Список препаратов по теме

BOOK

Содержание темы

18.1. Общие сведения о сердечно-сосудистой системе

18.1.1. Компоненты системы кровообращения

18.1.1.1. Виды кровеносных сосудов
18.1.1.2. Последовательность тока крови
18.1.1.3. Чудесные сети

18.1.2. Количественные характеристики кровеносной системы

18.1.2.1. Значения параметров
18.1.2.2. Обсуждение

18.1.3. Компоненты лимфатической системы
18.1.4. Развитие сердечно-сосудистой системы

18.1.4.1. Схема
18.1.4.2. Препарат

18.1.5. Принцип строения сосудов

18.1.5.1. Некапиллярные сосуды
18.1.5.2. Капилляры

18.2. Артерии

18.2.1. Классификация
18.2.2. Артерии эластического типа

18.2.2.1. Препарат, окрашенный гематоксилин-эозином
18.2.2.2. Специальные окраски

18.2.3. Артерии мышечно-эластического типа
18.2.4. Артерии мышечного типа

18.2.4.1. Отдельный сосуд
18.2.4.2. Сосудисто-нервный пучок

18.3. Сосуды микроциркуляторного русла

18.3.1. Артериолы, капилляры и венулы

18.3.1.1. Артериолы
18.3.1.2. Кровеносные капилляры: три типа
18.3.1.3. Электронные микрофотографии капилляров
18.3.1.4. Функции эндотелия
18.3.1.5. Функции перицитов
18.3.1.6. Венулы
18.3.1.7. Просмотр препаратов

18.3.2. Артериоло-венулярные анастомозы (АВА)

18.3.2.1. Классификация
18.3.2.2. Характеристика видов АВА

18.3.3. Лимфатические капилляры

18.3.3.1. Отличительные черты
18.3.3.2. Просмотр препаратов

18.1. Общие сведения о сердечно-сосудистой системе

а) Сердечно-сосудистая система включает три компонента -

сердце,
кровеносные сосуды и
лимфатические сосуды.

б) А. При этом нередко сердце и кровеносные сосуды объединяют в систему кровообращения.

Б. Лимфатические же сосуды рассматривают как часть лимфатической системы, включающей ещё и лимфатические узлы.

18.1.1. Компоненты системы кровообращения

18.1.1.1. Виды кровеносных сосудов

1. Кровеносные сосуды и сердце образуют замкнутую циркуляторную систему.

2. По положению в этой системе кровеносные сосуды делятся на следующие виды:


3. В артериях кровь течёт от сердца к органам и тканям,
а в
венах - от тканей к сердцу.

4. а) Капилляры - тончайшие сосуды, через стенки которых происходит обмен веществами между кровью и тканями.

б) А. Артериоло-венулярные анастомозы (АВА), как и капилляры, связывают артериолы и венулы;

но, в отличие от капилляров, в них не совершается обмен веществами между кровью и тканями.

Схема - сердце и кровеносные сосуды.
Б. Т.е. с помощью этих анастомозов часть крови может проходить через органы "транзитом" - не меняя своего состава.

в) Артериолы, капилляры, АВА и венулы объединяются понятием "сосуды микроциркуляторного русла".

5. а) Обычно вены (кроме поверхностных вен) идут рядом с артерией, образуя вместе с ней и соответствующим нервом сосудисто-нервный пучок.

б) При этом

мелкие и средние артерии часто сопровождаются двумя венами,
а крупные артерии - одной.

18.1.1.2. Последовательность тока крови

Как известно, общий путь кровообращения подразделяется на два круга - малый и большой.

1. а) В малом круге кровь идёт по маршруту:

б) Благодаря этому кругу, кровь в лёгких отдаёт
СО
2 и обогащается кислородом.


2. а) Маршрут крови в
большом круге:

Схема - большой и малый круги кровообращения.

б) В капиллярах этого круга кровь

отдаёт тканям О2 и питательные вещества,
а получает от них СО2 и продукты обмена.

18.1.1.3. Чудесные сети

а) Некоторые участки большого круга усложнены:
на своём пути кровь проходит
через капилляры не один раз, а дважды.

б) Это т.н. чудесные сети. –

Система воротной вены Благодаря этой системе, продукты всасывания, прежде чем попасть в общий кровоток, проходят печёночный барьер.
Воротная (порталь-
ная)
система гипофиза
По этой сети регуляторные
факторы гипоталамуса
избирательно попадают в
переднюю долю гипофиза
.
Крово-
обраще-
ние в почках
Наконец, в почках многие
вещества

в капиллярах клубочков
фильтруются из крови в
первичную мочу,

а в капиллярах канальцев
вновь возвращаются
(
реабсорбируются) в
кровеносное русло.

