Список препаратов по теме

ВООК

Содержание темы

30.1. Компоненты системы: общие сведения

30.1.1. Перечень компонентов
30.1.2. Основные особенности внутренних органов женской половой системы

30.1.2.1. Яичники
30.1.2.2. Маточные (фаллопиевы) трубы, или яйцеводы
30.1.2.3. Матка
30.1.2.4. Влагалище

30.2. Яичники

30.2.1. Строение яичников

30.2.1.1. Общий вид
30.2.1.2. Корковое вещество: фолликулы
30.2.1.3. Корковое вещество: другие компоненты
30.2.1.4. Атрезия фолликулов
30.2.1.5. Жёлтое тело
30.2.1.6. Мозговое вещество яичника

30.2.2. Препараты яичника

30.2.2.1. Примордиальные и первичные фолликулы; атретические тела
30.2.2.2. Вторичный фолликул
30.2.2.3. Третичный фолликул
30.2.2.4. Тека фолликула
30.2.2.5. Жёлтое тело

30.2.3. Развитие женской половой системы и оогенез

30.2.3.1. Схема развития: эмбриональный период
30.2.3.2. Объяснение схемы. Яичник плода, ребёнка и взрослой женщины
30.2.3.3. Оогенез в целом
30.2.3.4. Резюме

30.2.4. Участие яичников в гормональной регуляции

30.2.4.1. Схема
30.2.4.2. Образование гормонов в яичнике
30.2.4.3. Действие гормонов яичника

30.3. Другие внутренние органы женской половой системы

30.3.1. Яйцеводы, или маточные (фаллопиевы) трубы

30.3.1.1. Составные части
30.3.1.2. Строение стенок
30.3.1.3. Препарат яйцевода
30.3.1.4. Другие иллюстрации

30.3.2. Матка

30.3.2.1. Внешний вид
30.3.2.2. Стенка матки: особенности строения
30.3.2.3. Стенка матки: гистологическая характеристика оболочек
30.3.2.4. Препарат матки
30.3.2.5. Шейка матки

30.3.3. Влагалище

30.3.3.1. Оболочки стенки
30.3.3.2. Эпителий влагалища

30.4. Молочные железы

30.4.1. Общий план строения
30.4.2. Гистологическая структура

30.4.2.1. Нелактирующая молочная железа
30.4.2.2. Лактирующая молочная железа
30.4.2.3. Сосок молочной железы

30.4.3. Образование молока в молочных железах
30.4.4. Регуляция функции молочных желёз

30.5. Овариально-менструальный цикл

30.5.1. Предварительные замечания
30.5.2. Описание цикла

30.5.2.1. Гормоны гипофиза в крови
30.5.2.2. Яичник
30.5.2.3. Женские половые гормоны в крови
30.5.2.4. Эндометрий

 

30.1. Компоненты системы: общие сведения

30.1.1. Перечень компонентов

Рисунок - женские половые органы.


1. Почти все органы женской половой системы
соответствуют по происхождению и отчасти по функции определённым органам мужской половой системы.

2. Это видно из следующей таблицы.

Полный размер

  Мужская
половая система
Женская
половая система
1. Гонады
(половые железы)
Яички: здесь образуются

сперматозоиды  и
мужские половые гормоны.

Яичники (1): здесь образуются

яйцеклетки и
женские половые гормоны.

2. Органы проведения гонад

и (у женщин) вынашивания плода

а) Придатки яичек.

б) Семявыносящие протоки

а) Яйцеводы (маточные, или фаллопиевы трубы) (2).

б) Матка (3) - место развития плода.

в) Влагалище (4).

3. Наружные половые органы

Мужской половой член; включает

непарное губчатое тело и

парные кавернозные тела.

а) Луковицы преддверия (5): соответствуют губчатому телу,
но разделены на 2 симметричные части.

б) Клитор (6) – соответствует кавернозным телам.

в) Большие и малые срамные губы (7).

4. Добавочные железы а) Семенные пузырьки

б) Простата

в) Бульбоуретральные (куперовы) железы.

а) Большие железы преддверия (бартолиниевы) (8) - соответствуют куперовым железам.

б) Молочные железы - видоизменённые потовые железы.

30.1.2. Основные особенности внутренних органов
женской половой системы

Несмотря на проведённую аналогию,

в локализации и строении женских половых органов имеется целый ряд существенных отличий,

что обусловлено особенностями их функции. -

30.1.2.1. Яичники

1. Локализация В отличие от яичек, яичники (1) располагаются

в брюшной полости (точнее, в её тазовом отделе).

