Мочеточник

Мочеточник (ureter) – трубчатый орган, проводящий мочу из почечной лоханки в мочевой пузырь. Открываются мочеточник в области шейки мочевого пу­зыря.

По топографическому признаку мочеточник подразделяется на брюшную (pars abdominalis) и тазовую (pars pelvina) части. Отойдя от почки, левый мочеточник располагается над брюшиной вблизи аорты, а правый рядом с каудальной полой веной. Оба мочеточника затем проходят вентрально от наружной и внутренней подвздошных артерий и, пересекая их, вступают в тазовую полость.

Тазовая часть мочеточника у самцов проходит в мочеполовой складке брюшины, пересекает семяпроводы; у самок – в широкой маточной связке. Достигнув дорсальной поверхности мочевого пузыря, мочеточники сближаются в области шейки пузыря, проходят некоторое расстояние между его мышечной и подслизистой оболочками и заканчиваются мочеточниковым отверстием (ostium ureteris) на поверхности слизистой оболочки. Z-образный изгиб, образуемый мочеточником при прохождении в стенке мочевого пузыря, препятствует обратному току мочи из мочевого пузыря в мочеточники, не исключая его сильное наполнение и не затрудняя поступление новых порций мочи.

Особенный вход мочеточников в мочевой пузырь способствует образованию на дорсальной стенке мочевого пузыря, в местах прохождения каудальных концов мочеточника, парных валиковидных возвышений, которые называются столбами мочеточника (columnae uretericae).

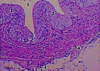
Стeнка мoчeтoчника сoстoит из слизистoй, подслизистой, мышeчнoй и адвентициальной оболочек (рис. 44).

Рис. 44. Мочеточник самеца кролика

Рисунок 44 – Мочеточник самеца кролика:
1 – просвет мочеточника; 2 – складки слизистой оболочки; 3 – мышечная оболочка; 4 – адвентициальная оболочка; 5 – кровеносные сосуды и пучки нервных волокон. Окраска гематоксилином и эозином, увеличение ×100 (Теленков В.Н., 2021)

Слизистая oбoлoчка покрыта многослойным переходным эпителием. В подслизистой основе расположены слизистые мочеточниковые железы (gll. uretericae), которые чаще всего наблюдают у лошади. Мышечная оболочка имеет три слоя пучков гладких мышечных волокон, из которых наружный и внутренний являются продольными, а среднийциркулярным. Циркулярный слой имеет наибольшее развитие. Он исчезает лишь в области впадения мочеточника в мочевой пузырь.