Список препаратов по теме

BOOK

Содержание темы

5.1. Половые клетки

5.1.1. Общие свойства

5.1.1.1. Хромосомы
5.1.1.2. Развитие

5.1.2. Сперматозоиды

5.1.2.1. Головка
5.1.2.2. Хвост (жгутик)
5.1.2.3. Мембрана хвоста
5.1.2.4. Микрофотография

5.1.3. Яйцеклетки

5.1.3.1. Общая характеристика
5.1.3.2. Сравнение яйцеклеток по содержанию желтка
5.1.3.3. Сравнение яйцеклеток по числу оболочек
5.1.3.4. Яйцеклетки млекопитающих
5.1.3.5. Цитоплазма яйцеклетки
5.1.3.6. Редукционные тельца

5.2. Начальные стадии эмбриогенеза

5.2.1. Общая схема эмбриогенеза

5.2.1.1. Этапы развития зародыша
5.2.1.2. Этапы дифференцировки
5.2.1.3. Образование внезародышевых органов

5.2.2. Оплодотворение

5.2.2.1. Фазы оплодотворения
5.2.2.2. Просмотр препаратов

5.2.3. Дробление

5.2.3.1. Типы дробления и бластулы
5.2.3.2. Просмотр препаратов: дробление
5.2.3.3. Просмотр препаратов: бластулы

1. а) Рассмотрев в прошлом разделе общее строение клеток, обратимся к особому виду клеток - половым.
б) Их ключевая роль состоит в том, что слияние мужской и женской половых клеток даёт начало развитию нового организма, т.е. эмбриогенезу.

2. Также в данном разделе будут рассмотрены ранние стадии эмбриогенеза. Они важны потому, что ведут к образованию зачатков всех тканей и органов.

5.1. Половые клетки

Мужские половые клетки - это сперматозоиды,
женские - яйцеклетки.

5.1.1. Общие свойства

5.1.1.1. Хромосомы

1. а) И мужские, и женские половые клетки, в отличие от соматических, содержат

  гаплоидный набор ДНК (и хромосом).

б) Это значит, что в их ядрах - по 23 хромосомы (а не 46, как в соматических клетках).

2. Из этих хромосом 22 называются аутосомами, а одна - половой (поскольку определяет пол будущего организма).

3. а) У млекопитающих

  в яйцеклетке содержится половая хромосома Х,
а
в сперматозоидах - Х или Y.

4. а) Если в оплодотворении участвует сперматозоид с Y-хромосомой, создаётся мужской генотип XY.
б)
А если участвует сперматозоид с X-хромосомой, получается женский генотип ХХ.

5.1.1.2. Развитие

Развитие половых клеток имеет 3 особенности.

Очень раннее обособление а) Предшественники половых клеток обособляются (т.е. вступают на строго детерминированный путь дифференцировки) на очень ранних стадиях развития зародыша.

б) Развитие из них других клеток организма или, напротив, образование половых клеток из других предшественников исключено.

Наличие мейоза а) Последнее деление при созревании половых клеток проходит совершенно особым способом - путём мейоза (п. 4.2.1), который ни у каких больше клеток не встречается.

б) В результате мейоза и образуется гаплоидный набор хромосом в ядрах половых клеток.

Образование особой популяции клеток Предшественники половых клеток и сами эти клетки настолько отличны от прочих клеток, что

  не могут быть отнесены ни к какому из основных типов тканей организма (см. "Введение"). –

Они образуют совершенно особую популяцию клеток.

Подробно развитие мужских и женских половых клеток будет рассматриваться в темах 29-30.

5.1.2. Сперматозоиды

1. Препарат - сперматозоиды морской свинки. Окраска гематоксилином.

В сперматозоиде различают 2 части:

головку (1) и хвост (2).

Полный размер

5.1.2.1. Головка

Форма Головка может быть разной по форме (в зависимости от вида животного) -

от округлой, как на снимке,
до овально-веретеновидной.

Ядро    Основной компонент головки - клеточное ядро с гаплоидным набором конденсированных хромосом.

а) А. Плотность упаковки хромосом так велика, что

  объём ядра оказывается в 30 раз меньше,

чем у гаплоидных клеток, образующихся сразу после мейоза.

Б. Это достигается за счёт того, что основными ядерными белками являются не гистоны (п. 4.1.2.3), а другие основные белки, богатые аргинином и цистеином.

б) В таком конденсированном состоянии генетический материал более защищён от повреждений при прохождении сперматозоида через оболочки яйцеклетки.

