
BOOK
Содержание темы
3.1. Общий обзор
3.1.1. Состав
цитоплазмы
3.1.2.
Демонстрация включений
3.1.2.1. Включения
гликогена
3.1.2.2. Жировые
включения
3.1.3. Классификация органелл цитоплазмы
3.1.3.1. Мембранные
органеллы
3.1.3.2.
Немембранные органеллы
3.1.4.
Схема строения клетки
3.2. Вакуолярная система цитоплазмы
3.2.1.
Гранулярная ЭПС
3.2.2.
Комплекс Гольджи
3.2.2.1.
Основные сведения
3.2.2.2.
Электронное и световое изображения
3.2.3.
Агранулярная (гладкая ЭПС)
3.2.3.1.
Особенности структуры
3.2.3.2. Функции
гладкой ЭПС
3.2.4. Лизосомы
3.2.4.1.
Функция лизосом
3.2.4.2. Виды лизосом
3.2.4.3.
Выявление лизосом при световой микроскопии
3.2.5. Пероксисомы
3.3.
Рибосомы и митохондрии
3.3.1. Рибосомы
3.3.1.1. Структура
и виды рибосом
3.3.1.2. Проблема фолдинга белков
3.3.1.3.
Цитохимическое обнаружение рибосом по РНК
3.3.2. Митохондрии
3.3.2.1. Строение
3.3.2.2. Функции
3.3.2.3.
Вариабельность структуры митохондрий
3.3.2.4. Световая
микроскопия
3.4.
Цитоскелет и его производные
3.4.1. Микрофиламенты и их производные
3.4.1.1.
Микрофиламенты
3.4.1.2. Микроворсинки
3.4.2.
Промежуточные филаменты
3.4.3. Микротрубочки и их производные
3.4.3.1.
Микротрубочки
3.4.3.2. Центриоли
3.4.3.3. Реснички и
жгутики

3.1. Общий обзор

3.1.1. Состав
цитоплазмы
Цитоплазма клетки
содержит следующие компоненты.
1.
Гиалоплазма (цитозоль) |
а) Гиалоплазма - это матрикс цитоплазмы, в котором
находятся её структуры. б)
Представляет собой водный раствор
неорганических
ионов,
органических
метаболитов,
биополимеров
(белков, полисахаридов, транспортных РНК и т.д.).
в) Некоторые макромолекулы
могут объединяться (путём самосборки) в те или
иные комплексы и структуры. |
2.
Органеллы |
а) Органеллами называют такие микроструктуры цитоплазмы,
которые присутствуют практически во всех
клетках и выполняют жизненно важные функции. б) Их делят на два типа.
Мембранные органеллы - отграничены
собственной мембраной от окружающей
гиалоплазмы, т.е. представляют собой закрытые
компартменты.
Немембранные органеллы - структуры, не
окружённые мембраной.
|
3.
Включения |
а) Включения -
необязательные компоненты цитоплазмы; они
возникают и исчезают в зависимости от состояния
клетки. б) Различают 4
типа включений.
I. Трофические
(капельки жиров, гранулы
полисахаридов и т.д.) - резервные запасы
питательных веществ.
II – III. Секреторные и экскреторные
включения - обычно это
мембранные пузырьки, содержащие вещества,
подлежащие выведению из клетки;
в
одном случае (II) это биологически активные вещества
(секреты клетки) (п. 2.2.2.3),
в
другом случае (III) - ненужные продукты обмена.
IV. Пигментные включения –
экзогенные
(красители, провитамин А и т.д.),
эндогенные
(меланин, гемосидерин (комплекс белка с железом) и
др.).
|

3.1.2. Демонстрация
включений

3.1.2.1. Включения
гликогена
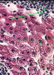
| 1,а-б. Препарат -
включения гликогена в клетках печени. Окраска по
Бесту. |
а) (Малое увеличение)

Полный размер |
б) (Большое увеличение)

Полный размер |
| 1. На снимках видны клетки печени
(гепатоциты) с ядром (1) фиолетового цвета. 2. В
цитоплазме - многочисленные глыбки
гликогена (2), окрашенные
в ярко-красный цвет. |

3.1.2.2. Жировые
включения
| 2. Препарат - жировые
включения в клетках печени аксолотля. Фиксация
осмиевой кислотой, окраска кармином. |
| 1. а) При фиксации осмиевой кислотой
жировые капли, будучи осмиофильными, поглощают
фиксатор. б) Поэтому при последующей окраске
кармином
прочие
структуры приобретают красноватый
оттенок,
а жировые капли, содержащие
соединения осмия, сохраняют чёрный цвет.
2. В
соответствии с этим, в цитоплазме печеночных
клеток мы видим чёрные жировые включения (1) разного размера. |

Полный размер |

3.1.3. Классификация
органелл цитоплазмы
Далее речь будет идти
только об органеллах. Вот их краткий перечень.

