Список препаратов по теме

BOOK

Содержание темы

15.1. Общие сведения о головном мозге

15.1.1. Развитие
15.1.2. Cоставные части головного мозга
15.1.3. Рефлекторные дуги, образованные с участием головного мозга

15.1.3.1. Введение
15.1.3.2. Сознаваемая проприоцептивная (мышечно-суставная) и кожная чувствительность: рефлекторный ответ
15.1.3.3. Бессознательная проприоцептивная чувствительность и координация движений
15.1.3.4. Рефлекторный ответ на слуховые и зрительные раздражения

15.2. Задний мозг

15.2.1. Продолговатый мозг

15.2.1.1. Компоненты рефлекторной дуги, связанной с сознаваемой кожной и мышечно-суставной чувствительностью
15.2.1.2. Компоненты рефлекторной дуги, связанной с координацией движения
15.2.1.3. Другие образования продолговатого мозга

15.2.2. Мозжечок

15.2.2.1. Общий вид
15.2.2.2. Кора мозжечка. Клеточный состав
15.2.2.3. Основные рефлекторные дуги в коре мозжечка
15.2.2.4. Корректировка сигнала в коре мозжечка
15.2.2.5. Ещё одна схема

15.3. Передний мозг

15.3.1. Гипоталамус

15.3.1.1. Строение
15.3.1.2. Просмотр препарата

15.3.2. Кора больших полушарий

15.3.2.1. Общие представления
15.3.2.2. Подразделение коры на слои
15.3.2.3. Просмотр препарата
15.3.2.4. Нейроглия в сером веществе головного мозга
15.3.2.5. Нервные связи в коре больших полушарий

15.1. Общие сведения о головном мозге

15.1.1. Развитие

Полный размер

Схема - головной мозг эмбриона:

I - стадия трёх мозговых пузырей;

II -стадия образования пяти отделов мозга (II).


Развитие головного мозга происходит следующим образом.-

15.1.2. Cоставные части головного мозга

а) Согласно предыдущей схеме, в головном мозгу различают 5 следующих друг за другом отделов.
б) Перечислим их ещё раз, рассмотрев эти отделы (и составляющие их образования)
в окончательно сформированном мозгу.

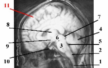
1. Продолговатый мозг (2) - это непосредственное продолжение спинного мозга (1) в ствол головного мозга.


2. а)
Собственно задний мозг включает две части:

варолиев мост (3) (расположенный вентрально, у основания мозга) и

мозжечок (4) (расположенный дорсально).

Магнитная резонансная томография (МРТ) головы.

б) Остатком полости заднего мозгового пузыря является IV желудочек (5) мозга, находящийся на уровне продолговатого мозга и мозжечка.

3. а) Средний мозг тоже имеет две части; его составляют

ножки мозга (6) - проводящие пути к переднему мозгу и

лежащая над ними пластинка четверохолмия (7).

б) Остаток полости среднего мозгового пузыря - узкий канал, т.н. сильвиев водопровод.

Схема - сагиттальный срез головного мозга человека.

Полный размер

4. В промежуточном мозгу – опять-таки две части.

Зрительные бугры (8) (в единственном числе - thalamus) - большие парные скопления серого вещества, между которыми находится полость III желудочка - остаток полости  переднего мозгового пузыря.

Гипоталамическая область (на уровне нижних отделов III желудочка и под ним) включает высшие центры регуляции эндокринной системы -

собственно гипоталамус (9) и
гипофиз (10).

5. а) Конечный мозг содержит

большие полушария (11) и
подкорковые ядра.

б) В полушариях находятся боковые желудочки, которые, как и III желудочек, происходят из полости переднего мозгового пузыря.

15.1.3. Рефлекторные дуги,
образованные с участием головного мозга

15.1.3.1. Введение

1. В головном мозгу, как и в спинном, различают

серое вещество - скопления нервных клеток и

белое вещество - проводящие пути, образованные миелиновыми (как правило) нервными волокнами.

2. а) Но, в отличие от спинного мозга, серое вещество образует

не только ядра,

но и кору мозжечка и больших полушарий, которая покрывает данные структуры (мозжечок и полушария), как плащом.

б) Поэтому кору больших полушарий называют также плащом или мантией.

в) Причём, большая часть нервных клеток сосредоточена именно в коре.

3. а) Для уяснения связей между отдельными частями головного и спинного мозга, рассмотрим три типа рефлекторных дуг, образованных с участием головного мозга.

б) Надо отметить, что нижеследующее,

во-первых, чрезвычайно упрощено,
а во-вторых, касается только малой доли из имеющихся проводящих путей.

15.1.3.2. Сознаваемая мышечно-суставная (проприоцептивная) и кожная
чувствительность: рефлекторный ответ

Схема - некоторые проводящие пути головного и спинного мозга. Синие линии - восходящие пути, красные - нисходящие.