в) Нуклеосомная организация хроматина либо отсутствует вовсе,  либо (по другим данным) имеет очень существенные особенности.

Акросома
а) Спереди большая часть ядра, как двойной шапочкой, покрыта
акросомой (3).

б) Акросома - это уплощённый пузырёк, происходящий из комплекса Гольджи и во многом сходный с лизосомой.


в) Он содержит
ферменты, необходимые для проникновения сперматозоида в яйцеклетку (коллагеназу, гиалуронидазу, акрозин, кислую фосфатазу и др.).
Плазмо-
лемма

Вся головка сперматозоида в целом, как и его хвост, окружена
плазматической мембраной.

а) В области головки эта мембрана содержит специальные белки. –
б) Одни из них заряжены отрицательно и способствуют (на малых расстояниях) направленному движению сперматозоида к яйцеклетке.
в) Другие белки участвуют в связывании с яйцеклеткой.

5.1.2.2. Хвост (жгутик)

Состав-
ные части
В хвосте различают 4 части:

шейку (I),

промежуточную часть (II),

основную часть (III),

концевую часть (IV).

Схема - строение сперматозоида млекопитающих.


Полный размер

I. Шейка а) Короткая шейка содержит 2 центриоли (1) - полые цилиндры из микротрубочек (п. 3.4.3.1).

б) От одной из центриолей начинается аксонема (2) хвоста.

Аксонема
а)
Аксонема идёт вдоль оси до самого конца хвоста.

б) Она имеет обычное для всех жгутиков и ресничек строение (п. 3.4.3.3), т.е. образована микротрубочками по схеме

(9 х 2) + 2

(девять дуплетов микротрубочек по окружности и пара одиночных микротрубочек в центре).

в) А. Микротрубочки взаимодействуют с помощью динеиновых ручек;
Б. за счёт этого происходит скольжение соседних дуплетов друг относительно друга, приводящее к биению хвоста.

г) Вокруг аксонемы в разных частях хвоста могут находиться те или иные структуры.

II. Проме-
жуточная часть
хвоста
  а) В промежуточной части (II) вокруг аксонемы -

9 т.н. наружных фибрилл (3) (играющих роль пассивных эластических структур) и

митохондриальная "оболочка" (4).

б) Последняя образована митохондриями, расположенными по спирали, витки  которой плотно прилегают друг к другу.

в) На препарате 1 эта часть видна как более плотный отдел хвоста.

III. Ос-
новная часть
В   основной части (III) хвоста вокруг аксонемы -

9 наружных фибрилл и
волокнистая оболочка (5) (тонкофибриллярное влагалище).

IV. Кон-
цевая часть

Наконец, в концевой части (IV) хвоста аксонема покрыта непосредственно плазматической мембраной (имеющейся и в остальных отделах хвоста).

5.1.2.3. Мембрана хвоста

Плазматическая мембрана хвоста играет большую роль в его движении.

Возбуж-
дение мембраны
а) Во-первых,   как и мембрана нервных клеток, плазмалемма хвоста сперматозоида способна к возбуждению и проведению возбуждения.

б) Возбуждение инициируется ацетилхолином, который вырабатывается в самом жгутике.

в) Ацетилхолин действует на рецепторы к нему, расположенные в мембране.
Это приводит к
резкому повышению проницаемости для ионов Na+ и Ca2+ , что и представляет собой   возбуждение мембраны.

Передача возбужде-
ния на аксонему

а)
Кроме того, с мембраной связана специальная система (протеинкиназная),
с помощью которой
возбуждение мембраны вызывает скольжение микротрубочек аксонемы (и, в конечном счёте, биение хвоста).

б) Обычная частота биения - 5 1/c ,
а скорость движения сперматозоида человека - 30-50 мкм/с.

5.1.2.4. Микрофотография

Электронная микрофотография - сперматозоид летучей мыши.

Вышеперечисленные структуры сперматозоида ещё раз рассмотрим на этой  микрофотографии.

1. а) В головке видно лишь только ядро (1), занимающее практически весь её объём.
б) Затемнение по периферии ядра, очевидно, обусловлено акросомой.

2. В поле зрения также - три части хвоста:

короткая шейка (2),
промежуточная часть (9)

и (на вставке)

основная часть (8).

3. В шейке - две центриоли:

проксимальная (3), от которой начинается аксонема (5),

и дистальная (4), имеющая кольцевую форму.

n43.jpg (32194 bytes)
4. В промежуточной части хвоста -

митохондрии (6), расположенные по спирали.

