Список препаратов по теме

BOOK

Содержание темы

21.1. Периферические органы кроветворения

21.1.1. Лимфоузлы

21.1.1.1. Локализация
21.1.1.2. Общий план строения
21.1.1.3. Корковое вещество (лимфатические узелки)
21.1.1.4. Паракортикальная зона и мозговые тяжи
21.1.1.5. Обмен лимфоидных клеток лимфоузла
21.1.1.6. Сопоставление четырёх зон лимфоидной ткани
21.1.1.7. Другие препараты
21.1.1.8. Развитие лимфоузлов

21.1.2. Лимфоидная система слизистых оболочек

21.1.2.1. Состав
21.1.2.2. Взаимодействие лимфоидной ткани и эпителия
21.1.2.3. Нёбные миндалины
21.1.2.4. Червеобразный отросток

21.1.3. Селезёнка

21.1.3.1. Основные компоненты селезёнки
21.1.3.2. Функции и развитие селезёнки
21.1.3.3. Опорно-двигательный аппарат селезёнки
21.1.3.4. Белая пульпа
21.1.3.5. Красная пульпа
21.1.3.6. Сосуды трабекул

21.2. Краткие сведения об иммунных процессах

21.2.1. Основные участники иммунных процессов

21.2.1.1. Антигены
21.2.1.2. Главный комплекс гистосовместимости
21.2.1.3. Клоны В- и Т-клеток

21.2.1.4. Макрофаги
21.2.1.5. Гранулоцитарные лейкоциты и тучные клетки

21.2.2. Иммунные реакции

21.2.2.1. Общая характеристика
21.2.2.2. Примерный механизм клеточной иммунной реакции
21.2.2.3. Примерный механизм гуморальной иммунной реакции

21.2.3. Иммуноглобулины

21.2.3.1. Принцип строения Ig
21.2.3.2. Классы иммуноглобулинов
21.2.3.3. Система комплемента
21.2.3.4. Первичный и вторичный ответ на антиген

Введение

1. Согласно п. 20.1.2.3, к периферическим органам кроветворения относятся

лимфоидная система слизистых оболочек (пищеварительной, дыхательной, мочевой и половой систем)первый   барьер  на  пути  антигенов;

множество лимфоузлов  по ходу лимфатических сосудов  -  второй барьер,  задерживающий   антигены,  проникшие  через  кожу и   слизистые оболочки  в  лимфу;

селезёнка  - третий  барьер,  где   задерживаются  антигены,  оказавшиеся   в  крови.

2. а) Все  эти   органы образованы (кроме красной пульпы селезёнки), в  основном, лимфоидной тканью.

б) Происходящая в  ней встреча лимфоцитов с антигенами вызывает иммунные реакции - антигензависимую дифференцировку и последующие процессы.

3. Поэтому в данной теме мы

не только познакомимся со строением названных органов,

но и кратко рассмотрим представления об иммунных процессах.

21.1. Периферические органы кроветворения

         Хотя   лимфоузлы  образуют  лишь  второй   из  вышеперечисленных  барьеров,  они играют  определяющую  роль  среди   периферических  лимфоидных  органов.
       Кроме  того,   организация в них  лимфоидной  ткани наиболее демонстративна.
       Поэтому  начнём   рассмотрение с лимфоузлов.

21.1.1. Лимфоузлы

21.1.1.1. Локализация

1. Лимфоузлы располагаются (на пути лимфососудов) иногда поодиночке, а чаще - группами.

2. Подобные группы обычно находятся в следующих местах:

Рисунок - лимфатическая система.
а) в воротах внутренних органов - в корнях лёгких,
в брыжейке кишечника,
у ворот печени и селезёнки и т.д.;
б) в защищённых и подвижных местах "сомы"

(где движения способствуют току лимфы через узлы) -

в подколенной ямке,
в паху,
в подмышечной впадине,
на шее
и т.д.;
в) по ходу крупных кровеносных сосудов таза и брюшной полости.

21.1.1.2. Общий план строения

I. Внешний вид и основные компоненты

Внешний вид.