Полный размер

Вычленим из приведённой схемы рефлекторные дуги, связанные с сознаваемой кожной (тактильной и т.п.), а также проприоцептивной чувствительностью:

1. Итак, восходящая часть дуги

начинается от рецепторов в коже, мышцах и суставах (не показаны на схеме) отростками нейронов спинномозговых узлов (1),

проходит в задних канатиках (2) спинного мозга,

содержит переключения в продолговатом мозгу (3) и в зрительных буграх (5)

и заканчивается в определённых центрах коры больших полушарий (6).

2.а) Нисходящая же часть (т.н. пирамидный тракт (7)) идёт

от коры (6)

в боковых (8.А) и передних (8.Б) канатиках спинного мозга

до его передних рогов (9), где находятся мотонейроны и совершается единственное переключение импульсов.

б) Если в реакцию вовлечены мышцы головы, то эффекторные нейроны располагаются

в двигательных ядрах соответствующих черепномозговых нервов (в варолиевом мосту или продолговатом мозге).

15.1.3.3. Бессознательная проприоцептивная
чувствительность и координация движений

Итак, сознаваемые проприоцептивные импульсы достигают коры больших полушарий.  В  отличие   от  этого,

в случае бессознательной проприоцептивной и вестибулярной чувствительности главным анализатором является мозжечок:

он отвечает за автоматическую координацию движений и поддержание равновесия.

Полный размер

Слева - та же, что и прежде, схема, но теперь из неё вычленим следующие рефлекторные дуги. -

1. Восходящие импульсы.

а) Одни импульсы к мозжечку (12-13) поступают от соответствующих рецепторов мышц и суставов -

через спинномозговые узлы (1) -

с переключением в задних (10) или боковых рогах спинного мозга,

затем в боковых канатиках спинного мозга и далее - через

продолговатый мозг (с переключением части путей в парном
ядре оливы (11)) и

нижние ножки мозжечка.

б) Другие импульсы идут

от вестибулярной части восьмых черепномозговых нервов (16),

с переключением в ядрах этих нервов (17) , находящихся в варолиевом мосту.


2
. "Горизонтальные" связи.

Осуществив анализ поступающих сигналов, кора мозжечка (12) передаёт импульсы

в ядра мозжечка (13) (главное среди них - зубчатое ядро) и затем -
в красное ядро (14) среднего мозга.

3. Нисходящие импульсы.

а) От указанных структур идут нисходящие пути

к мотонейронам передних рогов (9) спинного мозга (и к двигательным ядрам черепномозговых нервов).

б) Однако существует и более короткий путь - непосредственно

от вестибулярных ядер n. VIII (17) к мотонейронам спинного мозга (9).

15.1.3.4. Рефлекторный ответ на слуховые и зрительные раздражения

Полный размер

Наконец, вычленим из рассматриваемой схемы рефлекторные дуги, включающиеся при слуховом или зрительном сигнале.-

1. Бессознательная реакция.

а) Слуховое или зрительное возбуждение передаётся

от нейронов слухового (спирального) узла (19) или сетчатки глаза (24),

с переключением слуховых импульсов в варолиевом мосту (20),

в соответствующие ядра среднего мозга (23).

б) От среднего мозга (пластинки четверохолмия) идёт прямой путь к мотонейронам (9) спинного мозга (и двигательным ядрам черепномозговых нервов).

2. Сознательная реакция.

а) Помимо такой бессознательной реакции, возможен и сознательный ответ на слуховые и зрительные воздействия -

за счёт связи среднего мозга (23) с корой больших полушарий.

б) Кроме того, нейроны сетчатки идут

в зрительный бугор (26), который связан (27)
с корой и подкорковыми ядрами.

а) Подробней строение и проводящие пути головного мозга изучаются в курсе нормальной анатомии.

б) Мы же теперь остановимся на гистологической структуре некоторых частей заднего и переднего мозга.

15.2. Задний мозг

15.2.1. Продолговатый мозг

а) На поперечном срезе продолговатого мозга выявляется серое и белое вещество, т.е.

нервные ядра и
проводящие пути.

б) Многие из них уже упоминались нами при описании проводящих путей.

15.2.1.1. Компоненты рефлекторной дуги, связанной
с сознаваемой кожной и мышечно-суставной чувствительностью (п. 15.1.3.2)

Рисунок - продолговатый мозг:
I - вид сзади;
II - поперечный срез на уровне нижней оливы, вид спереди.

I. Компоненты восходящих путей

К компонентам восходящих путей, отвечающих за осознаваемую кожную и мышечно-суставную чувствительность, в продолговатом мозгу относятся

ядра - нежное (или тонкое) и клиновидное,

волокна - образующие медиальную петлю (3).

Нежное и клиновид-
ное ядра
а) На срезе указанные ядра - относительно небольшие, округлой формы.