5. По всей длине хвоста идёт

аксонема (5), образованная микротрубочками по известной нам формуле
(9 х 2) + 2

(что ясно видно на поперечном срезе хвоста).

6. Сперматозоид покрыт плазмолеммой (7), которая, как мы только что говорили,

  в области головки участвует в таксисе и в связывании с яйцеклеткой,

  а в области хвоста способна к возбуждению.

n43.jpg (32194 bytes)

5.1.3. Яйцеклетки

Количество образующихся яйцеклеток у млекопитающих на много порядков меньше, чем сперматозоидов.

5.1.3.1. Общая характеристика

I. Сходные черты

Яйцеклетки разных животных имеют следующие сходные черты.

Форма и
размер
  По форме яйцеклетки - шаровидные,

а по размеру - обычно
гораздо крупнее, чем сперматозоиды.
Наличие желтка а) Большой объём связан с наличием в цитоплазме резервных компонентов.

б) Среди них - желток -

белково-липидные включения,

которые обеспечивают питательными веществами развитие зародыша (на всём протяжении или только на ранних стадиях).

Оболочки
Вокруг яйцеклетки обычно имеется
несколько оболочек (выполняющих трофическую или защитную функции).
Неподвиж-
ность
Наконец, яйцеклетки, в отличие от сперматозоидов, не могут самостоятельно передвигаться.


II. Различия

а) При всём сходстве, яйцеклетки животных значительно отличаются друг от друга, что связано с теми условиями, в которых происходит развитие зародыша.

б) Наиболее заметные различия касаются

количества и распределения желтка,
а также количества и характера оболочек.

5.1.3.2. Сравнение яйцеклеток по содержанию желтка

 

Классификация
по количеству
желтка

Классификация
по распределению
желтка в цитоплазме

Беспозвоночные
животные
Алецитальные яйцеклетки
(не содержат желтка).
------------
Примитивные
хордовые
(ланцетник)
Первично олиголецитальные яйцеклетки (небольшое количество желтка). Изолецитальные яйцеклетки (желток распределён равномерно).
Некоторые рыбы, амфибии Полилецитальные яйцеклетки (большое количество желтка) Умеренно телолецитальные яйцеклетки
(желток в большей мере сосредоточен у вегетативного полюса яйцеклетки).
Костистые рыбы, пресмыкающиеся, птицы Полилецитальные яйцеклетки Резко телолецитальные яйцеклетки
(желток занимает
почти всю яйцеклетку, кроме области анимального полюса, где находится ядро).
Млекопитающие
(в т.ч. человек)
Вторично
олиголецитальные

яйцеклетки
Изолецитальные яйцеклетки (опять - небольшое количество равномерно распределённого желтка).

Переход у млекопитающих к вторично олиголецитальным яйцеклеткам обусловлен тем,
что у этих животных развитие зародыша происходит внутриутробно и
собственные запасы питательных веществ в яйцеклетке необходимы для обеспечения только самых начальных стадий развития.

5.1.3.3. Сравнение яйцеклеток по числу оболочек

I. Перечень оболочек

Рыбы 1) Плотная желточная оболочка (поверх желтка);
2) наружная оболочка.
Пресмыкающиеся,
птицы
1) Желточная оболочка;
2) белковая оболочка;
3) волокнистая оболочка;
4) скорлупа.
Млекопитающие 1) Блестящая оболочка,
2) зернистая оболочка (из фолликулярных клеток),
3) соединительнотканная оболочка (тека).

Как видно, больше всего оболочек у яиц пресмыкающихся и птиц, т.к. развитие зародыша происходит в наиболее неблагоприятных условиях (внеутробно и на суше).


II. Замечание о яйцах птиц

Яйцо птиц не всегда содержит собственно яйцеклетку. –

а) В яйцеводе птицы яйцеклетка (каковой является т.н. желток будущего яйца) лишена многих оболочек.

б) А. Если при этом происходит её оплодотворение сперматозоидом,

то в отложенном яйце под всеми оболочками находится уже не яйцеклетка,
а многоклеточный зародыш на стадии бластулы или ранней гаструлы.

Б. Если же не происходит оплодотворения,

вокруг яйцеклетки также образуются оболочки,
но после этого она уже не может быть оплодотворена.

