Список препаратов по теме

BOOK
Содержание темы

2.1. Единство и многообразие клеток

2.1.1. Клеточная теория

2.1.1.1. Основные положения теории
2.1.1.2. Понятие о дифференцировке

2.1.2. Форма клеток и их ядер

2.1.2.1. Клетки кубической и цилиндрической формы
2.1.2.2. Безъядерные клетки и клетки с сегментированными ядрами
2.1.2.3. Отростчатые клетки
2.1.2.4. Симпласты

2.2. Клеточные мембраны и структуры клеточной поверхности

2.2.1. Клеточные мембраны

2.2.1.1. Принцип организации мембран
2.2.1.2. Особенности плазмолеммы

2.2.1.3. Функции плазмолеммы

2.2.2. Способы трансмембранного переноса

2.2.2.1. Перенос низкомолекулярных веществ через плазмолемму
2.2.2.2. Перенос в клетку крупных соединений и частиц (эндоцитоз)
2.2.2.3. Перенос из клетки крупных соединений и частиц (экзоцитоз)
2.2.2.4. Схема трансмембранного переноса

2.2.3. Межклеточные соединения (контакты)

2.2.3.1. Виды контактов
2.2.3.2. Иллюстрации

2.2.4. Структуры клеточной поверхности

2.2.4.1. Микроворсинки
2.2.4.2. Реснички

2.3. Неклеточные структуры

2.3.1. Волокна соединительной ткани
2.3.2. Аморфное вещество хряща

 

2.1. Единство и многообразие клеток

2.1.1. Клеточная теория

Как известно, организм состоит из клеток и образуемого ими межклеточного вещества.
Роль клеток в построении организма формулируется клеточной теорией.

2.1.1.1. Основные положения теории

1. Клетка - наименьшая единица живого.

а) Имеется в виду, что отдельные компоненты клетки (ядро, митохондрии и т.д.) не могут полноценно существовать в изолированном состоянии: в них быстро развиваются процессы аутолиза и дегенерации.

б) В отличие от этого, многие клетки удаётся длительно культивировать в подходящей питательной среде с сохранением их жизнедеятельности.

2. Клетки сходны по общему плану строения.

а) Действительно, практически все клетки имеют 3 основных компонента:

плазматическую мембрану - отделяет содержимое клетки от внеклеточной среды,

ядро - содержит наследственный материал (ДНК), связанный с ядерными белками,

цитоплазму - это внеядерная часть клетки, включающая гомогенную гиалоплазму и многочисленные цитоплазматические структуры.

б) Исключение составляют эритроциты и роговые чешуйки кожи (ороговевшие кератиноциты), которые

лишены ядра.

в) В некоторых клетках (сперматозоидах, роговых чешуйках) к минимуму сведена цитоплазма, но

говорить о её полном отсутствии нельзя.

3. Клетки размножаются только путём деления ("каждая клетка - из клетки").

а) Не все клетки способны к делению:

многие клетки, выполняющие сложные функции, в процессе своего созревания утратили эту способность.

б) Но появление новых клеток происходит только путём деления таких клеток, которые способны делиться.

Этим утверждением исключается возможность образования клеток из неклеточного материала.

4. В организме клетки функционируют не изолированно, а в тесной связи друг с другом, образуя единое целое (ткани, органы, системы органов).

а) Поэтому клетки весьма различны: одни настроены на выполнение одного круга функций, другие - другого.

б) Отсюда - различия структуры клеток и образуемого ими межклеточного вещества.

Т.е., имея общий план строения (плазматическая мембрана, ядро, цитоплазма),

клетки разных видов в большей или меньшей степени отличаются друг от друга.

2.1.1.2. Понятие о дифференцировке

1. Специализация каждого вида клеток достигается в процессе дифференцировки.

В этот процесс вступают стволовые клетки, способные делиться;
в ряду же появляющихся клеток

постепенно образуются структуры, необходимые для выполнения определённых функций;

теряются какие-то другие, ненужные уже структуры;

при этом на определённом этапе дифференцировки обычно утрачивается способность к делению.

2. В ряде случаев утрачивается и классическое клеточное строение:
образуются

безъядерные клетки (эритроциты, роговые чешуйки),
симпласты (волокна скелетных мышц, наружный слой трофобласта плаценты) или
синцитий (сперматогенные клетки - предшественники сперматозоидов).