б) На задней поверхности продолговатого мозга им соответствуют одноимённые бугорки (1-2).

б) Здесь заканчиваются аксоны чувствительных нейронов, идущие из спинномозговых узлов в задних канатиках спинного мозга.

Медиаль-
ная
петля
а) От нейронов ядер идут волокна к зрительному бугру.

б) Эти волокна и образуют медиальную петлю (3), которая

совершает перекрёст (переход на противоположную сторону) и

поэтому находится в средней части продолговатого мозга.

II. Компоненты нисходящих путей

Пирамид-
ный
тракт
1. Нисходящие пути, обеспечивающие сознательные движения, представлены пирамидным трактом (4).

2. Последний

располагается перед медиальной петлёй и

включает волокна, идущие от коры больших полушарий в передние канатики спинного мозга - к мотонейронам передних рогов.

3. На вентральной поверхности продолговатого мозга этим путям соответствуют два продолговатых тяжа - пирамиды (5), переходящие далее в передние канатики спинного мозга.

4. Часть волокон пирамидного тракта совершает перекрёст (6) на уровне продолговатого мозга.

Таким образом, в продолговатом мозгу имеются перекрёсты двух длинных проводящих путей - чувствительных и двигательных.

15.2.1.2. Компоненты рефлекторной дуги, связанной
с координацией движения (п. 15.1.3.3)

Проводя-
щие пути
от спинного мозга
и к нему
1.а) Восходящий путь (7) от спинного мозга к мозжечку

располагается у дорсолатеральной (заднебоковой) поверхности продолговатого мозга и
образует здесь т.н. верёвчатые тела.

б) Напомним: этот путь

начинается в ядрах (собственном и грудном) задних рогов спинного мозга и

идёт в боковых канатиках спинного мозга.

2. Рядом с верёвчатыми телами - нисходящий путь (8) от красного ядра среднего мозга к спинному мозгу.

Ядро оливы

1. Между
указанными путями и пирамидами находится ядро оливы (9) -

крупное образование в виде извилистой подковы,

образующее на вентролатеральной (переднебоковой) поверхности продолговатого мозга овальное возвышение - оливу (10) и

являющееся промежуточным ядром, участвующим в координации движений и поддержании равновесия.

2. Ядро оливы связано проводящими путями (11) с похожим по форме парным зубчатым ядром мозжечка.

15.2.1.3. Другие образования продолговатого мозга

Ретику-
лярная формация
1. Возле медиальной петли (3) находится ретикулярная формация (12).

2. Она тянется
от верхней части спинного мозга
через продолговатый мозг, мост, средний мозг -
до зрительного бугра и гипоталамуса.

3. В ретикулярной формации содержатся

небольшие группы различных по размеру нейронов,
от которых идёт множество волокон в различных направлениях, так что в совокупности образуется сеть.

4. От неё идут

нисходящий путь к мотонейронам спинного мозга и
восходящие пути ко многим отделам головного мозга.

5. Видимо, ретикулярная формация отвечает

за базовый уровень активности разных отделов ЦНС - повышая его (во время бодрствования) или понижая (во время сна).

Ядра нервов XII-IX 1. Наконец, в продолговатом мозгу располагаются

ядра четырёх пар нижних черепномозговых нервов (XII-IX).

2. а) В их числе - ядра парасимпатической нервной системы,

относящиеся, главным образом, к блуждающему нерву (n. X)

и отвечающие за тонус сосудов, бронхов, работу сердца и другие вегетативные функции.

б) А. С этими ядрами связаны центры дыхания и кровообращения, задающие ритм дыхания и сердцебиения.

Б. Поэтому повреждения продолговатого мозга крайне опасны для жизни.

15.2.2. Мозжечок

15.2.2.1. Общий вид

I. Составные части

1. В мозжечке различают

полушария (1) и
находящийся между ними червь (2).

2. а) Поверхность мозжечка образует узкие извилины,
отделённые друг от друга
бороздками.

б) Это значительно увеличивает её площадь.

Рисунок - мозжечок:
I - вид сверху и сзади, II - вид сбоку.

3. Проводящие пути к мозжечку и от него идут по ножкам мозжечка:

нижним - от спинного и продолговатого мозга,
средним - к мосту,
верхним - от спинного мозга и к среднему мозгу.


II. Вид на разрезе

1. На разрезе мозжечка по-прежнему видны многочисленные борозды (1) и узкие извилины (2).

2. При этом в извилинах обнаруживаются:

кора (3) - поверхностный слой серого вещества, и

в центре - узкие прослойки белого вещества (4), связанные с белым веществом в срединной части мозжечка.

3. Эти структуры придают мозжечку характерный вид, обозначаемый как "древо жизни".

(На самом деле, повреждение мозжечка не создаёт прямой опасности для жизни).