18.1.2. Количественные характеристики кровеносной системы

18.1.2.1. Значения параметров

1. а) За 1 мин каждый из желудочков сердца прокачивает примерно по 5 л крови.

б) Такова же объёмная скорость крови (W = 5 л/мин) на уровне каждого условно выделяемого "сечения" кровеносной системы - на уровне

всех крупных артерий,
всех артериол,
всех капилляров и т.д.

2. Кроме того, известны следующие параметры:

а) vi - линейная скорость тока крови в сосудах определенного типа,

б) di - средний диаметр сосудов,

в) D Pi - перепад давления между началом и концом сосудов.


3. Зная их,
можно рассчитать другие характеристики:

а) So,i - общую эффективную площадь соответствующего сечения,

б) ni - среднее количество ветвей на данном уровне системы, например, общее количество всех функционирующих капилляров,

в) li - среднюю длину сосудов данного уровня,

г) ti - среднее время движения крови по данному участку кровеносной системы,

д) Lo,i - общую протяжённость данного вида сосудов.

4. Значения исходных параметров и рассчитанных по ним величин (последние отмечены звездочками *) приведены в таблице.-

 
vi ,
( м/c )
(*)
So,i
(см2)

d
i
(*)
ni

D
Pi
(мм рт. ст.)
(*)
l
i
(*)
ti
( с )
(*)
L
o,i
1) Аорта 0,45 1,8 15,3 мм 1 98 97 60 см 1,3 60 см
2) Крупные и средние артерии 0,4 2,1 2,5 мм 43 97 72 47 см 1,2 20 м
3) Мелкие артерии 0,2 4,2 0,5 мм 2100 7232 6 см 0,3 126 м
4) Капил-
ляры
0,0001 830 8 мкм 1,7
109
3215 1,2 мм 12 2000 км
5) Мелкие вены 0,05 16,8 0,75 мм 3800 1510 6,6 см 1,3 250 м
6) Средние и крупные вены 0,2 4,2 2,7 мм 73 10-1,3 49 см 2,5 35 м
7) Полые вены 0,36 2,3 12 мм 2 -1,3-2 31,5 см 1,0 63 см

18.1.2.2. Обсуждение

Просматривая значения каждого из 8 параметров, видим следующее. –

Скорость движения крови
(
vi ):
снижается при переходе от аорты к капиллярам (где скорость крайне низка) и

вновь повышается по мере укрупнения вен.

Общая эффективная площадь поперечного сечения (So,i ) а) Этот параметр, напротив, на уровне капиллярного русла является максимальным - в сотни раз выше, чем на уровне аорты или полых вен.

б) А. При этом надо иметь в виду, что многие капилляры находятся в спавшемся состоянии.

Б. Поэтому суммарное поперечное сечение всех капилляров в открытом состоянии было бы в несколько раз больше рассчитанной величины.

Средний диаметр сосудов (di ): у капилляров он примерно соответствует размеру клеток крови.
Среднее количество сосудов определённого типа (ni ) а) А. Как уже отмечалось, одну артерию часто сопровождают 2 вены;
кроме того, имеются поверхностные вены, не сопровождающие артерии.

Б. Этим объясняется то, что, согласно расчёту,
количество вен оказалось примерно вдвое больше, чем артерий аналогичного калибра.

б) Количество функционирующих капилляров - около 2 миллиардов.

Падение давления
(
D Pi)
а) Падение давления происходит на всём протяжении кровеносного русла -

так что в полых венах давление принимает даже небольшое отрицательное значение. -

б) Поэтому в правое предсердие кровь поступает

не за счёт сохраняющейся кинетической энергии,
а за счёт подсасывающего эффекта при расслаблении предсердий.

Средняя длина сосудов (li) а) У артерий и вен одинакового калибра длина, естественно, близка друг к другу.

б) А. Для капилляров же она составляет около 1 мм.

Б. Т.е. участок, на котором кровь может обмениваться с тканью соответствующими веществами, -

очень малая часть пути, проходимого кровью.

Среднее время движения крови на участке (ti ) а) Суммирование всех значений ti даёт:

То » 20 с.

Это среднее время, за которое произвольная частица крови проходит большой круг кровообращения.

б) И, как видно из таблицы, большая часть этого времени (12 с) приходится на самый короткий, но самый важный участок - соответствующий капилляр.

Общая протяжённость сосудов опред. калибра (Lo,i ) а) Для артерий и вен общая протяжённость достигает десятков и сотен метров.

б) А для функционирующих капилляров - 2000 км !!

(С учётом же нефункционирующих капилляров она ещё в несколько раз больше.)

18.1.3. Компоненты лимфатической системы

Кроме кровеносных сосудов, в организме имеются и лимфатические сосуды.

Начальные участки системы 1. а) Лимфатические сосуды начинаются слепыми концами лимфатических капилляров, которые находятся во всех тканях и органах.

