Спланхнология домашних животных: система органов размножения


 

1.1.1. Семенник

Семенник (лат. – testis, s. didymis, гр. – orchis) – это парная половая железа самцов, которые продуцируют мужские половые гонады - спермии и половые гормоны (андрогены), которые обеспечивают проявление вторичных половых признаков (рис. 6, 7).

В семенниках происходит развитие и созревание спермиев, а также семенники выполняют функцию железы внутренней секреции, выделяя в кровь мужские половые гормоны (андрогены)– тестостерон, андростендион, дигидротестостерон, дегидроэпиандростерон, эпитестостерон, которые обеспечивают проявление вторичных половых признаков.

Образование спермиев возможно только при температуре на 3-4 °С ниже температуры тела, поэтому семенники опускаются в мошонку и у большинства животных постоянно в ней находятся. Однако у ряда млекопитающих (некоторые грызуны, насекомоядные, рукокрылые, некоторые приматы) семенники опускаются в мошонку или поднимаются в брюш­ную полость периодически. Этот процесс связан с периодом течки у самок. Наконец, у броненосцев, китообразных, сиреновых семенники совсем не опускаются в мошонку.

Схема строения семенника быка

Рисунок 6 – Схема строения семенника быка

Семенник – это эллипсовидный, плотной консистенции паренхиматозный орган. Подвешен на семенном канатике в семенниковом мешке.

Семенник быка в разрезе

Рисунок 7 – Семенник быка в разрезе

На каждом семеннике выделяют два конца - головчатый и хвостатый (extremitas capitata et extremitas caudata), два края - придатковый и свободный (margo epididymalis et margo liber) и две поверхности - латеральную и медиальную. К головчатому концу прикрепляется головка, вдоль придаткового края - тело, а к хвостатому концу фиксируется хвост придатка семенника. Свободный край семенника гладкий и выпуклый.

Сверху семенник покрыт плотной фиброзной капсулой, или белочной оболочкой (tunica albuginea testis) (рис. 8). Она врастает в семенник со стороны его головчатого конца, глубоко внедряется в толщу органа, продолжаясь в направлении хвостатого конца, и формирует средостение семенника (mediastinum testis). От средостения семенника к его белочной оболочке отходят многочисленные трабекулы, или перегородки семенника (septulae testis). Они разделяют семенник на множество отдельных долек (lobuli testis), в которых располагаются извитые семенные канальца (tubuli seminiferi contorti) и промежуточная интерстициальная ткань, образующие паренхиму семенника (parenchyma testis) (рис. 9).

Гистологический разрез семенника и придатка семенника быка

Рисунок 8 – Гистологический разрез семенника и придатка семенника быка

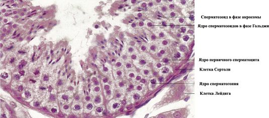
Стенка извитых семенных канальцев состоит из соединительнотканной оболочки и слоя сперматогенного эпителия. В извитых канальцах семенников и происходит образование спермиев. В каждой дольке находится 2-3 канальца и более. Капсула, средостение и перегородки формируют соединительнотканный остов, или строму семенника, в котором локализуются сосуды и нервы. Сосуды хорошо выражены и легко различимы в белочной оболочке, характеризуются сильной извилистостью. Извитые семенные канальца переходят, продолжаясь в прямые семенные канальцы (tubuli seminiferi recti), которые располагаются в средостении семенника и впадают в нем в семенниковую сеть (rete testis). Прямые семенные канальца представляют собой короткие трубочки между извитыми канальцами и семенниковой сетью.

Гистологический срез извитых канальцев семенника

Рисунок 9 – Гистологический срез извитых канальцев семенника

Средостение вместе с семенниковой сетью носит название гайморового тела семенника (corpus highmori). Семенниковая сеть состоит из небольших трубочек, выстланных изнутри кубическим эпителием, и располагается в средостении семенника между прямыми семенными и выносящими канальцами. Из сети семенника берут свое начало выносящие канальцы (ductuli efferentes testis), направляющиеся к головке придатка. Выносящие канальцы соединяют сеть семенника с протоком его придатка. Промежуточная (интерстициальная) ткань заполняет пространство между извитыми канальцами семенника. Она включает в себя рыхлую волокнистую ткань, интерстициальные эндокриноциты - клетки Лейдинга, снабжена множеством кровеносных сосудов, нервов, вырабатывает мужские половые гормоны - андрогены (тестостерон и др.) и поэтому относится к железам внутренней секреции.

Снаружи семенник покрыт специальной влагалищной оболочкой (tunica vaginalis propria), которая плотно срастается с белочной оболочкой. Внутренний, или висцеральный листок влагалищной оболочки (специальная влагалищная оболочка), кроме семенника, покрывает и его придаток, а затем, продолжаясь, переходит в брыжейку семенника (mesorchium), с помощью которой семенник фиксируется к наружному пристенному листку общей влагалищной оболочке семенникового мешка.

 
 


 


© ФГБОУ ВО Новосибирский ГАУ, © ГНУ ИЭВСиДВ СФНЦА РАН
(УДК 619:611.63/65 (075), ББК 45.260, я 73, С 729)