1. Лимфоузел - бобовидное образование (0,5-1,5 см),
одна сторона которого - выпуклая,
а вторая - вогнутая.

2. С выпуклой стороны в узел впадают приносящие лимфатические сосуды (1).

3. а) Вогнутая сторона имеет вдавление - ворота узла.

б) Здесь

от узла отходят выносящие лимфатические сосуды (2) и вены (3)

и входят в узел артерии (4) и нервы.

Рисунок - лимфоузел.
2. Основные компоненты

1. а) Узел покрыт капсулой (5); от неё отходят внутрь узла трабекулы (6).

б) И то, и другое образовано плотной волокнистой соединительной тканью.

2. а) Лежащая между трабекулами паренхима лимфоузла представлена, в основном, лимфоидной тканью
(т.е. ретикулярн
ой тканью, в петлях которой располагаются лимфоциты; п. 20.1.2.3).

б) Данная ткань образует три области, различимые на разрезе. -

I. Корковое
вещество
А. Является более тёмным и находится на периферии узла.

Б. Здесь лимфоидная ткань организована в лимфатические узелки (7), или фолликулы.

II. Паракорти-
кальная
зона
В паракортикальной зоне лимфоидная ткань располагается диффузно (т.е. неупорядоченно).
III. Мозговое
вещество
А. Мозговое вещество - это более светлая область в центре узла.

Б. Здесь лимфоидная ткань организована в мозговые тяжи (8).


II.
Лимфоток через узел

1. В узле имеются также лимфатические синусы - пространства,

выстланные ретикулоэндотелиальными ("береговыми") клетками и

служащие для перемещения лимфы через узел.


2.
а) При этом лимфа последовательно проходит по следующим сосудам и синусам:

приносящие лимфатические сосуды

краевой синус (9) - между капсулой и лимфатическими фолликулами

вокругузелковые синусы (10) - между трабекулами и узелками

мозговые синусы (11) - между трабекулами и мозговыми тяжами

выносящие лимфатические сосуды.

3. а) Особенности стенок синусов:

в их составе, кроме ретикулоэндотелиальных клеток, присутствуют и оседлые макрофаги,

между клетками имеются щели (через которые проникают лимфоциты).

б) Клетки могут находиться и в просвете синусов:

отростчатые ретикулярные клетки (играют роль "сита"),
свободные макрофаги,
лимфоциты.

Далее более подробно рассматриваются отдельные области лимфоузла.

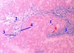
21.1.1.3. Корковое вещество (лимфатические узелки)

I. Обзор снимка

1. На снимке - периферическая часть лимфоузла.

2. Видны следующие структуры:

соединительнотканная капсула (1),

краевой синус (2),

выстланный береговыми клетками (в его просвете располагаются, как только что отмечалось, ретикулярные клетки, макрофаги и лимфоциты);

лимфатические узелки (3), составляющие корковую зону.

1,а. Препарат - лимфатический узел.
Окраска гематоксилин-эозином.

Полный размер


II. Узелки (фолликулы) и их виды

Общие сведения

1. Диаметр узелков - 0,5 – 1,0 мм.

2. Узелки,
не подвергавшиеся антигенной стимуляции, называются первичными,
а подвергавшиеся - вторичными.

Первичные узелки

Локализа-
ция
Первичные узелки имеются у плодов и т.н. гнотобионтов - животных, содержащихся в стерильных условиях.
Клеточный состав а) Эти узелки - небольшого размера.

б) В ячейках их ретикулярной ткани находятся следующие клетки:

малые антигеннестимулированные В-лимфоциты,
макрофаги и
небольшое число Т-хелперов.

Реакция на антиген а) При попадании сюда антигена последний реагирует с лимфоцитами, имеющими рецепторы к его антигенным детерминантам.

(Корпускулярный антиген предварительно перерабатывается и "представляется" макрофагами).

б) В итоге, запускается иммунная реакция -

соответствующие лимфоциты подвергаются бласттрансформации.

Отсутствие у взрослых а) Считается, что за первые несколько лет жизни организм контактирует с огромным количеством чужеродных антигенов.