б) Здесь путём фильтрации тканевой жидкости через стенки капилляров образуется лимфа.

Схема - лимфатическая система.
в) С ней уносятся

избыток воды,
продукты жизнедеятельности,
инородные частицы.


2. а) Лимфатические капилляры многократно соединяются друг с другом, формируя
сети.

б) В то же время они постепенно переходят в более крупные лимфатические сосуды,
которые, в конце концов, выходят из органа.

Лимфоузлы 1. а) Вне органов сосуды прерываются многочисленными лимфоузлами, содержащими лимфоциты (п. 8.3.3.2).

б) Благодаря этому, происходит задержка и обезвреживание находящихся в лимфе инородных частиц.

2. а) По лимфатическим путям начинают своё распространение от тканей и малигнизированные клетки.

б) Они тоже могут уничтожаться в лимфоузлах.

в) Если же этого не происходит, образуются метастазы (очаги размножения опухолевых клеток) по ходу лимфатических сосудов.

Крупные сосуды 1. а) Самый крупный лимфатический сосуд - грудной проток (ductus thoracicus) (1).

б) Он собирает 75 % всей лимфы и впадает в левый венозный угол (2).

2. Другая часть лимфы течёт в правый лимфатический проток,
впадающий в
правый венозный угол (3).

3. Таким образом, лимфа попадает в русло крупных вен,
сливающихся вскоре в
верхнюю полую вену (4).

Резюме 1. Следовательно, в определённом отношении лимфатические сосуды как бы дополняют венозный отдел сердечно-сосудистой системы.

2. Вместе с тем, в связи с наличием лимфоузлов, функции лимфатической системы гораздо шире.

18.1.4. Развитие сердечно-сосудистой системы

18.1.4.1. Схема

1. Развитие сердечно-сосудистой системы отражается схемой.-

2. а) Дальнейшее развитие отдельных участков сосудистой стенки происходит под влиянием гемодинамических условий -

давления первичной крови,
величины его скачков,
скорости кровотока.

б) В результате, различные виды сосудов (аорта, средние и мелкие артерии, капилляры, вены) приобретают те или иные особенности строения.

18.1.4.2. Препарат

1, а-б. Препарат - зародышевый диск курицы на стадии образования осевых зачатков. Поперечный срез.
Окраска гематоксилином.

а) (Малое увеличение)

Полный размер

б) (Большое увеличение)

Полный размер

1. На этом препарате (с которым мы уже встречались в п. 6.2.2.1) видны первичные сосуды (1).

2. Они располагаются между висцеральным листком спланхнотома (2) и энтодермой (3).

3. В первичных кровеносных сосудах видны эндотелий (4) и клетки крови (5).

18.1.5. Принцип строения сосудов

18.1.5.1. Артерии, вены, лимфососуды

а) Сосуды (артерии, вены, лимфатические сосуды) имеют сходный план строения.
б) За исключением капилляров и некоторых вен, все они содержат 3 оболочки:

внутреннюю (tunica intima, или interna),
среднюю (tunica media) и
наружную (tunica externa, или adventitia).

в) Вот компоненты этих оболочек.

I. Внутренняя
оболочка

(tunica intima)

1.Эндотелий - слой плоских клеток (лежащих на базальной мембране), который обращён в сосудистое русло.

2. Подэндотелиальный слой.
а) Как правило, он состоит из рыхлой соединительной ткани.
б) Но в крупных венах ног и нижней половины туловища здесь могут содержаться и гладкие миоциты.

3. Специальные эластические структуры (волокна или мембраны) - имеются в артериях и в ряде достаточно крупных вен.

4. а) Во многих венах и во всех лимфатических сосудах внутренняя оболочка образует клапаны - складки, препятствующие обратному току крови.
б) В их основании часто лежат гладкие миоциты.

II. Средняя оболочка

(tunica media)

1. Основные компоненты (в том или ином соотношении) -

гладкие миоциты и
межклеточное вещество (протеогликаны, гликопротеины, эластические и коллагеновые волокна).

2. Причём, в средней оболочке пучки миоцитов, как правило, имеют циркулярное (или циркулярно-спиральное) направление.

3. Миоциты выполняют не только сократительную функцию,
но и
синтезируют компоненты межклеточного вещества сосудистой стенки - протеогликаны, гликопротеины, коллаген, эластин (п. 11.4.1.1).

III. Наружная оболочка

(tunica externa, или
adventitia)

1. Основной компонент - рыхлая волокнистая соединительная ткань, где в большей или меньшей степени содержатся эластические и коллагеновые волокна, а также адипоциты.

2. В некоторых сосудах здесь могут находиться также пучки миоцитов.

3. а) Другие компоненты -

сосуды сосудов (vasa vasorum),
лимфатические капилляры и
нервные стволы.

