом с гладкой ЭПС (8)),
липидные капли (12).

3. В верхней части схемы -

а) синусный кровеносный капилляр (1) с

эритроцитом (2) в просвете и
звёздчатым макрофагом (3) в стенке;

б) обращённая сюда васкулярная сторона гепатоцита и в ней -

n34.jpg (80252 bytes)

микроворсинки (6) и
пиноцитозные пузырьки (5);

в) а также находящееся между капилляром и гепатоцитом

пространство Диссе с ретикулярными волокнами (4).

4. а) Прочие стороны гепатоцита контактируют с соседними гепатоцитами.

б) И здесь мы видим

как плотные (запирательные) контакты (7) между клетками,

так и небольшие щели -  желчные капилляры (17).

n34.jpg (80252 bytes)

в) Т.е. билиарные "стороны" гепатоцитов - лишь небольшие участки их поверхности.
г) Но и на этих участках гепатоцит имеет небольшие микроворсинки.


II. Микрофотография

Электронная микрофотография: желчный капилляр.
1. Вот как то же самое - желчный капилляр - выглядит на электронной микрофотографии.

2. Вновь видно, что его просвет (1) складывается из небольших углублений в двух соседних гепатоцитах.

3. Вне этих углублений гепатоциты соединены плотными (запирающими) контактами (3).

4. Зато в области желчного капилляра клетки имеют (как мы уже знаем) микроворсинки (2).

5. Наконец, заметим, что в цитоплазме гепатоцитов видны многочисленные гранулы гликогена (5).

n35-1.jpg (48328 bytes)

Теперь обратимся к внедольковым желчным путям.

25.2.2.8. Желчные внутрипечёночные протоки

I. Общие сведения

Ветви желчных протоков а) Как отмечалось в п. 25.2.1.2, вне долек желчные протоки идут совместно с соответствующими ветвями печёночной артерии и воротной вены.

б) Согласно же п. 25.2.2.1, эти ветви таковы:

вокругдольковые,
междольковые,
сегментарные и
две
долевые.

Состав стенки Стенка желчных протоков всех этих уровней включает
а) однослойный эпителий
кубический (в малых протоках) или
цилиндрический (в более крупных);

б)
тонкий слой рыхлой соединительной ткани.


II. Вид на препарате

3,г-д. Препарат - печень человека; окраска гематоксилин-эозином.
а) На снимке 3,г мы видим междольковый желчный проток (1), а в его стенке -

однослойный кубический эпителий (1.А) и
соединительнотканную оболочку (1.Б).

б) А. Около протока - междольковая вена (2) и артерия (3).

Б. Примечательно, что вена по диаметру в 3-4 раза больше, чем артерия.

г) Среднее увеличение

Полный размер

Здесь (на снимке 3,д) - та же триада и в ней:

междольковый желчный проток (1), выстланный однослойным кубическим эпителием (1.А),

междольковые вена (2) и артерия (3).

д) Большое увеличение

Полный размер

25.2.3. Внепечёночные желчные протоки и желчный пузырь

25.2.3.1. Общие сведения

1. Два долевых желчных протока (1) объединяются в общий печёночный проток (2) (ductus hepaticus communis),
который и выходит из ворот печени.

2. а) Потом в него впадает пузырный проток (3) (ductus cysticus) -
и образуется
общий желчный проток (4) (ductus choledochus).

б) Длина последнего - 7 см;
он открывается в двенадцатиперстную кишку.

Рисунок - желчные протоки и желчный пузырь.
3. а) При отсутствии пищи в желудке и кишечнике

устье общего желчного протока закрыто, и
желчь, постоянно поступающая из печени, по пузырному протоку попадает в
желчный пузырь (5).

б) Объём желчного пузыря - 40-70 мл,
толщина стенки - 1,5-2,0 мм.

25.2.3.2. Строение стенок

Рисунок - стенка желчного пузыря.

1. Стенки желчного пузыря и внепечёночных желчных протоков содержат те же слои (кроме подслизистой основы),
что и стенка пищеварительной трубки:

слизистую,
мышечную и
наружную оболочки.

2. Вот их краткая характеристика.

Полный размер

  Желчные протоки Желчный пузырь
Слизистая оболочка

1. В пузырном протоке имеется спиральная складка, облегчающая ток желчи.

1. Слизистая оболочка образует многочисленные складки (1).

2. Состав. -

а) А. Эпителий (2) - однослойный призматический каёмчатый.

