| Стенка крупного бронха состоит из
нескольких оболочек. 1. а) Самая внутренняя
из них - слизистая оболочка; она
включает:
многорядный мерцательный эпителий
(I.A),
собственную пластинку (I.Б) (богатую эластическими
волокнами) и
выраженную мышечную
пластинку (I.В).
|
а)
(Малое увеличение,
крупный бронх)
Полный размер |
б) Напомним: многорядный эпителий -
разновидность однослойного
эпителия, т.е все его клетки контактируют с
базальной мембраной.
Но клетки различны по размеру,
отчего их ядра лежат на нескольких
уровнях.в) Вот клеточный состав
эпителия крупных бронхов: |
б)(Среднее
увеличение
крупный бронх)
 Полный размер |
реснитчатые клетки - ядра лежат в верхнем ряду,
бокаловидные клетки -
светлые, секретируют слизь;
длинные
вставочные клетки - средний
ряд ядер;
базальные
(стволовые) клетки - нижний ряд ядер,
а также клетки, присутствующие в небольших
количествах, -
эндокриноциты, клетки Лангерганса (внутриэпителиальные
макрофаги) и др.
|
2. Вторая оболочка крупного бронха - подслизистая основа (II): здесь в
рыхлой соединительной ткани находятся
слизисто-белковые железы (II.A).
|
 |
| 3. Третья оболочка - фиброзно-хрящевая
(III). а) В крупных бронхах её образуют
отдельные, но достаточно крупные
пластинки гиалинового хряща,
окружённые надхрящницей (III.A).
|
 |
б) Между хрящами надхрящница переходит
в фиброзные
пластинки из плотной оформленной соединительной ткани.
|
| 4. Наружная оболочка - адвентициальная (IV). а) Она
непосредственно переходит в соединительную
ткань лёгочной паренхимы.
б) Рядом с бронхом обычно
идут сосуды и нервы. Так, на снимке а
можно видеть
нервный ствол (IV.A)
в составе адвентициальной оболочки и
крупную артерию (2)
возле бронха.
|
а) (Малое
увеличение,
крупный бронх)
|
Теперь в поле зрения - средний
бронх (1).
Он имеет тот же план строения, что и крупный
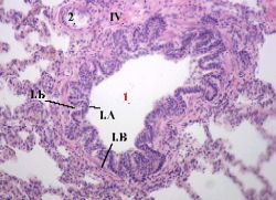
бронх, но с некоторыми особенностями.1. Слизистая оболочка.
а) Эпителий (I.A)
-
вновь многорядный мерцательный
с примерно тем же клеточным составом,
однако высота его ниже.
|
в)
(Малое увеличение,
средний бронх)
 Полный размер |
б) Собственная пластинка (I.Б) -
без особенностей,
зато мышечная пластинка (I.B)
выражена лучше, чем
в крупном бронхе.
Поэтому на препаратах
после фиксации
внутренняя
поверхность бронха оказывается складчатой.
|
г)
(Среднее увеличение,
средний бронх)
 Полный размер |
2. В подслизистой основе
(II) по-прежнему расположены железы
(II.A),
только теперь они расположены
не только перед хрящевыми
пластинками,
но и между ними.
|
в) (Малое
увеличение,
средний бронх)
 |
3. Это обусловлено тем, что фиброзно-хрящевая
оболочка (III) представлена в данном бронхе
лишь мелкими островками
гиалинового или эластического хряща.
4. Адвентициальная оболочка -
обычная;
а рядом с бронхом вновь часто можно видеть кровеносный сосуд (3). |
 |
В поле зрения - мелкий
бронх (1).
В его строении уже имеется ряд принципиальных
отличий.1. а) Во-первых, тут нет
двух внутренних оболочек -
подслизистой основы с железами и
фиброзно-хрящевой оболочки (т.е. совсем нет
хрящевых островков).
|
д)
(Среднее увеличение,
мелкий бронх) 
Полный размер |
б) Остаются лишь две другие оболочки:
слизистая и
адвентициальная (IV).