2. Место развития гонад Половые клетки развиваются не в канальцах, а

в составе фолликулов - по одной половой клетке в фолликуле.

3. Цикличность функцио-
нирования
Развитие половых клеток подчинено месячным (менструальным) циклам:

каждые 28 суток в обоих яичниках достигает зрелости обычно

лишь один фолликул

(хотя в созревание может вступать большее число фолликулов).

4. Отсутствие непрерывной связи с яйцеводами а) Непрерывная связь между яичниками и яйцеводами отсутствует.

б) Поэтому созревший фолликул, выпячивая поверхность яичника, просто лопается (разрывая также оболочку яичника) и

половая клетка попадает в брюшную полость.

в) Этот процесс называется овуляцией.

30.1.2.2. Маточные (фаллопиевы) трубы,
или яйцеводы

Проникновение яйцеклетки в просвет трубы а) Маточные трубы (2) начинаются воронкой с многочисленными отростками (бахромками) на краях.

б) А. Во время овуляции

воронка достаточно плотно охватывает яичник,

а отверстие воронки открывается.

Б. Благодаря этому, половая клетка с поверхности яичника проникает в просвет трубы.

Проникновение сперматозоидов в просвет трубы а) Другим концом маточные трубы открываются в полость матки.

б) После полового акта

сперматозоиды достигают маточных труб,

и именно в одной из них происходит процесс оплодотворения (при наличии здесь яйцеклетки).

Перемещение зародыша по трубе а) Несколько дней развивающийся зародыш перемещается по трубе в матку.

б) А. При нарушении этого перемещения может наступать внематочная (трубная) беременность.

Б. Последняя обычно до конца не доходит из-за неспособности труб обеспечить развитие плода.

30.1.2.3. Матка

Общий план строения а) Матка (3) - полый мышечный орган.

б) На фронтальном разрезе имеет вид треугольника:

его основание обращено кверху (к дну),

в углы основания открываются маточные трубы;

верхушка же обращена вниз и переходит в шейку матки.

Внедрение зародыша в эндометрий

и последующее образование плаценты

а) Зародыш начинает внедряться в эндометрий (слизистую оболочку стенки матки) после 7 дней развития,

и этот процесс (нидация) длится около 40ч.

б) А. Во время беременности матка (наряду с зародышем) участвует в образовании специального органа - плаценты.

Б. С помощью последней происходит

питание и
дыхание зародыша,
а также удаление продуктов его метаболизма.

Менструация В отсутствие беременности  в конце каждого менструального цикла происходит менструация -

отторжение функционального слоя эндометрия.

30.1.2.4. Влагалище

Общий план строения Влагалище (4) - мышечно-фиброзная трубка длиной 8-10 см,

которая сверху охватывает шейку матки.

Функции а) А. После полового акта является

первичным приёмником спермы,

а также источником питательного субстрата для сперматозоидов.

Б. Таким субстратом является лактат (анион молочной кислоты);

он образуется при распаде гликогена эпителиальных клеток влагалищными микроорганизмами.

б) По окончании беременности влагалище служит в качестве родового пути.

Теперь, как обычно, приступим к более подробному изучению перечисленных органов.

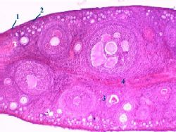
30.2. Яичники

30.2.1. Строение яичников

30.2.1.1. Общий вид

1. а) А. Яичник с поверхности покрыт не всем слоем брюшины, а только мезотелием (1) (что облегчает овуляцию).

Б. На апикальной поверхности клеток мезотелия имеются микроворсинки.

б) Под эпителием находится белочная оболочка (2),
образованная плотной волокнистой соединительной тканью.

2. Собственно яичник подразделяют на

корковое вещество (3), прилегающее к поверхности, и
мозговое вещество (4), располагающееся в глубине органа.

1,а. Препарат - яичник. Окраска гематоксилин-эозином.

Полный размер

30.2.1.2. Корковое вещество: фолликулы

I. Виды фолликулов

1. а) Главный компонент коркового вещества - фолликулы, находящиеся на различной стадии созревания.

б) Каждый фолликул содержит

одну женскую половую клетку (1), а также
фолликулярные клетки (2) эпителиальной природы.

в)  Последние лежат на базальной мембране, которая окружает фолликулярный эпителий с наружной стороны.

2. Различают 4 вида фолликулов:

примордиальные (3),
первичные (4),
вторичные (5) и
третичные, или граафовы пузырьки (6).

