Список препаратов по теме

BOOK

Содержание темы

23.1. Общие сведения

23.1.1. Компоненты пищеварительной системы

23.1.1.1. Отделы пищеварительной трубки
23.1.1.2. Крупные железы пищеварительной системы
23.1.1.3. Три отдела пищеварительной системы

23.1.2. Пищеварительная трубка: общий план строения

23.1.2.1. Перечень оболочек
23.1.2.2. Слизистая оболочка
23.1.2.3. Прочие оболочки стенки

23.1.3. Источники развития

23.1.3.1. Пищеварительная трубка
23.1.3.2. Железы вне пищеварительной трубки

23.2. Ротовая полость

23.2.1. Компоненты полости рта
23.2.2. Структуры, образующие стенки ротовой полости

23.2.2.1. Состав стенок
23.2.2.2. Губы: кожный и промежуточный отделы
23.2.2.3. Слизистая оболочка стенок полости рта

23.2.3. Язык

23.2.3.1. Общие сведения
23.2.3.2. Сосочки языка
23.2.3.3. Препарат

23.2.4. Крупные слюнные железы

23.2.4.1. Исходные сведения
23.2.4.2. Гистологическое строение; концевые отделы
23.2.4.3. Выводные протоки слюнных желёз
23.2.4.4. Состав слюны
23.2.4.5. Препарат околоушной железы
23.2.4.6. Препарат подчелюстной железы
23.2.4.7. Развитие слюнных желёз

23.2.5. Нёбные миндалины

23.2.5.1. Структурные элементы
23.2.5.2. Препарат

23.2.6. Зубы

23.2.6.1. Общие сведения
23.2.6.2. Тканевые компоненты зуба
23.2.6.3. Пульпа
23.2.6.4. Дентин
23.2.6.5. Эмаль
23.2.6.6. Цемент
23.2.6.7. Обобщающая таблица
23.2.6.8. Развитие зуба: общая схема
23.2.6.9. Развитие зуба: ранняя стадия
23.2.6.10. Развитие зуба: поздняя стадия

23.3. Пищевод

23.3.1. Общий вид
23.3.2. Гистологическое строение

23.3.2.1. Слои стенки
23.3.2.2. Слизистая оболочка и подслизистая основа
23.3.2.3. Другие слои стенки

23.3.3. Иннервация пищевода
23.3.4. Развитие пищевода

 

23.1. Общие сведения

23.1.1. Компоненты пищеварительной системы

В пищеварительную систему входят два основных компонента:

пищеварительная трубка и
крупные железы (лежащие вне этой трубки).

23.1.1.1. Отделы пищеварительной трубки

В свою очередь, в пищеварительной трубке имеются, как известно, следующие отделы:

1. ротовая полость (1),
2. глотка (pharynx) (2),
3. пищевод (esophagus) (3),
4. желудок (ventriculus, или gaster) (4),

5-7. тонкая кишка, в т.ч.

двенадцатиперстная кишка (duodenum) (5),
тощая кишка (jejunum) (6),
подвздошная кишка (ileum) (7),

8-14. толстая кишка, в т.ч.

слепая кишка (сecum) (8),

червеобразный отросток (appendix vermiformis) (9),

восходящая ободочная кишка (colon ascendens) (10),

поперечная ободочная кишка (colon transversum) (11),

нисходящая ободочная кишка (colon descendens) (12),

сигмовидная кишка (colon sigmoideum) (13),

прямая кишка (rectum) (14).

Схема - система пищеварения.

23.1.1.2. Крупные железы пищеварительной системы

К данной группе органов относятся следующие образования:

15-17. парные слюнные железы -

околоушные (glandulae parotes) (15),

подчелюстные (glandulae submandibulares) (16),

подъязычные (glandulae sublinguales) (17),

18-20. печень (hepar) (18), а также

желчный пузырь (19) и
желчевыводящие протоки (20),

21. поджелудочная железа (pancreas) (21) - её экзокринные отделы.

23.1.1.3. Три отдела пищеварительной системы

Часто пищеварительную систему подразделяют на 3 отдела. -

Передний отдел - ротовая полость, слюнные железы, глотка и пищевод.
Средний отдел - все остальные вышеперечисленные органы (в т.ч. печень и поджелудочная железа),

кроме каудальной части прямой кишки.

Задний отдел - каудальная часть (анальный отдел) прямой кишки.

23.1.2. Пищеварительная трубка: общий план строения

23.1.2.1. Перечень оболочек

Схема - строение стенки пищеварительной трубки.