б) В венах vasa vasorum располагаются во всех трёх оболочках.

18.1.5.2. Капилляры

В кровеносных капиллярах вместо трёх оболочек - три слоя,
а в лимфатическом капилляре - вообще только один слой. -

КРОВЕНОСНЫЕ
КАПИЛЛЯРЫ
ЛИМФАТИЧЕСКИЕ
КАПИЛЛЯРЫ
I. Слой эндотелиальных клеток (на базальной мембране).

II. Слой перицитов - соединительнотканных клеток, находящихся в расщеплениях базальной мембраны.

III. Адвентициальный слой:

адвентициальные клетки (малодифференцированные соединительнотканные клетки) и

межклеточное вещество.

а) Стенка образована только эндотелиальными клетками.

б) Они

не имеют выраженной базальной мембраны и

связаны с окружающей соединительной тканью т.н. стропными элементами (которые образованы коллагеном).

Теперь более подробно рассмотрим строение различных сосудов.

18.2. Артерии

18.2.1. Классификация

По строению стенок артерии делятся на 3 типа:

эластического,
мышечно-эластического и
мышечного типа.

Артерии эластичес-
кого типа
1. Это самые крупные артерии - аорта и лёгочный ствол.

2. а) В связи с близостью к сердцу, здесь особенно велики перепады давления.

б) Поэтому требуется высокая эластичность - способность
растягиваться при систоле сердца и
возвращаться в исходное состояние при диастоле.

в) Соответственно, во всех оболочках содержится много эластических элементов.

Артерии мышечно-
эластичес-
кого типа
1. Сюда относятся крупные сосуды, отходящие от аорты:

сонные,
подключичные,
подвздошные артерии.

2. В их средней оболочке содержится примерно поровну эластических и мышечных элементов.

Артерии мышечного типа 2. Это все остальные артерии, т.е. артерии среднего и мелкого калибра.

2. а) В их средней оболочке преобладают гладкие миоциты.

б) Сокращение этих миоцитов "дополняет" сердечную деятельность:

поддерживает давление крови и
сообщает ей дополнительную энергию движения.

18.2.2. Артерии эластического типа

18.2.2.1. Препарат, окрашенный гематоксилин-эозином

Рассмотрим особенности оболочек аорты.

I. Внутренняя оболочка

1. В соответствии с общим правилом (п. 18.1.5.1), эта оболочка содержит 3 слоя:

эндотелий (1),

подэндотелиальный слой (2), образованный рыхлой соединительной тканью;

эластические элементы (на снимке не различимые) - на границе (3) со средней оболочкой.


2.
Особенности состоят в следующем.

2. Препарат - артерия эластического типа. Аорта.
Окраска гематоксилин-эозином.

Полный размер

а) Подэндотелиальный слой (в отличие от многих других артерий) имеет значительную толщину;

именно здесь при атеросклерозе откладывается холестерин.

б) Эластические элементы находятся в виде густого сплетения эластических волокон.

II. Средняя оболочка

1. Здесь располагаются 60-70 эластических окончатых мембран (4), срезы которых на снимке выглядят как светлые полосы. Эти мембраны

лежат концентрически (параллельно поверхности) и

связаны друг с другом отдельными волокнами.

2. а) В меньшей степени представлены гладкие миоциты (5), расположенные между эластическими мембранами.

б) Их пучки имеют циркулярно-спиральное направление.

III. Наружная оболочка

1. Она, как обычно, образована рыхлой соединительной тканью, содержащей

сосуды (vasa vasorum), 
нервы (на снимке не видны),
а также эластические волокна  (помимо коллагеновых).

2. Заметим, что в аорте vasa vasorum находятся не только в наружной, но и в средней оболочке.

18.2.2.2. Специальные окраски

I. Окраска орсеином на эластические компоненты

3,а-б. Препарат - артерия эластического типа. Аорта. Окраска орсеином.

а) (Малое увеличение)

Полный размер

б) (Большое увеличение)

Полный размер

1. Согласно п. 1.1.3.3, при окраске орсеином эластические компоненты окрашиваются в вишнёво-красный или коричневый цвет.

2. а) В данном случае, благодаря этой окраске, в средней оболочке (II) аорты обнаруживаются многочисленные окончатые мембраны (1).

б) На снимках они имеют вид толстых извитых линий, расположенных концентрически.

3. а) Внутренняя оболочка (I) в данном случае очень тонкая.
б) Это особенность аорты кошки, из которой приготовлен препарат.

4. В наружной оболочке (III) эластические элементы представлены тонкими волокнами.


II. Окраска толуидиновым синим на гликозамингликаны

1. а) Аморфное вещество (1), лежащее между эластическими элементами (и другими компонентами) стенки аорты, богато гликозамингликанами.

б) Последние, как отмечалось в п. 1.1.4, выявляются при обработке толуидиновым синим по фиолетово-красной окраске.