3.1.3.1. Мембранные
органеллы
I.
Вакуо-
лярная система цито-
плазмы |
1. Эндоплазма-
тическая сеть |
а) Другое название -
эндоплазматический ретикулум.
б) Это совокупность плоских
мембранных мешков (цистерн), вакуолей и трубочек. |
| 2. Комплекс (аппарат) Гольджи |
- Скопление 5-10
лежащих друг на друге плоских
мембранных цистерн, от которых
отшнуровываются мелкие пузырьки. |
| 3. Лизосомы |
- Мембранные пузырьки,
содержащие ферменты гидролиза
биополимеров (протеазы, нуклеазы,
гликозидазы, липазы и т.д.). |
4. Перокси-
сомы |
- Мембранные пузырьки,
содержащие оксидазы - ферменты
окисления субстратов непосредственно
кислородом. |
| II.
Митохондрии |
- Органеллы, отграниченные (как и ядро)
двумя мембранами,
из которых внутренняя образует многочисленные
впячивания (кристы) внутрь митохондрии. |

3.1.3.2. Немембранные
органеллы
| III.
Рибосомы |
- Небольшие частицы
из двух субъединиц рибонуклеопротеидной природы.
|
IV.
Цито-
скелет и его произ-
водные * |
1,а. Микро-
филаменты |
- Нити из белка актина (d = 5 – 7 нм),
пронизывающие гиалоплазму в тангенциальном направлении (вдоль длинной оси
клетки или её отростка).
|
1,б. Микро-
ворсинки |
- Выпячивания
цитоплазмы, каркас которых составляют
параллельные пучки микрофиламентов. |
2. Проме-
жуточные филаменты |
- Нити (d =
10 нм), чей белковый
состав различен в клетках разных тканей. |
3,а. Микро-
трубочки |
- Полые трубки (d = 24 нм) из белка тубулина, имеющие, в
основном, радиальную ориентацию в клетке. |
| 3,б. Центриоли |
- Пара полых
цилиндров, образованных микротрубочками и лежащих возле ядра. |
| 3,в. Реснички и жгутики |
- Выпячивания
цитоплазмы, каркас которых составляет аксонема - полый цилиндр из микротрубочек. |
* Замечания.
1. Под буквами а
названы органеллы
цитоскелета (микрофиламенты,
микротрубочки),
а под последующими буквами - их производные.
2. а) Причём, такие производные
цитоскелета, как микроворсинки,
реснички и жгутики, имеются не во всех
клетках и поэтому к
органеллам (в с
соответствии с их определением) отнесены быть не могут.
б) Тем не менее, из-за
тесной связи с соответствующими органеллами
(микрофиламентами и микротрубочками), они
включены в таблицу и в последующее изложение.

3.1.4. Схема
строения клетки
Теперь рассмотрим
перечисленные в таблице структуры подробнее.

3.2. Вакуолярная
система цитоплазмы
Эндоплазматическая сеть
(ЭПС) делится на два типа - гранулярную и
агранулярную (или гладкую).

3.2.1. Гранулярная
ЭПС
| Общий
вид |
Как видно на
микрофотографии, ЭПС (1), действительно, представляет
собой совокупность плоских мешков
(цистерн), вакуолей и трубочек, заполняющих
значительную часть цитоплазмы. |
Электронная
микрофотография -
гранулярная
эндоплазматическая
сеть.
Полный размер |
Особен-
ность |
а) Особенность
гранулярной ЭПС состоит в том, что со
стороны гиалоплазмы мембранная сеть покрыта
мелкими гранулами - рибосомами. б) В связи с этим,
иногда используют другой термин - шероховатый ретикулум. |
| Функции |
1. а) На
рибосомах гранулярной ЭПС синтезируются такие
белки, которые затем
либо
выводятся из клетки (экспортные белки),
либо
входят в состав определённых мембранных
структур (собственно мембран, лизосом и т.д.).
б) При этом синтезируемая
на рибосоме пептидная цепь проникает
своим лидерным концом через мембрану в полость ЭПС, где затем оказывается весь
белок и формируется его третичная структура.
2. Здесь же (в просвете
цистерн ЭПС) начинается модификация
белков - связывание их с
углеводами или иными компонентами. |
| Перечень
функций |
В итоге,
можно перечислить следующие
функции гранулярной ЭПС:
синтез на рибосомах
пептидных цепей экспортируемых, мембранных,
лизосомных и т.п. белков,
изоляция этих белков от
гиалоплазмы внутри мембранных полостей и
концентрирование их здесь,
химическая модификация
этих белков, а также
их транспорт (внутри ЭПС и
с помощью отдельных пузырьков).
|
| Вывод |
а) Таким
образом, наличие в клетке хорошо развитой
гранулярной ЭПС свидетельствует о высокой
интенсивности белкового синтеза - особенно в
отношении секреторных белков. б) В частности, это имеет место
в клетках, синтезирующих гормоны белковой
природы.
|

