Список
экзаменационных
препаратов

Предыдущий препарат

Следующий
препарат

Список экзаменационных микрофотографий

Препарат 41.

Поджелудочная железа. Окраска гематоксилин-эозином.

(Нижеследующее описание основывается на материале раздела 25.3.) 

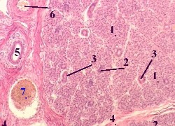
А. Компоненты железы

1. Поджелудочная железа снаружи покрыта

тонкой соединительнотканной капсулой,
а с передней поверхности - ещё и висцеральным листком брюшины.

2. В паренхиме железы имеются соединительнотканные перегородки (1),
которые подразделяют её на
дольки.

3. Кроме того, поджелудочная железа содержит 2 части -

экзокринную (основная часть массы) и
эндокринную (3% массы).

б) Причём, обе они присутствуют в каждой дольке.

а) (Малое увеличение)

Полный размер


4. а) Экзокринная часть включает

панкреатические ацинусы (2) и
выводные протоки (3).

б) Эндокринная же часть представлена островками Лангерганса (или панкреатическими островками) (4).


5. Кроме того, в поджелудочной железе встречаются следующие структуры:

промежуточные секреторные клетки (похожие и на экзо-, и на эндокриноциты),

тельца Фатер-Пачини, или пластинчатые тельца (6) - разновидность инкапсулированных рецепторных окончаний, реагирующая на сильное давление;

кровеносные сосуды (5).

Теперь охарактеризуем подробней экзокринную и эндокринную части железы.

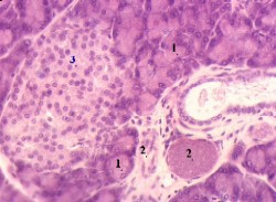
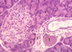
Б. Экзокринная часть: панкреатические ацинусы

1. а) В состав панкреатических ацинусов (1) включают

не только секреторные отделы (как, например, в слюнных железах),

но и вставочные протоки.

б) Дело в том, что в ряде ацинусов эти протоки как бы вставлены в секреторный отдел, образуя второй (внутренний) слой клеток.
   В этом случае клетки протока называются
центроацинозными (2.А на снимке в).

б) (Среднее увеличение)

Полный размер

2. а) Сам же секреторный отдел состоит из 8-12 крупных ацинарных клеток (4), лежащих на базальной мембране.

б) Вот их краткая характеристика:

I. форма - коническая, узкая верхушка обращена к центру ацинуса; 

в) (Большое увеличение)

Полный размер
II. базальная часть (4.Б) клетки (где на шероховатой ЭПС идёт интенсивный белковый синтез) -

гомогенна, отчего называется гомогенной зоной,
и резко базофильна, почему на препарате - более тёмная;


III. апикальная же часть (4.В) (где скапливаются крупные гранулы, содержащие зимогены - неактивные пищеварительные ферменты) -

называется зимогенной зоной,
oксифильна и выглядит на препарате светлой.


3. Именно этими клетками образуются компоненты панкреатического сока: ферменты переваривания

белков - трипсиноген, химотрипсиноген, прокарбоксипептидазы (все - в неактивной форме);
углеводов - a-амилаза;
липидов - липазы и фосфолипазы.

4. Вначале эти вещества попадают в просвет вставочного протока.

а) Мы уже говорили об одном варианте его расположения - центроацинозном.
б) Второй вариант - обычный: проток является продолжением секреторного отдела.


В. Экзокринная часть железы: выводные протоки

1. Последующие выводные протоки таковы:

межацинозные,
внутридольковые,
междольковые,
общий проток (открывается в duodenum).

2. Межацинозные протоки отличаются тем, что

их стенка образована только однослойным кубическим эпителием,
а клетки последнего секретируют жидкую часть панкреатического сока.

3. а) В стенке последующих протоков (в т.ч. междолькового (1), как на снимках г-д) - два компонента:

однослойный кубический или призматический эпителий (2),

а также слой рыхлой соединительной ткани (3).

г) (Малое увеличение)

Полный размер
б) Кроме обычных эпителиальных клеток, в эпителии протоков содержатся:

бокаловидные экзокриноциты,

эндокриноциты - продуценты холецистокинина, или панкреозимина (который стимулирует
     - экзокринную секрецию самой поджелудочной железы и
     - моторику желчевыводящих путей).

д) (Большое увеличение)

Полный размер

в) Таким образом, и экзокринная часть pancreas выполняет эндокринную функцию.


Г. Эндокринная часть железы: островки Лангерганса

1. Теперь дадим общую характеристику островков Лангерганса (3):

по форме они обычно округлые или овальные,
в них много капилляров,
клетки островков по размеру меньше и слабее окрашены, чем ацинарные.

е) (Большое увеличение)

Полный размер
2. По своей секреторной функции эти клетки подразделяются на 5 типов.

а) Из них основными являются следующие 2 типа

В-клетки (базофильные, 70% от всех клеток) - вырабатывают инсулин и лежат преимущественно в центре островка;

А-клетки (ацидофильные, 20% клеток) - вырабатывают глюкагон (антагонист инсулина), а сосредоточены на периферии островка.

б) Остальные три типа клеток являются "минорными": это

D-клетки - образуют соматостатин,
D1-клетки - образуют ВИП (вазоактивный интестинальный полипептид - антагонист соматостатина),
РР-клетки - секретируют панкреатический полипептид.


Д. Отличия от двух сходных препаратов

1. Нередко препарат поджелудочной железы  путают с препаратами двух других желёз -

паращитовидной (№27) и околоушной (№30).

Поэтому сравним эти препараты.

Паращитовидная
железа
Околоушная
железа
Поджелудочная
железа
(Малое увеличение)
(Малое увеличение)
(Малое увеличение)
(Большое увеличение)

(Среднее увеличение)

(Среднее увеличение)

2. Отличительные особенности паращитовидной железы: поскольку это "чисто" эндокринная железа, в ней нет

концевых отделов (ацинусов) и
выводных протоков, -

тогда как в поджелудочной железе имеются и те, и другие.

3. а) Сложнее отличить поджелудочную железу от околоушной, поскольку в последней тоже присутствуют и похожие концевые отделы, и выводные протоки.

б) Ориентироваться надо на следующие признаки:

в околоушной железе внутридольковые протоки имеют характерный вид:
    вставочные (2) - узкие, образованы клетками с базофильной цитоплазмой,
    исчерченные (3) - относительно широкие, образованы клетками с оксифильной цитоплазмой;

в поджелудочной же железе
      протоков такого вида нет,
      но зато можно найти островки Лангерганса.