
BOOK
Содержание темы
10.1.
Введение
10.2. Хрящевые ткани
10.2.1. Общая характеристика
10.2.2. Компоненты хрящевых тканей
10.2.2.1. Клетки
10.2.2.2.
Межклеточное вещество
10.2.3.
Классификация хрящевых тканей
10.2.4.
Волокнистая хрящевая ткань
10.2.5.
Гиалиновая хрящевая ткань
10.2.6.
Эластическая хрящевая ткань
10.3. Костные ткани
10.3.1. Компоненты костных тканей
10.3.1.1.
Межклеточное вещество
10.3.1.2. Клетки
10.3.1.3.
Надкостница и питание костей
10.3.2.
Виды костных тканей
10.3.3.
Грубоволокнистая костная ткань
10.3.4.
Пластинчатая костная ткань
10.3.4.1.
Организация ткани
10.3.4.2.
Просмотр препарата: наружные
и внутренние генеральные пластинки
10.3.4.3.
Просмотр препарата: остеоны
10.3.4.4. Плоские кости
10.4. Развитие кости
10.4.1.
Прямой остеогенез
10.4.1.1.
Этапы остеогенеза
10.4.1.2.
Просмотр препаратов: клетки, участвующие в
остеогенезе
10.4.2.
Непрямой остеогенез
10.4.2.1.
Введение
10.4.2.2.
Область диафиза
10.4.2.3.
Пограничная область между диафизом и эпифизом
10.4.2.4.
Рост трубчатых костей
10.4.3. Факторы, влияющие на состояние
костей
10.4.3.1. Витамины
10.4.3.2. Гормоны

10.1. Введение
В группу скелетных
соединительных тканей входят хрящевая и костная ткани (п. 9.1.2).
| Функции |
Эти ткани выполняют
механические и обменные
функции:
участвуют в создании опорно-двигательного
аппарата,
защищают внутренние органы от повреждений,
участвуют в
обмене минеральных
веществ (кальция и фосфатов).
Кроме того,
хрящевые ткани играют формообразующую роль в процессе эмбриогенеза и
последующего развития: на месте многих костей
вначале образуется хрящ.
|
| Ключевая
особенность |
Способность выполнять
перечисленные функции определяется
особой природой
межклеточного вещества данных
тканей.
|
| Развитие |
Как и все прочие ткани внутренней
среды организма, скелетные ткани развиваются
из мезенхимы (клетки которой, в свою очередь,
выселяются из сомитов и спланхнотомов; п. 6.2.1.1).
|

10.2. Хрящевые ткани
10.2.1. Общая характеристика
| Физические
свойства |
Межклеточное вещество данных тканей придаёт им два
важнейших свойства:
упругость и
прочность.
|
Локали-
зация |
Благодаря этим свойствам, хрящевые ткани
используются как "строительный материал" в
следующих местах:
в
области суставов (покрывая суставную
поверхность относительно узким слоем),
в метафизах (т.е. между эпифизом и
диафизом) трубчатых костей,
в
межпозвонковых дисках,
в передних отделах
рёбер,
в стенке дыхательных органов
(гортани, трахеи, бронхов) и т. д.
|
Надхрящ-
ница |
а) Во многих случаях хрящ покрыт надхрящницей -
волокнистой соединительной тканью, которая
участвует в
росте и
питании хряща.
б) А. В ряде случае
надхрящницы нет -
например, у суставных хрящей, поскольку
поверхность последних должна быть гладкой.
Б. Здесь питание
осуществляется
со стороны синовиальной жидкости и
со стороны
подлежащей кости.
|
| Отсутствие
сосудов |
а) Наконец, ещё одна важная особенность хрящевых
тканей -
отсутствие
кровеносных сосудов.
б) Поэтому питательные
вещества поступают в хрящ
путём диффузии
из перечисленных
выше образований (сосудов надхрящницы,
синовиальной жидкости, подлежащей кости). |
| Пересадка
хряща |
а) При пересадке хряща практически не развивается реакция
отторжения -
из-за отсутствия в нём сосудов и
непроницаемости межклеточного вещества
для крупномолекулярных белков.
б) И то, и другое
препятствует контакту с пересаженным хрящом
иммунокомпетентных клеток и антител. |

10.2.2. Компоненты
хрящевых тканей

10.2.2.1. Клетки
Известно два типа
хрящевых клеток:
хондробласты - находятся, в основном, не в самом
хряще, а в надхрящнице,
и хондроциты -
клетки хряща.
I. Хондробласты
II. Хондроциты
Морфо-
логия |
а) Хондроциты - главный тип клеток хряща.
б) Они имеют
больший (по сравнению с хондробластами) размер
и овальную форму.
|
Располо-
жение в ткани |
Хондроциты
лежат
в особых полостях межклеточного вещества (лакунах)
и
часто (хотя не всегда) образуют изогенные
группы (из 2-6 клеток),
происходящие из одной клетки.
|
Функцио-
нальная активность |
При этом, в отличие
от фиброцитов,
некоторые хондроциты сохраняют способность к делению,
а другие активно синтезируют компоненты межклеточного
вещества.
|
Интерсти-
циальный рост хряща |
За счёт деятельности хондроцитов происходит увеличение массы хряща изнутри -
интерстициальный
рост.
|