Пищевод Желудок Тонкая кишка Толстая кишка
1. На любом уровне пищеварительная трубка имеет в своей стенке следующие составные части (перечисляемые изнутри кнаружи):

слизистую оболочку (I),
подслизистую основу (II),
мышечную оболочку (III),
наружную оболочку (IV) - серозную либо адвентициальную.

2. а) Нетрудно видеть аналогию с принципом строения кровеносных сосудов (п. 18.1.5.1) со следующими отличиями:

вместо внутренней оболочки (с эндотелием и подэндотелиальным слоем) - слизистая оболочка и подслизистая основа;

вместо средней оболочки (где обычно преобладают миоциты) - мышечная оболочка.

б) Но и эти отличия только подчёркивают сходство строения.


По-прежнему имея в виду вышеприведённую схему, дадим краткую характеристику отдельных слоёв пищеварительной трубки.

23.1.2.2. Слизистая оболочка

I. Внешний вид

1. Слизистая оболочка постоянно увлажнена слизью.

2. Кроме того, оболочка может образовывать следующие структуры:

А. складки - во многих отделах пищеварительной трубки;
Б. ямки (1) - в желудке;
В. крипты (2)
(глубокие секреторные углубления)
- в тонком и толстом кишечнике;
Г. ворсинки (3) - в тонком кишечнике.


II. Состав слизистой оболочки

В рассматриваемой оболочке обычно (хотя не всегда) содержатся следующие слои:

эпителий (4.А-4.Б) (на базальной мембране),

собственная пластинка (6) слизистой оболочки и

мышечная пластинка (8) слизистой оболочки.

Пищевод Желудок Тонкая кишка Толстая кишка


III. Эпителий

1. Тип эпителия в пищеварительной трубке таков:

А. в переднем и в заднем отделах - многослойный плоский неороговевающий (4.А),
Б. в среднем отделе - однослойный цилиндрический (4.Б).


2. а) Часть клеток в составе эпителия обладают секреторной активностью;

например, в желудке практически все клетки эпителия - железистые.

б) Секреторные клетки в слизистой оболочке бывают двух типов:

экзо-
криноциты
- выделяют секрет в просвет трубки;

пример - слизеобразующие бокаловидные клетки (1.В) кишечника (п. 7.3.2);

эндо-
криноциты
- выделяют гормональные вещества в кровь (п. 22.1.2.4.II).


3. В тонком кишечнике большая часть клеток эпителия ворсинок имеет
микроворсинки (пп. 2.2.4.1 и 3.4.1.2) - для увеличения поверхности всасывания.


IV. Собственная и мышечная пластинки

Состав этих пластинок таков.-

Собственная
пластинка (6)
а) Основа - рыхлая волокнистая соединительная ткань;

б) простые трубчатые железы (7) - в некоторых отделах пищевода и в желудке;

в) прочие образования:

кровеносные и лимфатические сплетения,
нервные элементы,
скопления лимфоидной ткани
(п. 21.1.2).

Мышечная
пластинка (8)
1-3 слоя гладких миоцитов.

23.1.2.3. Прочие оболочки стенки

Пищевод Желудок Тонкая кишка Толстая кишка

II. Подслизистая основа (II)

Состав Состав - таков же, как у собственной пластинки слизистой оболочки:

а) строма - рыхлая волокнистая соединительная ткань;

б) железы (9) - в пищеводе и в двенадцатиперстной кишке;

в) прочие образования:

кровеносные и лимфатические сплетения,
нервные элементы,
скопления лимфоидной ткани
.

Особенность а) Однако подслизистая основа обычно толще, чем собственная пластинка слизистой,

б) Поэтому благодаря ей слизистая оболочка

образует складки и
обладает относительной подвижностью при продвижении пищи.

Участки без подслизистой
основы
а) В ротовой полости на дёснах и нёбе подслизистой основы нет.

б) Поэтому здесь слизистая оболочка сращена с подлежащими тканями неподвижно.


III. Мышечная оболочка
(III)

Слои
миоцитов
1. В мышечной оболочке - обычно 2 слоя мышечных элементов:

внутренний циркулярный и
наружный продольный.

2. В желудке - 3 слоя (добавляется ещё внутренний косой слой).

Мышечная
ткань
Оболочка образована следующими видами мышечной ткани:
поперечнополосатой скелетной тканью -
до средней трети пищевода и
в каудальном отделе прямой кишки;
гладкой мышечной тканью - в остальных отделах пищеварительной трубки.
Другие
элементы
В мышечной оболочке содержатся также

соединительнотканные прослойки,а в них -
межмышечные нервные сплетения и
сосуды.