2. Напомним (п. 18.1.5), что эти компоненты, равно как и эластические волокна и мембраны,
образуются, видимо, гладкими миоцитами (по крайней мере, в средней оболочке сосуда).

4. Препарат - глюкозамингликаны в стенке аорты. Окраска толуидиновым синим.

Полный размер

18.2.3. Артерии мышечно-эластического типа

Кратко отметим особенности строения стенки этих сосудов.

Внутренняя оболочка Под эндотелием и хорошо выраженным подэндотелиальным слоем находится внутренняя эластическая мембрана
(а не сплетение эластических волокон, как в аорте).
Средняя оболочка Уже отмечалось, что миоциты и эластические элементы (волокна и окончатые мембраны) содержатся в t. media данных сосудов в примерно равном количестве.
Наружная оболочка Пучки миоцитов располагаются также в t. externa

(наряду с обычными компонентами этой оболочки -

рыхлой соединительной тканью,
vasa vasorum и
адипоцитами).

18.2.4. Артерии мышечного типа

18.2.4.1. Отдельный сосуд

I. Внутренняя оболочка

1. а) Её поверхность, выстланная эндотелием (1), обычно имеет на препаратах складчатый вид.

б) Такой складчатости нет в нативном сосуде:

она появляется только при приготовлении препарата и
обусловлена большим содержанием миоцитов в t. media.

в) Дегидратация последней приводит к

сокращению длины средней оболочки (за счёт уменьшения объёма миоцитов)
и образованию складок во внутренней оболочке.


2.
Подэндотелиальный слой (2) очень тонок и различим лишь при большом увеличении.

3. Зато хорошо просматривается находящаяся под ним внутренняя эластическая мембрана (3), имеющая вид блестящей извитой пластинки.

II. Средняя оболочка

1. а) Основная её масса - это циркулярные пучки гладких миоцитов (5).

б) Кроме того, здесь - эластические и коллагеновые волокна.

5,а-б. Препарат - артерия мышечного типа.
Окраска гематоксилин-эозином.

а) (Малое увеличение)

Полный размер


б) (Большое увеличение)

Полный размер

2. На внешней границе оболочки находится наружная эластическая мембрана (4); она
тоньше внутренней и
не всегда хорошо выражена.
III. Наружная оболочка, как обычно, представлена рыхлой волокнистой соединительной тканью с сосудами и нервами.

Миоцитов в ней обычно нет.

18.2.4.2. Сосудисто-нервный пучок

I. Препарат

6,а-б. Препарат - сосудисто-нервный пучок. Окраска гематоксилин-эозином.
1. Как мы говорили (п. 18.1.1.1), артерии обычно идут рядом с венами и нервами,
образуя с ними сосудисто-нервный пучок.

2. На первом снимке мы видим все основные компоненты такого пучка -

артерию (I),
вену (II),
лимфатический сосуд (III),
нерв (IV),

а на втором - лишь вену (II) и артерию (I).

3. Заметим: нерв (IV) образован миелиновыми нервными волокнами, окружённых эпиневрием и мелкими сосудами.

4. Артерия же относится в данном случае к артериям мышечного типа.

В её стенке отметим уже известные нам элементы -

а) компоненты tunica intima:

эндотелий (1.А),
тонкий подэндотелиальный слой (1.Б),
внутреннюю эластическую мембрану (1.В);

а) (Среднее увеличение)

Полный размер


б) (Большое увеличение)

Полный размер

б) мощную (на фоне других оболочек) tunica media (2), где хорошо видны
циркулярные пучки миоцитов (2.А),
эластические волокна (2Б);

в) наружную оболочку (3) с мелкими сосудами и нервами.


II. Отличия между артериями и венами на препарате

а) О строении вен мы будем говорить в следующей теме.

б) Однако отметим некоторые признаки, позволяющие различить на препарате артерию и вену.

  А Р Т Е Р И Я В Е Н А
I. Внутренняя поверхность а) Внутренняя поверхность - обычно складчатая.

б) Около неё в стенке - блестящая извилистая полоска внутренней эластической мембраны.

Гладкая внутренняя поверхность.

II. Мышечные
элементы

Гладкие миоциты о
бразуют мощную среднюю оболочку.

Миоцитов гораздо меньше.

III. Просвет
сосуда

Просвет сосуда в
сегда зияет - из-за наличия эластических элементов.

Вена часто бывает спавшейся.

18.3. Сосуды микроциркуляторного русла

1. Согласно п. 18.1.1.1, сюда относятся сосуды 4-х видов:

артериолы,
капилляры,
венулы,
артериоло-венулярные анастомозы (АВА).

2. В стенке этих сосудов vasa vasorum не имеется.