10.2.2.2.
Межклеточное вещество
| Волокна |
В
межклеточном веществе - много волокнистых структур:
коллагеновых фибрилл или
(в волокнистом хряще) волокон,
а в эластическом хряще -
ещё и
эластических
волокон.
|
| Состав
аморфного вещества |
Основное
аморфное вещество
содержит:
воду (70-80 %),
минеральные вещества (4-7 %),
органический
компонент (10-15 %), представленный
протеогликановыми
агрегатами и
гликопротеинами.
|
Протео-
гликановые
агрегаты:строение |
Протеогликановый
агрегат содержит 4 компонента. В основе агрегата - длинная нить гиалуроновой кислоты (1).
С помощью глобулярных
связующих белков (2) с этой нитью связаны
линейные (фибриллярные)
пептидные цепи т.н. корового
(сердцевинного) белка (3).
В свою очередь, от последних
отходят олигосахаридные
ветви (4).
|

Полный размер |
| Свойства
агрегатов |
а) Агрегаты
обладают высокой гидрофильностью; поэтому
связывают
большое количество воды и
обеспечивают тем самым высокую упругость хряща.
б) При этом они
сохраняют проницаемость для низкомолекулярных
метаболитов. |

10.2.3. Классификация
хрящевых тканей
Исходя из
особенностей строения межклеточного вещества,
хрящевые ткани делят на 3 вида - волокнистую, гиалиновую и эластическую.
| |
Волокнистая
хрящевая ткань |
Гиалиновая
хрящевая ткань |
Эластическая
хрящевая ткань |
Основная
особен-
ность |
Большое количество одинаково
ориентированных коллагеновых
волокон.
|
Большое количество протеогликановых
агрегатов.
|
Наличие эластических
волокон.
|
Следствие |
Способность противостоять большим
напряжениям.
|
Высокая упругость.
|
Высокая эластичность.
|
Колла-
геновые структуры |
В данном хряще, как и в
собственно соединительных тканях, содержится
коллаген I типа,
образующий волокна.
|
В этих
двух видах хряща содержится коллаген
II типа, который
является более гидрофильным
(за счёт более высокого содержания
гидроксигрупп) и
образует лишь фибриллы (не объединяющиеся в волокна).
|
Локали-
зация |
1) Межпозвонковые диски (исключая
пульпозные ядра).
2) Места прикрепления сухожилий
и связок к гиалиновому хрящу. |
1) Суставные поверхности костей.
2) Воздухоносные пути.
3) Места соединения рёбер с грудиной. |
1) Ушная раковина.2) Некоторые хрящи гортани. |
Рассмотрим более подробно каждый из
этих видов тканей.

10.2.4. Волокнистая
хрящевая ткань
| 1,а-б.
Препарат - волокнистая хрящевая ткань
межпозвонкового диска. Окраска
гематоксилин-эозином. |
| а) Малое
увеличение 
Полный размер |
б)
Большое увеличение 
Полный размер |
Хондро-
циты |
а) Хондроциты (1) в данной ткани,
в
основном, не
образуют изогенных групп,
а располагаются поодиночке.
б) Они
имеют
вытянутую
форму,
палочковидное ядро и
узкий ободок цитоплазмы.
|
Межкле-
точное вещество |
а) Межклеточное вещество (2) является оксифильным
- из-за наличия
большого количества толстых
коллагеновых волокон.
б) В этом, как отмечалось, состоит главная особенность волокнистой хрящевой ткани. |
Циркуляр-
ная организация |
Поскольку данная ткань представлена на снимке
межпозвонковым диском, то видна также
почти циркулярная
организация компонентов
ткани.
|
| Переход
хряща в другие ткани |
а) На периферии диска волокнистый
хрящ постепенно переходит
в плотную
оформленную соединительную ткань, коллагеновые волокна
которой приобретают косую ориентацию и идут от одного позвонка к
другому.
б) В центральной части диска волокнистый
хрящ переходит в
пульпозное
ядро, которое
содержит (как гиалиновый хрящ) коллаген II типа ( в виде фибрилл) и
представляет собой особую
разновидность хрящевой ткани
|

