| 1.
Подчелюстные железы относятся к крупным слюнным
железам. 2. По
морфологии подчелюстная железа - сложная разветвлённая
альвеолярно-трубчатая, т.е. у неё
разветвлены выводные протоки
(отсюда - термин "сложная"),
разветвлены
концевые отделы (отсюда - термин
"разветвлённая"),
а по форме концевые
отделы бывают двух типов - альвеолярные.и
трубчатые.
3. а) Снаружи каждая железа
покрыта плотной
соединительнотканной капсулой.
б) От последней отходят прослойки, которые
разделяют железу на 10 долек.
|
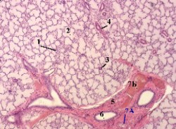
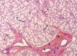
в) Так, на снимке
видны
часть дольки подчелюстной
железы и
междольковая соединительнотканная
перегородка (5).
4. В подобных перегородках проходят междольковые
выводные протоки (6), артерии (7А) и вены (7Б).
|
а) (Малое увеличение)

Полный размер |
5. В дольке же расположены
концевые отделы, или ацинусы
(1-3), и
внутридольковые выводные протоки
(3-4).
|
б) (Среднее
увеличение)

Полный размер |
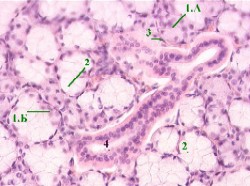
В подчелюстной железе содержатся
концевые отделы двух типов:
редкие - белковые (серозные)
ацинусы (1), тёмные на препарате,
и значительно преобладающие по
числу смешанные
(слизисто-белковые) концевые отделы (2), светлые на препарате.
|
 |
1. Серозные ацинусы (1А на снимке в) - такие же
по строению, как в околоушной железе:
содержат единственный вид железистых
клеток - сероциты:
небольшие клетки
с округлым ядром
и базофильной цитоплазмой,
а продолжаются эти ацинусы вновь во вставочные протоки (3 на снимке а).
|
в) (Большое увеличение)

Полный размер |
| 2. Смешанные ацинусы.
а) Основную их часть
составляют мукоциты (слизистые клетки) (2) -
крупные
клетки
со светлой ячеистой цитоплазмой
и
уплощённым
ядром в
базальной части.
б) Сероциты (1Б) же
находятся на периферии отдела -
в виде колпачка, или полулуния.
|
 |
в) При формировании данных ацинусов клетки
вставочных отделов подвергаются ослизнению
(превращаются в мукоциты), т.е. входят в состав
самого ацинуса.
Поэтому
непосредственным продолжением смешанного
отдела является сразу исчерченный
проток (4).
|
г)
Большое увеличение
(другое поле зрения)
 Полный размер |
3. На периферии и серозных, и
смешанных ацинусов (между базальной мембраной и
секреторными клетками) находятся миоэпителиальные
клетки (3):
уплощённые,
охватывающие
своими отростками концевой отдел
и обладающие сократительной
способностью (что
облегчает выделение секрета).
|
 |
1. а)
Внутридольковые протоки подразделяются
на 2 типа (вставочные и исчерченные), но среди них
вставочные протоки (3 на
снимке а) встречаются реже, чем в околоушной
железе, - поскольку, как было сказано, отходят
только от серозных концевых отделов;
а исчерченные
протоки (4) представлены с
той же частотой, что и в околоушной железе.
б) Морфология протоков - такова же, как в
околоушной железе. |
а) (Малое
увеличение)
 б) (Среднее увеличение)
 |
2. Так, вставочные протоки вновь
имеют небольшой внешний
диаметр и узкий просвет,
а образованы кубическими эпителиоцитами с базофильной цитоплазмой.
|
3. а) В
отличие от этого, исчерченные протоки (4)
больше по размерам (общему диаметру и
просвету),
а образованы эпителиоцитами
с
призматической формой,
оксифильной цитоплазмой
и базальной исчерченностью (на обычных препаратах обычно не заметной).
б) Базальная исчерченность обусловлена митохондриями:
они располагаются
между складками пламолеммы
перпендикулярно
базальной мембране.
|
в)
(Большое увеличение)

г) Большое увеличение
(другое поле зрения)
 |
4. На периферии
внутридольковых протоков (как и в самих ацинусах)
находятся
миоэпителиальные
клетки.
|