Б. Благодаря наличию каёмки, происходит всасывание из желчи воды, что повышает концентрацию в желчи остающихся компонентов.

б) Собственная пластинка (3) - рыхлая соединительная ткань, богатая эластическими волокнами

В эпителии содержатся также слизеобразующие бокаловидные клетки. В области шейки пузыря в собственной пластинке - слизистые альвеолярно-трубчатые железы.
Мышечная оболочка


1. а) В основном,
мышечная оболочка (4) - тонкая.
б) Между пучками миоцитов много соединительной ткани.

2. В желчных протоках направление мышечных пучков - спиральное. 2. В желчном пузыре преобладающее направление пучков - циркулярное.
3. а) В двух местах находятся сфинктеры - утолщения оболочки за счёт циркулярно расположенных пучков.

б) Их локализация:

шейка пузыря и прилегающий к ней участок пузырного протока,

конец общего желчного протока (в месте впадения в двенадцатиперстную кишку).

в) Именно второй из этих сфинктеров замыкается при отсутствии пищи в желудке и кишечнике,
что направляет желчь в желчный пузырь.

Наружная оболочка (5) 1. Наружная оболочка, в основном, является серозной: она

содержит кровеносные сосуды (6),

образована

в желчных протоках - рыхлой волокнистой соединительной тканью,

в желчном пузыре - плотной волокнистой соединительной тканью

  и покрыта на большом протяжении мезотелием:

желчные протоки находятся в складке (дупликатуре) брюшины,

желчный пузырь покрыт брюшиной с нижней поверхности.

25.2.4. Развитие печени

1. О происхождении компонентов печени кратко сообщалось в п. 23.1.3.2.

2. Более подробно развитие печени отражается схемой. –

25.3. Поджелудочная железа

25.3.1. Общие сведения

25.3.1.1. Внешний вид

Рисунок - поджелудочная железа и окружающие органы.

1. а) Поджелудочная железа имеет массу около 70-80 г.

б) Снаружи она покрыта
тонкой соединительнотканной капсулой,
а с передней поверхности - ещё и висцеральным листком брюшины.

2. Условно железу делят на три части - головку (1), тело (2) и хвост (3).

3. а) Паренхима железы соединительнотканными перегородками подразделяется на дольки.
б) Поскольку капсула железы тонкая, дольчатое строение видно невооружённым взглядом.

25.3.1.2. Компоненты железы и их функция

I. Экзо- и эндокринные части

1. а) Поджелудочная железа содержит 2 части -

экзокринную и эндокринную.

б) Причём, та и другая представлены в каждой дольке.

2. Вот краткая характеристика этих частей. –

 

ЭКЗОКРИННАЯ ЧАСТЬ

ЭНДОКРИННАЯ ЧАСТЬ

Содержание

97 % массы железы.

3 % массы.

Компоненты

1) Панкреатические ацинусы, включающие:

секреторные отделы,
вставочные протоки.


2)
Выводные протоки:

межацинозные,

внутридольковые,

междольковые,

общий проток (открывается в duodenum).

а) Панкреатические островки (Лангерганса);

количество - 1 - 2 млн,
размеры - 0,1 –0,3 мм.

б) В них - клетки 5 видов:

В- (базофильные) 70 % ;
А- (ацидофильные) 20 % ;
D- (дендритные) 5-8 %;
D1- (аргирофильные) 1-2 %;
РР- 2-4 % .

Продукты

Панкреатический сок и в нём:

а) ферменты переваривания белков (в неактивной форме) -

трипсиноген,
химотрипсиноген,
прокарбоксипептидазы;

б) фермент переваривания углеводов -

a -амилаза;

в) ферменты переваривания липидов -

липазы,
фосфолипазы.

Панкреатические гормоны:
В-клетки - инсулин;
А-клетки - глюкагон,
D-клетки - соматостатин,
D1-клетки - вазоактивный интести-
нальный полипептид (ВИП),
РР-клетки - панкреати-
ческий полипептид.

3. а) Кроме того, имеются промежуточные (ацинозно-инсулярные) секреторные клетки.
б) Они содержат гранулы двух типов:

крупные, как в экзокринных клетках;
мелкие, как в эндокринных клетках железы.

в) Считают, что данные клетки выделяют содержимое тех и других гранул в кровь.