3.2.2. Комплекс
Гольджи

3.2.2.1. Основные
сведения
| Связь
с ЭПС |
Белки,
синтезированные на гранулярной
эндоплазматической сети, перемещаются по
внутреннему её пространству или в составе
транспортных пузырьков к комплексу
Гольджи (1). |
| Общий
вид |
а) Как уже
отмечалось, это скопление плоских мембранных
цистерн, лежащих параллельно друг другу. б) Каждое такое
скопление называется диктиосомой.
в) В клетке может быть
много диктиосом, соединённых с ЭПС и друг с
другом цистернами и трубочками. |
Схема -
функционирование комплекса Гольджи. 
Полный размер |
| Функции |
а) В комплексе Гольджи продолжается модификация белков - в т.ч. за счёт образования и
связывания их небелковых компонентов (углеводов
и др.).б) Конечные
продукты этого синтеза, накапливаясь в
достаточно большом количестве, организуются в мембранные
пузырьки, которые
отшнуровываются от цистерн комплекса Гольджи.
|
Судьба
пузырь-
ков |
1. а) Те пузырьки (2),
которые содержат экспортные или мембранные
белки, перемещаются
к плазмолемме. б) Здесь их мембраны сливаются с
плазмолеммой, что приводит к высвобождению
белков за пределы клетки или вхождению их в
состав мембран.
2. Другие пузырьки
(содержащие гидролитические ферменты)
становятся лизосомами. |
Поляр-
ность диктио-
сом |
а) По
положению и функции, в диктиосомах различают 2
части:
проксимальная (cis-) часть обращена к ЭПС,
противоположная
часть называется
дистальной (trans-).
б) При этом
к
проксимальной части
мигрируют пузырьки от гранулярной ЭПС,
обрабатываемые" в
диктиосоме белки постепенно перемещаются от проксимальной части к
дистальной и, наконец,
от
дистальной части
отпочковываются секреторные пузырьки и
первичные лизосомы.
|
| Перечень
функций |
Итак, перечень
основных функций комплекса Гольджи таков:
сегрегация (отделение) соответствующих
белков от гиалоплазмы и концентрирование их,
продолжение химической модификации этих белков,
сортировка данных белков на
лизосомальные, мембранные и экспортные,
включение белков в состав соответствующих
структур (лизосом, секреторных пузырьков,
мембран).
|

3.2.2.2. Вид под
микроскопом
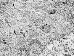
I. Электронная
микроскопия
| В отличие от
предыдущей схемы, здесь мы видим, как реально
выглядит комплекс Гольджи. 1. На снимке - несколько диктиосом (1), а также - участок гранулярной эндоплазматической сети (2) и ядро (3) клетки.
2. Между
гранулярной ЭПС и диктиосомой - мелкие транспортные пузырьки (4).
3. Среди более
крупных везикул (5) одни являются секреторными
гранулами, а другие - лизосомами. |
Электронная
микрофотография -
комплекс Гольджи.
Полный размер |
II. Световая микроскопия
| 3,а-б. Препарат -
пластинчатый комплекс Гольджи (в клетках
спинномозгового узла). Импрегнация осмием. |
а) (Малое
увеличение)
 Полный
размер |
б) (Большое
увеличение)
Полный размер |
| 1. а) Липидные
компоненты клеточных мембран (как и жировые
капли) прокрашиваются осмием. б) Поэтому на снимках хорошо видны
границы клеток (1) и скопления мембран в области диктиосом (2): они приобретают чёрный цвет.
в) Диктиосомы
расположены вокруг ядра (3).
2. Вместе
совокупность диктиосом на таких препаратах
выглядит как сетчатая структура, отчего комплекс
Гольджи ещё называют
внутренним сетчатым аппаратом.
|

3.2.3. Агранулярная
(гладкая ЭПС)