IV. Наружная оболочка

Состав и название этой оболочки зависит от местонахождения участка пищеварительной трубки. -

Глотка,
пищевод и
конечная часть прямой кишки
Наружная оболочка является адвентициальной,

т.е. состоит только из соединительной ткани.

Остальные участки
пищеварительной
трубки
а) Наружная оболочка является серозной, т.е.
представляет собой
висцеральный листок брюшины.

б) В ней - два слоя:
соединительнотканная основа (с нервами и сосудами) и
мезотелий (10).

23.1.3. Источники развития

23.1.3.1. Пищеварительная трубка

Согласно схеме, компоненты стенки пищеварительной трубки имеют следующее происхождение:

эпителий слизистой оболочки - из эктодермы (в наружных отделах трубки) или
из энтодермы (во внутренних отделах);
эпителий (мезотелий) серозной оболочки - из висцерального листка спланхнотома;
остальные элементы стенки (кроме нервных сплетений) - из мезенхимы.

23.1.3.2. Железы вне пищеварительной трубки

23.2. Ротовая полость

23.2.1. Компоненты полости рта

I. Структуры ротовой полости можно поделить на 2 группы:

одни образуют стенки этой полости,
другие являются специальными производными.

II. Вот их перечень. -

Стенки полости рта Производные полости рта

1. Губы

2. Щёки

3. Дёсны

4. Твёрдое и мягкое нёбо, продолжающееся в язычок.

1. Язык

2. Слюнные железы

3. Зубы

4. Нёбные миндалины

23.2.2. Структуры, образующие стенки ротовой полости

23.2.2.1. Состав стенок
(изнутри кнаружи)

Г у б ы Щ ё к и Мягкое нёбо и язычок Дёсны и твёрдое нёбо
1. Слизистая оболочка.

2. Круговая мышца рта.

3. Кожа

1. Слизистая оболочка.

2. Щёчная мышца.

3. Жировое тело щеки.

4. Кожа

1. Слизистая оболочка.

2. Фиброзно-
мышечная основа.

3. Слизистая оболочка (с другой стороны).

1. Слизистая оболочка.

2. Надкостница нижней или верхней челюсти.

3. Кость.

23.2.2.2. Губы: кожный и промежуточный отделы

I. Общий вид

1. В покрове губы различают 3 отдела -

кожный (I) - имеет строение кожи,

промежуточный, или красный (II) и

слизистый (III) - является слизистой оболочкой..


2. Вначале приведём сведения о первых двух отделах. -

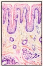
Рисунок с препарата - сагиттальный срез губы ребёнка; окраска
гематоксилин-эозином.

Полный размер

II. Строение

  Кожный отдел
губы
Промежуточный отдел губы
Эпителий Эпидермис -

многослойный плоский ороговевающий эпителий.

Многослойный плоский, частично ороговевающий эпителий.
Подлежащая ткань Дерма -

волокнистая соединительная ткань (вначале - рыхлая, а глубже - плотная);

вдаётся в эпидермис высокими сосочками.

Рыхлая волокнистая соединительная ткань;
причём,

образуемые ею сосочки - уже невысокие,

но в ткани - очень много капилляров.

Дополнитель-
ные
структуры
Обычные производные кожи:

волосяные фолликулы,

сальные железы,

потовые железы.

Волосяных фолликулов и потовых желёз нет.

Сальные железы имеются лишь на наружной части красного отдела губы.

На внутренней части красного отдела у новорождённых имеются эпителиальные сосочки (ворсинки), которые с возрастом сглаживаются.

23.2.2.3. Слизистая оболочка стенок полости рта

  Губы (слизистый отдел),
щ ё к и,
мягкое нёбо и язычок
Дёсны и
твёрдое
нёбо
Эпителий
М
ногослойный плоский неороговевающий.

М
ногослойный плоский,
на дёснах
иногда ороговевает.
Собственная пластинка
слизистой
оболочки


Р
ыхлая волокнистая соединительная ткань;

образует сосочки:

в губе и щеках - небольшие,
в мягком нёбе и язычке - высокие.


Особенности:

сосочки - высокие;

в области твёрдого нёба имеются мощные пучки коллагеновых волокон, вплетающиеся в надкостницу.

Подлежа-
щие слои
а) Мышечной пластинки - нет.

