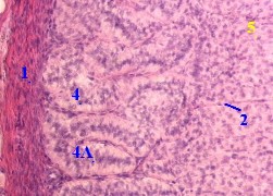
| 1. а) Снаружи
надпочечник покрыт соединительнотканной
капсулой (1). б) От неё
отходят тонкие прослойки
вглубь железы.
в) В капсуле и прослойках
находятся кровеносные
сосуды. |
а)
(Малое увеличение)
 Полный размер |
2. а) Под капсулой в органе
различают две части:
корковое вещество (2А-2В) - здесь образуются гормоны
стероидной природы (кортикостероиды) и
мозговое вещество (3), где синтезируются адреналин и
норадреналин.
|
 |
б) По существу, это две относительно
самостоятельные железы,
которые
продуцируют
разные по
структуре и функции гормоны,
но
которые объединены в единый (парный) орган с общим
кровоснабжением и кровооттоком.
|
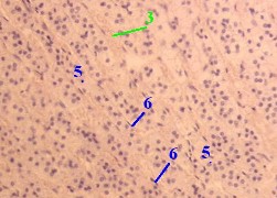
3. а) В свою
очередь, кора надпочечников подразделяется на
три зоны :
клубочковую (2А) (самую поверхностную),
пучковую (2Б) и
сетчатую (2В), которая прилежит к мозговому веществу.
|
 |
б) Эти зоны различаются
расположением
эпителиальных клеток,
видом
синтезируемых стероидных гормонов и
способом регуляции. -
в) Но есть и общее: в связи с интенсивным
синтезом стероидов,
в клетках всех зон хорошо
развита гладкая ЭПС.
|
1. а)
Клубочковая зона (2А): клетки
образуют округлые скопления - клубочки,
а синтезируют мннералокортикоидный
гормон - альдостерон.
б) Над и под клубочковой зоной находятся две узкие ростковые области из мелких
малодифференцированных клеток.
|
б) (Большое увеличение)

Полный размер |
2. Пучковая зона
(5 на снимках в-г):
является самой протяжённой по
толщине;
клетки организованы в длинные пучки,
ориентированные перпендикулярно
поверхности;
|
в) (Среднее увеличение)

Полный размер |
при этом у них - ячеистая цитоплазма - из-за наличия большого
количества крупных липидных
включений (готовых гормонов),
синтезируемые
гормоны - гликокортикоиды: кортикостерон, гидрокортизон и др.
|
г)
(Большое увеличение)

Полный размер |
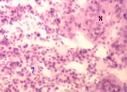
3. Сетчатая зона
(7 на снимке д):
клетки
более мелкие, чем в пучковой зоне;
образуют рыхлую сеть вблизи
мозгового вещества,
продуцируют андрогенный
гормон - андростендиол.
|
д)

Полный размер |