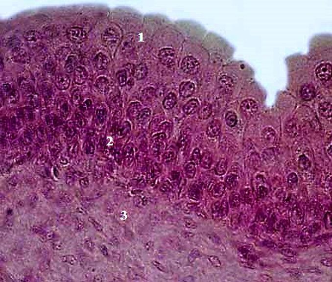
Рис. 46. Переходный эпителий слизистой оболочки мочевого пузыря

Рисунок 46 – Переходный эпителий слизистой оболочки мочевого пузыря:
1 - базальный слой эпителия; 2 - поверхностный слой эпителия; 3 - собственная пластинка слизистой оболочки. Окраска гематоксилином и эозином. Объектив ×40, окуляр ×10 (Гунин А.Г., 2017)