5.1.3.4. Яйцеклетки млекопитающих

I. Тип клеток в яичниках

Ооциты а) В яичниках млекопитающих содержатся  не яйцеклетки,
а их предшественники -

ооциты, находящиеся на той или иной стадии деления созревания (мейоза).

б) Поэтому   ядра  являются  не гаплоидными, а тетраплоидными (по  ДНК).

в) Таким образом,
если яйца птиц - это зачастую уже не яйцеклетки,
то половые клетки в яичниках животных - ещё не яйцеклетки.

Морфоло-
гическое сходство

а) Но по морфологии поздние ооциты очень похожи на яйцеклетки.

б) Поэтому приводимый ниже снимок дает достаточно полное представление о структуре яйцеклетки.

II. Характеристика клетки

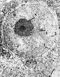
Форма Как видно, яйцеклетка имеет почти правильную округлую форму. 2,а. Препарат - яичник млекопитающего. Окраска гематоксилин-эозином.

Полный размер

Ядро В центре клетки - ядро (1), содержащее

глыбки гетерохроматина и
ядрышки (2).

Цито-
плазма
Цитоплазма (3) равномерно заполнена относительно небольшим количеством желтка.
Отсутствие центрио-
лей
а) В яйцеклетке (ооците) млекопитающих отсутствуют центриоли (клеточный центр).
б) Поэтому деления становятся возможными только после оплодотворения, когда в клетку проникают центриоли сперматозоида.

III. Оболочки

Оболочки ооцита 1-2. а) Вокруг ооцита находятся

блестящая оболочка (zona pellucida) (4) и
зернистый слой (5) из фолликулярных клеток.

б) Блестящая оболочка образована гликозамингликанами и гликопротеинами, которые продуцируются фолликулярными клетками и самой яйцеклеткой.

3. С наружной стороны зернистая оболочка ооцита ограничена базальной мембраной (6), за которой расположена

  соединительнотканная оболочка - тека (7).

Оболочки яйце-
клетки
1. На последующих стадиях созревания ооцита слой фолликулярных клеток резко утолщается и разделяется полостью;

так что непосредственно прилегающий к зрелому ооциту слой фолликулярных клеток (собственно зернистая оболочка) уже не лежит на базальной мембране, -

соответственно, нет последней у ооцита (яйцеклетки) и после овуляции (выхода половой клетки из яичника).

2. Также после овуляции ооцит (яйцеклетка) не имеет теку - остаются   только

блестящая и
зернистая оболочки.


IV. Дополнительный препарат: окраска по Маллори

2,б. Препарат - яичник млекопитающего. Окраска по Маллори.
1. При данной окраске (п. 1.1.3.3) более чётко выявляются перечисленные выше элементы:

ядро клетки (1),
ядрышки (2);
неоднородная цитоплазма (3);
толстая блестящая оболочка (4);
расположенные в несколько слоёв (в данном случае) фолликулярные клетки (5).

2. а) Видно, что граница между фолликулярными клетками и блестящей оболочкой - неровная и похожа на "лучистый венец".

Полный размер

б) Это связано с тем, что фолликулярные клетки имеют отростки, проникающие в блестящую оболочку.

3. Обратите также внимание, насколько превосходит яйцеклетка по своим размерам любую из фолликулярных клеток.

5.1.3.5. Цитоплазма яйцеклетки

При электронной микроскопии в цитоплазме яйцеклетки (или предшествующего ей ооцита) выявляются следующие структуры.

Желточные гранулы а) Наиболее характерные структуры - желточные гранулы (1).

б) Они обычно отграничены мембраной.

в) А. Содержимое гранул - фосфо- и липопротеины:

фосфовитин и
липовителлин.

Б. В центральной части гранул они формируют более плотные кристаллические структуры.

г) Эти вещества имеют, видимо, как эндо-, так и экзогенное происхождение:

часть из них образуется в ооците,
а часть - в печени животного.

Электронная микрофотография - яйцеклетка млекопитающего.

Полный размер

Мульти-
везикуляр-
ные тельца
а) Мультивезикулярные тельца (2) - это совокупность мелких пузырьков, заключённых в больший мембранный мешок.

б) Они

являются производными лизосом и
появляются
в процессе переваривания фагоцитированных частиц.

Кортикаль-
ные гранулы

а) Ещё один вид производных лизосом - кортикальные гранулы (3).

б) Они располагаются непосредственно под цитолеммой.

в) В них содержатся гидролитические ферменты, которые в процессе оплодотворения

выделяются в межклеточное пространство и
участвуют в т.н. кортикальной реакции (п. 5.2.2.1).