б) Под собственной пластинкой находятся

подслизистая основа и затем
соответствующие скелетные мышцы.

а) Мышечной пластинки и подслизистой основы нет.

б) В твёрдом нёбе вместо подслизистой основы местами находится тонкая прослойка жировой ткани.

в) Глубже - костная ткань.

Железы

(сложные альвеолярно-
трубчатые
)

Мелкие слюнные железы -

в подслизистой основе и
в толще соответствующей мышцы.

(Желёз нет в средней области щеки).

Нёбные слюнные железы -

в прослойке жировой ткани

(под собственной пластинкой слизистой оболочки).

23.2.3. Язык

23.2.3.1. Общие сведения

I. Строение

Мышечная основа а) Язык - мышечный орган, покрытый со свободных поверхностей слизистой оболочкой.

б) В его основе - поперечнополосатые мышцы (1) (п. 11.2.1), идущие в различных направлениях:

продольном,
поперечном,
вертикальном.

Рисунки - язык:
I. сагиттальный разрез;
II. вид сверху.

Полный размер

Нижняя поверхность языка а) Здесь слизистая оболочка имеет такое же строение, как на мягких стенках полости рта (губах, щеках, мягком небе и язычке) (п..23.2.2.3).

б) Только слюнные железы располагаются

не в подслизистой основе,
а в толще мышц языка.

Верхняя и боковая поверхности а) Слизистая оболочка образует сосочки нескольких видов:

нитевидные (2) и конические (3),
грибовидные (4),
желобоватые (5),
листовидные (6).

Подробно они рассматриваются в следующем пункте.

б) Подслизистая основа отсутствует,
отчего слизистая оболочка здесь неподвижно сращена с мышцами.

Железы и миндалина а) А. Слюнные желёзы (7) располагаются в толще мышц вблизи той или иной поверхности.

Б. Они могут быть трёх видов:

белковые,
слизистые,
смешанные.

б) В корне языка под слизистой оболочкой находится язычная миндалина (8) - скопление лимфоидной ткани (п. 21.1.2).


II. Функции языка

Функции языка прямо связаны с вышеперечисленными структурами:

с мышцами - участие
в механической обработке пищи и
в звукопроизношении,
с железами - участие в слюнообразовании,
с рецепторами в составе сосочков - восприятие вкуса и прикосновений,
с язычной миндалиной - участие в образовании глоточного
лимфоидного кольца
(Пирогова).

23.2.3.2. Сосочки языка

I. Общий принцип строения

1. В основе каждого сосочка - выросты (сосочки) собственной пластинки слизистой оболочки.

2. Среди них имеется

один первичный вырост (который определяет общую форму всего сосочка) и
несколько мелких вторичных выростов (сосочков).

3. а) Первичный вырост покрыт, как короной, эпителием,

б) Вторичные же выросты (отходящие от первичного)

вдаются в толщу эпителия,
но не влияют на рельеф его поверхности.


II. Сравнительная характеристика

Тип сосочков Нитевидные (1) и конические Грибо-
видные
(2)
Листовидные Желобоватые
Рисунок
Лока-
лизация
Передняя часть
языка
Кончик и края
языка
Боковые поверхности языка:
1 ряд сосочков с каждой стороны
Между телом и корнем языка:
1 ряд сосочков в виде буквы V
Коли-
чество
Много-
численные
Несколь-
ко десятков
4 – 8 с каждой стороны От 6 до 12
Шири-
на и
высота
0,3 мм

~ 0,7 мм

~ 1,2 мм

~ 2 мм

~ 3,5 мм

~ 2 мм

~ 1,2 мм

Форма Коническая; на верхушке может быть длинный роговой стержень. Узкое основание и более широкая вершина. Напоминают узкие параллельные складки. Широкая вершина и узкое основание,
окружённое желобком.
Рецеп-
торы
Тактильные Вкусовые почки (п. 17.2.1)
Эпи-
телий
Частично орогове-
вающий
Многослойный плоский неороговевающий

ПРИМЕЧАНИЕ. Если замедляется отторжение ороговевающих слоёв эпителия нитевидных сосочков,
на языке появляется
белый налёт.

23.2.3.3. Препарат

I. Верхняя поверхность кончика языка

1,а. Препарат - язык. Сагиттальный срез кончика языка. Окраска гематоксилин-эозином.
1. На данном снимке видна верхняя поверхность языка и в ней - сосочки двух видов:

нитевидный (1) и
грибовидный (2).