3.2.3.1. Особенности
структуры
I. Обычные клетки
| Электронная
микрофотография - гладкая эндоплазматическая
сеть. |
| 1.
Гладкая ЭПС отличается от гранулярной отсутствием связанных
рибосом. 2. а) Обычно в её состав входят
соединяющиеся друг с другом небольшие вакуоли и трубочки (1).
б) При
ультрацентрифугировании клеточного гомогената
эти структуры, дробясь на мелкие пузырьки,
образуют фракцию т.н. микросом. |
 Полный размер |
II. Мышечные волокна
1. В скелетных и
сердечных мышцах гладкая
ЭПС (1)
называется саркоплазматической сетью (от
греч. sarcos - мясо) и
окружает миофибриллы
(2) .
2. а) Конечные
цистерны (3) этой
сети контактируют с глубокими впячиваниями плазмолеммы в
волокно - т.н. Т-трубочками (4).
б) Благодаря
этому, возбуждение с плазмолеммы передаётся на
мембраны саркоплазматической сети.
3. Кроме этого , на схеме обозначены:
А-диск (А), И-диск (И),
митохондрия (5).
|
Схема -
саркоплазматическая
сеть.
Полный размер |

3.2.3.2. Функции
гладкой ЭПС
Гидроксили-
рование |
а) В мембраны
гладкой ЭПС встроены ферменты гидроксилирования - особого способа окисления, которое
иногда называется микросомальным. Оно используется
при синтезе
многих липидов
(напр., стероидных гормонов) и
для обезвреживания различных вредных веществ.
б) Поэтому гладкая ЭПС
развита
в клетках, синтезирующих стероидные
гормоны (кора надпочечников, соответствующие
клетки гонад);
в клетках печени - особенно после
отравлений (детоксикация
веществ).
в) Но и в остальных клетках
липидные компоненты различных мембран, видимо,
образуются при участии гладкой ЭПС. Таким
образом,
синтез
мембранных белков связан с гранулярной
ЭПС,
а синтез мембранных липидов - с
агранулярной ЭПС.
|
Аккумуля-
ция Са2+ |
а) В волокнах
скелетных и сердечной мышц цистерны
саркоплазматической сети концентрируют ионы Са2+ . б) После
возбуждения плазмолеммы эти ионы высвобождаются
в гиалоплазму (саркоплазму) и стимулируют
сокращение. |

3.2.4. Лизосомы
Выше уже
отмечалось,
что лизосомы - это мембранные пузырьки,
содержащие ферменты гидролиза биополимеров,
и что образуются они, отпочковываясь от
цистерн комплекса Гольджи.
|

3.2.4.1. Функция лизосом
а) Функция лизосом - внутриклеточное
переваривание макромолекул. Причём, в лизосомах разрушаются
как
отдельные макромолекулы (белки, полисахориды и
т.д.),
так и целые структуры -
органеллы, микробные частицы и пр.
б) Это могут быть вещества
и структуры той же самой клетки;
в результате, обеспечивается самообновление состава клетки (при условии
одновременно идущих процессов синтеза и сборки).
в) Но, кроме того, в
лизосомах разрушаются и продукты эндоцитоза, т.е. растворённые вещества или
твёрдые частицы, захваченные клеткой из окружающей среды. |

3.2.4.2. Виды лизосом
| В соответствии с вышесказанным,
различают 3 типа лизосом, которые представлены на
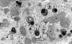
электронограмме. |
Электронная
микрофотография –
лизосомы. |
| Первичные
лизосомы (1) |
а) Данные лизосомы имеют гомогенное содержимое. б) Очевидно, это вновь образованные лизосомы с исходным раствором ферментов. |
 Полный размер |
| Вторичные
лизосомы (2) |
а) Вторичные лизосомы образуются
либо путём слияния первичных лизосом с
пиноцитозными или фагоцитозными вакуолями,
либо путём захвата
собственных макромолекул и органелл клетки.
б) Поэтому вторичные
лизосомы
обычно
больше по размеру первичных,
а их содержимое часто является неоднородным: например, в нём обнаруживаются
плотные тельца.
в) При наличии таковых
говорят о
фаголизосомах (гетерофагосомах)
или аутофагосомах
(если данные тельца - фрагменты собственных
органелл клетки).
г) При различных
повреждениях клетки количество аутофагосом
обычно возрастает. |
Тело-
лизосомы |
а) Телолизосомы, или остаточные (резидуальные) тельца, появляются тогда,
когда внутрилизосомальное переваривание
не приводит к полному разрушению захваченных
структур.
б) При этом
непереваренные остатки (фрагменты
макромолекул, органелл и других частиц) уплотняются,
в них часто
откладывается пигмент,
а сама лизосома во
многом теряет свою гидролитическую активность.
в) А. В неделящихся
клетках накопление телолизосом становится
важным фактором старения.
Б. Так, с возрастом в
клетках мозга, печени и в мышечных волокнах
накапливаются телолизосомы с т.н. пигментом
старения - липофусцином. |