б) Поэтому первичных лимфатических узелков вскоре не остаётся.

Вторичные узелки

1. На снимке 1,а мы видим вторичные лимфоидные узелки (3).

2. Их отличительная черта - наличие двух зон:

светлой центральной области - т.н. реактивной зоны, или герминативного центра (4),

и окружающей тёмной короны (5) (часто в виде полумесяца) из малых лимфоцитов.

 

3. а) При большем увеличении (снимок 1,б) можно видеть, что реактивный центр (4), в свою очередь, подразделяется на 2 зоны:

тёмную зону центра (лежащую как бы в основании узелка) и

светлую зону центра, которая занимает действительно центральное положение.

б) Наконец, в последней зоне выделяют

светлую базальную и
светлую апикальную зоны. 

1,б. Препарат - лимфатический узел. Окраска гематоксилин-
эозином.

Полный размер


III. Клеточный состав вторичного узелка

Рассмотрим клеточный состав вышеназванных зон вторичного фолликула и функциональную роль соответствующих клеток.

1а) Тёмная зона реактивного центра 1. В тёмной зоне реактивного центра, во-первых, содержатся крупные типичные макрофаги: они, видимо,

участвуют в переработке крупных корпускулярных антигенов (таких, как бактерии).

2. После переработки фрагменты антигенов передаются дендритным клеткам (произошедшим из макрофагов): они

долго (месяцами) удерживают на своей поверхности эти фрагменты, поддерживая тем самым антигенную стимуляцию В-клеток (с возможным участием Т-хелперов).

3. Стимулированные В-клетки (т.н. центробласты)

подвергаются мутагенезу, в ходе чего возникают клетки с большим и с меньшим сродством к антигену.

1б-I) Светлая базальная зона
реактивного центра

Затем в светлой базальной зоне происходит селекция клеток (центроцитов) - продуктов мутагенеза:

клетки с низким сродством к антигену отбраковываются (путём инициации апоптоза),

а клетки с высоким сродством - превращаются в В-иммунобласты.

1б-II) Светлая апикальная зона реактивного центра
Светлая апикальная зона - место сосредоточения интенсивно делящихся
В-иммунобластов. Это

крупные клетки со светлым ядром и светлой цитоплазмой.

2. Корона фолликула 1. После ряда делений образуются дифференцирующиеся клетки - проплазмоциты , которые

похожи на малые лимфоциты (имеют гиперхромное овальное ядро и узкий ободок цитоплазмы),

концентрируются в короне фолликула, постепенно перемещаясь в мозговые тяжи,

и, в конце концов, превращаются в плазмоциты (локализующиеся уже в мозговых тяжах).

2. Другие компоненты короны:

В-клетки памяти (тоже выглядят, как малые лимфоциты)
и некоторое количество макрофагов.

Кроме вышеназванных клеток, во всех зонах фолликула, как и в остальных областях лимфоидной ткани лимфоузла, содержатся ретикулярные клетки.

Замечание

Заметим, что на снимке (1,б), помимо фолликула, видны также и другие структуры лимфоузла:

соединительнотканная капсула (1),
приносящий лимфатический сосуд (2),
краевой синус (3),
паракортикальная зона (6).

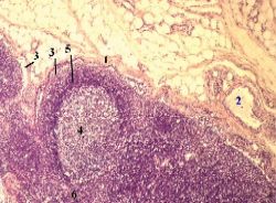
21.1.1.4. Другие участки лимфоидной ткани лимфоузла

I. Паракортикальная зона

1,в. Препарат - лимфатический узел. Окраска гематоксилин-эозином.
 

1. Паракортикальная зона (2) располагается между

вторичными фолликулами (1) и
мозговыми тяжами (3).

2. Её клеточный состав (не считая ретикулярной стромы) таков. –


Полный размер
Т-лимфо-
циты
а) Здесь присутствуют все виды Т-клеток, образуемые при антигенной стимуляции (пп. 20.2.5.1 и 20.2.5.3):

Т-иммунобласты,
Т-клетки памяти

и, главным образом, 

зрелые активированные клетки (Т-хелперы, Т-киллеры, Т-супрессоры).