I. Схема - яичник:
развитие фолликулов,
овуляция и
образование жёлтого тела.

Полный размер

Примор-
диальные фолли-
кулы (3)
1. а) Это покоящиеся фолликулы.

б) Расположены в субкапсулярной зоне.

2. По размеру - самые мелкие.

3. Фолликулярные клетки -

плоские,
лежат вокруг половой клетки в один слой.

II. Рисунок с препарата - корковое вещество яичника. Окраска гематоксилин-
эозином.

Полный размер

Первичные фолли-
кулы (4)
1. Это "проснувшиеся" фолликулы, вступившие в созревание.

2. а) По размеру крупнее примордиальных.

б) Вокруг половой клетки появляется блестящая оболочка, образованная гликопротеинами и глюкозамингликанами.

3. Фолликулярные клетки -

кубической формы и
лежат в 1-2 слоя.

Вторичные фолли-
кулы (5)
1. Это следующая стадия развития фолликула.

2. Размер увеличивается ещё больше.

3. а) Фолликулярный эпителий становится многослойным.

б) В нём появляется одна или несколько мелких полостей (5.А), заполненных жидкостью.

4. а) Вокруг фолликула формируется дополнительная оболочка - тека (theca) (5.Б).

б) Причём, данный признак (наличие теки)

появляется раньше, чем полости,
и является определяющим при идентификации вторичного фолликула.

Третичный фолли-
кул (6)
(граафов пузырёк)
1. Это зрелый фолликул, достигший своего максимального развития.

2. По размеру - самый крупный и

выпячивает поверхность яичника.

3.а) Основной объём фолликула занят большой полостью с жидкостью (6.А).

   б) Могут присутствовать также  малые полости, ещё не успевшие слиться с основной полостью.

4. Как и вторичный фолликул, окружён текальной оболочкой.


II. Строение теки

Тека (покрышка вторичного и третичного фолликула) имеет два слоя.-

Внутренний слой
(theca interna)
а) Содержит интерстициальные (текальные) клетки с округлыми ядрами.

б) В них происходят начальные стадии образования эстрогенных гормонов
(конечные стадии протекают в фолликулярных клетках).

Наружный слой
(theca externа)
Образован плотной волокнистой соединительной тканью.

Клетки (фибробласты) имеют узкие ядра.


III.
Третичный фолликул: детализация строения

Оболочки вокруг половой клетки а) Половая клетка (6.Б) окружена

блестящей оболочкой (6.В) и

слоем фолликулярных клеток - т.н. зернистым слоем (6.Г).


б) При этом

внутренние части фолликулярных клеток (обращённые к блестящей оболочке) выглядят как лучистый венец (6.Д),

и от них отходят отростки, которые пронизывают блестящую оболочку.

Рисунок с препарата - граафов пузырёк в яичнике. Окраска гематоксилин-
эозином.

Полный размер

Термино-
логические
замечания
а) Заметим: лучистым венцом нередко называют просто

совокупность блестящей оболочки и фолликулярных клеток вокруг ооцита,
причём, по некоторым авторам, - только после овуляции.

б) Кроме того, под зернистым слоем в третичном фолликуле часто понимают всю совокупность фолликулярных клеток, т.е.

не только вокруг ооцита,
но и в пристеночном слое.

Базальная мембрана Заметим также: фолликулярные клетки вокруг ооцита 

не окружены базальной мембраной,

поскольку

последняя расположена вокруг всего фолликула,
а данный слой клеток образовался в результате расщепления  фолликулярного эпителия.

Яйценосный бугорок Вначале половая клетка вместе с указанными оболочками

связана со стенкой фолликула,

образует в ней т.н. яйценосный бугорок (6.Е)

и в составе последнего находится на периферии фолликула

(т.к. центральная часть фолликула занята полостью с жидкостью).

Состояние перед овуляцией а) Непосредственно перед овуляцией

яйценосный бугорок теряет связь со стенкой фолликула,

и половая клетка, окружённая блестящей и зернистой оболочками, начинает свободно плавать в фолликулярной жидкости.

б) Слой фолликулярных клеток, прилегающих к стенке фолликула, на этой стадии истончён.

30.2.1.3. Корковое вещество: другие компоненты

Схема - яичник: развитие фолликулов, овуляция и образование жёлтого тела.


1. а) Кроме фолликулов, в коре яичников могут присутствовать структуры, образующиеся из фолликулов.