3.2.4.3. Выявление
лизосом при световой микроскопии
| 4. Препарат - накопление
краски макрофагами. Окраска инъекцией туши,
гематоксилином и эозином. |
| 1. а) Чтобы выявить
фагосомы и фаголизосомы при световой
микроскопии, животному in
vivo вводят
в кровь краску. б) Её
частицы захватываются специальными клетками
(макрофагами), находящимися в стенке капилляров
печени и в перикапиллярном пространстве других
органов.
в) После приготовления
гистологического препарата фагосомы и
фаголизосомы обнаруживаются в макрофагах по
наличию частиц краски.
2. Так, на снимке мы видим
отдельно лежащие макрофаги
(1), а в их
цитоплазме - синие частицы
краски (2). |
 Полный размер |

3.2.5. Пероксисомы
Образо-
вание |
Пероксисомы (1), видимо, как и
лизосомы, образуются путём отшнуровывания
мембранных пузырьков от цистерн комплекса
Гольджи. |
Содержи-
мое и функции |
1. Однако пероксисомы содержат иной набор ферментов. а) В основном, это оксидазы аминокислот.
Они
катализируют прямое взаимодействие
субстрата с кислородом;
причём,
последний превращается в пероксид водорода, Н2О2 - опасный для клетки окислитель.
|
Электронная
микрофотография –
пероксисома.
Полный размер |
| б) Поэтому
пероксисомы содержат и каталазу - фермент, разрушающий Н2О2 до воды и кислорода. 2. Иногда в
пероксисомах обнаруживается кристаллоподобная структура (2) -
нуклеоид. |

3.3. Рибосомы и
митохондрии

3.3.1. Рибосомы

3.3.1.1. Виды и
структура рибосом
I. Мембраносвязанные и
свободные рибосомы
Мембрано-
связанные рибосомы |
а) А. Мы уже встречались с
рибосомами, когда рассматривали гранулярную ЭПС
(эндоплазматическую сеть). - Б. Гранулярная структура данной
ЭПС обусловлена наличием на её поверхности
рибосом. |
 |
| б) А.Такие рибосомы называются мембраносвязанными; Б. они осуществляют синтез
белков, попадающих во внутреннее пространство
ЭПС. |
| Свободные
рибосомы |
а) Бывают также мембранонесвязанные, или свободные, рибосомы.
б) Они
синтезируют белки, которые
либо
остаются в гиалоплазме,
либо переходят в состав тех или
иных клеточных структур (ядра, митохондрий,
цитоплазмы).
в) Содержание таких
рибосом особенно возрастает
в быстро растущих клетках.
|
II. Строение рибосом
| Две
субчастицы |
а) Рибосома
состоит из двух субъединиц - малой и большой. б) Каждая
из них - это свёрнутый
рибонуклеопротеидный тяж, содержащий несколько
функциональных центров.
|
| Образование
|
а) А. Рибосомные РНК (рРНК) образуются в ядрышках. Б. Там
же, видимо, формируются и сами субъединицы,
которые затем перемещаются из ядра в цитоплазму.
б) Дальнейшая сборка
субъединиц в единую рибосому происходит
при участии матричной РНК (мРНК) и
соответствующей транспортной РНК (несущей
начальную аминокислоту).
|
| Полисомы |
а) С
одной цепью мРНК постепенно связывается
несколько рибосом. б) Находясь на примерно равном
расстоянии друг от друга, они двигаются по мРНК в
одном направлении.
в) Такие
структуры называются полисомами. |

3.3.1.2. Проблема
фолдинга белков
Общее
представ-
ление |
а) После образования на рибосомах
пептидной цепи должно произойти сворачивание
белка в соответствующую трёхмерную
структуру.
Данный процесс обозначается как фолдинг.
б) Конкретный вид трёхмерной структуры белка
полностью определяется его первичной
структурой (т.е. последовательностью
аминокислот).
в) Но, видимо, во многих случаях
достижение белком правильной трёхмерной
структуры значительно ускоряют специальные
белки:
традиционные ферменты и
т.н. молекулярные шапероны.
|
| Ферменты
фолдинга |
а) Один из ферментов фолдинга катализирует разрыв и образование в белке
дисульфидных связей. б) Это ускоряет
разрыв "неправильных" и замыкание
"правильных" дисульфидных связей.
|
| Шапероны |
а) Что касается шаперонов,
то они, видимо, связываются с пептидной цепью
белка ещё на рибосоме - до
завершения синтеза всей цепи. б) Тем самым
они препятствуют
"неправильному" сворачиванию уже образованного фрагмента
цепи.
в) В ряде случаев связь с шаперонами
сохраняется некоторое время и по окончании
синтеза белка на рибосоме.
Например, в таком виде
траспортируются белки митохондрий
от цитоплазматических рибосом в сами
митохондрии.
г) После диссоциации шаперонов белок
получает возможность быстро принять
правильную трёхмерную структуру. |
| Тепловой
стресс |
а) При тепловом стрессе белки теряют свою
нативную (правильную) конфигурацию.б) В
этом случае усиливается синтез шаперонов
(которые ещё называются "белками
теплового шока").
в) Последние
способствуют полному
разворачиванию повреждённых белков и
затем диссоциируют.
г) После этого белок вновь может вернуться к
нативной конфигурации. |