4. Помимо коры
, серое вещество находится в составе нескольких

подкорковых ядер мозжечка -
зубчатого и других (на препарате не видны).

1,а. Препарат - мозжечок собаки. Импрегнация азотнокислым серебром.

Полный размер

15.2.2.2. Кора мозжечка. Клеточный состав

I. Три слоя коры

1. а) Здесь в поле зрения - борозда (светлая неокрашенная полоса) между двумя извилинами мозжечка.

б) Следовательно, кору можно видеть как справа, так и слева от борозды.

2. В коре выделяют 3 слоя (перечисляем, начиная с поверхностного):

молекулярный (1),
ганглионарный (2) и
зернистый (3).

3. Под корой - белое вещество (4), образованное миелиновыми нервными волокнами:

1,б. Препарат - мозжечок собаки. Импрегнация азотнокислым серебром.

Полный размер

одни волокна (афферентные) идут к коре мозжечка от спинного и продолговатого мозга;

другие (эфферентные) - от коры к подкорковым ядрам мозжечка.

II. Характеристика слоёв коры

Молеку-
лярный
слой
а) Молекулярный слой

по ширине самый большой,
а по концентрации нейронов - самый бедный.

б) Содержит клетки двух видов.

1. Звёздчатые клетки - в поверхностной части слоя; небольшие, имеют много отростков.

2. Корзинчатые клетки - в нижней трети слоя, более крупные;

аксоны идут параллельно поверхности коры;

от аксонов отходят коллатерали, оплетающие тела клеток следующего слоя коры (грушевидных клеток).

Ганглио-
нарный
слой
а) В ганглионарном слое - всего один ряд однотипных клеток. Это
грушевидные нейроны, или клетки Пуркинье (2А).

б) Последние -

крупные и легко различимые,

имеют многочисленные дендриты (2Б), отходящие в молекулярный слой коры, где контактируют с

аксонами клеток-зёрен и
афферентными волокнами лазящего типа (см. ниже);

тела густо оплетены, как уже сказано, коллатералями аксонов корзинчатых клеток, образующих своего рода "корзинки",

аксоны же идут в подкорковые ядра мозжечка.

Зернис-
тый слой
а) Зернистый вид внутреннего слоя коры обусловлен содержанием большого числа мелких (в своей массе) нейронов.

б) Среди них - клетки трёх видов.

1. Клетки-зёрна - наиболее многочисленные и мелкие; их аксоны

поднимаются в молекулярный слой коры,
здесь Т-образно ветвятся,
затем идут параллельно поверхности коры и
контактируют с дендритами всех прочих клеток коры.

2. Большие звёздчатые нейроны (клетки Гольджи).
3. Веретеновидные горизонтальные клетки.


III. Грушевидные нейроны

1,в. Препарат - мозжечок собаки. Импрегнация азотнокислым серебром.

1. Здесь в центре поля зрения - грушевидные нейроциты (2.А), или клетки Пуркинье.

2. Видны

отходящие от их тел дендриты (2.Б) и
"корзинки" (1.А), образованные аксонами корзинчатых клеток (1.Б).

3. В зернистом слое различимы клетки-зерна (1.В).

Полный размер

15.2.2.3. Основные рефлекторные дуги в коре мозжечка

1. Между клетками коры мозжечка имеются строго определённые связи, и сами клетки выполняют определённые функции.

2. При этом можно выделить

два основных способа прохождения сигнала через кору и
три способа корректировки сигнала.

3. Рассмотрим вначале первые из них, т.е. основные способы прохождения сигнала.

I. Кратчайшая рефлекторная дуга

Данная дуга имеет следующий вид:

1. а) При этом лазящие волокна (1) - один из двух типов афферентных волокон, подходящих к коре мозжечка.

б) Они

идут от спинного мозга и вестибулярных ядер n. VIII (п. 15.1.3.3) и

в молекулярном слое коры контактируют непосредственно с дендритами грушевидных клеток (2), возбуждая их.

2. а) Аксоны грушевидных клеток (3)
направляются к ядрам мозжечка и
оказывают на них тормозное действие.

б) Тем самым ограничивается активность ядер мозжечка (посылающих сигналы через средний мозг к мотонейронам спинного мозга).

Схема - межнейронные связи в коре мозжечка.

Полный размер


II. Более длинная дуга

Вторая из основных рефлекторных дуг такова:

1. а) Здесь в качестве афферентных выступают т.н. моховидные волокна (4).

б) Они

идут от ядер олив и некоторых ядер моста и

образуют синапсы с дендритами клеток-зёрен (в зернистом слое); эти контакты имеют вид клубочков (5).


2. а) Как уже отмечалось, а
ксоны клеток-зёрен в молекулярном слое коры

Т-образно ветвятся и
контактируют с дендритами всех прочих клеток коры.

б) В том числе они возбуждают грушевидные клетки.