б) Их происхождение иллюстрируется схемой. –


Полный размер

Жёлтое и белое тела Согласно схеме, среди фолликулов, вступающих в каждом цикле в созревание,
один (доходящий в этом созревании до овуляции) превращается

в т.н. жёлтое тело (7) и далее, через определённый срок, -

в белое тело (8), т.е. соединительнотканный рубец (который ещё позднее рассасывается).

Атретические тела Все остальные фолликулы на разных стадиях прекращают своё развитие и превращаются последовательно в

атрезирующие фолликулы,

атретические тела (9)

и (если фолликулы уже имели текальную оболочку) в скопления интерстициальных (текальных) клеток.

Отличительные особенности этих структур описываются в очередных двух пунктах.

30.2.1.4. Атрезия фолликулов

Изменения фолликула При атрезии
а-б) половая и фолликулярные клетки - погибают,
в) блестящая оболочка - сморщивается,
гиалинизируется и
остаётся в центре,
г) текальные клетки - размножаются и
активно продуцируют эстрогены.
Атрети-
ческое тело
В итоге, вид атретического тела таков:

а) в центре - сморщенная эозинофильная блестящая оболочка (1),

б) вокруг неё -

текальные клетки (2) (с округлыми ядрами) и

волокнистая соединительная ткань (3).

Полный размер

Замечание. - Если атретическое тело образуется из первичного фолликула (которое ещё не имеет текальной оболочки), то

текальных (интерстициальных) клеток в составе такого тела нет.

Скопления текальных клеток а) В последующем

блестящая оболочка постепенно рассасывается,

а на месте атретического тела образуется скопление текальных клеток (если таковые имелись первоначально),
и здесь ещё какое-то время образуются гормоны.

б) Таким образом, благодаря тому, что в созревание вступают сразу несколько фолликулов,

количество эстрогенпродуцирующих клеток в яичнике оказывается достаточно большим.

в) В последующем и эти скопления

подвергаются инволюции и
замещаются соединительной тканью.

30.2.1.5. Жёлтое тело

Ключевые особен-
ности
а) При превращении разорвавшегося фолликула в жёлтое тело пролиферируют (размножаются)

не текальные,
а фолликулярные (эпителиальные) клетки (прилегавшие к стенке фолликула).

б) Продукты их метаморфоза (т.н. лютеиновые клетки) вырабатывают уже

не эстрогенные гормоны,
а прогестерон (п. 22.1.2.3, IV).

Развитие а) Развитие жёлтого тела инициируется тем же гормоном, который вызывает овуляцию, -

лютеинизирующим гормоном (ЛГ) гипофиза.

б) Позднее его функционирование (включая продукцию прогестерона) поддерживается

лактотропным гормоном (ЛТГ), который вырабатывается в гипофизе или (при беременности) в плаценте.

в) В жизненном цикле жёлтого тела различают 4 стадии, показанные на схеме. –

Жёлтое тело на стадии расцвета а) Итак, в процессе железистого метаморфоза из клеток фолликулярного эпителия образуются лютеиновые клетки (1). Они

крупные, округлые, с ячеистой цитоплазмой;

содержат жёлтый пигмент (лютеин) и

вырабатывают гормон прогестерон.

Полный размер

б) Эти клетки лежат практически сплошной массой.

в) Как и другие эндокринные образования,
жёлтое тело содержит многочисленные кровеносные сосуды (2), врастающие из теки.

г) Вокруг жёлтого тела - волокнистая соединительная ткань (3), где текальные клетки уже не наблюдаются.

30.2.1.6. Мозговое вещество яичника

В мозговом веществе яичника находятся 4 компонента:

а) сосуды (10), идущие далее в корковое вещество;

б) нервные волокна -

чувствительные, а также
эффекторные - симпатические и парасимпатические;

в) соединительная ткань (11),

г) остатки канальцев (12) первичной почки (из которой, как и яички, развиваются яичники);

они образуют эпителиальные тяжи и трубочки - сеть яичника.

Схема - яичник

Полный размер

30.2.2. Препараты яичника

Теперь рассмотрим вышеперечисленные структуры коркового вещества на серии снимков с препаратов.

30.2.2.1. Примордиальные и первичные фолликулы;
атретические тела

I. Окраска по Маллори

Оболочки и строма яичника а) На поверхности яичника виден мезотелий (1) - однослойный плоский эпителий.

б) Под ним - белочная оболочка (2), образованная плотной волокнистой тканью.