II. Действие гормонов поджелудочной железы

О действии панкреатических гормонов говорилось в п. 22.1.2.3.I.
Здесь воспроизводится информация из той темы. -

Гормоны, влияющие на углеводный и жировой обмен:

1. инсулин,

2. глюкагон.

1. а) Инсулин обеспечивает усвоение тканями питательных веществ после приёма пищи:

облегчает проникновение в ткани (из крови) глюкозы, аминокислот, жирных кислот;

стимулирует превращение их в гликоген, белки и жиры.

б) При этом снижается концентрация глюкозы в крови.


2. а)
Глюкагон мобилизует из тканей питательные вещества (углеводы и жиры) между приёмами пищи. -

б) Концентрация глюкозы в крови повышается.

Гормоны, влияющие на функцию самой поджелудочной железы (помимо других действий):


3. соматостатин

4. вазоактивный интестинальный полипептид (ВИП);

5. панкреатический полипептид (ПП).


3
. а) Соматостатин угнетает выработку ряда гормонов:

в гипофизе - СТГ,

в поджелудочной железе - инсулина и глюкагона,

в слизистой ЖКТ - гастринов и секретина (где последний стимулирует экзокринную часть поджелудочной железы).

б) Поэтому, в частности, тормозятся оба отдела поджелудочной железы -

и эндокринный, и экзокринный.


4. а)
ВИП - антагонист соматостатина по влиянию на pancreas:
стимулирует выделение ею сока и гормонов.

б) Кроме того, расширяя сосуды, он снижает артериальное давление.


5
. ПП стимулирует выделение
не только панкреатического,
но и желудочного сока.

25.3.1.3. Иллюстрация

6,а. Препарат - поджелудочная железа. Окраска гематоксилин-эозином.
1. Многие из компонентов поджелудочной железы видны на данном снимке:

междольковые и внутридольковые соединительнотканные перегородки (1);

экзокринные ацинусы (2),

междольковый выводной проток (3),

эндокринный островок (4).

Полный размер

2. Отметим также

кровеносные сосуды (5) и

пластинчатое (фатер-пачиниево) тельце (6) - инкапсулированное нервное окончание (см. тему 13).

25.3.1.4. Развитие поджелудочной железы

Происхождение компонентов железы кратко отражается схемой.-

Теперь более детально рассмотрим строение экзокринной и эндокринной частей поджелудочной железы.

25.3.2. Экзокринная часть

25.3.2.1. Ацинусы

Как уже отмечалось, ацинус включает

секреторный отдел и
вставочный проток.

Секретор-
ный отдел
а) Секреторный отдел (1) имеет вид мешочка из 8-12 крупных ацинарных клеток (ациноцитов, или экзокринных панкреатоцитов).

б) Эти клетки и синтезируют вышеперечисленные компоненты панкреатического сока.

в) С наружной стороны они покрыты базальной мембраной.

Схема - строение поджелудочной железы.

Полный размер
Вставочный проток а) Вставочный проток  образован мелкими протоковыми клетками.

б) Возможно два варианта его положения:

в одном случае (2.I) проток является продолжением секреторного отдела и тоже лежит на базальной мембране;

в другом случае (2.II) проток как бы внедряется вглубь секреторного отдела, образуя второй (внутренний) слой клеток.

в) Во втором случае клетки вставочного протока называются центроацинозными.

3. Отметим, что на приведённой схеме показаны также

внутридольковый проток (3) и
эндокринный островок (4).

25.3.2.2. Ацинарные клетки

I. Морфологическая характеристика

6,б. Препарат - поджелудочная железа. Окраска гематоксилин-эозином.

а) На этом снимке -

многочисленные ацинусы (1),
несколько кровеносных сосудов (2) и
в центре - эндокринный островок (3).

б) Остановимся на морфологических свойствах ацинарных клеток.

Полный размер

1. Форма и положение
клеток и ядер
а) Форма клеток - коническая (пирамидная):

широкое основание лежит на базальной мембране;
верхушка обращена в центр ацинуса.

б) Ядра - круглые; располагаются ближе к основанию клеток.

2. Базальная часть клеток а) А. Базальная часть клеток (помимо ядра) резко базофильна - из-за развития здесь шероховатой ЭПС (в связи с интенсивным белковым синтезом).

Б. Поэтому на снимке ацинусы с базальной стороны - тёмные.

б) Кроме того, данная часть клеток гомогенна (т.н. гомогенная зона) - из-за отсутствия гранул.

3. Апикальная часть клеток а) Апикальная часть - оксифильна (ацидофильна), поскольку содержит новосинтезированные белки.