3. Дальнейшее - как в предыдущей дуге:

грушевидные клетки тормозят подкорковые ядра мозжечка.

15.2.2.4. Корректировка сигнала в коре мозжечка

Теперь остановимся на дополнительных рефлекторных дугах и их функциональной роли.

I. Корректировка (ограничение) входного сигнала

Специальная рефлекторная дуга с помощью отрицательной обратной связи корректирует сигналы, идущие по предыдущей дуге
(от моховидных волокон через клетки-зёрна к грушевидным клеткам):

Данная связь образуется благодаря двум дополнительным контактам. -

1. Так, клетки-зёрна контактируют своими аксонами (в молекулярном слое) не только с грушевидными клетками, но и

с дендритами клеток Гольджи (6), возбуждая эти клетки.

( Тела последних, как и тела клеток-зёрен, находятся в зернистом слое;
дендриты же поднимаются в молекулярный слой (на схеме не показано)).

2. а) Аксоны клеток Гольджи

идут к клубочкам зернистого слоя (вновь не показано) и
тормозят здесь передачу возбуждения с моховидных волокон на клетки-зёрна.

б) В результате, ограничивается величина входного сигнала, поступающего с моховидных волокон к коре мозжечка.


II. Корректировка (ограничение) ответа

Наконец, ещё две дуги корректируют (вновь с помощью отрицательной обратной связи) ответ коры мозжечка, осуществляемый грушевидными клетками:

1. Механизм основан на том, что клетки-зёрна возбуждают (кроме грушевидных и клеток Гольджи) также нейроны молекулярного слоя -

корзинчатые (7) и звёздчатые (8) клетки (образуя синапсы с их дендритами).

2. Те и другие своими аксонами

контактируют с грушевидными клетками, вызывая их торможение.

3. Торможение торможения, реализуемое в дуге, приводит

к повышению тонуса ядер мозжечка.

ЗАМЕЧАНИЕ. Приведённое описание рефлекторных дуг показывает:

из пяти типов клеток коры мозжечка (фигурирующих в этих дугах)

клетки лишь одного типа (клетки-зёрна) являются возбуждающими,

а клетки остальных четырёх типов (грушевидные, звёздчатые и корзинчатые нейроны, а также клетки Гольджи) - тормозными.

15.2.2.5. Ещё одна схема

а) Приведём ещё одну схему, иллюстрирующую вышесказанное.

б) Вновь с её помощью "пройдёмся" по рефлекторным дугам, замыкающихся в коре мозжечка.

1. Кратчайшая рефлекторная дуга:

приходящие в кору лазящие волокна (не показаны) -

  дендриты (2), тела (1) и выходящие из коры аксоны (3) грушевидных нейронов.

2. а) Более длинная рефлекторная дуга:

приходящие в кору моховидные волокна (14) -

контакт в виде клубочка с дендритами (13) клеток-зёрен,

тела (11) и ветвящиеся Т-образно аксоны (12) этих клеток -

Схема - кора мозжечка.
А. Взаимоотношения нейронов.

n18-1.jpg (25298 bytes)


далее - вновь дендриты (2), тела (1) и выходящие из коры аксоны (3) грушевидных нейронов.
3. а)  Корректировка (ограничение) входного сигнала:

  ... (аксоны клеток-зёрен) -

дендриты (9), тела (8) и аксоны (10) больших звёздчатых нейронов (клеток Гольджи) -

торможение синаптической передачи в клубочках.

n18-1.jpg (25298 bytes)
б) Здесь более крупно показано строение клубочка.

В нём происходит

передача возбуждения с моховидных волокон (14) на дендриты (13) клеток-зёрен

и торможение этой передачи аксонами (10) клеток Гольджи.

Схема - кора мозжечка. Б. Клубочек зернистого слоя.
n18-2.jpg (11410 bytes)
4. Корректировка (ограничение) выходящего из коры ответного сигнала:

... (аксоны клеток-зёрен) -

дендриты (5), тела (4) и аксоны (6) корзинчатых нейронов
(а также звёздчатых клеток (7)) -

n18-1.jpg (25298 bytes)
контакт с грушевидными клетками (1) - и торможение генерируемого ими ответа.

15.3. Передний мозг

15.3.1. Гипоталамус

15.3.1.1. Строение

I. Общие сведения

1. Как мы знаем (пп. 15.1.2 – 15.1.3), гипоталамус -

часть промежуточного мозга,

которая находится под зрительным бугром (таламусом) и

является высшим центром регуляции эндокринной системы организма.

Рисунок - проекция ядер гипоталамуса на боковую стенку III желудочка.

2. Для осуществления данной функции нейроны гипоталамуса

вырабатывают нейросекрет и

объединяются в большое количество парных нейросекреторных ядер с разной специализацией.

II. Ядра гипоталамуса

Вот наиболее известные из ядер гипоталамуса.