в) От последней вглубь яичника отходят соединительнотканные прослойки (3), составляющие строму органа.

2,а. Препарат - яичник. Окраска по Маллори.

Полный размер

Приморди-
альные фолликулы
а) В поверхностном (субкапсулярном) слое коркового вещества находится множество мелких примордиальных фолликулов (4).

б) А. В их центре - половая клетка (точнее, ооцит I порядка).

Б. Она окружена одним слоем плоских фолликулярных клеток.

Первичный фолликул На снимке виден и первичный фолликул (5).

Хорошо заметны все его отличительные черты -

а) существенно больший размер (по сравнению с примордиальными фолликулами),

б) наличие блестящей оболочки (5.А) вокруг ооцита,

в) увеличение толщины фолликулярного слоя - за счёт

изменения формы клеток (с плоской на кубическую)
и появления второго слоя этих клеток.

Атретичес-
кие тела
а) А. На снимке также присутствуют атретические тела (6).
Они содержат:

в центре - сморщенную блестящую оболочку (6.А),

вокруг - небольшую полость.

Б. Текальных клеток в этих атретических телах практически не видно:

видимо, эти тела образовались из первичных фолликулов (п. 30.2.1.4).


б)
А. Вместе с тем, в центре снимка видно скопление текальных (интерстициальных) клеток (7).

Б. Очевидно, оно сформировалось на месте такого атретического тела (вторичного или третичного),
которое содержало текальные клетки.


II. Окраска гематоксилин-эозином

При данной окраске также видны многие из вышеперечисленных образований:

мезотелий (1),
белочная оболочка (2),
соединительнотканные прослойки (3);

примордиальные фолликулы (4),

первичный фолликул (5) и в нём -

ооцит (5.А),
фолликулярные клетки (5.Б).

1,б. Препарат - яичник. Окраска гематоксилин-эозином.

Полный размер

30.2.2.2. Вторичный фолликул

1. Здесь на обоих снимках в центре поля зрения - вторичный фолликул.

2. Как и в первичном фолликуле, вокруг ооцита (1) имеется блестящая оболочка (2),
образованная глюкозамингликанами и гликопротеинами.

3. Но присутствуют и три дополнительных признака, характерные для вторичных фолликулов:

многослойный характер фолликулярного эпителия (3),

наличие полостей (4) в этом эпителии,

наличие наружной оболочки - теки.

4. Причём, в теке уже видны два слоя -

внутренний (theca interna) (5), образованный текальными клетками с круглыми ядрами, и

наружный (theca externa) (5) - соединительнотканный.

в) А фолликулярный эпителий уже фактически подразделился на

зернистую оболочку (3.А) вокруг ооцита и

клетки, образующие стенку фолликула.

1,в-г. Препарат - яичник. Окраска гематоксилин-
эозином.

в) Малое увеличение

Полный размер

г) Большое увеличение

Полный размер

30.2.2.3. Третичный фолликул

1. а) Теперь на снимках - третичный фолликул.

б) Он находится у самой поверхности яичника, сильно её выпячивая.

2. Поэтому можно видеть оболочки трёх уровней. -

а) Оболочки половой клетки (ооцита) (1); они хорошо различимы при большом увеличении:

блестящая (2) оболочка,
лучистый венец (3),
зернистая оболочка (4).

б) Оболочки фолликула:

пристеночный слой фолликулярного эпителия (6),
двуслойная тека (7).

в) Оболочка яичника (8);
в области выпячивания она набухла и частично разорвалась.


3. а) Основная часть фолликула занята 
полостью (5), которая заполнена жидкостью.

б) На нижнем снимке видно, что жидкость начинает проникать и под основание (ножку) яйценосного бугорка.

2,б-в. Препарат - яичник. Окраска по Маллори.

б) Малое увеличение

Полный размер


в) Большое увеличение

Полный размер

в) На верхнем же снимке уже не видно связи ооцита (окружённого оболочками) со стенкой фолликула:

либо оттого, что ещё существующая ножка не попала в срез,

либо потому, что теперь ооцит (с оболочками) уже свободно плавает в фолликулярной жидкости.


    4. а) Помимо большой полости, в стенке третичного фолликула нередко встречаются

розеткообразные скопления фолликулярных клеток с небольшой полостью в центре  (на приведёных снимках их нет).

б) Они образуются в результате секреции данных клеток;
позднее малые полости сливаются с большой полостью фолликула.

30.2.2.4. Тека фолликула

1. Здесь при большом увеличении представлена периферическая часть фолликула.