Белоксинте-
зирующая система

а)
Следующая особенность яйцеклеток - очень высокое содержание в цитоплазме компонентов белоксинтезирующей системы (на снимке не видны) -

рибосом, рРНК, мРНК, тРНК.

б) После оплодотворения они начинают активно образовывать белки зародыша.

Прочие компоненты
а) Плазматическая мембрана (4) яйцеклетки может образовывать микроворсинки.

б) Также на снимке мы видим уже известные нам структуры:

ядро (5) яйцеклетки, ядрышко (6),
блестящую оболочку (7),
фолликулярные клетки (8) и их отростки (9).

Последние пронизывают блестящую оболочку и контактируют с плазмолеммой яйцеклетки.

5.1.3.6. Редукционные тельца

Асиммет-
ричное распреде--
ление
цитоплазмы
при мейозе

а) Как известно (п. 4.2.1), при мейозе исходная тетраплоидная клетка (ооцит) подразделяется на четыре гаплоидные клетки.

б) Но при этом образуется лишь одна яйцеклетка, приобретающая практически всю цитоплазму ооцита вместе с её запасными питательными веществами.

в) Остальные же клетки - продукты мейоза - это т.н. редукционные тельца: они

получают лишь необходимую часть хромосом и
практически лишены цитоплазмы.

г) Редукционные тельца часто остаются под оболочками, окружающими яйцеклетку.

д) Их, в частности, можно видеть на следующем препарате.

Препарат а) В центре снимка - дочерние клетки, образующиеся после первого деления мейоза:

большая, с крупным ядром - ооцит второго порядка (1) - и

малая - редукционное тельце (2).

б) Обе клетки остаются под одной оболочкой (3), исходно окружавшей ооцит.

в). Оболочка - широкая, плотная, построена из хитина.

г) Заметим попутно, что

3. Препарат - яйцеклетка аскариды (редукционное тельце).
Окраска железным гематоксилином.

Полный размер

яйцеклетка аскариды считается алецитальной,

но на самом деле небольшие запасы питательных веществ имеются и здесь; только они не образуют гранул.

5.2. Начальные стадии эмбриогенеза

5.2.1. Общая схема эмбриогенеза

5.2.1.1.  Этапы развития зародыша

Последовательность событий, происходящих в ходе эмбрионального развития, в самом общем виде можно представить следующим образом.

Название этапа Название зародыша П О Я С Н Е Н И Е
Оплодотворение

Сперма-
тозоид

Яйце-
клетка

ЗИГОТА

1. Зигота - клетка, получающаяся в результате оплодотворения яйцеклетки.

2. В зиготе два ядра исходных клеток (пронуклеусы)

либо сливаются в единое ядро,

либо (у ряда животных и человека) переходят в митотическое состояние, не сливаясь друг с другом.

I. Дробление

МОРУЛА

БЛАСТУЛА

1. При дроблении зигота делится на более мелкие клетки –
так, что
объём зародыша не увеличивается.

2. а) Вначале образуется морула - плотное скопление клеток.

б) А. При дальнейшем дроблении между клетками появляется полость (бластоцель).

Б. Зародыш называется бластулой,
а его стенка -
бластодермой.

II. Гаструляция

ГАСТРУЛА

Клетки зародыша образуют три листка:

наружный - эктодерму,
средний - мезодерму,
внутренний - энтодерму.

III. Формирование комплекса осевых зачатков

ЗАРОДЫШ С КОМПЛЕКСОМ ОСЕВЫХ ЗАЧАТКОВ

1. Из материала зародышевых листков образуются осевые зачатки:

а) нервная трубка,
б)
хорда,
в) первичная кишка,
г) сомиты (включают дерматом, миотом, склеротом)
д) нефрогонотомы,
е) спланхнотомы.

2. Из зародышевых листков выделяется мезенхима (источник развития ряда тканей).

3. Тело зародыша обособляется от внезародышевых органов.

IV. Формирование зачатков тканей, органов и систем (начальный гисто- и органогенез)


ПЛОД С ОСНОВНЫМИ СИСТЕМАМИ ОРГАНИЗМА

Из осевых зачатков и из мезенхимы формируются зачатки практически всех органов.
V. Дальнейшее  развитие тканей органов и систем (дефинитивный гисто- и органогенез)

ЗРЕЛЫЙ ПЛОД

Зачатки тканей и органов путём дальнейшей дифференцировки превращаются в полноценные ткани и органы.
Роды или вылупление из яйца

НОВО-
РОЖДЁННЫЙ

--------------

5.2.1.2.  Этапы дифференцировки

а) А. Итак, в процессе эмбриогенеза из одной клетки - зиготы - образуется множество разных клеток, объединённых в сложные структурные образования - ткани, органы и целый организм.
Б. В частности, организм человека включает около
2·1013  клеток.