Безъядерные эритроциты и кератиноциты а) Они развиваются из ядросодержащих клеток,

которые на определённой стадии развития теряют ядро.

б) Иногда эти элементы называют

постклеточными структурами. 

в) Мы же их будем рассматривать как

безъядерные клетки.

Симпласты а) Симпласты - крупные образования, содержащие множество ядер.
Они появляются

либо путём слияния исходных клеток (мышечные волокна),
либо в результате деления одних ядер без разделения цитоплазмы.

б) Когда содержится не очень большое число ядер, продолжают пользоваться термином "клетка".
Например, двуядерные и многоядерные клетки часто встречаются в печени.

Синцитий а) В случае синцития после деления клетки между дочерними клетками остаются цитоплазматические мостики.

б) Если число неполных делений достаточно велико,

синцитий может объединять по несколько тысяч клеток.

2.1.2. Форма клеток и их ядер

Просмотрим ряд препаратов, иллюстрирующих разнообразие форм клеток и ядер.

2.1.2.1. Клетки кубической и цилиндрической формы

1,а. Препарат - кубические клетки (клетки канальцев почки). Окраска гематоксилин-эозином.

1. а) В поле зрения - сечения поперечно срезанных канальцев почки.
б) К их просвету (1) обращены клетки кубической формы.

2. Цитоплазма клеток (2) окрашена эозином в розовый цвет,
округлые
ядра (3) - гематоксилином в фиолетовый цвет.


Полный размер

1,б. Препарат - цилиндрические клетки (клетки канальцев почки). Окраска гематоксилин-эозином.

Здесь в поле зрения - другой тип почечных канальцев.

Клетки (1), образующие эти канальцы, узкие и длинные - цилиндрической или призматической формы.

Ядра же (2) по-прежнему имеют округлую форму; при этом они смещены к базальной части клеток (удалённой от просвета канальцев).


Полный размер

2.1.2.2. Безъядерные клетки
и клетки с сегментированными ядрами

2,а. Препарат - безъядерные клетки (мазок крови человека). Окраска по Романовскому.

Всё поле зрения занято эритроцитами (1).

1. а) На препарате они выглядят округлыми; но в их центре видно небольшое просветление.

б) Это связано с тем, что на самом деле эритроциты имеют форму двояковогнутых дисков.


2. Вторая ключевая деталь - отсутствие в клетках ядер.


Полный размер

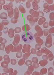
2,б. Препарат - клетки с сегментированными ядрами (мазок крови человека). Окраска по Романовскому.

Здесь, кроме эритроцитов, виден один из лейкоцитов - сегментоядерный нейтрофил (1).

1. Он имеет округлую форму.

2. Ядро же разделено на несколько сегментов, связанных узкими перемычками.

3. а) В цитоплазме видна мелкая зернистость розовато-фиолетового цвета.


Полный размер

Её цвет указывает на то, что она воспринимает и основной (азур 2), и кислый (эозин) красители.

б) Поэтому данный лейкоцит называется нейтрофильным (или просто нейтрофилом).

2.1.2.3. Отростчатые клетки

3. Препарат - отростчатая клетка (нервная клетка). Окраска нигрозином.

1. Данная клетка, в отличие от предыдущих, имеет многочисленные отростки (2), многие из которых ветвятся.

2. В центре тела клетки - ядро (1) округлой формы.

Отросчатая клетка (нервная)

Полный размер

2.1.2.4. Симпласты

4,а. Препарат - симпласты (мышечные волокна языка). Окраска гематоксилин-эозином.

1. На снимке - пучки мышечных волокон, срезанных продольно (1) или поперечно (2).

2. В продольно срезанных волокнах видны две особенности -

наличие большого количества ядер (3), прилегающих к оболочке, и

наличие поперечной исчерченности: в волокнах чередуются тёмные (4) и светлые (5) полосы.

Мышечные волокна языка

Полный размер

4,б. Препарат - симпласты (мышечные волокна языка). Окраска гематоксилин-эозином.

а) В поперечносрезанных волокнах видны многочисленные точки красноватого цвета (6).

б) Это миофибриллы - специфические структуры мышечных волокон, обеспечивающие сократительную функцию.

в) Они оттесняют ядра (3) к периферии волокон.