Супраопти-
ческие и

паравентри-
кулярные
ядра

1. Супраоптические ядра (1) лежат под перекрёстом (хиазмой) зрительных трактов,

паравентрикулярные ядра (2) - в боковой стенке III желудочка.

2. а) Обе пары ядер вырабатывают нейрогормоны пептидной природы:

антидиуретический гормон (АДГ, или вазопрессин)
и окситоцин.

б) Тот и другой поступают в заднюю долю (3) гипофиза.

Ядра
серого
бугра
1. Несколько ядер расположены в сером бугре, который образует дно III желудочка.-

Аркуатные, или инфундибулярные, ядра (4) дугообразно охватывают спереди ножку гипофиза;

вентромедиальные (5) и дорсомедиальные (6) ядра находятся в срединной части серого бугра.

2. а) Ядра этой группы вырабатывают факторы, регулирующие продукцию гормонов передней и средней долями (7) гипофиза.

б) Причём,

т.н. либерины стимулируют эту продукцию,
а статины - угнетают.

Более детально взаимоотношения между гипоталамусом и гипофизом мы будем рассматривать при изучении эндокринной системы (тема 22).

15.3.1.2. Просмотр препарата

2,а-б. Препарат - нейросекреторные клетки супраоптического ядра гипоталамуса.
Окраска паральдегидфуксином.


1. Этот препарат нам уже встречался в п. 12.2.4.4.

2. В поле зрения - многочисленные нейроциты (1) овальной формы со светлыми ядрами и неоднородной цитоплазмой.

а) (Малое увеличение)

Полный размер

3. а) При большом увеличении в нейросекреторных клетках (1) выявляются (благодаря использованной окраске) гранулы.

б) Последние окрашиваются в фиолетовый цвет и обуславливают вышеотмеченную неоднородность цитоплазмы.

4. Поскольку нейроциты принадлежат супраоптическому ядру,

в их гранулах содержатся пептидные гормоны - АДГ и окситоцин - или их более крупные предшественники.

б) (Большое увеличение)

Полный размер

15.3.2. Кора больших полушарий

15.3.2.1. Общие сведения

I. Поверхность больших полушарий мозга

1. а) Поверхность больших полушарий мозга (как и поверхность мозжечка) имеет многочисленные

извилины (1) и борозды (2).

б) Это значительно увеличивает её площадь.

2. И вновь, как в мозжечке, на разрезе выявляется кора-

узкий (3-5 мм) поверхностный слой серого вещества.

3,а. Препарат - кора больших полушарий головного мозга.
Импрегнация азотнокислым серебром.

Полный размер

3. В коре больших полушарий мозга имеются

и клетки (нейроны, астроглия, микроглия),
и нервные волокна (отростки нейронов с оболочкой из олигодендроцитов).

4. а) Как те, так и другие располагаются в определённом порядке, отчего говорят о

цитоархитектонике коры (способе расположения клеток) и
миелоархитектонике коры (способе расположения волокон).


II. Клетки коры: пирамидные нейроны

Основными клетками коры больших полушарий являются пирамидные нейроны различного размера.

Форма и
ориентация клеток
1. Тело данных клеток имеет

пирамидную (треугольную на разрезе) форму.

2. Характерна ориентация пирамидных нейронов:

вершина "пирамиды" всегда обращена к поверхности коры,
основание - к белому веществу, причём

аксон всегда отходит от основания -

либо вниз (в белое вещество),
либо поворачивает к поверхности коры.

Функция крупных "пирамид" Аксоны крупных пирамидных клеток образуют т.н. пирамидные пути,

идущие к передним рогам спинного мозга

(давая коллатерали к подкорковым ядрам и другим структурам мозга).

Функция средних и мелких "пирамид" Аксоны средних и мелких пирамидных клеток связывают отдельные участки коры -

либо в пределах одного полушария (ассоциативные нейроны),
либо принадлежащие двум различным полушариям (комиссуральные нейроны).

III. Прочие нейроны коры

1. Кроме пирамидных клеток, в коре содержатся

два вида звёздчатых нейронов, которые возбуждают пирамидные клетки,

и несколько видов тормозных нейронов.

2. Большинство из последних тормозят пирамидные клетки,

а один вид - тормозит другие тормозные клетки, что приводит к возбуждению пирамид

15.3.2.2. Подразделение коры на слои

I. Перечень слоёв

1. В коре больших полушарий мозга различают 6 слоёв.

2. а) Однако эти слои выявляются не так чётко, как в мозжечке.

б) Поэтому вначале их продемонстрируем не на препарате, а на приведённой схеме.

3. Вот перечень слоёв коры (начиная с самого поверхностного):

молекулярный слой (I),

наружный зернистый слой (II),

пирамидный слой (III), или слой средних пирамид,

внутренний зернистый слой (IV),

ганглионарный слой (V), или слой крупных пирамид,

слой полиморфных клеток (VI).

