1. а) Слизистая
оболочка включает два компонента:
переходный
эпителий (2) и
собственную
пластинку (3) из рыхлой
соединительной ткани.
б) Мышечной пластинки нет.
2. а) Что касается переходного
эпителия (2), то это
разновидность многослойного
эпителия. |
в)
(Большое увеличение) 
Полный размер |
б) Иными словами, с базальной мембраной
контактирует
только нижний, базальный
слой клеток.
3. Кроме этого слоя, имеются ещё
два: |
 |
промежуточный
слой и
поверхностный,
содержащий крупные клетки
куполообразной формы.
4. а) При
растяжении соответствующего участка
мочеточника форма поверхностных клеток
изменяется:
клетки уплощаются.
б) Однако препарат
приготовлен, естественно, из нерастянутого
органа,
так что клетки имеют обычную (куполообразную)
форму. |
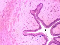
1. а) Подслизистая основа
(4), как и собственная пластинка (3) слизистой
оболочки, образована
рыхлой
волокнистой соединительной тканью.
б) Из-за
отсутствия в слизистой оболочке мышечной
пластинки,
чёткой границы между этой оболочкой и
подслизистой основой нет.
|
б) (Среднее
увеличение)
|
в) Однако можно ориентироваться, исходя из того
факта, что
подслизистая основа находится не в толще складок, а под ними.
г) В нижней половине
мочеточников в подслизистой основе встречаются
мелкие альвеолярно-трубчатые
железы.
Но на
студенческом препарате они обычно отсутствуют.
|
| 2. а) Мышечная оболочка (5) образована пучками гладких
миоцитов. б) В этой
оболочке
до середины
мочеточников - 2 слоя,
а ниже - 3
слоя.
|
 |
в) Клетки в слоях расположены спиралевидно -
с противоположным (в соседних
слоях) ходом спирали.
3. Наружная
оболочка (6) является адвентициальной, т.е образована
только рыхлой соединительной тканью.
|
г)
(Большое увеличение) 
Полный размер
|
4. В стенке
мочеточников, как обычно, содержатся также
 кровеносные
и лимфатические сосуды,
нервные окончания
(чувствительные и эфферентные),
интрамуральные ганглии и отдельные нейроны.
|
1. а) На протяжении каждого мочеточника, в
т.ч. в его начале и в конце, имеется несколько сужений:
здесь
в подслизистой
основе и мышечной оболочке расположены кавернозноподобные образования, КО,
т.е. системы пещеристых
(кавернозных) сосудов.
б) В обычном состоянии КО
заполнены кровью и
закрывают просвет
мочеточника.
г) В итоге, последний разделяется на
несколько сегментов, или цистоидов. |
2. а) Продвижение
мочи по мочеточникам происходит не
непрерывно, а
путём
последовательного заполнения очередного
сегмента.
б) А. Переполнение сегмента приводит
рефлекторным путём
к спадению КО на выходе из
сегмента.
Б. После этого
сокращаются гладкомышечные
элементы сегмента и изгоняют мочу в следующий
сегмент.
в) Такой принцип функционирования
мочеточников
предупреждает
обратный (ретроградный) ток мочи.
|
3. Удаление части мочеточника, практикуемое при
некоторых заболеваниях,
нарушает координацию работы
его сегментов и
вызывает расстройства
мочевыведения.
|
| а) Нередко
студенты путают препарат мочеточника с
препаратом пищевода: поскольку они
изготовлены из органов разных животных,
ожидаемого различия размеров обычно нет.
б) Остаётся ориентироваться на
гистологические особенности.
в) Таких особенностей (видимых на препарате),
по меньшей мере, три. - |
Мочеточник
(среднее увеличение)
 |
Пищевод
(среднее увеличение)
 |
Мочеточник
(большое увеличение)
 |
Пищевод
(большое увеличение)
 |
1. а) Эпителий:
в мочеточнике - переходный
эпителий (форма поверхностных клеток - округлая,
точнее - куполообразная).
в пищеводе он многослойный плоский неороговевающий (форма
поверхностных клеток - плоская);
б) Таким образом, главное здесь - форма
поверхностных клеток. |
2. Мышечная пластинка
слизистой оболочки:
в мочеточнике такой пластинки
нет, так что собственная пластинка слизистой
оболочки непрерывно переходит в подслизистую
основу;
в пищеводе же между собственной
пластинкой слизистой оболочки и подслизистой
основой имеются гладкие миоциты мышечной
пластинки.
|
3. Подслизистая основа:
в мочеточнике железы,
хотя и могут встречаться в нижней половине
органа (будучи при этом мелкими и редкими),
фактически в студенческом препарате отсутствуют;
в пищеводе же подслизистая
основа содержит много достаточно крупных
слизистых желез.
|