18.3.1. Артериолы, капилляры и венулы

Диаметр данных сосудов таков:

  АРТЕРИОЛЫ
в т.ч. пре-
капилляры
КАПИЛЛЯРЫ В Е Н У Л Ы
посткапил-
лярные
собира-
тельные
мышеч-
ные
d, мкм
          100 ®    20 
®      5-11    ®
  30 ®     50 ®   100

18.3.1.1. Артериолы

I. Черты строения, общие для всех артерий

1. В артериолах

сохраняются три оболочки,
хотя выражены они очень слабо.

2. В частности,

в t. intima имеются

                         эндотелий и
                         тонкая прерывистая внутренняя эластическая мембрана,

в t. media - 1-2 слоя миоцитов, расположенных циркулярно,

в t. externa - рыхлая волокнистая соединительная ткань.

II. Особенности функции и структуры

Функция 1. Функция мышечных элементов артериолы -
не проталкивание крови (как в артериях),
а

регуляция просвета сосуда - путём сужения или расширения.

2. Данная функция управляется,

во-первых, вегетативной нервной системой (п. 14.1.3.1) -
за счёт
симпатических и парасимпатических нервов, образующих синапсы с миоцитами,

а во-вторых, гормональным способом (адреналином, гистамином и др.) - путём воздействия гормонов на эндотелий.

Структура Для обеспечения гормональной регуляции

клетки эндотелия имеют на апикальной поверхности соответствующие рецепторы;

в базальной мембране эндотелия и во внутренней эластической мембране существуют перфорации,
облегчающие контакты эндотелия с миоцитами
;

в клетках эндотелия, после их раздражения, происходят специфические реакции и вырабатываются медиаторы, действующие на миоциты.

III. Электронная микрофотография

На снимке видны следующие образования:

просвет артериолы (1);
эндотелиальная клетка и в ней -

ядро (2),
цитоплазма (3),
пиноцитозные пузырьки (4) и
митохондрии (5);

базальная мембрана (6) и в ней - перфорация (6.А);
две гладкомышечные клетки (7), в т.ч. ядро (8) одной из них.

Электронная микрофотография - артериола; часть стенки в поперечном разрезе.

Полный размер

18.3.1.2. Кровеносные капилляры: три типа

I. Введение

1. а) Состав стенки гемокапилляра нам уже известен (п. 18.1.5.2):

слой эндотелия (1) на базальной мембране (4),

слой перицитов (2) в расщеплениях базальной мембраны,

адвентициальный слой (5).

б) При этом перициты
не образуют сплошного слоя,
а прилежат к эндотелию лишь с той или иной стороны,
охватывая часть эндотелиальной клетки в виде корзинки.

2. а) Поэтому проницаемость капилляра зависит лишь от строения эндотелия и базальной мембраны.

б) По данному признаку капилляры делят на 3 типа:

Схема - типы капилляров.

капилляры обычного типа (А) - с непрерывным эндотелием и непрерывной базальной мембраной,

капилляры фенестрированного типа (Б) - с фенестрированным эндотелием и непрерывной базальной мембраной,

капилляры перфорированного (а по форме обычно синусоидного) типа (В).

II. Характеристика капилляров разных типов

Капилляры обычного типа 1. Это самый распространённый вид капилляров.

2. а) На схеме данного варианта (А) мы видим, что,
хотя между эндотелиальными клетками (1) и перицитами (2) имеется контакт (3),
базальная мембрана (4) всё же является непрерывной.

б) За ней располагается адвентициальная клетка (5).

3. а) Проницаемость капилляра определяется состоянием базальной мембраны и основного вещества вокруг адвентициальных клеток.

б) Под влиянием гиалуронидазы и других факторов степень полимерности соответствующих макромолекул понижается, отчего проницаемость возрастает.

Капилляры фенестриро-
ванного типа
1. а) Здесь эндотелиальные клетки (1) имеют локальные истончения - фенестры (6).
б) Это облегчает проникновение веществ через стенку сосуда.

2. Поэтому подобные капилляры находятся там, где процессы транспорта должны происходить особенно интенсивно:

в клубочках почек (для фильтрации крови и образования первичной мочи),
в ворсинках кишечника (для всасывания продуктов переваривания),
в железах внутренней секреции (для перехода гормонов в кровь) и т.д.

Капилляры перфориро-
ванного типа
1. а) В этом случае имеются щелевидные поры (7) в эндотелии и в базальной мембране.

б) Кроме того, сами капилляры, как правило, необычно широки - до 20-30 нм в диаметре (почему их называют синусоидными).

2. а) Такие капилляры - в органах кроветворения (красном костном мозгу, селезёнке), в печени и опять-таки в клубочках почек.

б) Сквозь щели клетки крови

проникают в кровеносное русло
или, напротив, выходят из него.