Мышечные волокна языка

Полный размер

2.2. Клеточные мембраны и структуры клеточной поверхности

2.2.1. Клеточные мембраны

а) Не только клетка в целом, но и многие внутриклеточные структуры (ядра, митохондрии, цистерны эндоплазматической сети и др.) окружены мембранами.

В связи с этим, различают
плазматическую мембрану, или плазмолемму (мембрана самой клетки),
ядерную мембрану и т.д.

б) Все эти мембраны построены по одному принципу, хотя и имеют те или иные особенности.

2.2.1.1. Принцип организации мембран

I. Компоненты мембран

Липидный компонент В основе биологической мембраны - двойной слой амфифильных липидов (1).

а) Молекулы таких липидов (2) имеют 2 части -

гидрофобную (2,а) (два углеводородных "хвоста" жирных кислот) и

гидрофильную (2,б) (остатки спирта, азотистого основания, углевода).

б) В водной среде эти молекулы самопроизвольно образуют бислой, в котором

гидрофобные части молекул обращены друг к другу,
а гидрофильные - к водной фазе.

Схема - строение мембран.

Полный размер

Белки
Кроме того, в состав мембран входят
белки.

Т.н. интегральные белки (3) глубоко встроены в мембрану, насквозь пронизывая липидный бислой.

А периферические белки (4) связаны с одной из поверхностей мембраны.

Углевод-
ный компо-
нент
а) Углеводы, как правило, самостоятельно в мембрану животных не входят;

но углеводные компоненты (5) имеются во многих мембранных липидах и белках (соответственно, гликолипидах и гликопротеидах).

б) Причём, обычно данные компоненты расположены

с наружной стороны мембраны.

б) В итоге, оказывается, что наружная и внутренняя поверхности одной и той же мембраны различны по составу.

Вид при электронной микроско-
пии
а) При электронной микроскопии срединная (гидрофобная) часть липидного бислоя (6) выглядит как

светлая полоса между двумя электроноплотными полосами.

б) Последние образованы гидрофильными "головками" липидов и белками.

II. Подвижность компонентов

Латеральная подвиж-
ность
а) Компоненты мембран обладают определённой латеральной подвижностью (могут перемещаться в плоскости мембраны).

б) Поэтому данная модель организации мембраны называется

жидкостно-мозаичной структурой.

Вращение некоторых белков а) Кроме того, некоторые интегральные белки способны

путём вращения менять свою ориентацию относительно поверхностей мембраны.

б) Так функционируют некоторые мембранные переносчики:

связав вещество с одной стороны,
они поворачиваются в мембране на 180о и
высвобождают вещество с другой стороны мембраны.

Ориентация углеводных компонен-
тов

К подобному вращению неспособны белки с углеводными компонентами -

в силу высокой гидрофильности последних.

2.2.1.2. Особенности плазмолеммы

Дальше в этой теме будем рассматривать только плазмолемму.

Структурные особенности этой мембраны таковы.

1. Толщина её (7-10 нм) обычно больше, чем у других клеточных мембран.
Это обусловлено большим содержанием различных интегральных и периферических белков.

2. Кроме того, к наружной стороне плазмолеммы почти всех клеток прилежит надмембранный слой - гликокаликс (3-4 нм).
Он тоже содержит гликопротеиды, а также различные ферменты.

2.2.1.3. Функции плазмолеммы

Плазмолемма выполняет многочисленные функции.

1. Опорная функция Мембрана участвует в формообразовании клетки:

к ней крепятся элементы внутриклеточного скелета (микротрубочки, микрофиламенты и промежуточные филаменты).

2. Рецепторная функция

С наружной стороны плазмолеммы могут находиться специфические белки-рецепторы к биологически активным веществам - гормонам, медиаторам, антигенам.
3. Взаимо-
действие с дру-
гими клетками
а) С помощью рецепторов клетки могут также специфически узнавать друг друга, вступая во взаимодействие

путём адгезии, т.е. "слипания" своих поверхностей.

б) Часто образуются и долговременные контакты между клетками,
причём, известно несколько типов таких контактов (п. 2.2.3).

4. Барьерная функция

За счёт своего липидного бислоя, мембрана непроницаема для многих веществ (гидрофильных соединений и ионов),

т.е. эффективно отграничивает цитоплазму от внеклеточной среды.