б) Последние сосредоточены в крупных секреторных гранулах.

в) Поскольку многие ферменты панкреатического сока синтезируются неактивными (в виде т.н. зимогенов), то
гранулы и вся апикальная зона называются
зимогенными.

г) На снимке эта зона ацинусов является светлой.

4. Контакты между клетками Между боковыми поверхностями ацинарных клеток - плотные контакты и десмосомы.


II. Клетки при большом увеличении

6,в. Препарат - поджелудочная железа. Окраска гематоксилин-эозином.


Здесь мы видим участок дольки железы при большом увеличении.

1. В поле зрения - ацинусы (2);

в центре одного из ацинусов - центроацинозная клетка (2.А).

Полный размер

2. В ацинарных клетках (4) различимы:

крупные округлые ядра (4.А),

базофильные гомогенные базальные зоны (4.Б) и

оксифильные зимогенные апикальные зоны (4.В).


III. Микрофотография

Электронная микрофотография. Поджелудочная железа: концевой отдел (ацинус) экзокринной части.
1. Завершая рассмотрение ацинуса, обратимся к данной микрофотографии.
    Она иллюстрирует уже известные нам вещи.

2. Так, ацинарные экзокриноциты

в базальной своей части содержат гранулярную ЭПС (4),

а в апикальной части - секреторные гранулы (1).

3. а) В просвете (2) секреторного отдела видны центроацинозные клетки (3) вставочного протока.

б) Т.е. это тот случай, когда проток внедрён вглубь секреторного отдела, образуя второй (внутренний) слой клеток.

n36.jpg (65963 bytes)

4. Рядом с ацинусом находится кровеносный капилляр (5) с эритроцитами.

25.3.2.3. Выводные протоки поджелудочной железы

I. Основные сведения

 

Межацинозные протоки

Внутридольковые протоки

Междольковые
протоки

Общий проток

Состав стенки

а) Однослойный кубический эпителий

I. Cлизистая оболочка:
однослойный
призматический эпителий;
собственная соединительнотканная пластинка.

II. В устье общего протока - гладкомышечный сфинктер.

-------

б) Рыхлая волокнистая соед. ткань.

Секре-
торная функция

Эпителий образует жидкую часть сока железы.

Кроме обычных эпителиальных клеток, в эпителии протоков содержатся:

бокаловидные экзокриноциты,

эндокриноциты - продуценты холецистокинина, или панкреозимина (п. 22.1.2.4.II).


II. Вид на препарате

6,г-д. Препарат - поджелудочная железа. Окраска гематоксилин-эозином.
1. Междольковый выводной проток (1) поджелудочной железы мы уже видели на снимке 6,а,
воспроизводимом здесь вновь (с другими обозначениями).

2. В стенке протока - указанные в таблице элементы:

однослойный эпителий из высоких призматических клеток (2),

окружающий толстый слой рыхлой волокнистой соединительной ткани (3).

г) Среднее увеличение

Полный размер


1.
а) На снимке 6,д междольковый выводной проток (1) занимает значительную часть поля зрения.

б) В его стенке по-прежнему видны

однослойный призматический эпителий (2) и
рыхлая соединительная ткань (3).

2. а) В данный проток впадает более мелкий внутридольковый проток (4).

б) Эпителий последнего по форме приближается к кубическому.

д) Большое увеличение

Полный размер

25.3.3. Эндокринная часть

6,е. Препарат - поджелудочная железа. Окраска гематоксилин-эозином.


Теперь обратим внимание на
эндокринный островок (3) (insula).

Отличительные черты панкреатических островков таковы. –

Полный размер

1. Форма островков По форме островки, чаще всего, - округлые или овальные.
2. Внешний вид клеток Клетки, по сравнению с ацинарными,

по размеру меньше и
окрашены слабее.

3. Клеточный состав а) Согласно п. 25.3.1.2, в панкреатическом островке - клетки 5 видов, продуцирующие 5 гормонов.

б) Причём, преобладают

В-клетки (70 % от всех клеток), вырабатывающие инсулин, и

А-клетки (20 %), выделяющие глюкагон.

4. Расположение клеток В-клетки (базофильные) лежат, в основном, в центре островка,

А-клетки (ацидофильные) - на периферии островка.

5. Крово-
снабжение
а) В островке обычно много капилляров.

б) Последние, как и в других эндокринных органах, видимо, имеют в эндотелии фенестры.