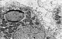
18.3.1.3. Электронные микрофотографии капилляров

I. Капилляр фенестрированного типа

Электронная микрофотография - фенестры в эндотелиальных клетках капилляра.
1. На снимке мы видим:

просвет капилляра (1),

эндотелиальную клетку (2) и фенестры (3) в ней,

непрерывную базальную мембрану (4),

прилегающую клетку бурой жировой ткани и в ней - ядро (5) и липидную каплю (6).

2. Перицит в поле зрения не попал.

Полный размер

II. Капилляр перфорированного типа

Электронная микрофотография - поры в кровеносном капилляре.
1. а) А здесь представлен капилляр перфорированного типа.

б) В его просвете - эритроцит (1) и тромбоцит (2).

2. а) Ядросодержащая часть (3) эндотелиальной клетки выбухает в просвет капилляра.

б) И имеются

поры (4) в уплощённой части этой клетки,
а также поры (5) в базальной мембране (6).

3. Помимо этого, в цитоплазме эндотелиоцита видны пиноцитозные пузырьки (7).

Полный размер

18.3.1.4. Функции эндотелия

Остановимся подробнее на некоторых функциях эндотелия. Они довольно разнообразны.

Некоторые из них присущи эндотелию всех сосудов,

другие - эндотелию лишь определённых сосудов, например, только капилляров тех или иных органов.

I. Барьерная и обменная функции 1. а) С одной стороны, эндотелий и его базальная мембрана отделяют кровь от межклеточной среды окружающих тканей.

б) В связи с этим, эндотелиальные клетки связаны друг с другом контактами - интердигитациями, плотными соединениями, десмосомами (п. 2.2.3.1).

2. С другой стороны, через эндотелий происходит обмен между кровью и окружающими тканями различными компонентами -

с помощью пиноцитозных пузырьков,
а также через фенестры или поры.

II. Участие в регуляции свёртывания крови Также противоположна роль эндотелия в свёртывании крови. –

1. При повреждении эндотелиоцитов из них выделяется фактор (тромбопластин), запускающий реакцию свёртывания.


2. а) Но на поверхности
интактного эндотелия находятся вещества (напр., гепарин), препятствующие свёртыванию.

б) Кроме того, сам эндотелий секретирует атромбогенные вещества (простациклин).

в) А. Наконец, благодаря гликокаликсу, эндотелиальные клетки имеют отрицательный заряд,
препятствующий слипанию с ними тромбоцитов
.

Б. Заметим, что поверхность последних тоже заряжена отрицательно - за счёт фосфатных групп фосфопротеинов.

III. Участие в регуляции сосудистого тонуса а) Как мы уже знаем, эндотелий сосудов имеет на поверхности рецепторы к гормонам (адреналину и т.д.) и другим биологически активным веществам.

б) При соединении этих веществ с рецепторами эндотелий синтезирует специфические факторы (сокращения или расслабления гладких миоцитов).

IV. Сосудо-
образующая функция
Образование новых сосудов тоже происходит при участии эндотелия: его клетки

пролиферируют (делятся)
мигрируют и
стимулируют аналогичные процессы в миоцитах.

18.3.1.5. Функции перицитов

Многообразны также функции перицитов в капиллярах.

I. Опорная функция Перициты,
во-первых, образуют базальную мембрану,
а во-вторых, сами по себе играют роль опорных структур.
II. Сократи-
тельная функция
Перициты содержат сократительные элементы,
т.е. способствуют закрытию просвета капилляра.
III. Участие в образовании сосудов 1. а) Как отмечалось (п. 18.3.1.2), между перицитами и эндотелием имеются контакты (в местах истончения базальной мембраны) -
плотные и щелевидные (нексусы).

б) Установление последних при регенерации сосудов приводит к прекращению деления эндотелиоцитов (за счёт тормозящих воздействий перицитов).

2. С другой стороны, сами перициты способны превращаться в гладкие миоциты и фибробласты, что происходит при регенерации сосудов.

IV. Участие в воспалитель-
ной реакции
При воспалительной реакции через те же контакты от перицитов к эндотелию передаются факторы, стимулирующие выход из кровеносного русла лейкоцитов.

Таким образом, функции перицитов самым тесным образом связаны с функциями эндотелия.

18.3.1.6. Венулы

1. Мы уже знаем, что венулы делятся на 3 типа сосудов, последовательно переходящих одни в другие,-
посткапиллярные, собирательные и мышечные венулы.

2. Помимо эндотелия, эти сосуды включают следующие элементы.

1. ПОСТКАПИЛЛЯРНЫЕ
венулы
(до 30 мкм)

Как и капилляры, содержат перициты, но в большом количестве.
2. СОБИРАТЕЛЬНЫЕ
венулы
(до 50 мкм)
В стенке появляются отдельные миоциты.
3. МЫШЕЧНЫЕ
венулы
(до 100 мкм)
Можно выделить
среднюю оболочку - 1-2 слоя миоцитов
и наружную оболочку - соединительнотканную.