5. Транспортная функция

а) Вместе с тем, плазмолемма содержит транспортные системы для переноса в клетку или из неё определённых веществ -

низкомолекулярных,
высокомолекулярных,
а также более крупных частиц - как жидких, так и твёрдых.

б) Благодаря этому, цитоплазма имеет тот состав, который наиболее оптимален для жизнедеятельности клеток.

6. Создание трансмембран-
ного потенциала

1. Среди транспортных систем плазмолеммы -

Na+,K+-насос и
каналы для ионов K + .

а) Благодаря деятельности насоса, внутри клеток создаётся избыток К+, а снаружи - Na+.

б) А благодаря наличию К+-каналов, небольшая часть ионов К+ возвращается по градиенту концентрации на внешнюю сторону клеток.

2. Поэтому

плазмолемма всех клеток имеет снаружи
положительный заряд,
а между обеими сторонами мембраны существует трансмембранная разность потенциалов.

3. а) Плазмолемма возбудимых клеток (мышечных и нервных) содержит, кроме того, Na+-каналы.

б) Они открываются при возбуждении мембраны,
что обусловливает изменение трансмембранного потенциала
.

2.2.2. Способы трансмембранного переноса

2.2.2.1. Перенос низкомолекулярных веществ через плазмолемму

Этот перенос (независимо от его направления - внутрь клетки или из неё) может осуществляться тремя способами.-

1. Простая диффузия (пассивный транспорт)

а) Это самостоятельное проникновение веществ через мембрану по градиенту концентрации.

б) Так проходят
небольшие нейтральные молекулы 2О, СО2 , О2) и
низкомолекулярные гидрофобные органические вещества (жирные кислоты, мочевина).

2. Облегчённая диффузия

а) Здесь вещество проходит через мембрану

опять-таки по градиенту своей концентрации,
но с помощью специального белка - транслоказы.

б) Молекулы последней
обычно пронизывают мембрану, образуя в ней транспортные каналы, и
специфичны в отношении лишь данного вещества.

в) Примеры - К+- и Na+-каналы.

3. Активный транспорт

а) Вещество переносится с помощью специальной транспортной системы (насоса) против градиента концентрации.

б) Для этого требуется энергия; чаще всего её источником служит распад АТФ.

в) Пример - Na+,K+-насос (или Na+,K+-АТФаза).

2.2.2.2. Перенос в клетку крупных соединений и частиц (эндоцитоз)

Здесь тоже можно выделить 3 разновидности.

1. Пиноцитоз

Это захват и поглощение клеткой растворимых макромолекулярных соединений.

2. Фагоцитоз

То же самое, но в отношении твёрдых частиц.

3. Эндоцитоз, опосредованный рецепторами

Поглощаемый субстрат предварительно специфически связывается с поверхностными рецепторами плазмолеммы.

Во всех случаях
вначале образуется впячивание плазмолеммы в цитоплазму,
которое всё углубляется и, в конце концов, превращается в пузырёк, окружённый мембраной и полностью находящийся в цитоплазме.

2.2.2.3. Перенос из клетки крупных соединений и частиц (экзоцитоз)

 

1. Секреция

а) Это такое выведение из клетки растворимых соединений, которое является одной из функций данной клетки.

б) При этом могут выделяться вещества разного размера -

и высокомолекулярные (например, белковые гормоны в передней доле гипофиза),

и низкомолекулярные: ионы Н+ в желудке и почках, биологически активные катехоламины в соединительной ткани и т.д.

в) Выведение этих веществ

в одних случаях происходит в виде секреторных пузырьков,
в других - по типу облегчённой диффузии или активного транспорта.

г) В понятие секреции обычно не включают
выведение из клетки обычных продуктов её обмена,
а также выведение из неё таких ионов (напр., Na+), которые остаются в окружающей среде.

2. Экскреция а) Это выброс из клетки твёрдых частиц.

б) Осуществляется путём слияния с плазмолеммой цитоплазматического пузырька, содержащего выделяемые частицы.

3. Рекреция Рекреция же - перенос твёрдых частиц через клетку:
включает фагоцитоз и экскрецию.

2.2.2.4. Схема трансмембранного переноса

Схема - участие плазмолеммы в поступлении и выведении веществ.

а) На схеме показаны те 9 вариантов трансмембранного транспорта, которые были перечислены выше.