б) Клетки памяти и зрелые клетки тоже выглядят как малые лимфоциты.

Интер-
дигитирую-
щие клетки
а) Интердигитирующие клетки имеют многочисленные пальцевидные отростки, проникающие между соседними клетками.

б) Это (как и дендритные клетки фолликулов) тоже разновидность макрофагов.

в) Сходной является и функция:

на мембране клеток связывается антиген

и тем самым "представляется" Т-лимфоцитам оторые узнают антиген лишь на поверхности других клеток).


3. а) Важная
особенность паракортикальной зоны - наличие здесь (а также в мозговых тяжах)

посткапиллярных венул с высоким эндотелием (см. п. 21.1.1.6).

б) Через их стенку могут проходить лимфоциты.


II. Мозговые тяжи

Локализа-
ция
Мозговые тяжи (3)

находятся в мозговом веществе узла между мозговыми синусами (4)

и отделены от последних береговыми (ретикулоэндотелиальными) клетками.

Клеточный состав 1. а) Как отмечалось выше, сюда мигрируют из лимфоузелков созревающие плазматические клетки.

б) Поэтому здесь (в ячейках ретикулярной ткани) находятся, в основном,

пролиферирующие проплазмоциты
и сами плазматические клетки.

в) Многие из этих клеток проникают в лимфатические синусы или посткапиллярнуые венулы и уходят в циркуляцию.

2. Помимо лимфоидных клеток, содержатся в мозговых тяжах и

макрофаги.

Мозговые синусы а) Обратим внимание также на мозговые синусы (4). -

б) Как отмечалось выше (п. 21.1.1.2), в их просвете находятся клетки -

главным образом, ретикулярные клетки (5),

а также макрофаги и лимфоциты.

21.1.1.5. Сопоставление четырёх зон лимфоидной ткани

Вышеизложенные данные по клеточному составу зон лимфоидной ткани лимфоузла сведём в таблицу. –

  Лимфоидные клетки Нелимфоидные клетки (помимо ретикулярных)
Реактивный центр
фолликула

(тёмная и светлая зоны)

В-зона:

центробласты (В-клетки в состоянии мутагенеза),

центроциты (клетки, подвергаемые селекции),

В-иммунобласты,

немного Т-хелперов.

Крупные макрофаги (перерабатывают крупные антигены)

Дендритные клетки
(сохраняют на поверхности фрагменты антигена).

"Корона" фолликула В-зона:

малые В-лимфоциты -
клетки памяти и
проплазмоциты.

Макрофаги
Паракорти-
кальная зона
Т-зона:

Т-лимфоциты всех трёх типов на разных стадиях антигензависимой дифференцировки.

Интердигитирующие клетки

("представляют" на своей поверхности антиген Т-клеткам).

Мозговые тяжи В-зона:

проплазмоциты и
плазматические клетки.

Макрофаги

21.1.1.6. Обмен лимфоидных клеток лимфоузла

На снимке видна одна из посткапиллярных венул лимфоузла (в области паракортикальной зоны или мозгового синуса).
Особен-
ности пост-
капилляр-
ных венул
Как отмечалось выше (п. 21.1.1.4.I), посткапиллярным венулам присущи две характерные черты:

большая высота эндотелиальных клеток (1); последние почти закрывают весь просвет сосуда;

способность лимфоцитов (2) проникать через стенку венулы.

Электронная микрофотография - венулы лимфоузла.

Полный размер

Обмен лимфо-
цитов
а) Таким образом, лимфоидные клетки могут

выходить из лимфоузла в кровь (вступая в рециркуляцию)

и, напротив, поступать из крови в лимфоузел.

б) По некоторым данным, состав лимфоидных клеток полностью обновляется в лимфоузле за несколько дней.

21.1.1.7. Другие препараты

Серия нижеследующих препаратов иллюстрирует наличие в лимфоузлах определённых клеток и неклеточных структур -

макрофагов,
плазматических клеток,
ретикулярных волокон.

