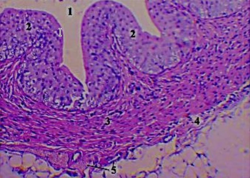
Рис. 44. Мочеточник самеца кролика

Рисунок 44 – Мочеточник самеца кролика:
1 – просвет мочеточника; 2 – складки слизистой оболочки; 3 – мышечная оболочка; 4 – адвентициальная оболочка; 5 – кровеносные сосуды и пучки нервных волокон. Окраска гематоксилином и эозином, увеличение ×100 (Теленков В.Н., 2021)