10.2.5. Гиалиновая
хрящевая ткань
а) Внешне эта ткань имеет
голубовато-белый цвет и похожа на стекло,
с чем и связано её название (греч. hyalos - стекло).
б) Познакомимся с ней на
примере хрящей трахеи.
| 2,а-в.
Препарат - гиалиновая хрящевая ткань трахеи
(поперечный срез). Окраска гематоксилин-эозином. |
Локали-
зация
хряща |
а) На
первом снимке мы видим все оболочки стенки
трахеи, в т.ч. фиброзно-хрящевую
оболочку (1), основу
которой составляет гиалиновый
хрящ.
б) Хрящ со всех сторон
покрыт
оксифильной надхрящницей (2А; 2Б). |
а) Малое
увеличение 
Полный размер |
Надхрящ-
ница |
а)
В надхрящнице (2)
гиалинового хряща различают
волокнистый
и
клеточный слои.
б) В волокнистом слое находятся
кровеносные сосуды, питающие хрящ,
а в
клеточном (прилегающем
к хрящу) - |
б)
Среднее увеличение 
Полный размер |
 хондробласты (небольшие клетки уплощённой
формы).
|
Два
типа хондро-
цитов |
а) Сразу под надхрящницей
располагаются
молодые
хондроциты (3) -
по несколько крупнее по
размерам и более овальные по форме.
б) Глубже
находятся
зрелые
хондроциты -
крупные овальные клетки со светлой цитоплазмой,
образующие изогенные группы (4) по 2-6 клеток.
|
Межкле-
точное вещество |
а) А.
Непосредственно вокруг
изогенных групп хондроцитов межклеточное
вещество (5) является оксифильным. Б. Причина -
наличие здесь большого количества коллагеновых фибрилл, образующих капсулу
лакуны.
б) А. В более отдалённых
зонах межклеточное вещество (6) становится базофильным. -
|
в)
Большое увеличение 
Полный размер |
Б. Здесь преобладает аморфный
компонент, представленный протеогликановыми
агрегатами. |

10.2.6. Эластическая
хрящевая ткань
В свежем состоянии эта ткань имеет желтоватый цвет из-за наличия эластических
волокон.
| 3.
Препарат - эластическая хрящевая ткань ушной
раковины. Окраска орсеином. |
| Сходство
с гиалиновой хрящевой тканью |
По общему плану строения у данной ткани - много общего с
гиалиновым хрящом.а) Вновь мы видим надхрящницу
(1), |
| б) в
толще хрящевой пластинки -
изогенные группы (2) хондроцитов, в) причём,
последние опять
являются крупными,
овальными и
имеют светлую цитоплазму.
|

Полный
размер |
Отличи-
тельные
черты |
Особенности же состоят в следующем. - а) Группы хондроцитов обычно имеют
вид цепочек (из 2-х или большего числа клеток), ориентированных перпендикулярно
к поверхности.
б) А в
межклеточном веществе обнаруживаются
эластические волокна
(3), окрашенные орсеином в
тёмно-вишнёвый цвет и идущие во всех направлениях.
(Коллагеновые фибриллы,
тоже содержащиеся в эластическом хряще, при
данной окраске не видны.)
в) Из-за относительно
низкого содержания коллагеновых фибрилл, в
эластическом хряще
не
происходит отложение солей Са (обызвествление) при нарушении питания.
|

10.3. Костные ткани

10.3.1. Компоненты
костных тканей

10.3.1.1.
Межклеточное вещество
| Состав |
Межклеточное
вещество костей
представлено
не
только обычными
компонентами
(коллагеновыми волокнами, протеогликанами,
гликопротеинами),
но
и (на 70 %) минеральными
солями - главным
образом, кристаллами гидроксиапатита
Са10(РО4)6 (ОН)2.
Содержание
воды
- очень низкое (от 6 до 20 %).
|
| Физические
свойства |
Поэтому межклеточное вещество находится в твёрдом состоянии,
что придаёт костям, по сравнению с хрящом,
более
высокую прочность
и в то же время - хрупкость.
|