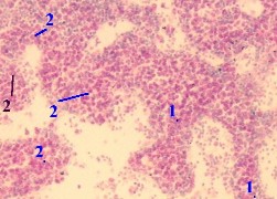
I. Выявление макрофагов

2,а-б. Препарат - накопление краски в лимфатическом узле. Инъекция красителя. Окраска гематоксилин-эозином.

а) (Малое увеличение)

Полный размер

б) (Большое увеличение)

Полный размер

1. Животному in vivo введён краситель,
и через некоторое время после этого приготовлен препарат лимфоузла.

2. В поле зрения -

мозговые тяжи (1) и
мозговые синусы (2).

3. Частички краски синего цвета обнаруживаются в

макрофагах (3), находящихся в просвете синусов,

и в клетках, выстилающих стенки синусов, - макрофагах и береговых клетках (4).

4. Другие клетки - лимфоциты (5) - лишены этих частиц.


II. Макрофаг на электронной микрофотографии

Электронная микрофотография - макрофаг из лимфоузла.
1. В ультраструктуре макрофага самыми характерными элементами являются многочисленные

вакуоли (3) и
лизосомы (2) с мелкогранулярным содержимым.

2. Другие видимые на снимке структуры:

крупное ядро,
митохондрии (4),
эндоплазматическая сеть (5),
аппарат Гольджи (6),

а на поверхности клетки -

микроворсинки (1).

n27.jpg (47399 bytes)


III. Выявление плазмоцитов

3,а-б. Препарат - плазматические клетки в лимфатическом узле. Окраска метиловым зелёным – пиронином.

а) (Малое увеличение)

Полный размер

б) (Большое увеличение)

Полный размер

а) В п. 9.2.2.2 мы видели препарат, где с помощью той же, что и здесь, окраски выявлялись плазматические клетки в рыхлой волокнистой соединительной ткани.

б) Теперь перед нами - мозговые тяжи (1) лимфоузла.

Цитоплазма 1. В плазматических клетках (2) интенсивно идёт синтез белков (иммуноглобулинов).

2. Поэтому в цитоплазме этих клеток хорошо развит шероховатый эндоплазматический ретикулум, отчего цитоплазма

богата РНК и
окрашивается пиронином в малиновый цвет.

Ядра и "дворик" 1. Ядра плазматоцитов располагаются эксцентрично.

2. а) А возле них - ещё одна характерная особенность: светлая область, или т.н. "дворик" (2.А).

б) Как мы знаем (п. 9.2.2.2), это место расположения

комплекса Гольджи (который здесь тоже выражен - в связи с активной секреторной деятельностью),
центриолей и
ряда других органелл.


IV. Выявление ретикулярных волокон

4. Препарат - ретикулярные волокна в лимфатическом узле.
Импрегнация азотнокислым серебром.
1. Данный метод окраски позволяет выявить ретикулярные (аргирофильные) волокна (1):

они окрашиваются в чёрно-коричневый цвет.

2. Видно, что волокна образуют в лимфоузле густую сеть.

Полный размер

21.1.1.8. Развитие лимфоузлов

Развитие лимфоузлов отражается схемой. –

21.1.2. Лимфоидная система слизистых оболочек

21.1.2.1. Состав

I. Компоненты системы

1. Согласно п. 20.1.2.2, в лимфоидную систему слизистых входят следующие компоненты:
а) в глотке - глоточное лимфоидное кольцо (или кольцо Пирогова):

миндалина языка,
две нёбные миндалины,
две трубные миндалины,
глоточная миндалина;

б) в стенке тонкой кишки - одиночные (солитарные) лимфатические фолликулы,

а также их скопления (пейеровы бляшки);

в) в стенке черве-
образного отростка
лимфатические узелки;

г) в стенке воздухоносных
путей
-

лимфатические узелки и диффузная лимфоидная ткань

ронхоассоциированная лимфоидная ткань - БАЛТ).

2. Следует уточнить, что лимфоидная ткань может

не только находиться в слизистой оболочке органа,
но и проникать в подслизистую основу.


II. Компоненты лимфоидной ткани

Почти во всех вышеперечисленных случаях лимфоидная ткань представлена двумя образованиями:

лимфатическими узелками и
окружающими скоплениями лимфоцитов.