2. а) Сосочки покрыты многослойным плоским частично ороговевающим эпителием (3).

б) Под эпителием располагается собственная пластинка (4) слизистой оболочки,
образованная рыхлой
волокнистой соединительной тканью.

Полный размер


3. а) Как мы знаем, на верхней поверхности языка подслизистой основы нет.

б) Поэтому непосредственно под слизистой оболочкой здесь находятся мышцы (5) языка.

в) Они образованы поперечнополосатой мышечной тканью.


II. Нижняя поверхность языка

1,б. Препарат - язык. Нижняя поверхность.
Окраска гематоксилин-эозином.
1. Уже отмечалось, что строение нижней поверхности языка аналогично строению мягких стенок ротовой полости.

2. В частности, на снимке видны следующие структуры:

многослойный плоский неороговевающий эпителий (1),

собственная пластинка (2) слизистой оболочки, вдающаяся в эпителий неглубокими сосочками,

Полный размер

подслизистая основа (3),

поперечнополосатая мышечная ткань мышц (4) языка.

23.2.4. Крупные слюнные железы

23.2.4.1. Исходные сведения

1. Крупные слюнные железы - это три пары желёз:

околоушные (1),

подчелюстные (2) и

подъязычные (3).


2. Общие сведения о них приведены в следующей таблице.

Рисунок - слюнные железы.
  Околоушные
железы
Подчелюстные железы Подъязычные
железы
Положение железы
На наружной поверхности ветви нижней челюсти.

В подчелюстной ямке, частично выходя из-под края челюсти.

Под слизистой оболочкой дна полости рта.
Место, где открывается выводной проток В преддверии рта, на уровне верхнего 7-го зуба. На подъязычном мясце. На подъязычном мясце и
(малые протоки) - в подъязычной складке.
Общий план строения 1. Снаружи железы покрыты плотной соединительнотканной капсулой.

2. От неё отходят прослойки, которые

разделяют железы на дольки и
содержат междольковые протоки и кровеносные сосуды.

Количество долек 7 10 18-20

23.2.4.2. Гистологическое строение; концевые отделы

I. Классификационные характеристики желёз

  Около-
ушные железы
Под-
челюстные железы
Подъ-
язычные
железы

Морфологи-
ческий тип


Данные железы -
сложные разветвлённые,

т.е. (в соответствии с п. 7.3.1) у них разветвлены

и выводные протоки,
и концевые отделы

Фрагмент
дольки

Концевые отделы:
по характеру секреции

Одного вида:

только белковые (серозные)

Двух видов:

белковые,
смешанные (белково-
слизистые)

Трёх видов:

белковые,
слизистые,
смешанные

Концевые отделы:
по форме
Альвеолярные Белковые отделы - альвеолярные,

смешанные отделы – трубчатые.

Белковые отделы - альвеолярные,

остальные отделы – трубчатые.


II. Клетки концевых отделов

Белковые
концевые отделы
Слизистые концевые отделы Смешанные
концевые отделы
1. СЕРОЦИТЫ (белковые клетки):

пирамидная форма и небольшие размеры,

тёмная цитоплазма (из-за сильной базофилии),

округлые ядра.

1. МУКОЦИТЫ (слизистые клетки):

более крупные,

светлая ячеистая цитоплазма,

уплощённые ядра у основания клеток.

1. Мукоциты: занимают основную часть концевого отдела.

2. Сероциты
(в подчелюстных железах) или

серомукоциты
(в подъязычных):

находятся на периферии отдела - в виде колпачка, или полулуния.

2. (3.) МИОЭПИТЕЛИАЛЬНЫЕ КЛЕТКИ. –

Имея эпителиальное происхождение,
располагаются под базальной мембраной (между ней и секреторными клетками).

Сильно уплощены; имеют звёздчатую форму, своими отростками охватывают концевой отдел.

Обладают сократительной способностью, что облегчает выделение секрета из концевых отделов.

23.2.4.3. Выводные протоки слюнных желёз

I. Виды протоков

1. Среди выводных протоков различают

а) внутридольковые -

вставочные (1) и
исчерченные (2);

б) междольковые (3) и

в) протоки железы.


2.
а) При этом вставочные протоки

начинаются непосредственно от концевых отделов и
выражены лишь в случае белковых концевых отделов.

б) В случае же слизистых отделов клетки вставочных протоков подвергаются ослизнению, превращаясь в мукоциты.

Основные признаки перечисленных протоков указаны в следующей таблице.