10.3.1.2. Клетки
| а) Клетки костной
ткани - остеобласты,
остеоциты и
остеокласты.
б) Остеобласты и остеоциты -
последовательные стадии развития клеток
соответствующего дифферона - т.н. дифферона механоцитов.
в) В отличие от
хондробластов и хондроцитов,
но так же , как зрелые фибробласты и фиброциты,
остеобласты и остеоциты не способны к митотическим делениям.
|
I-А. Остеобласты:
общее описание
Происхож-
дение и локали-
зация |
а) Остеобласты развиваются
из стволовых остеогенных
клеток.
б) В образующейся кости они покрывают
почти непрерывным слоем
поверхность строящихся костных балок.
в) В сформированной кости остеобласты
встречаются
в
надкостнице,
в эндосте (выстилает
костномозговую полость в
диафизах трубчатых костей и покрывает костные балки в губчатом веществе
костей), а также
в периваскулярном
пространстве остеонов (см. ниже).
|
Функцио-
нальная активность |
Остеобласты
образуют компоненты межклеточного вещества
и со временем превращаются в остеоциты.
|
Морфо-
логия |
Остеобласты отличаются
полигональной формой и
резко базофильной
цитоплазмой (из-за высокой белоксинтезирующей
активности).
|
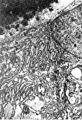
I-Б. Остеобласты:
электронограмма
| а) А вот какова
ультраструктурная организация остеобласта. - В нём (в связи с интенсивным
синтезом внеклеточных белков) хорошо развиты
шероховатая ЭПС (5-6) и
комплекс
Гольджи (8) (как всегда, находящийся возле ядра (3).
б) А рядом с клеткой (вверху
снимка) находятся продукты её деятельности:
органическая матрица кости (2) - остеоид с поперечно срезанными
коллагеновыми волокнами
и (несколько далее) - минерализованное
основное вещество (1) кости, имеющее вид
тёмной массы.
|
Электронная
микрофотография - остеобласт.
 |
II. Остеоциты
| Локализация |
а) Остеоциты - основной тип клеток
сформированной кости. б) Они
лежат в костных полостях (лакунах);
но, в отличие от хондроцитов, не образуют
при этом изогенных групп; т.е. располагаются поодиночке.
|
| Морфология |
При этом остеоциты
имеют многочисленные
тонкие
отростки, которые
проходят в костных
канальцах и
контактируют с сосудами или отростками соседних
клеток.
|
| Функция |
а) По отросткам и
окружающему их пространству канальцев
происходит
обмен веществами между сосудами и костной
тканью.
б) Таким образом, остеоциты
выполняют
трофическую функцию.
|
III. Остеокласты
Происхож-
дение |
Остеокласты -
клетки гематогенного происхождения:
они образуются
путём слияния моноцитов (от 3 до нескольких
десятков).
|
Морфология
и функцио-
нальная активность |
В связи со своим происхождением, остеокласты -
крупные многоядерные клетки, которые
обладают высокой
литической и фагоцитарной активностью
и за счёт этой активности разрушают обызвествлённые хрящи и
кости,
воздействуя на органические и неорганические
компоненты данных тканей.
|
| Локализация |
Как и остеобласты, остеокласты находятся
в формирующейся кости - на
поверхности костных балок, образуя в них
углубления;
а в зрелой кости -
  в надкостнице,
эндосте и периваскулярном
пространстве остеонов.
|

10.3.1.3. Надкостница
и питание костей
Клетки
надкостницы |
а) Мы уже знаем, что в
надкостнице содержатся остеобласты и
остеокласты. б) Кроме них, в надкостнице имеются стволовые клетки,
способные (например, при переломах)
дифференцироваться в клетки хрящевого или
костного ряда.
|
| Сосуды
надкостницы |
Другая важная особенность
надкостницы:
от её сосудов отходят (через прободающие
каналы) многочисленные ветви внутрь кости.
|
| Сосуды
кости |
а)
Наличие сосудов отличает костную ткань от
хрящевой. б) Сосуды необходимы потому, что
из-за высокой плотности костной ткани,
диффузия в ней питательных веществ (как
в хряще) была бы
невозможна.
|
| Костные
канальцы |
Как уже упоминалось, из периваскулярных пространств (вокруг кровеносных капилляров)
питательные вещества распространяются через костные канальцы, образованные отростками остеоцитов.
|

10.3.2. Виды костных
тканей
Различают 2 вида костной
ткани -
грубоволокнистую
(ретикулофиброзную) и
пластинчатую (тонковолокнистую).
| |
Грубоволокнистая
костная ткань |
Пластинчатая
костная ткань |
Основная особенность |
Коллагеновые
волокна образуют толстые пучки,
идущие в разных направлениях. |
а) Костное вещество (клетки, волокна, основное вещество) организовано в пластинки. б) Причём,
в пределах одной пластинки
волокна имеют одинаковое направление,
а в пределах соседних пластинок
- разное. |
| Локализация |
1. Плоские кости эмбриона. 2. Бугорки костей; места заросших черепных швов. |
Почти все кости взрослого человека:
плоские (лопатка,
тазовые кости, кости черепа),
губчатые
(рёбра, грудина, позвонки) и
трубчатые.
|

10.3.3. Грубоволокнистая
костная ткань
| 4.
Препарат - грубоволокнистая костная ткань.
Окраска гематоксилин-эозином. |
| а)
Снимок иллюстрирует строение первого из
вышеназванных видов костной ткани. б) В грубоволокнистой костной ткани
видны
остеоциты
(1) и
толстые
пучки оксифильных коллагеновых волокон без определённой ориентации (2) .
|