Схема - кора больших полушарий:
А - слои,
Б - типы клеток,
В - расположение волокон.

Полный размер


II. Характеристика слоёв

I. Молеку-
лярный
слой
1. Этот слой (как ясно из перечня) - самый поверхностный.

2. Нейронов в нём очень мало;

это, в основном, небольшие по размеру тормозные клетки.

3. Основное содержимое слоя - нервные волокна от нижележащих клеток, которые идут параллельно (тангенциально) поверхности.

II. Наружный зернистый
слой
1. а) Во втором слое содержание клеток значительно больше.

б) Все клетки - небольшого размера, что и придаёт слою зернистый вид.

2. Среди клеток -

мелкие пирамидные клетки,
звёздчатые (возбуждающие) нейроны,
несколько видов
тормозных нейронов.

III. Пирамид- ный слой 1. а) Основной тип клеток - пирамидные нейроны среднего размера.

б) Имеется также небольшое количество тормозных нейронов.


2. а)
Поскольку содержание непирамидных клеток невелико,

концентрация клеток в слое оказывается меньше, чем в соседних слоях.

б) Это позволяет отличить слой от соседних.

IV. Внутрен- ний зернистый слой 1. Основной тип клеток - звёздчатые (возбуждающие) нейроны, небольшие по размеру.

2. Здесь же много горизонтально идущих миелиновых нервных волокон.

V. Ганглио- нарный
слой
1. а) Основной тип клеток - крупные пирамидные клетки,

а в прецентральной извилине - даже гигантские клетки (клетки Беца).

б) Как уже отмечалось, аксоны этих клеток образуют пирамидные пути, идущие к мотонейронам спинного мозга.

2. Кроме этих вертикальных (проекционных) путей, в данном слое, как и в предыдущем, имеется много горизонтальных нервных волокон.

3. А подобно пирамидному (III) слою, содержится также небольшое количество тормозных нейронов.

VI. Слой
полиморф-
ных клеток
1. Данный слой прилегает к белому веществу.

2. а) Его клеточный состав:

мелкие пирамидные клетки (в верхней части слоя),

тормозные нейроны различной формы.

б) Концентрация клеток по направлению к белому веществу убывает.

3. Через слой проходят

пучки вертикальных (проекционных) волокон, идущих от пирамидных клеток в белое вещество.


III. Резюмирующие замечания

Распределе-
ние клеток
по слоям
1. Из приведённого описания следует, что распределение трёх видов клеток по слоям таково:

пирамидные нейроны содержатся, по крайней мере, в четырёх слоях из 6 (кроме слоёв I и IV, где их почти нет);

тормозные нейроны - в пяти слоях (кроме слоя IV);

возбуждающие же (звёздчатые) нейроны сосредоточены только в двух слоях (II и IV).

2. Т.е., как и в коре мозжечка, мы видим преобладание тормозных нейронов над возбуждающими.

Два типа коры 1. В разных отделах коры

неодинакова выраженность слоёв II и IV коры (наружного и внутреннего зернистых).

2. В связи с этим, различают 2 типа коры больших полушарий:

агранулярную - в двигательных центрах,
зернистые слои выражены плохо;
гранулярную - в чувствительных центрах,
зернистые слои развиты особенно сильно.

15.3.2.3. Просмотр препарата

Теперь посмотрим, как выглядит многослойная структура коры на гистологическом препарате.

I. Среднее увеличение

3,б. Препарат - кора больших полушарий головного мозга. Импрегнация азотнокислым серебром.
На снимке в поле зрения - все 6 слоёв коры.-

I. Молекулярный слой:

клеток мало, но много волокон.

II. Наружный зернистый слой:

высокая концентрация небольших клеток звёздчатой и пирамидной формы.

Полный размер

III. Пирамидный слой:

клетки располагаются свободнее и представляют собой средние пирамиды.

IV. Внутренний зернистый слой:

вновь много небольших клеток звёздчатой формы.

V. Ганглионарный слой: крупные пирамидные клетки.

VI Слой полиморфных клеток:

убывающее (по направлению к белому веществу) количество различных по форме и небольших клеток.


II. Большое увеличение

3,в. Препарат - кора больших полушарий головного мозга. Импрегнация азотнокислым серебром.
А здесь (при большом увеличении) в поле зрения - крупные пирамидные нейроны (1) слоя V.

а) Каждый из них
вершиной обращён к поверхности коры,
а основанием - к белому веществу.

б) Один из отростков, отходящих от основания нейронов, - аксон (3).

в) Остальные отростки (в т.ч. мощный отросток от верхушки нейрона) - дендриты (2).

Полный размер

15.3.2.4. Нейроглия в сером веществе головного мозга

I. Астроцитарная глия

4. Препарат - астроцитарная глия в коре больших полушарий. Импрегнация азотнокислым серебром.
1. Чтобы при импрегнации азотнокислым серебром выявлялись только нейроциты (как в предыдущих случаях) или только клетки глии (как в этом препарате),

необходима специальная прединкубация (обработка) среза.