2. В поле зрения -

фолликулярные клетки (1) и

покрышка фолликула - тека, отличимая по наличию коллагеновых волокон (2) (которые имеют при данной окраске синий цвет).

3. а) Во внутреннем слое (3) тэки

клетки имеют округлые ядра,

а содержание между ними коллагеновых волокон невелико.

2,г. Препарат - яичник. Окраска по Маллори.

Полный размер

б) В наружном же слое теки (4)

клетки (миофибробласты) имеют узкие ядра

и коллагеновых волокон значительно больше.

30.2.2.5. Жёлтое тело

3,а-в. Препарат - яичник животного, жёлтое тело беременности.
Окраска гематоксилин-эозином.

а) Малое увеличение

Полный размер

б) Среднее увеличение

Полный размер

в) Большое увеличение

Полный размер

1. Наконец, перед нами - жёлтое тело яичника.

2. Лютеиновые клетки (1) - крупные, округлые, лежат почти сплошной массой.

3. Между ними -

прослойки соединительной ткани (2),
капилляры (3)
и более крупные кровеносные сосуды (4).

30.2.3. Развитие женской половой системы и оогенез

1. До сих пор, говоря о главном содержимом фолликулов, мы часто использовали общий термин "женская половая клетка".

2. Между тем, как и в случае сперматогенеза,
созревание женских половых клеток (
оогенез) - долгий и сложный процесс,
и на разных его этапах половые клетки называются по-разному.

3. а) Причём, созревание опять-таки начинается с ранних стадий эмбриогенеза.

б) Поэтому обратимся к развитию женской половой системы.

30.2.3.1. Схема развития: эмбриональный период

Рисунки - развитие яичника:

А. миграция гоноцитов

Полный размер

Б. формирование фолликулов

Полный размер

Смысл приведённых рисунков отражается схемой. -

30.2.3.2. Объяснение схемы.
Яичник плода, ребёнка и взрослой женщины

I. Источник половых клеток

Появление и миграция гоноцитов а) Как и в мужском зародыше (п. 29.2.4.1),
первичные половые клетки
(гоноциты) впервые появляются в стенке желточного мешка (1.А).

б) Отсюда они мигрируют (1.Б) по кровеносным сосудам и

внедряются (1.В) в утолщения эпителия (половые шнуры) на поверхности первичной почки (2).

Инициация оогенеза а) И опять не собственная программа, а влияние окружающих эпителиоцитов, определяет направление дальнейшего развития гоноцитов -

но теперь уже в сторону женских половых клеток.

б) С этого момента половые клетки называются прооогониями,
а развитие половых клеток - оогенезом.

II. Эмбриональные этапы оогенеза

Отличия от спермато-
генеза
Оогенез имеет ряд принципиальных отличий от сперматогенеза.

а) Первое из них заключается в том, что многие начальные этапы собственно оогенеза

происходят ещё в эмбриональный период,

причём, у всех половых клеток сразу.

б) Напомним: в сперматогенезе аналогичные этапы совершаются

в половозрелый период,

и по мере вступления очередных стволовых клеток в созревание.

Митоти-
ческие деления оогоний
а) Начальный этап оогенеза (на 3-4 месяце развития) - митотические деления клеток в половых шнурах
при этом делящиеся клетки называются
оогониями.

б) Считается, что образуется около 5-6 млн оогоний.

в) Однако многие из них (до 95 %) погибают.

Начало профазы мейоза а) А. Оставшиеся клетки (ещё во внутриутробный период и некоторое время после рождения) вступают в профазу мейоза (период малого роста).

Б. С этого момента они называются ооцитами I (первого порядка).

б) Малый рост ооцитов не зависит от гормонов гипофиза.

в) Профаза доходит до стадии диплотены

и на этом на длительный срок останавливается.

Иногда  такую   фазу покоя  называют  диктиотеной.

Происхож-
дение фолликуляр-
ных клеток
а) Фолликулярные клетки происходят из эпителия половых шнуров.

б) В процессе периода малого роста они окружают одним слоем каждую половую клетку, образуя

примордиальные фолликулы.

в) Следовательно, каждый такой фолликул содержит

ооцит I, покоящийся на стадии диплотены профазы мейоза.

Исходный пул примор-
диальных фолликулов
а) К моменту рождения имеется около 400.000 примордиальных фолликулов.

б) Но и среди них многие погибают -
особенно после рождения девочки - в детском возрасте.

в) Таким образом, атрезии подвергаются и примордиальные фолликулы (а не только фолликулы, вступившие в созревание).