Полный размер |

10.3.4. Пластинчатая
костная ткань

10.3.4.1. Организация
ткани
Пластинчатая костная ткань может
иметь губчатую и компактную организацию.
| |
Губчатое
костное вещество |
Компактное
костное вещество |
Локали-
зация |
Из губчатого вещества состоят: эпифизы трубчатых костей,
внутренний слой (примыкающий
к костномозговому каналу) диафизов
трубчатых костей,
губчатые кости,
внутренняя часть плоских
костей.
|
Компактную структуру имеют
большая часть диафизов
трубчатых костей и
поверхностный слой плоских
костей.
|
Отличи-
тельная черта |
Губчатое вещество построено
из бессосудистых костных
перекладин (балок),
между которыми находятся
промежутки - костные ячейки.
|
В компактном костном веществе
практически нет промежутков: за счёт
разрастания костной ткани вглубь ячеек,
остаются лишь
узкие пространства для сосудов -
т.н. центральные каналы остеонов (см.
ниже).
|
| Костный
мозг |
В ячейках губчатого вещества
содержатся
сосуды, питающие кость,
и красный костный мозг - кроветворный
орган.
|
Костномозговая полость диафизов
трубчатых костей у взрослых
содержит
жёлтый костный мозг - жировую
ткань.
|
| Строение |
И губчатое, и компактное костное вещество
состоит
из костных
пластинок.
|
а) При этом пластинки губчатого вещества
обычно ориентированы
вдоль направления костных
балок,
а не вокруг сосудов, как в остеонах
компактного вещества.
б) Правда, в достаточно толстых балках
остеоны всё-таки могут встречаться. |
В компактном же веществе имеются
пластинки 3-х типов: общие
(генеральные) - окружают всю кость,
остеонные -
лежат концентрическими слоями вокруг сосуда,
образуя т.н. остеоны;
вставочные -
находятся между остеонами.
|
| Резюме |
Тем не менее, единицей строения губчатого
вещества принято считать
костные пластинки.
|
Основной единицей строения компактного
вещества считаются
остеоны.
|

10.3.4.2. Просмотр
препарата:
наружные и внутренние генеральные пластинки
| 5,а и 5,д.
Препарат - пластинчатая костная ткань;
поперечный срез диафиза декальцинированной
трубчатой кости. Окраска по методу Шморля. |
Наруж-
ный
слой кости |
Здесь в поле зрения
- наружные генеральные
пластинки (1): они
лежат под надкостницей (2) и
окружают кость.
|

а) Полный размер |
Внутрен-
ний
слой кости |
а) Теперь перед нами - внутренние генеральные пластинки
(1). Они
прилегают к эндосту (2) и
вместе с ним охватывают костномозговую
полость (3).
|

д) Полный
размер
|
б) Как отмечалось, в ряде мест к данной полости
примыкают трабекулы
губчатого вещества;
тогда внутренние
генеральные пластинки выражены нечётко и
продолжаются в указанные трабекулы. |

10.3.4.3. Просмотр
препарата: остеоны
| 5,б-г.
Препарат - пластинчатая костная ткань;
поперечный срез диафиза декальцинированной
трубчатой кости. Окраска по методу Шморля. |
| Принцип
строения остеона |
а) Теперь мы видим
средний, или остеонный
слой кости.
б) В центре каждого остеона -
кровеносный сосуд (1),
вокруг
последнего - |
б) Малое увеличение

Полный размер
|
несколько концентрических слоёв костных пластинок (2), называемых остеонными.
в) Остеоны отграничены резорбционной (спайной) линией (3). |
Вставоч-
ные пластинки |
Между остеонами лежат вставочные костные пластинки
(4),
которые представляют собой
остатки прежних
генераций остеонов.
|
| Состав
пластинок |
а) Как уже отмечалось, костные пластинки включают
клетки (остеоциты),
коллагеновые волокна и
основное вещество, богатое
минеральными соединениями.
б) При этом
волокна в межклеточном
веществе неразличимы,
а само межклеточное вещество
имеет твёрдую консистенцию.
|
Остео-
циты |
а) Остеоциты
отличаются наличием длинных и узких отростков.
б) Причём,
тела остеоцитов лежат в костных лакунах (1),
а
многочисленные отростки - в костных
канальцах (2).
|
в) Среднее увеличение

Полный размер |
| в) А. Стенки костных полостей и
канальцев выстланы густой
сетью коллагеновых волокон, окрашенных на снимке в коричневый цвет. Б. Это, в частности, и делает
видимыми костные канальцы. |
Централь-
ный канал остеона |
а) Здесь в поле зрения - центральный канал
остеона,
в котором проходит кровеносный сосуд (1).
б) В этих
каналах обычно содержатся и
остеогенные
клетки.
|
г) Большое увеличение 
Полный размер |

10.3.4.4. Плоские
кости
| а) Как
отмечалось, поверхностный слой плоских костей
представляет собой компактное костное вещество. б) Поэтому здесь также имеются
рассмотренные выше структуры.
в) В итоге, с поверхности
внутрь находится следующее:
компактное костное
вещество:
общие
(генеральные) пластинки,
окружающие всю кость;
остеонный слой из т.н.
первичных остеонов;
губчатое
костное вещество, включающее
балки и мелкие ячейки между ними.
|

10.4. Развитие кости
У эмбриона костная
ткань развивается из мезенхимы двумя способами:
непосредственно из мезенхимы (прямой остеогенез),
на месте ранее заложенного хряща (непрямой остеогенез).
|

10.4.1. Прямой остеогенез
Данным способом
развиваются плоские кости.