2. а) Обработка, проведённая в данном случае, показывает:

Полный размер

в коре больших полушарий, кроме нейронов, содержится и астроцитарная глия.

б) Астроциты имеют небольшое тело и многочисленные отростки.

в) Причём, преобладают протоплазматические астроциты (1) - с толстыми и короткими отростками.

3. Напомним, что этот препарат уже знаком нам по п. 12.3.3.


II. Микроглия

5. Препарат - микроглия в сером веществе головного мозга. Импрегнация азотнокислым серебром.
1. а) Как отмечалось в п. 12.3.1, астроциты относятся к макроглии.

б) Но, кроме того, в коре больших полушарий содержатся и микроглиальные клетки (1) - мелкие, с ветвящимися отростками.

2. Этот препарат тоже уже встречался - в п. 12.3.5.

3. Клетки макро- и микроглии выполняют в коре разнообразные функции -

опорную, трофическую, защитную (микроглиоциты обладают способностью к фагоцитозу).

Полный размер

III. Олигодендроглия

1. а) Наконец, из-за наличия в коре многочисленных нервных волокон, очевидно, что здесь имеются и олигодендроциты, формирующие оболочки волокон.

б) Как правило, эти волокна являются миелиновыми.

2. Все три типа перечисленных глиоцитов (астроглия, микроглия, олигодендроглия) в большей или меньшей степени встречаются в каждом из шести слоёв коры.

15.3.2.5. Нервные связи в коре больших полушарий

I. Сопоставление клеток коры мозжечка и коры больших полушарий

Чтобы уяснить взаимоотношения нервных клеток коры больших полушарий,
целесообразно отталкиваться от
организации коры мозжечка (п. 15.2.2), которая,

с одной стороны, во многом сходна,
а с другой стороны, является более простой и поэтому более понятной.

Кора
мозжечка
Кора больших полушарий
Грушевид-
ные нейроны
1. Пирамидные нейроны - аналог грушевидных:

они тоже служат основными эфферентными клетками

(тогда как интенсивность принимаемого ими сигнала и формируемого ответа регулируется другими клетками).

2. Но имеются, по крайней мере, 3 отличия.

а) Пирамидные клетки располагаются не в один ряд, а более диффузно.

б) Аксоны этих клеток направляются не в подкорковые ядра (как в мозжечке), а

либо непосредственно в спинной мозг (отдавая коллатерали к подкорковым ядрам и другим структурам),
либо к иным участкам коры.

в) При этом аксоны формируют синапсы возбуждающего, а не тормозящего типа.

Клетки-
зёрна
1. Звёздчатые нейроны (1) коры больших полушарий - аналог клеток-зёрен мозжечка: они тоже

возбуждают основные эфферентные клетки.

2. Причём, подобно ситуации в мозжечке,
сигнал от афферентных волокон может передаваться на пирамидные клетки

как непосредственно,
так и через звёздчатые нейроны.

Схема - межнейрональные связи в коре больших полушарий.

Нейроны:
пирамидные - синие,
звёздчатые (возбуждающие) - жёлтые,
тормозные - чёрные.

Волокна:
афферентные - красные,
эфферентные - синие.

Полный размер

Корзинча-
тые и звёздчатые нейроны
1. а) Среди тормозных нейронов коры больших полушарий имеются

корзинчатые (2) и
аксоаксональные (3) клетки -

аналоги корзинчатых и звёздчатых нейронов мозжечка.

б) Они образуют тормозные синапсы, соответственно, на телах и аксонах пирамидных клеток.

2. Тем самым они корректируют ответ (см. п. 15.2.2.4.II).

Клетки Гольджи Третий вид тормозных нейронов коры больших полушарий -
клетки с аксональной кисточкой (4) - отчасти подобны клеткам Гольджи мозжечка:

образуют тормозные сигналы на афферентных волокнах и корректируют входной сигнал
(см. п. 15.2.2.4.I).

Веретено-
видные горизон-
тальные клетки (?)
1. Наконец, в коре больших полушарий имеется ещё и четвёртый вид тормозных нейронов -
клетки с двойным букетом дендритов (5).

2. Последние тормозят практически все виды тормозных нейронов и тем самым

растормаживают пирамидные клетки.

II. Резюме

Сходство В силу подобного сходства клеток, кора больших полушарий функционирует, в принципе, так же, как кора мозжечка:

в ней происходят восприятие входного сигнала и формирование ответа,

что корректируется многочисленными добавочными нейронами.

Отличие Но, в отличие от мозжечка,

анализ сигнала происходит на гораздо большей площади коры -

за счёт многочисленных мелких пирамид, связывающих своими отростками различные отделы коры.