г) Однако, из-за отсутствия блестящей оболочки, следов таких атрезировавших фолликулов не остаётся.

Образование первичных и атретических фолликулов а) Ещё в эмбриональном периоде некоторое количество примордиальных фолликулов эпизодически вступает в созревание,

а содержащиеся в них ооциты I - в период большого роста.

б) Но из-за недостатка гонадотропных гормонов гипофиза

развитие доходит лишь до стадии первичных фолликулов,

после чего фолликулы атрезируют, сохраняясь в виде атретических тел (со сморщенной блестящей оболочкой в центре).

в) Этот процесс продолжается  и  после рождения.

г) Таким образом, яичники девочки содержат

примордиальные и
первичные
фолликулы,
а также
атретические тела.

III. Вид яичника взрослой женщины

У взрослой женщины разнообразие фолликулов в яичниках зависит от фазы менструального цикла (п. 30.5).

Менстру-
альный и постмен-
струальный периоды
а) Во время менструального периода   в яичниках вступает в созревание очередная "порция" примордиальных фолликулов.

б) Поэтому в этот и в постменструальный периоды (т.е. до овуляции) в яичниках присутствуют следующие фолликулы:

примордиальные,
первичные
,
вторичные,
третичные,
а также

атретические тела
(сохранившиеся от предыдущих циклов) и
атрезирующие фолликулы (результат атрезии фолликулов в данном цикле).

Предмен-
струальный период
После овуляции (когда все развивавшиеся фолликулы, кроме одного   овулировавшего, подвергаются атрезии),

а) в одном из двух яичников оказывается

жёлтое тело

б) и в обоих яичниках -

примордиальные и
атрезирующие фолликулы,
а также
атретические тела.

Замечание
а) Существует представление  противоположного рода.
Согласно ему,

после овуляции некоторые фолликулы не атрезируют, а продолжают развиваться;

так что полное развитие фолликула от примордиального до третичного занимает не половину одного менструального цикла, а несколько циклов (до 4-5).

б) Из-за отсутствия надёжных доказательств этой точки зрения, будем пока придерживаться прежних представлений.

IV. Происхождение компонентов женской половой системы

Происхож-
дение коркового вещества яичников
Из вышеизложенного ясно, что корковое вещество яичника

а) образуется на месте первичной почки,

б) но имеет, в основном, "инороднее" происхождение:

половые клетки мигрируют из желточного мешка,

а фолликулярные клетки - с поверхности почки.

Происхож-
дение мозгового вещества яичников
а) В отличие от коркового вещества,
мозговое вещество яичника происходит из материала первичной почки.

б) В том числе (как упоминалось в п. 30.2.1.6),

могут оставаться рудиментарные канальцы первичной почки -
в виде эпителиальных тяжей и трубочек
.

Производные парамезо-
нефральных протоков
Большую роль играет парамезонефральные протоки:

их верхние концы преобразуются в маточные трубы,

а нижние, сливаясь, образуют матку и влагалище.

 

30.2.3.3. Оогенез в целом

1. Итак, оогенез начинается в эмбриональном периоде.

2. Ещё раз повторив его ранние этапы, рассмотрим весь этот процесс в целом.

3. При этом, как в п. 29.2.4.4, будем использовать обозначения:

n - гаплоидный набор ДНК,
с - гаплоидный набор хромосом.

I. Размножение оогоний

а) Данная стадия происходит во внутриутробном периоде:

на 3-м – 4-м месяце развития.

б) При этом число клеток увеличивается в 2k раз,
где k - число митотических циклов.

Оогонии (2n, 2с)

х 2k

Оогонии (2n, 2с)


II,А. Профаза мейоза - первые стадии (
период малого роста)

1. Период малого роста ооцита I происходит тоже до рождения и некоторое время после рождения.

2. Протекают следующие стадии профазы мейоза (см. п. 29.2.4.5):

прелептотена,
лептотена,
зиготена,
пахитена,
неполная диплотена.

3. В итоге, в ооцитах I примордиальных фолликулов хромосомы

удвоены,
попарно конъюгированы,
образуют хиазмы.

Оогония
(2n, 2с)

Ранний ооцит I
(2n, 2с)


Ооцит I,
стадия диплотены
(4n, 2с)
(в составе примордиального фолликула)

Период покоя

а) На стадии диплотены (диктиотены), как отмечалось, ооциты I вступают в длительную фазу покоя.

б) Она продолжается

до периода большого роста.