   А. Лимфатические узелки (фолликулы) - зона В-лимфоцитов

Как и в фолликулах лимфоузлов, в лимфатических узелках (1) слизистых оболочек можно различить следующие области:

а) реактивный центр, включающий 3 зоны:

тёмную (где стимулированные В-клетки - центробласты - находятся в состоянии мутагенеза), 

светлую базальную (где происходит селекция центроцитов - продуктов мутагенеза ) и

светлую апикальную (где интенсивно делятся клетки - В-иммунобласты, - отобранные по степени сродства к антигену);

Рисунки -
А - участок нёбной миндалины,
Б - участок стенки червеобразного отростка.

Полный размер


б) а также окружающую корону (где происходит дифференцировка клеток, образовавшихся из В-иммунобластов, - проплазмоцитов и В-клеток памяти) .

     Б. Парафолликулярные скопления лимфоидной ткани - Т-зона

1. Парафолликулярные скопления лимфоцитов (2) -

аналог паракортикальной зоны лимфоузлов.

2. Это значит, что

данные скопления образованы Т-клетками (представляя собой Т-зону),

т.е. содержат Т-иммунобласты, Т-клетки памяти и зрелые активированные Т-лимфоциты (Т-киллеры, Т-хелперы и, возможно, Т-супрессоры).

    В. Нелимфоидные элементы

Несмотря на сходство организации лимфоидных элементов, в отношении нелимфоидных компонентов имеются отличия от лимфоузлов:

во-первых, строма представлена на ретикулярной, а рыхлой соединительной тканью;

во-вторых, переработка антигенов (макрофагами) и представление их лимфоцитам (антигенпредставляющими клетками) происходит, главным образом, в эпителии, с чем связана и иная (нежели в лимфоузлах) локализация участвующих в данных процессах клеток.

21.1.2.2. Взаимодействие лимфоидной ткани и эпителия

Итак, как только что было сказано, имеется тесное взаимодействие между лимфоидной тканью и эпителием слизистой.

Рассмотрим это взаимодействие подробнее.

I. Способы взаимодействия

Схема - иммунная реакция в слизистой оболочке кишечника.

Участие лимфоцитов в совместной реакции на антиген.

1. Как показано на схеме, лимфоциты (4) часто проникают в толщу эпителия (иначе говоря, инфильтрируют его).

2. Здесь они,

во-первых, впервые встречают антигены (1) (перемещаясь затем в лимфоидную ткань слизистой оболочки),

во-вторых, после антигензависимой дифференцировки выделяют на поверхность слизистой оболочки иммуноглобулины (2).

Участие эпителия в реакции на антиген.

Эпителий (5) тоже активно участвует в реакции на антиген.

1. а) В составе эпителия миндалин есть дендритные клетки,
а в составе эпителия кишечника (в т.ч. аппендикса) - т.н. М-клетки (3).

б) Видимо, и те, и другие

"представляют" антигены лимфоцитам (4).


2.
Кроме того, иммуноглобулины, синтезированные стимулированными лимфоцитами,

модифицируются в секреторных клетках эпителия (5)

и лишь после этого попадают на поверхность.


II. Этапы иммунной реакции

В итоге, иммунная реакция в слизистой оболочке включает следующие этапы (см. предыдущую схему).-

I. Связывание и обработка антигенов специальными клетками (дендритными или М-клетками)

II. Антигенная стимуляция лимфоцитов, находящихся в эпителии

III. Миграция лимфоцитов в соответствующую зону (В- или Т-) подлежащей лимфоидной ткани и антигензависимая дифференцировка

IV. Поступление дифференцированных или частично дифференцированных клеток в лимфоток или кровоток

V. Отсюда - выселение их  в  разные органы, в т.ч. в слизистую оболочку рядом с местом первичного контакта с антигеном

VI. Секреция плазмоцитами иммуноглобулинов, которые

проникают в секреторные клетки эпителия,
модифицируются и
выделяются на поверхность, защищая её от новых порций антигена.