3.3.1.3. Цитохимическое
обнаружение рибосом по РНК
5. Препарат - РНК в
цитоплазме и ядрышке клеток (подчелюстная
железа). Окраска по Браше (метиловым зелёным -
пиронином).
1. Применённый
метод окраски (по Браше) выявляет РНК, которая
окрашивается в малиновый
цвет.
2. На препарате
РНК обнаруживается в цитоплазме
(1) и ядрышках
(2) клеток.
3. а) Основная
часть этой РНК и там, и там представлена рибосомными РНК.
б) Доля
матричных и транспортных РНК в общем пуле
клеточной РНК сравнительно невелика. |
 Полный размер |

3.3.2. Митохондрии

3.3.2.1. Строение
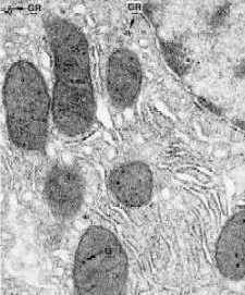
I. Общие сведения
| Две
мембраны |
Основная
структурная особенность митохондрий нам уже
известна. Это наличие у
них двух
мембран - наружной (1)
и внутренней (2), - из которых вторая образует
многочисленные впячивания (кристы) (3) в матрикс (4) митохондрии.
|
Электронная
микрофотография –
митохондрия.
Полный размер |
| Форма |
а) Форма митохондрий варьирует от почти
сферической до очень вытянутой. б) В некоторых клетках
митохондрии имеют ещё более сложную форму:
например, образуют разветвления. |
II. Система автономного синтеза белков
Митохондри-
альные
ДНК и рибосомы |
а) Митохондрии
отличаются от прочих органелл ещё двумя
интересными особенностями.
Они содержат собственную ДНК - от 1 до 50 небольших одинаковых циклических молекул.
Кроме того, митохондрии содержат собственные
рибосомы, которые
по размеру несколько меньше цитоплазматических
рибосом и видны как мелкие
гранулы (5).
б) Данная
система автономного синтеза белков обеспечивает
образование примерно 5 % митохондриальных белков.
|
| Синтез
прочих белков |
Остальные
белки митохондрий
кодируются ядром и
синтезируются
цитоплазматическими рибосомами.
|
| Гипотеза
о симбиозе |
а) Но
структура ДНК и рибосом сближает митохондрии с
бактериями. б) Возможно, в эволюции митохондрии
появились как
результат симбиоза древних бактерий с эукариотическими клетками.
|

3.3.2.2. Функции
1. Главная
функция митохондрий -
завершение окислительного распада питательных
веществ и
образование за счёт выделяющейся при этом
энергии АТФ - временного аккумулятора энергии в
клетке.
2. Наиболее известны 2
процесса. –
а) Цикл
Кребса - распад ацетил-КоА, которым
заканчивается разрушение почти всех веществ.
б) Окислительное
фосфорилирование - образование АТФ в ходе
переноса электронов (и протонов) на кислород.
Перенос
электронов производится по цепи промежуточных
переносчиков (т.н. дыхательной цепи), которая вмонтирована
в кристы митохондрий.
Здесь же находится и система
синтеза АТФ (АТФ-синтетаза).
3. Другие процессы,
проходящие в митохондриях:
а) синтез
мочевины,
б) распад
жирных кислот и пирувата
до ацетил-КоА.
|

3.3.2.3. Вариабельность
структуры митохондрий
| Электронные
микрофотографии – митохондрии в разных тканях.
|
| а)
Мышечное волокно |
б)
Клетка печени |
в)
Клетка коры надпочечников |
 Полный размер |
 Полный размер |

Полный размер |
В мышечных волокнах, где потребности в энергии
особенно велики, митохондрии содержат
очень много плотно расположенных
пластинчатых (ламинарных) крист. |
В клетках печени количество крист в
митохондриях значительно меньше.
|
Наконец, в клетках коры надпочечников кристы имеют тубулярную структуру и
выглядят на срезе
как мелкие везикулы.
|

3.3.2.4. Световая
микроскопия
6. Препарат -
митохондрии в клетках кишечника аскариды.
Окраска по методу Альтмана.
1. а) При световой микроскопии для
выявления митохондрий обычно используют
специальную окраску.
б) Тогда они
видны как зёрнышки или нитчатые структуры в
цитоплазме клетки.
2. а) В данном случае на снимке -
высокие цилиндрические клетки.
б) В их
цитоплазме - многочисленные ярко-красные "бусинки". Это и есть митохондрии (1). |
 Полный размер |