10.4.1.1. Этапы
остеогенеза
а)
Развитие проходит 4 этапа:
образование
скелетогенного островка,
остеоидную
стадию,
минерализацию
межклеточного вещества,
формирование
костных пластинок.
б) Ниже приводится
их краткое описание. |
I. Образование скелетогенного островка
а) На месте
будущей кости вначале происходят
размножение
мезенхимных клеток и
васкуляризация (образование кровеносных сосудов).
б) Тем самым
формируется т.н.
скелетогенный
островок.
|
II. Остеоидная стадия
Появление
костных клеток |
На следующей стадии в
островке
появляются костные клетки:
 остеобласты и остеоциты - из остеогенных клеток,
остеокласты
- из моноцитов крови.
|
Образование
органической
матрицы |
а) При этом остеобласты активно
осуществляют
синтез органической матрицы кости, или оссеомукоида
(коллагеновых волокон, гликопротеидов).
б) Такая (ещё не
минерализованная) закладка кости называется остеоидом. |
III. Минерализация межклеточного вещества
| Матриксные
пузырьки |
а) На
третьей стадии в межклеточном веществе
появляются (видимо, отпочковываясь от
остеобластов) т.н.
матриксные пузырьки, сходные
с лизосомами. Они
накапливают кальций и (за счёт
щелочной фосфатазы) неорганический фосфат.
б) При разрыве
пузырьков происходит
минерализация
межклеточного вещества, т.е. отложение
кристаллов гидроксиапатита на волокнах и в
аморфном веществе.
|
| Костные
трабекулы |
а) В результате, образуются
костные
трабекулы (балки) - минерализованные участки
ткани, содержащие все 3
типа костных клеток -
с поверхности - остеобласты
и остеокласты,
а в глубине - остеоциты.
б) Сосудов в
трабекулах ещё нет; они имеются в окружающей
мезенхиме. |
| Тип
костной ткани |
Образовавшаяся костная ткань
является грубоволокнистой
(лишена пластинчатой организации) и
формирует т.н. первичную
губчатую кость.
|
IV. Формирование костных пластинок
| Внутренняя
часть кости |
В последующем во внутренней части
плоской кости
первичная губчатая ткань
замещается на вторичную,
которая построена уже из костных пластинок,
ориентированных по ходу балок. |
| Наружный
слой кости |
А в наружном слое образуются
генеральные пластинки (окружающие
кость) и
первичные остеоны.
|
| Механизм
перестройки кости |
а) Большую роль в этой перестройке
играют
остеокласты (частично разрушающие
трабекулы) и
сосуды, подрастающие к трабекулам.
б) В частности, вокруг сосудов костное
вещество формируется в виде концентрических
костных пластинок, составляющих первичные
остеоны. |
В разных участках
формирующейся кости развитие может находиться на разных этапах.
Поэтому могут соседствовать:
мезенхимные
скелетогенные островки,
остеоидные участки и
обызвествлённые трабекулы
грубоволокнистой костной ткани.

10.4.1.2. Просмотр
препаратов: клетки, участвующие в остеогенезе
| 6,а-г.
Препарат - прямой остеогенез; поперечный срез
челюсти зародыша животного. Окраска
гематоксилин-эозином. |
Общий
вид |
а) Челюсть - плоская кость и поэтому образуется путём прямого остеогенеза. б) В соответствии с вышесказанным, в
челюсти зародыша мы видим
мезенхиму
(1) и
трабекулы
образующейся кости (2),
окрашенные в ярко-розовый
цвет.
в) Используя большие
увеличения, рассмотрим клетки, участвующие в
остеогенезе. |
а) Малое
увеличение 
Полный размер |
Мезен-
химные клетки |
а) Мезенхимные клетки (1) - небольшие,
вытянутой формы,
со слабо базофильной
цитоплазмой.
б) Возле
формирующейся кости находится кровеносный сосуд (3)
- результат васкуляризации скелетогенного
островка. |
б) Среднее
увеличение 
Полный размер |
Остео-
бласты |
Остеобласты (4) расположены на поверхности костной балки,
имеют полигональную
форму и
резко базофильную цитоплазму;
и, как мы знаем, образуют органические компоненты межклеточного вещества кости.
|
в) Большое увеличение 
Полный размер |
Остео-
циты |
Остеоциты (5) находятся в
глубоких слоях трабекулы, где заключёны
в костные лакуны;
образуются
из остеобластов, "замуровавших" себя
продуктами своего синтеза;
их отростки ещё полностью не
сформировались и при данном методе окраски не
видны.
|
Остео-
класты |
Остеокласты (6), как и остеобласты,
находятся на периферии
трабекулы,
при этом являются крупными
многоядерными клетками с оксифильной
цитоплазмой;
разрушая
костное вещество, внедряются
в трабекулу, образуя в ней углубления
(что
свидетельствует о продолжающейся перестройке
трабекулы).
|
г) Большое увеличение, другое поле
зрения 
Полный размер |