б) Подобное развитие есть результат дифференцировки, которая начинается с самой зиготы.

в) Соответственно этапам развития зародыша, различают несколько этапов дифференцировки в эмбриогенезе.

Оотипичес-
кий этап
а) Реализуется на стадии яйцеклетки и зиготы.

б) На данном этапе существуют биохимические различия не между отдельными клетками, а

между различными участками цитоплазмы зиготы;

эти участки называются презумптивными.

в) Попадая при дроблении в тот или иной бластомер, каждый такой участок определяет направление дальнейшей дифференцировки этого бластомера.

Бластомер-
ный этап
а) Здесь имеются биохимические и морфологические различия между бластомерами,
которые усиливаются по мере дробления.

б) До стадии 4-8 бластомеров различия ещё не очень велики (почему возможно появление однояйцевых близнецов),
     а затем становятся необратимыми.

Прочие
этапы
Дальнейшие этапы дифференцировки соответствуют

образованию зародышевых листков,
появлению зачатков тканей (ранний гистогенетический этап),
окончательному формированию тканей и органов (поздний гистогенетический этап).

Появление дифферонов а) Особенность гистогенетического этапа состоит в том, что лишь на данном этапе появляются диффероны клеток.

б) Каждый дифферон - это совокупность клеточных форм, составляющих линию дифференцировки -

от стволовой клетки до полностью дифференцированных клеток.

5.2.1.3.   Образование внезародышевых органов

1. а) В процессе эмбриогенеза, кроме зачатков и органов самого зародыша, формируются также внезародышевые органы -

амнион,
желточный мешок,
аллантоис,
серозная оболочка.

б) У млекопитающих вместо серозной оболочки образуется её аналог - хорион,
который, в свою очередь, с участием слизистой оболочки матки образует затем более сложный орган -
плаценту.

2. В зависимости от вида животных, формирование внезародышевых органов происходит

либо одновременно с образованием осевых зачатков органов,
либо начинается ещё раньше - на стадии гаструляции.

а) А. Ниже в этой и в последующей теме будут освещены (с общебиологических позиций) начальные этапы  развития зародыша (до формирования зачатков органов и систем).

Б. Конкретное их протекание у человека излагается в темах 31-32.

б) Последующие этапы развития плода рассматриваются в курсе анатомии.

5.2.2. Оплодотворение

5.2.2.1. Фазы оплодотворения

В оплодотворении обычно различают 3 фазы, но в нижеследующем описании добавлена ещё одна (четвёртая) фаза.

I. Сближение и дистантное взаимодействие гамет

Механизмы движения гамет а) Сближение происходит за счёт

пассивного движения яйцеклетки (ооцита с   оболочками) вместе с током жидкости (по яйцеводу к матке) и
активного направленного движения сперматозоидов.

б) Вначале (на больших растояниях от яйцеклетки) сперматозоиды двигаются против тока жидкости - отрицательный реотаксис.

в) На малых расстояниях могут иметь значение

хемотаксис - движение по градиенту концентрации гиногамонов - специальных химических веществ, выделяемых яйцеклеткой, а также

электротаксис - электрическое взаимодействие между разноимённо заряженными белками гамет.

Капацитация
а) Одновременно происходит
капацитация - процесс, в результате которого

  мембраны головки и акросомы сперматозоидов приобретают лабильность

(что необходимо для разрыва акросомы и высвобождения её содержимого).

б) Этому способствуют гормоны - адреналин (содержится в семенной жидкости) и прогестерон (выделяется яичником).


II.
Контактное взаимодействие гамет

Связывание гамет Достигая яйцеклетки, большое количество сперматозоидов   связывается с её внешней (зернистой) оболочкой.
Акросомная реакция Это вызывает развитие у всех этих сперматозоидов акросомной реакции. -

а) Плазмолемма головки и акросома разрываются.

б) Ферменты акросомы вызывают

диссоциацию и удаление фолликулярных клеток,
размягчение прилегающего участка блестящей оболочки.