б) При этом надо иметь в виду, что (как уже отмечалось выше) секреция не всегда осуществляется путём выделения секреторных пузырьков:

в ряде случаев её механизмами являются облегчённая диффузия или активный транспорт.

2.2.3. Межклеточные соединения (контакты)

В некоторых тканях клетки прилегают друг к другу - как мы это видели, например, в канальцах почки (препарат 1,а-б).
Тогда между клетками обычно образуются те или иные межклеточные соединения.

2.2.3.1. Виды контактов

I. Общее описание

(Нумерация контактов в таблице совпадает с их нумерацией на приведённой схеме)

1. Простое межклеточное соединение а) Это просто сближение плазмолемм соседних клеток на расстояние 15-20 нм без образования специальных структур.

б) При этом плазмолеммы взаимодействуют друг с другом с помощью специфических адгезивных гликопротеинов -

кадгеринов, интегринов и др.

2.Интердигита-
ция (пальцевидное соединение)
Плазмолемма двух клеток, сопровождая друг друга, инвагинирует в цитоплазму вначале одной, а затем - соседней клетки.
3. Щелевидное соединение (нексус, или gap-junction) а) В области нексуса (длиной 0,5 – 3 мкм) плазмолеммы сближаются на расстояние 2 нм и пронизываются многочисленными белковыми каналами (коннексонами), связывающими содержимое соседних клеток.

б) Через эти каналы (диаметром 2 нм) могут диффундировать ионы и небольшие молекулы.

4. Плотное соединение (запирающая зона, или zona occludens) а) Здесь плазмолеммы  вплотную прилегают друг к другу - с помощью специальных белков.

б) Места такого плотного прилегания образуют на контактирующих поверхностях подобие ячеистой сети.

б) Они обеспечивают надёжное отграничение двух сред, находящихся по разные стороны от пласта клеток.

5. Десмосомы а) В области десмосомы плазмолеммы утолщены с внутренней (цитоплазматической) стороны -

за счёт белков десмоплакинов.

б) Отсюда в цитоплазму отходят в виде пучка тонкие нити (промежуточные филаменты цитоскелета; см. п. 3.4.2). В эпителии они образованы

белком  кератином.

в) Пространство между плазмолеммами заполнено утолщённым гликокаликсом, который пронизан сцепляющими белками -

десмоглеинами,

образующими фибриллоподобные структуры и  дисковидное утолщение посередине.

6. Адгезивный поясок По структуре данный  контакт похож на десмосомный, но

имеет форму ленты, опоясывающей клетку,

утолщения со стороны цитоплазмы образованы белком винкулином (а не десмоплакинами),

отходящие в цитоплазму нити - тонкие (а не промежуточные) филаменты из белка актина,

иные по природе и сцепляющие белки.

7. Синапсы а) Это области передачи сигнала от одной возбудимой клетки другой.

б) В синапсе различают

пресинаптическую мембрану (принадлежащую одной клетке),
синаптическую щель и
постсинаптическую мембрану (ПоМ) (часть плазмолеммы другой клетки).

в) Обычно сигнал передаётся химическим веществом - медиатором, воздействующим на специфические рецепторы в ПоМ.


II. Функциональная  классификация

Перечисленные  контакты  можно   сгруппировать  следующим  образом.

I.   Контакты 
простого типа
а) Простые межклеточные соединения

б) Интердигитации

II. Контакты
сцепляющего типа
а) Десмосомы

б) Адгезивный поясок

III. Контакты
запирающего типа

Плотные соединения
IV. Контакты
коммуникационного типа
а) Нексусы

б) Синапсы

2.2.3.2. Иллюстрации

I. Нексус

Электронная микрофотография и схема - нексус.

1. На микрофотографии (А) мы видим, что межклеточное пространство, широкое (1) вне нексуса, в области нексуса (2) резко суживается до щели в 2 нм.

2. На схеме (Б) показаны коннексоны (3) - цилиндрические белковые каналы, идущие через две плазмолеммы (4) из одной клетки в другую.


Полный размер

II. Десмосома

Электронная микрофотография и схема - десмосома.

1. а) Вне десмосомы (1) плазматические мембраны имеют обычную структуру (2).

б) В области же десмосомы

появляются дополнительные слои (3),

а в цитоплазму клетки от прикрепительной пластинки (4) отходят тонкие фибриллы (5).