10.4.2. Непрямой
остеогенез

10.4.2.1. Введение
I. Общая
характеристика непрямого остеогенеза
Распростра-
нённость |
Непрямой
остеогенез характерен
для трубчатых костей.
|
| Три этапа непрямого
остеогенеза |
При этом
вначале образуется модель будущей кости
из гиалинового хряща;
затем на её месте появляется костная
ткань - грубоволокнистая, образующая
губчатое костное
вещество;
позднее ткань перестраивается в пластинчатую и формирует компактное костное вещество.
|
| Два способа непрямого
остеогенеза |
Образование костной ткани происходит
одновременно двумя способами - путём
перихондрального (вокруг хряща) и
энхондрального (внутри хряща) окостенения.
|
Рассмотрим эти способы на
конкретном препарате трубчатой кости.
II. Обзорный снимок;
исходный гиалиновый хрящ
| 7,а-б.
Препарат - развитие кости на месте хряща;
продольный срез фаланги пальца эмбриона. Окраска
гематоксилин-эозином. |
а) Малое увеличение
 Полный размер |
б) Среднее увеличение,
область эпифиза 
Полный размер |
| а) На первом
снимке (а) - пограничная область между эпифизом (1) и диафизом (2) формирующейся
трубчатой кости. б) На достаточном
удалении от этой области (снимок б) в
эпифизе находится неизменённый гиалиновый хрящ (6) и в
его составе -
хондроциты (9), которые
имеют
обычную овальную форму и
лежат в лакунах, иногда образуя
изогенные группы.
Между хондроцитами расположено
базофильное межклеточное
вещество (10).
в) В диафизе же происходит
окостенение двумя названными способами. |

10.4.2.2. Область
диафиза
I. Образование
губчатого костного вещества из грубоволокнистой
костной ткани
| 7,а и
7,г-д. Препарат - развитие кости на месте хряща;
продольный срез фаланги пальца эмбриона. Окраска
гематоксилин-эозином. |
а) Малое увеличение
 Полный размер |
г) Среднее увеличение,
область диафиза
Полный размер |
| Костная
манжетка: пери-
хондраль-
ное окостене-
ние |
а)
Перихондральное окостенение начинается с
появления в надхрящнице остеобластов. Тем
самым
надхрящница
превращается в надкостницу
(11).
б) По ходу
разрастающихся сосудов остеобласты формируют грубоволокнистую костную ткань - в
виде т.н.
костной манжетки (3) вокруг
хряща.
в) Это и обозначается как перихондральное окостенение.
г) Но, в свою
очередь, костная манжетка нарушает
питание хряща, что приводит
к его изменениям и, в итоге, к энхондральному
окостенению.-
|
Эн-
хондраль-
ное окостене-
ние |
а) В подлежащих областях диафиза вначале
происходит
набухание хрящевых клеток
(они становятся пузырчатыми),
и минерализация (омеление) межклеточного
вещества.
б) Затем
со стороны надкостницы сюда
врастают сосуды
вместе с костными клетками.
в) Это вызывает
разрушение изменённого хряща
остеокластами, что приводит
к образованию полостей (в т.ч. костномозговой);
и формирование костных балок,
или трабекул за счёт деятельности остеобластов и
образуемых ими матриксных пузырьков.
|
Иллю-
страции |
а) Так, на снимке г) мы
видим надкостницу (11) и под ней - костные балки (3), которые
являются результатом перихондрального окостенения и
образуют костную
манжетку.
б) В более же глубокой
области диафиза находятся (см. снимки г-д)
участки минерализованного
хряща (8), имеющие
характерный серовато-фиолетовый цвет;
|
г) Среднее увеличение,
область диафиза
 |
а вокруг них - оксифильные костные балки (7), возникшие путём энхондрального
окостенения.
в) Кроме того, на снимке г)
видны
полости и в них -
кроветворные клетки красного
костного мозга (12).
|
д) Большое увеличение,
область диафиза 
Полный размер |
II. Образование компактного костного вещества из
пластинчатой костной ткани
| Смена
типа костной ткани |
а) В ходе
вышеизложенных процессов образуется грубоволокнистая костная ткань, формирующая губчатое
костное вещество, в которой костные балки
не
содержат сосудов и
не
имеют пластинчатой организации.
б) В последующем происходит
замена данной ткани на пластинчатую. |
| Описание
процесса |
а) На первой стадии этой замены костное вещество
с одной стороны,
разрушается остеокластами,
с другой стороны, разрастается вглубь костных ячеек - вокруг подрастающих сосудов, -
так что вокруг сосуда
образуется концентрическая
пластинка костной ткани.
б) На её внешней стороне
появляются новые генерации костных клеток,
которые формируют ещё одну концентрическую
пластинку.
в) Несколько циклов такого
процесса приводят
к образованию остеонов,
которые заполняют практически
всё пространство -
костное вещество
становится компактным.
|