Прикреп-
ление к плазмолемме
а) Один из сперматозоидов, первый преодолевший эти оболочки, прикрепляется к плазмолемме яйцеклетки.

б) В данном месте образуется выпячивание цитоплазмы яйцеклетки - воспринимающий бугорок.


III
. Проникновение сперматозоида в яйцеклетку

Собственно проникно-
вение
В области воспринимающего бугорка в яйцеклетку проникают головка и часть хвоста сперматозоида - в т.ч., следовательно,

  ядро и центриоли.

Кортикальная реакция а) Это (путём изменения потенциала мембраны яйцеклетки) стимулирует кортикальную реакцию. -

  За счёт кортикальных гранул (высвобождающих своё содержимое) создаётся перивителлярное пространство между плазмолеммой и блестящей оболочкой.

Сама же блестящая оболочка уплотняется (в ней образуется много поперечных связей и появляется ещё гиалиновый слой).

б) Поэтому другие сперматозоиды в яйцеклетку не проникают.


IV. Подготовка зиготы к дроблению

Набухание и сближение ядер а) В образовавшейся зиготе происходит набухание и сближение ядер.

б) В частности, в мужском ядре хромосомы переходят из резко конденсированного состояния в диффузное (за счёт разрыва дисульфидных связей между ядерными белками).

в) Набухшие ядра называются пронуклеусами,
а два таких сближенных ядра - синкарионом.

г) Как отмечалось (п. 5.2.1), у человека пронуклеусы в единое ядро не сливаются.

Удвоение ДНК и центриолей а) В процессе сближения ядер в каждом из них происходит удвоение ДНК (хромосомы, находясь в диффузном состоянии, приобретают двухроматидную структуру).

б) Удваиваются также пришедшие со сперматозоидом центриоли (в яйцеклетке млекопитающих, как отмечалось, их нет).

в) В цитоплазме зиготы активизируются обменные процессы.

Начало первого деления Когда пронуклеусы переходят в соприкосновение, их оболочки разрушаются и начинается первое митотическое деление:

хромосомы конденсируются и
в метафазе образуют единую материнскую звезду.

Всё это время продолжается медленное пассивное перемещение яйцеклетки (а затем - зиготы) по яйцеводу к матке.

5.2.2.2. Просмотр препаратов

4-6. Препараты - оплодотворение у лошадиной аскариды. Окраска железным гематоксилином.
4. Стадия контактного взаимодействия.

1. На снимке виден сперматозоид (1), связавшийся с хитиновой оболочкой яйцеклетки (2).

2. Пара контактирующих гамет (3) обнаруживается и в нижней части поля зрения.

Полный размер

5,а. Стадия проникновения. (Малое увеличение).

В данном случае

оболочка яйцеклетки (1) потеряла свою целостность,

и через неё проникает несколько сперматозоидов (2 - 4).

Полный размер

5,б. Стадия проникновения. (Большое увеличение).

1. а) При этом увеличении видно, что через плазмолемму проникли головка и часть хвоста лишь одного сперматозоида (2).

б) Остальные сперматозоиды (3,4) находятся вне яйцеклетки.

2. а) Причём, головка проникающего сперматозоида (2) ориентирована не перпендикулярно поверхности яйцеклетки, а почти по касательной к ней.

б) Это достаточно характерно: обычно именно так и происходит процесс проникновения.

Полный размер


6. Стадия синкариона.

1. В центре поля зрения - зигота (1), содержащая два рядом расположенных диффузных ядра (2-3).

2. а) Это мужской и женский пронуклеусы, образующие вместе синкарион.

б) Более крупный и светлый пронуклеус (2) является женским, второй (3) - мужским.

Полный размер

5.2.3. Дробление

5.2.3.1. Типы дробления и бластулы

1. Дробление, как отмечалось, идёт без роста дочерних клеток, отчего объём зародыша не меняется.
2. Тип дробления и образующейся в итоге бластулы зависит от количества и распределения желтка в цитоплазме.

I. БЕСПОЗВОНОЧНЫЕ И ПРИМИТИВНЫЕ ХОРДОВЫЕ

(Яйцеклетка – алецитальная или первично олиго- и изолецитальная)

1. Дробление - полное и равномерное (все части зиготы делятся одинаково).

2. Образуется целобластула:

однослойная,
с полостью в центре.


