Список
экзаменационных
препаратов

Предыдущий препарат

Следующий
препарат

Список экзаменационных микрофотографий

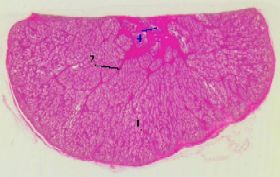
Препарат 50.

Предстательная железа собаки. Окраска гематоксилин-эозином.

(Нижеследующее описание основывается на материале разделов 29.1.2.2 и 29.3.1.2-29.3.1.3.)

А. Общее описание

1. а) Простата - один из органов мужской половой системы.  

б) Она представляет собой

совокупность отдельных желёзок (1),
окружённых мышечно-
эластической стромой (2)
.

а) (Малое увеличение)

Полный размер

в) Кроме того, в передней части простаты через неё проходит

мочеиспускательный канал (уретра) (4).

г) Причём, именно здесь в уретру открываются

семявыносящие протоки и
семенные пузырьки.

Теперь охарактеризуем основные компоненты простаты подробней.

Б. Простатическая часть уретры

1. Просвет уретры (4) - узкий, звёздчатой формы.

2. Его стенка содержит три оболочки -

слизистую,
подслизистую основу и
мышечную оболочку.

3. Слизистая оболочка включает

переходный эпителий (как и предыдущие мочевыводящие пути) и

собственную пластинку, в которой, в частности, расположены

- мелкие слизистые железы (Литтре) и
-
сеть венозных сосудов.

б) (Среднее увеличение)

Полный размер


4. В подслизистой основе содержится

ещё одна сеть венозных сосудов - более широких.

5. а) И, наконец, в мышечной оболочке - 2 слоя гладких миоцитов:

продольный и циркулярный.

б) Эти миоциты 

образуют непроизвольный сфинктер мочевого пузыря.


В. Мышечно-эластическая строма

1. Строма (2) расходится от уретры прослойками:

крупные прослойки разделяют простату на дольки,

а мелкие проникают внутрь долек, окружая отдельные железы.

а) (Малое увеличение)

2. В соответствии с названием стромы, в ней - два основных компонента:

пучки гладких миоцитов (2) и

рыхлая волокнистая соединительная ткань (5) с большим содержанием эластических волокон.

д) (Среднее увеличение)

Полный размер

3. а) Мышечные пучки (2) окружают дольки и в них отдельные концевые отделы двумя слоями

циркулярным и
продольным.

б) Сокращение миоцитов облегчает опорожнение концевых отделов при эякуляции.

е) (Большое увеличение)

Полный размер


Г. Железы простаты

1. а) Многочисленные железы простаты являются

по характеру секрета - слизистыми,

а по форме концевых отделов (1) -    альвеолярно-трубчатыми.

б) Причём, эти отделы

сильно разветвлены.

в) (Среднее увеличение)

Полный размер

2. Сочетание разветвлённых желёз и многочисленных прослоек придаёт препарату простаты

характерный папоротникообразный вид.

г) (Большое увеличение)

Полный размер

3. а) Выводные протоки (3), отходящие от концевых отделов,

идут в прослойках стромы,

сливаются в более крупные и,
в конце концов, открываются в  мочеиспускательный канал (4).

б) В результате,

секрет простаты пополняет жидкую часть спермы.

в) В крупных выводных протоках эпителий - многорядный.

4. а) Заметим: в простате человека протоки имеют более широкий просвет, чем концевые отделы.

б) У собаки же (как видно на снимках) протоки очень узкие.

в) (Среднее увеличение)

б) (Среднее увеличение)


5. По локализации железы простаты делят на 3 группы:

уже упоминавшиеся железы Литре (в слизистой оболочке уретры),

железы в соединительной ткани вокруг мочеиспускательного канала,

железы, находящиеся в остальной части простаты (и представляющие собственно предстательные железы).


6. Наконец, следует отметить, что простата, видимо, обладает и эндокринными функциями:

стимулирует деятельность яичек и
определяет
развитие гипоталамуса по мужскому типу.