10.4.2.3.
Пограничная область между диафизом и эпифизом
Характерный вид
приобретает также пограничная область между
диафизом и эпифизом.-
Здесь появляются две зоны. -
| 7,а и 7,в.
Препарат - развитие кости на месте хряща;
продольный срез фаланги пальца эмбриона. Окраска
гематоксилин-эозином. |
а) Малое увеличение
 |
в) Среднее увеличение,
граница эпифиза и диафиза 
Полный размер |
Зона
пузырчатого хряща |
а) На границе ещё сохранившегося хряща хрящевые
клетки находятся в набухшем, вакуолизированном
состоянии, т.е.
имеют пузырчатую форму
(которая на первой стадии
дистрофии была присуща и хрящевым клеткам
диафиза).
б) Соответственно, эта
область обозначается как
зона пузырчатого
хряща (4).
|
Зона
столбчатого хряща |
а) В соседней области эпифиза
продолжается рост хряща и,
размножающиеся
клетки выстраиваются в колонки вдоль длинной оси
кости.
б) Это -
зона столбчатого хряща (5). |
| Окостенение
эпифиза |
а) В последующем произойдёт
окостенение и самого эпифиза (за исключением
суставной поверхности) -
энхондральным
путём.
б) Т.е.
здесь тоже произойдёт
минерализация,
сюда прорастут сосуды,
разрушится вещество хряща и
образуется вначале
грубоволокнистая,
а потом пластинчатая костная
ткань.
|

10.4.2.4. Рост
трубчатых костей
Источники
роста |
До 20-летнего возраста происходит рост
трубчатых костей:
в ширину - путём аппозиционного
роста со стороны надхрящницы,
в длину - за счёт активности метаэпифизарной хрящевой пластинки.
|
Метаэпи-
физарный хрящ |
а) Метаэпифизарная пластинка - часть эпифиза,
примыкающая к диафизу и
сохраняющая (в отличие от остальной
части эпифиза) хрящевую структуру.
б) В ней имеются 3 зоны (по направлению от
эпифиза к диафизу):
пограничная - содержит
овальные хондроциты,
зона столбчатых клеток -
она-то и обеспечивает рост хряща в длину за счёт
размножения хондроцитов,
зона пузырчатого хряща -
граничит с диафизом и подвергается окостенению.
в) Таким образом,
одновременно происходят 2 процесса -
рост хряща (в столбчатой зоне) и
его замещение
костью (в пузырчатой зоне).
|

10.4.3. Факторы, влияющие
на состояние костей
На состояние
костной ткани оказывают влияние некоторые
витамины и гормоны.

10.4.3.1. Витамины
| |
Действие |
Изменения
при недостатке или избытке витамина |
| Витамин
С |
Участвуя в процессах
гидроксилирования, вит. С необходим
для созревания
коллагеновых волокон
(окисление пролина и лизина в гидроксипролин
и гидроксилизин; п. 9.2.3.1.I). |
а) Резкая форма авитаминоза С - цинга. б) Поражаются все
виды соединительной ткани: наблюдаются
кровоточивость
дёсен,
точечные кровоизлияния в коже и
внутренних органах,
остановка роста костей.
|
| Витамин
D |
Вит. D увеличивает всасывание Са в
желудочно-кишечном тракте и
отложение солей Са в
костях.
|
а) Резкая форма авитаминоза D - рахит.б)
Из-за недостаточной кальцификации костей,
происходит их
 размягчение и искривление.
|
| Витамин
А |
Вит А оказывает разные действия, в т.ч.
усиливает функцию остеокластов.
|
При гипервитаминозе А наблюдается
деструкция (разрушение) костей.
|

10.4.3.2. Гормоны
| |
Действие |
Изменения
при избытке или недостатке гормона |
| Паратгормон
(гормон паращитовидных желёз) |
Паратгормон (паратирин) повышает содержание
Са в крови, усиливая, в частности, его
вымывание из костей.
|
При избытке паратгормона развивается
фиброзный остит:
резорбция (рассасывание) кости и
образование на её месте фиброзной
ткани.
|
| Кальцитонин
(гормон щитовидной железы) |
Напротив, кальцитонин снижает концентрацию Са
в крови, усиливая
его поступление в кости.
|
Соответственно, при избытке кальцитонина
наблюдается избыточная
кальцификация костей.
|
| Половые
гормоны |
Половые гормоны стимулируют окостенение метаэпифизарной пластинки.
|
а) При раннем половом созревании имеет место преждевременная остановка роста костей.б)
А при позднем половом созревании руки и ноги
становятся непропорционально длинными. |