2.
Между плазмолеммами на схеме показаны

поперечные межмембранные филаменты (6) и

центральная перегородка (7), образованная слиянием наружных краёв гликокаликса соседних клеток.


2.2.4. Структуры клеточной поверхности

Цитоплазма ряда клеток образует выросты - микроворсинки, реснички и др.

2.2.4.1. Микроворсинки

I. Ультраструктурное строение

Электронная микрофотография - микроворсинки на апикальной поверхности клеток тонкой кишки.
1. Микроворсинки (1) имеют вид цилиндрических пальцеообразных выростов цитоплазмы, покрытых плазмолеммой (2).

2. Они обращены в просвет (3) тонкой кишки и значительно увеличивают всасывающую поверхность эпителия.

3. а) Форма и вертикальное положение микроворсинок поддерживаются благодаря наличию в них, как и в других областях цитоплазмы, цитоскелета (о котором мы будем говорить в следующей теме).

б) Здесь он представлен микрофиламентами (4) -

нитями из белка актина, которые расположены вдоль оси микроворсинки.

Полный размер

II. Вид при световой микроскопии

5. Препарат - щёточная каёмка клеток (тонкая кишка). Окраска гематоксилин-эозином.
1. а) При световой микроскопии микроворсинки воспринимаются как узкая оксифильная каёмка (3) на апикальной поверхности клетки.
б) Эта каёмка называется
щёточной или всасывающей.

2. Сами же клетки (2) имеют цилиндрическую форму и выстилают поверхность ворсинок (1), образуемых слизистой оболочкой тонкой кишки.

3. а) Таким образом,
ворсинки - это выпячивания слизистой оболочки,
а микроворсинки - выпячивания цитоплазмы отдельных клеток.

б) Наличие тех и других резко увеличивает всасывающую способность кишечника.


Полный размер

2.2.4.2. Реснички

I. Световой уровень

Реснички (200 нм в диаметре) примерно в 2 раза толще микроворсинок (100 нм) и могут быть различимы под световым микроскопом (при большом увеличении).

6. Препарат - реснички эпителиальных клеток (стенка трахеи). Окраска гематоксилин-эозином.

1. Клетки, выстилающие просвет трахеи (1), имеют разную форму и размер;

поэтому их ядра лежат на разных уровнях.

2. Клетки, чьи ядра образуют самый наружный ряд (2), содержат на апикальной поверхности реснички (3).

Полный размер

II. Ультраструктурное строение

Электронная микрофотография - реснички эпителиальных клеток из стенки трахеи.

1. а) Реснички - это тоже выросты цитоплазмы, покрытые плазмолеммой (2).

б) Но их "скелет" образован сложной структурой - аксонемой (1), состоящей, в основном, из микротрубочек.

2. Более детально строение аксонемы будет рассмотрено в следующей теме.

Полный размер

2.3. Неклеточные структуры

1. Под термином "неклеточные структуры" понимают,

во-первых, ядросодержащие образования, не имеющие классической клеточной организации, т.е. уже знакомые нам

симпласты и синцитии;

во-вторых, компоненты межклеточного вещества –

волокна и основное аморфное вещество.

2. Ниже мы рассмотрим два препарата, иллюстрирующие межклеточное вещество.

2.3.1. Волокна соединительной ткани

7. Препарат - волокна соединительной
ткани (дерма кожи). Окраска гематоксилин-эозином.

1. Под пластом поверхностных (эпителиальных) клеток (1) расположена подлежащая часть кожи (дерма) (2).

2. В дерме видны

а) ядра клеток, окрашенные гематоксилином в фиолетовый цвет,

б) а также - многочисленные волокна (3), идущие в разных направлениях и окрашенные эозином в розовый цвет.

Полный размер

2.3.2. Аморфное вещество хряща

8. Препарат - межклеточное вещество гиалинового хряща. Окраска гематоксилин-эозином.
1. а)Клетки занимают небольшую часть объёма ткани.

б) Причём, они находятся группами в специальных полостях – лакунах (1).

2. Основную часть объёма ткани составляет межклеточное вещество (2).

а) В нём тоже содержатся волокна, но они - тонкие и не видны.

б) Окраска межклеточного вещества определяется, главным образом, основным аморфным веществом.

Полный размер

3. а) Волокон больше вокруг клеток, и поэтому данные участки оксифильны.

б) Вокруг лакун преобладает базофильное аморфное вещество.