В качестве конкретных примеров лимфоидной системы слизистых оболочек рассмотрим нёбные миндалины и червеобразный отросток.

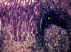
21.1.2.3. Нёбные миндалины

I. Общие сведения

Рисунок - полость рта Рисунок с препарата - участок нёбной миндалины; окраска гематоксилин-эозином.

Полный размер

1. Нёбные миндалины (1) расположены по обеим сторонам зева между нёбными дужками (2).

2. а) Каждая миндалина представляет собой несколько складок (3) слизистой оболочки с углублениями (криптами) (4) между ними;
причём, крипты часто разветвлены.

б) В толще слизистой оболочки находятся

многочисленные лимфатические фолликулы (5) (В-зона) и
лежащие между ними участки лимфоидной ткани (6) (Т-зона).

II. Препарат

5,а-б. Препарат - нёбная миндалина. Окраска гематоксилин-эозином.

а) (Малое увеличение)

Полный размер

б) (Большое увеличение)

Полный размер

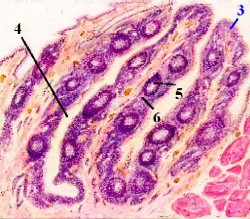
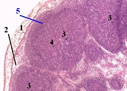
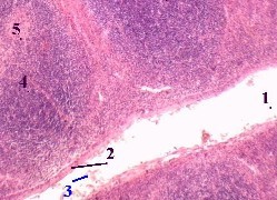
1. На снимках видна крипта (1) слизистой оболочки в области нёбной миндалины.


2. а) Оболочка покрыта
многослойным плоским неороговевающим эпителием (2).

б) А. В некоторых местах эпителий инфильтрирован лимфоцитами (6) и зернистыми лейкоцитами.

Б. При этом гранулоциты фагоцитируют микробы на поверхности.

в) А. Под влиянием микробов и выделяемых лейкоцитами ферментов некоторые эпителиальные клетки погибают и слущиваются.

Б. Такие слущенные клетки (3) вместе с лейкоцитами мы видим в просвете крипты.


3. Под эпителием в толще
рыхлой соединительной ткани находится лимфоидный фолликул (4) с более светлым реактивным центром (5).

21.1.2.4. Червеобразный отросток

I. Общие сведения

Рисунок с препарата - червеобразный отросток; поперечный срез; окраска гематоксилин-эозином.
1. Червеобразный отросток отходит от слепой кишки.

2. а) Слизистая оболочка тоже (как и в миндалинах) имеет многочисленные углубления - крипты (1).

б) Под ними по всей окружности отростка и на всём его протяжении располагаются

лимфатические фолликулы (2) и

межфолликулярная лимфоидная ткань (3).

II. Препарат

6,а-б. Препарат - червеобразный отросток; поперечный срез.
Окраска гематоксилин-эозином.

а) (Малое увеличение)

Полный размер

б) (Большое увеличение)

Полный размер

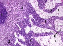
На снимках мы видим участок слизистой оболочки червеобразного отростка.

Крипты и покрывающий их эпителий.

1. а) В поле зрения - многочисленные фрагменты крипт (1), срезанных под разными углами.

2. а) Крипты покрыты однослойным цилиндрическим эпителием (2)
(как и в тонкой кишке).

б) Ядра эпителиальных клеток находятся в их базальной части;
апикальная
же часть клеток - оксифильна (окрашена в розовый цвет).

3. а) Таким образом, светлые участки на снимках - это
не просвет кишечника,
а артефакт (результат повреждения ткани при изготовлении препарата).

б) К просвету же отростка ведут пространства внутри крипт.

Лимфоидная ткань.

1. Под криптами находится рыхлая соединительная ткань (3).

2. В ней виден лимфоидный фолликул (4), включающий

светлый реактивный центр (5) из В-иммунобластов и
резко выраженную корону (6) из малых В-лимфоцитов и

3. а) Окружающая область также обильно инфильтрирована лимфоцитами (7).

б) Особенно много их над фолликулом - в поверхностном слое слизистой оболочки, в т.ч. в составе эпителия.

Продолжение темы