II. Сравнительная характеристика

  Вставочные протоки Исчерчен-
ные протоки
Междолько-
вые протоки
Протоки
желёз
Размеры
или
локали-
зация
диаметр протоков меньше, чем
у концевых отделов;

просвет -
узкий.

по диаметру протоки
больше
концевых
отделов
;

просвет - широкий.

Находятся в
междольковых
соединитель
-
но
тканных прослойках.
Проток идёт,
в основном,

вне ткани
железы.
Эпите-
лий

(для
внутри-
дольковых протоков)

и другие слои стенки

(для прочих протоков)

а) Эпителий -

однослойный

кубический
или плоский,

цитоплазма -
базофильная;

а) Эпителий -

однослойный

призматический;

цитоплазма - оксифильная,

с базальной исчерченно-
стью
*;

а) Эпителий -

двуслойный
или

многослойный;

а) Эпителий-

много-
слойный

кубический,

а в устье -
плоский;

б) слой миоэпителиальных
клеток

(следовательно, данные клетки
есть не только в ацинусах,
но и в протоках).

б) вокруг -
рыхлая
соединительная
ткань.
б) соеди-
ни
тельно-
тканная
оболочка
.

ПРИМЕЧАНИЕ. * Базальная исчерченность обусловлена митохондриями,
которые располагаются

перпендикулярно базальной мембране
между складками плазмолеммы.

23.2.4.4. Состав слюны

1. Вода Составляет 99 % массы слюны.
2. Муцин
Муцин - основной органический компонент смешанной слюны.

Образуется мукоцитами.

Является гликопротеином: с полипептидной цепью связаны многочисленные олигосахаридные цепочки.

3. Ферменты переваривания Амилаза - расщепляет крахмал,

мальтаза - расщепляет мальтозу.

4. Биологически активные вещества Лизоцим - обладает бактерицидным действием, т.к. разрушает бактериальную стенку.

Некоторые гормоны (инсулин и др.).

5. Экскретируе-
мые вещества
Продукты азотистого обмена - мочевая кислота, креатин.

Неорганические ионы:

Na+ , K+, Са2+ , Cl- , НСО3- .

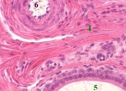
23.2.4.5. Препарат околоушной железы

I. Малое увеличение: дольки, железистый эпителий, протоки

2,а. Препарат - околоушная слюнная железа. Окраска гематоксилин-эозином.
1. Здесь под малым увеличением мы видим фрагменты двух долек околоушной железы,
разделённых
соединительнотканной перегородкой (4).

2. В дольках железистый эпителий (1) по составу однороден:

представлен только клетками с базофильной цитоплазмой - сероцитами.

Полный размер

3. Видны внутридольковые протоки:

вставочные (2) - небольшой просвет, клетки с базофильной цитоплазмой;

исчерченные (3) - широкие, клетки с оксифильной цитоплазмой (базальная исчерченность при данном увеличении не обнаруживается).

4. В поле зрения находятся также

междольковые выводные протоки (5),
артерия (6)
и
вена (7).


II. Большое увеличение: междольковая перегородка

2,б. Препарат - околоушная слюнная железа. Окраска гематоксилин-эозином.
1. На данном снимке, сделанном при большем увеличении, - междольковая прослойка соединительной ткани (4).

2. В ней видны междольковые протоки (5), которые

образованы двуслойным эпителием и
имеют широкий просвет.

3. Рядом проходит артерия (6).

Полный размер


III. Среднее и большое увеличения: паренхима дольки

2,в-г. Препарат - околоушная слюнная железа.
Окраска гематоксилин-эозином.

в) (Среднее увеличение)

Полный размер

г) (Большое увеличение)

Полный размер

Теперь в поле зрения - внутридольковая ткань железы, включающая

концевые отделы и внутридольковые протоки.

1 Концевые отделы (ацинусы) (1) содержат клетки двух видов. -

Сероциты (1.А): Миоэпителиальные клетки (1.Б):
основной компонент ацинусов,
ядра - округлые,
цитоплазма - базофильная.
находятся на периферии ацинусов,
ядра - уплощённые.

2. Внутридольковые протоки:
вставочные (2) - исчерченные (3) -
узкие,

с кубическими базофильными эпителиоцитами.

большие по размерам,

с призматическими оксифильными эпителиоцитами и

с базальной исчерченностью последних (на снимке плохо заметна).

На периферии стенок протоков обнаруживаются миоэпителиальные клетки (1.Б).

Продолжение темы