II. НЕКОТОРЫЕ РЫБЫ, АМФИБИИ

(Яйцеклетка - умеренно телолецитальная)

1. Дробление -
а)
полное (дробятся все части зиготы),
б)
неравномерное (на вегетативном полюсе зародыша клетки намного крупнее),
в)
асинхронное (клетки вегетативного полюса делятся медленней).

2. Образуется амфибластула:

её стенка (бластодерма) - многослойная;

полость смещена к крыше (анимальному полюсу);

в области дна (вегетативного полюса) клетки крупнее;

область между крышей и дном называется краевой зоной.


III. КОСТИСТЫЕ РЫБЫ, ПРЕСМЫКАЮЩИЕСЯ, ПТИЦЫ

(Яйцеклетка - резко телолецитальная)

1. Дробление - частичное (неполное):
дробится лишь апикальная часть зиготы (где находится ядро).

2. Формируется дискобластула:

зародышевый диск (из образовавшихся клеток) располагается на желтке.


IV. МЛЕКОПИТАЮЩИЕ (В ТОМ ЧИСЛЕ ЧЕЛОВЕК)

(Яйцеклетка – вторично олиголецитальная)

1. Дробление -
а)
полное,
б) асинхронное (клетки делятся не одновременно),
в) отчасти
неравномерное (но не столь резко, как у амфибий).

2. Образуется бластоциста (зародышевый пузырёк). Содержит

трофобласт - однослойную стенку (даёт затем внезародышевые органы);

эмбриобласт - скопление бластомеров (в виде узелка) на внутренней поверхности трофобласта у одного из полюсов,

бластоцель - полость.

5.2.3.2. Просмотр препаратов: дробление

I. Полное равномерное дробление

7,а-б. Препарат - полное равномерное дробление. Стадия двух бластомеров.
1. В центре поля зрения - зародыш аскариды, в котором практически полностью завершилось первое деление дробления.

2. а) Зигота разделяется полностью (дробление - полное),

б) а дочерние клетки (бластомеры (1-2) ) одинаковы по размеру (дробление - равномерное).

3. При этом бластомеры меньше исходных яйцеклеток (3-4).

а) Зародыш аскариды.
Окраска железным гематоксилином.

Полный размер

1. а) А здесь на снимке - зародыш морского ежа, тоже на стадии двух бластомеров (1).

б) Последние по размеру вновь одинаковы.

2. Отличием от зародыша аскариды является лишь отсутствие хитиновой оболочки.

б) Зародыш морского ежа.
Окраска пикрофуксином.

Полный размер


II. Полное неравномерное дробление

8. Препарат - полное неравномерное дробление (зародыш лягушки).
Стадия 4-х бластомеров. Окраска пикрофуксином.
1. В данном случае (у зародыша лягушки) дробление вновь является полным, т.к. поделились все части яйцеклетки.

2. а) Но бластомеры (1-2) на анимальном полюсе намного меньше бластомеров (3-4) на вегетативном полюсе.

б) Т.е. дробление - неравномерное.

Полный размер

5.2.3.3. Просмотр препаратов: бластулы

I. Целобластула

9. Препарат - бластула морского ежа. Окраска железным гематоксилином.

1. В результате полного равномерного дробления получается
целобластула, которую мы видим на снимке.

2. а) Её стенка (бластодерма (1)) везде одинакова по толщине,
отчего полость (
бластоцель (2)) находится в центре.

б) Таким образом, бластула представляет собой полый шар.

Полный размер

3. а) Клетки в бластодерме морского ежа всегда располагаются в один слой.

б) Но на снимке это не видно, поскольку изображения клеток, расположенных в разных плоскостях среза, наслаиваются друг на друга.


II. Амфибластула

10. Препарат - бластула лягушки. Окраска железным гематоксилином.
1. В данном случае
дробление было
полным неравномерным,
и образовалась амфибластула.

2. Как видно,

бластоцель (1) располагается асимметрично,
а бластодерма (2) является многослойной.


3. а) В области
крыши (3) клетки - мелкие,
б) в области дна (4) - более крупные и заполнены гранулами желтка.

4. Между крышей и дном бластулы находится краевая зона (5) с промежуточными по размеру клетками.

Полный размер


III. Дискобластула

11. Препарат - бластула птицы. Окраска железным гематоксилином.

1. Дробление у птиц -
неполное, что приводит к дискобластуле.

2. На снимке мы видим зародышевый диск (1).

3. Под ним - узкая бластоцель (2)
и затем - нераздробившийся желток (3), состоящий из крупных гранул.

(Основная часть желтка на снимке не видна.)

Полный размер