3.4. Цитоскелет и его
производные

3.4.1.
Микрофиламенты и их производные

3.4.1.1. Микрофиламенты
Располо-
жение в клетке |
а) Микрофиламенты образуют в
клетках более или менее густую сеть.
Так, в микрофаге - около 100.000
микрофиламентов.б) Как видно на
снимке, основное направление пучков микрофиламентов (1) - вдоль длинной оси
клетки и отростков (если таковые имеются). |
7. Препарат - цитоскелет в
фибробласте. Окраска - железный гематоксилин
по Ю.С. Ченцову.
Полный размер |
| Строение |
а) А. Каждый микрофиламент -
двойная спираль из глобулярных молекул белка актина. Б. За счет этого содержание
актина даже в немышечных клетках достигает 10 % от
всех белков.
б) В узлах сети микрофиламентов и в местах их
прикрепления к клеточным структурам находятся
белок a-актинин,
а также, вероятно, миозин
и тропомиозин.
|
| Участие
в клеточном движении |
а) Изменение
формы клеток (напр., при образовании
псевдоподобий) происходит
за счет изменения
длины микрофиламентов (в результате
дополнительной полимеризации или, напротив,
деполимеризации актина),
и, возможно, за счёт взаимодействия актина с миозином по
типу сокращения в мышечных тканях.
б) Так реализуются следующие формы
клеточного движения:
миграция клеток в
эмбриогенезе,
передвижение макрофагов,
фаго- и пиноцитоз,
рост аксонов (у нейронов) и т.д.
|

3.4.1.2. Микроворсинки
| Строение |
1. а) Мы
уже знаем (п. 2.2.4.1.),
что микрофиламенты образуют каркас
микроворсинок (в тех клетках, где таковые
имеются). б) Это
видно на продольных (1) и на
поперечных (2) срезах
микроворсинок.
2. Добавим, что в основании микроворсинок расположены короткие
и толстые нити из белка миозина. |
Электронная
микрофотография – микрофиламенты в
микроворсинках. 
Полный размер |
Функцио-
нирование |
а) В
присутствии АТФ актиновые
нити (микрофиламенты) начинают скользить вдоль миозиновых и втягиваться в клетку. б) Это способствует
перемещению в клетку содержимого микроворсинок -
при всасывании
веществ в просвете кишечника или
при реабсорбции
веществ из канальцев почек. |

3.4.2. Промежуточные
филаменты
| Электронная
микрофотография – промежуточные филаменты и
микротрубочки в клетках нервной ткани. |
1. Второй компонент
цитоскелета - промежуточные
филаменты (1). Как
отмечалось, они
толще микрофиламентов и
имеют
тканеспецифическую природу.-
а) В
эпителии они образованы белком кератином,
б) в
клетках соединительной ткани
- виментином, |
 Полный размер |
| в) в гладких мышечных
клетках - десмином, г) в нервных клетках (приведённых на
снимке) они называются нейрофиламентами и тоже образованы особым белком.
2. Промежуточные филаменты
часто располагаются
параллельно поверхности клеточного
ядра.
3. Кроме данных структур, на
электронной микрофотографии видны и микротрубочки
(2). |

3.4.3. Микротрубочки и их
производные

3.4.3.1. Микротрубочки
Располо-
жение в клетке |
Микротрубочки (1) тоже образуют в клетке густую сеть. а) Сеть
начинается от
перинуклеарной области (от центриоли)
и
радиально распространяется к плазмолемме,
следуя за изменениями её формы.
б) В том числе
микротрубочки идут вдоль длинной оси отростков
клеток. |
Электронная
микрофотография –
микротрубочки в
цитоплазме.
Полный размер |
Схема
строения микротрубочки
 |
| Строение |
а) Стенка
микротрубочки состоит из одного слоя
глобулярных субъединиц белка тубулина (1).
б) На поперечном срезе - 13
таких субъединиц, образующих кольцо (2).
Его параметры таковы:
внешний диаметр -
dex = 24 нм,
внутренний диаметр
- din = 14 нм,
толщина стенки - l стенки = 5 нм.
|
Образо-
вание |
а) Как и
микрофиламенты, микротрубочки образуются путём самосборки. б) Это происходит
при сдвиге равновесия между свободной и
связанной формами тубулина в сторону второй из
них. |
Функция
в неделящей-
ся клетке |
а) В
неделящейся
(интерфазной) клетке
создаваемая
микротрубочками сеть играет роль цитоскелета, поддерживающего форму клетки.б) А. При этом транспорт веществ по
длинным отросткам нервных клеток идёт не через
микротрубочки, а по перитубулярному
пространству.
Б. Но микротрубочки
выступают при этом в роли направительных
структур:
белки-транслокаторы
(динеины и кинезины), перемещаясь по внешней
поверхности микротрубочек, "тащат" за собой
и мелкие пузырьки с транспортируемыми
веществами.
|
| Функция
в делящейся клетке |
а) В делящихся же клетках сеть микротрубочек
перестраивается и формирует т.н. веретено деления. б) Оно связывает
хроматиды хромосом с центриолями и способствуют
правильному расхождению хроматид к полюсам
делящейся клетки. |
| Колхицин |
а) Алкалоид колхицин вызывает деполимеризацию
микротрубочек.б)
Поэтому в его присутствии
клетки меняют свою форму и сжимаются,
блокируется
процесс деления клеток.
|