в) А. Последний же может начинаться

как ещё до полового созревания (и тогда большой рост рано обрывается),

а также в течение всего репродуктивного периода жизни женщины.

Б. Таким образом, ооциты I могут покоиться на стадии диплотены в течение нескольких десятилетий.

Ооцит I,
диплотена,
(4n, 2с)

Ооцит I,
диплотена,
(4n, 2с)


II
,Б. Продолжение мейоза (период большого роста)

Место действия Данный этап оогенеза

инициируется фолликулостимулирующим гормоном (ФСГ) гипофиза и
происходит в созревающем фолликуле, который при нормальном развитии последовательно становится

первичным,
вторичным и
третичным.

Основные события а) Вначале длительное время ооцит I растёт:

значительно увеличивается в размере и
накапливает в цитоплазме питательные вещества.

б) Завершается профаза мейоза - стадии диплотена и диакинез.

в) В самом конце существования фолликула быстро проходят остальные стадии 1-го деления мейоза:

метафаза,
анафаза и
телофаза.

Ооцит I,
стадия диплотены
(4n, 2с)
(в составе примордиального фолликула)

Ооцит II (2n, 1с) Редукцион-
ное тельце
(2n, 1c)
(в составе граафова пузырька)
Результат В итоге, образуются 2 клетки с одинарными наборами двухроматидных хромосом:

ооцит II, получающий почти всю цитоплазму ооцита I, и

маленькое редукционное тельце (в оплодотворении не участвующее).

Овуляция

При разрыве фолликула высвобождаются

ооцит II (окружённый блестящей и зернистой оболочками) и

редукционное тельце (находящееся где-то в составе оболочек).

Ооцит II

Ооцит II

Редукцион-
ное тельце

Редукцион-
ное тельце

II,В. Окончание мейоза

Место действия а) Ооцит II проникает в просвет маточной трубы.

б) Если происходит оплодотворение, то проникающий в клетку сперматозоид стимулирует завершение мейоза.

События а) Происходят стадии 2-го деления мейоза:

короткая  профаза  (включающая   только разрушение  ядерной оболочки), 

метафаза, анафаза и телофаза.

б) При этом ядро ооцита II делится на 2 ядра с гаплоидными наборами хромосом:

одно из них удаляется в составе очередного редукционного тельца;

второе остаётся в качестве женского пронуклеуса (сосуществующее с мужским пронуклеусом).

Результат а) В итоге, яйцеклетка в точном смысле этого слова (т.е. женская половая клетка с гаплоидным ядром) на самом деле так и не образуется и никогда не существует:

ооцит II в результате оплодотворения и окончания мейоза превращается сразу в зиготу.

в) Тем не менее, термином "яйцеклетка" широко пользуются,

и условно можно сказать, что
в результате мейоза из одного ооцита I получаются

одна яйцеклетка и

три редукционных тельца (если первое редукционное тельце тоже подвергается второму делению).

Ооцит II (2n, 1с) Редукцион-
ное тельце
(2n, 1c)
Яйце-
клетка
(1n, 1с)
3 редукци-
онных тельца (1n, 1c)

30.2.3.4. Резюме

Исходя из вышеизложенного, можно перечислить следующие особенности женского гаметогенеза. –

Очень большая продолжи-
тельность мейоза
а) Мейоз чрезвычайно растянут во времени:

начинается ещё в эмбриогенезе,

а заканчивается после овуляции соответствующего фолликула, в маточной трубе.

б) А. Т.е. клетка в состоянии мейоза может находиться несколько десятилетий.

Б. Причём, большую часть этого времени процесс как бы законсервирован.

Неравноцен-
ность продуктов мейоза
а) В результате мейоза из одного ооцита образуется

не 4 полноценные клетки (как в сперматогенезе),
а только одна (яйцеклетка):

ей достаётся практически вся цитоплазма с запасами питательных веществ.

б) Остальные же три клетки (редукционные тельца) в оплодотворении не участвуют.

Отсутствие постмейоти-
ческого периода созревания
а) В сперматогенезе после мейоза происходят ещё два достаточно длительных этапа - созревание сперматид и созревание сперматозоидов.

б) В случае же оогенеза мейозом процесс заканчивается.

Низкая продуктивность оогенеза Принципиально различается продуктивность мужского и женского гаметогенеза:

у женщин за месяц созревает (до конца) лишь одна половая клетка;

у мужчин за то же время созревает огромное количество сперматозоидов.

Продолжение темы