2. а) Во-вторых, эпителий (I.A)
слизистой оболочки является
не многорядным, а двухрядным
мерцательным.
|
 |
б) Причём, несколько меняется и его клеточный
состав: наряду с прежними
клетками, появляются также
щёточные (каёмчатые) клетки: они содержат
микроворсинки с хеморецепторами.
|
| 3. а) Наконец, мышечная
пластинка в этих бронхах развита
наиболее сильно (по сравнению с другими
воздухоносными путями). б) Поэтому
наиболее сильно выражена на препарате и
складчатость внутренней
поверхности.
|
 |
4. Остальное - без особенностей:
в слизистой оболочкой под эпителием расположена собственная пластинка (I.Б),
а рядом с бронхом вновь можно видеть кровеносный
сосуд (2).
|
 |
| Теперь на том же поле зрения
рассмотрим ацинус лёгкого. Его, как уже
отмечалось, образуют следующие компоненты: а) структуры, в которые
открываются альвеолы:
респираторные бронхиолы (I),
альвеолярные ходы (II),
альвеолярные мешочки (III), -
б) и сами альвеолы (IV). |
е) (Малое
увеличение,
ацинус)
|
1. а) Итак, принципиальное отличие респираторной
бронхиолы (I) от терминальной состоит лишь в
том, что
в её стенку открываются альвеолы
(IV).
б) Строение же стенки между альвеолами
отличается не очень сильно: в стенке имеются
однорядный кубический
реснитчатый эпителий (I.A),
тонкий слой рыхлой соединительной
ткани,
отдельные гладкие
миоциты (I.Б).
|
з)
(Большое увеличение,
респираторная бронхиола)
Полный размер |
в) Состав эпителия:
секреторные клетки Клара;
реснитчатые клетки ,
каёмчатые
(щёточные) клетки.
Как видно, он уже кардинально
отличается от состава эпителия крупных и средних
бронхов: нет бокаловидных, вставочных и
эндокринных клеток.
|
2. а) Особенность альвеолярного
хода (II) - в том, что
в его стенке альвеолы (IV)
расположены практически
вплотную друг к другу,
а между устьями альвеол стенка
выглядит в виде коротких утолщений - "пуговок" (2).
б) В составе этих "пуговок" - вновь
эпителий, очень тонкий слой соединительной ткани
и гладкие миоциты. |
ж)
(Среднее увеличение,
альвеолярный ход)
Полный размер |
3. а) Каждый альвеолярный ход (II) заканчивается
двумя альвеолярными мешочками (III),
а каждый из последних - это как бы "гроздь"
альвеол.
б) Отличия мешочка от альвеолярного хода
таковы: |
е) (Малое
увеличение,
ацинус)
 |
конечное
положение в ацинусе,
мешотчатая (а не
трубчатая) форма
просвета,
отсутствие миоцитов (а с ними и
"пуговок") между
устьями альвеол,
однородный состав
эпителия: в
нём остаются лишь клетки
Клара.
|
4. а) Наконец, альвеолы
(IV):
имеют вид тонкостенных
пузырьков разнообразной формы.
б) Состав стенки:
однослойный
плоский
эпителий (на базальной
мембране),
|
ж) (Среднее
увеличение) 
|
 и межальвеолярная перегородка из рыхлой соединительной
ткани, содержащая
большое количество эластических
волокон и
кровеносный
капилляр, контактирующий сразу с обеими
соседними альвеолами.
в) Поверхность эпителия
альвеол покрыта
сурфактантным
комплексом.
г) Клеточный состав альвеолярной
стенки:
эпителиальные клетки -
альвеолоциты 1-го
типа: осуществляют газообмен;
альвеолоциты
2-го типа: выделяют на поверхность компоненты,
образующие сурфактантный комплекс;
неэпителиальные клетки -
липофибробласты: поставляют альвеолоцитам-2 липиды для
синтеза фосфолипидных компонентов сурфактанта;
макрофаги:
фагоцитируют инородные частицы;
плазматические
и тучные клетки.
|