3.4.3.2. Центриоли
| Структура
центриоли |
а) Кроме
цитоскелета, микротрубочки образуют центриоли (1).
б) Состав
каждой из них отражается формулой:(9 ґ 3) + 0 .
в) Это значит,
что
основа центриоли - 9 триплетов микротрубочек, расположенных
по окружности,
а в центре данного полого
цилиндра микротрубочек нет. |
Электронная
микрофотография – две пары центриолей в
фибробласте.
Полный размер |
Образо-
вание клеточного центра |
а) Центриоли
располагаются парой - под прямым углом друг к другу.
Такая структура называется диплосомой. б) Вокруг
диплосом - т.н. центросфера, зона более светлой цитоплазмы (2). В ней содержатся
дополнительные структуры: дополнительные микротрубочки и т.п.
в) Вместе диплосома и
центросфера называются
клеточным центром.
|
| Дупликация
центриолей |
а) В
неделящейся клетке - одна пара
центриолей. б)
Образование новых центриолей (при подготовке
клетки к делению) происходит путём дупликации (удвоения):
каждая центриоль выступает в качестве матрицы,
перпендикулярно
которой формируется (путём полимеризации
тубулина) новая центриоль.
в) Поэтому, как
в ДНК, в каждой диплосоме
одна центриоль является родительской,
а вторая - дочерней.
|
| Замечание |
а) На снимке мы
видим в фибробласте две пары
центриолей. б) Это
свидетельствует о том, что клетка
готовится к делению. |
 |

3.4.3.3. Реснички и
жгутики
А. Общий принцип
строения
Распро-
странён-
ность |
а) В отличие
от центриолей, реснички имеются лишь у некоторых
клеток -
в частности, у клеток, выстилающих
дыхательный пути.
б) Как уже отмечалось
(п.2.2.4.2), реснички - это
покрытые плазмолеммой выпячивания
цитоплазмы,
по центру которых
проходит аксонема (осевая нить) (1).
|
| Строение
аксонемы |
1. а) Аксонема
образована микротрубочками по схеме:
(9 ґ 2) + 2 .
б) Это значит, что
по её окружности расположены девять дуплетов микротрубочек (2),
а ещё пара микротрубочек идёт вдоль оси
аксонемы и заключены в центральный футляр.
|
Электронная
микрофотография – поперечный срез реснички. 
Полный размер |
2. При этом от
каждого периферического дуплета на разных его
уровнях отходят
по направлению к соседнему дуплету - две
т.н. ручки (3) из белка динеина,
а по направлению к центральному футляру - радиальные мостики.
|
| Биение
ресничек |
При
замыкании и размыкании динеиновых мостиков соседние дуплеты несколько
перемещаются друг относительно друга,
что приводит к изгибу (биению) реснички.
|
| Базальное
тело |
а) Каждая
аксонема прикреплена к базальному телу,
находящемуся в поверхностных слоях цитоплазмы. б) По строению базальное тело
похоже на центриоль, т.е. состоит из 9
периферических триплетов.
в) При этом по две
микротрубочки каждого триплета переходят в
дуплет аксонемы. |
Подобным образом
устроена аксонема и жгутика сперматозоида.
Б. Реснички в клетках эпителия трахеи
| Электронные
микрофотографии: реснички в реснитчатых клетках
эпителия трахеи. |
1. В качестве примера приведены снимки
ресничек трахеи -
поперечный срез ресничек (сверху) и
продольный (снизу).
2. На снимках видны:
а) элементы аксонемы
ресничек -
периферические дуплеты
микротрубочек (3),
и центральный дуплет (4);
б) опорная структура
аксонемы -
базальное тело (5);
в) прочие компоненты
клетки - |
 |
плазмолемма (1),
окружающая ресничку и клетку в целом;
цитоплазма реснички (2) и тела
клетки (6).
|