18.3.1.7. Просмотр препарата

7,а-д. Препарат - капилляры, артериолы, венулы. Сосуды мягкой мозговой оболочки (тотальный препарат).
Окраска гематоксилин-эозином.
Общий вид

1. Термин "тотальный препарат" означает, что
мягкая мозговая оболочка растянута на стекле и
мы наблюдаем её сверху.

2. В поле зрения на снимке -

сосуды микроциркуляторного русла (2), частично заполненные эритроцитами, а также

рыхлая соединительная ткань (1) мягкой мозговой оболочки.

а) (Малое увеличение)

Полный размер

Артериола

1. Здесь при большом увеличении в поле зрения - артериола (I).

2. Её отличает

наличие циркулярно расположенных миоцитов в средней оболочке,

создающих как бы "исчерченность" сосуда.

б) (Большое увеличение)

Полный размер

Венулы

1. Теперь в поле зрения - две венулы (II).

2. а) Они (как и более крупные вены мягкой мозговой оболочки) лишены гладких миоцитов.

б) В стенке венул содержатся

эндотелиоциты (1) и

рыхлая соединительная ткань наружной оболочки (2).

в) (Большое увеличение)

Полный размер

Переход капилляра в венулу

1. На этом снимке - переход капилляра (II) в венулу (I).

2. а) В капилляре эритроциты идут как бы "гуськом" - друг за другом;

б) в венуле же они образуют вначале два, а затем всё большее число рядов.

3. Клетки эндотелия имеют ядра (1) вытянутой формы.

г) (Большое увеличение)

Полный размер

Артериола и венула

1. Наконец, здесь одновременно видны артериола (1) и венула (2).

2. Они вполне соответствуют вышеприведённым описаниям:

а) артериола отличается "поперечной исчерченностью", обусловленной миоцитами;

б) венула лишена миоцитов, отчего в её просвете хорошо видны эритроциты,
расположенные
в несколько рядов.

д) (Большое увеличение)

Полный размер

18.3.2. Артериоло-венулярные анастомозы (АВА)

18.3.2.1. Классификация

Известна следующая классификация данных анастомозов.

Итого - 5 видов анастомозов.

18.3.2.2. Характеристика разных типов АВА

1. Простые АВА а) В стенке анастомоза строение артериолы непосредственно сменяется строением венулы.

б) Кровоток в таких АВА регулируется гладкими миоцитами артериолы.

2. АВА типа замыкающих артериол а) В подэндотелиальном слое - валики, образованные продольно расположенными миоцитами.

б) При сокращении последних анастомоз закрывается.

3. АВА эпителиоидного типа (простые) В средней оболочке анастомоза - овальные светлые клетки, похожие на эпителиальные.
4. АВА эпителиоидного типа (сложные) Артериола и венула связаны сразу несколькими анастомозами эпителиоидного типа,
которые заключены
в единую соединительнотканную капсулу.
5. Атипичные АВА (полушунты) Между артериолой и венулой - короткий сосуд капиллярного типа. Поэтому в венулы попадает уже смешанная кровь.

18.3.3. Лимфатические капилляры

18.3.3.1. Отличительные черты

Некоторые из особенностей лимфатических капилляров нам уже известны.
Перечислим их ещё раз - вместе с другими особенностями.

1.Слепое начало Лимфатические капилляры с одного конца - слепые (замкнутые) (п. 18.1.3).
2. Состав стенки а) В отличие от гемокапилляров, лимфокапилляры не имеют перицитов и базальной мембраны (п. 18.1.5.2).

б) Т.е. стенка образована только эндотелиоцитами (1).

3. Диаметр По диаметру лимфатические капилляры в несколько раз шире кровеносных.
4. Стропные филамен-
ты
а) Вместо базальной мембраны опорную функцию выполняют стропные (якорные, фиксирующие) филаменты (2).

б) Они

прикрепляются к эндотелиальной клетке (как правило в области контакта эндотелиоцита) и

вплетаются в коллагеновые волокна, расположенные параллельно капилляру.

в) Эти элементы способствуют также дренажу капилляра.

Электр. микроф-я - лимфокапилляр.

Полный размер

18.3.3.2. Просмотр препаратов

8. Препараты - лимфатические капилляры. Тотальные препараты. а) Наливка сосудов. б) Импрегнация осмием.

а) Полный размер

б) Полный размер

1. Лимфатические капилляры выявлены с помощью краски, введённой в лимфатическую систему.

2. Видно, что капилляры слепо начинаются в тканях в виде мешочков (1).

1. При этом методе окраски выявляется строение лимфокапилляров (1). -

2. Их тонкая стенка образована одним рядом эндотелиальных клеток.