Отделы канальцевой части нефрона

Отделы канальцевой части нефрона существенно отличаются гистологическим строением выстилающих их внутреннюю поверхность клеток эпителия. Наиболее сложное строение у эпителия проксимального отдела канальца, клетки которого имеют кубическую форму. Для клеток эпителия этого отдела характерно наличие щеточной каемки, представляющей собой ультрамикроскопические ворсинки в виде пальцевидных выростов цитоплазмы, покрытых клеточной мембраной и гликокаликсом (Серов В. В., 1983). Просвет канальца узкий, неправильной формы. Число микроворсинок на одной клетке эпителия извитой части проксимального отдела канальца достигает 6500, благодаря чему рабочая поверхность каждой клетки увеличивается в 40 раз. Щеточная каемка является своеобразным приспособлением для выполнения строго дифференцированной работы по канальцевой реабсорбции в процессе образования мочи.

Внутри клеток эпителия находится большое количество митохондрий (в них вырабатывается энергия, обеспечивающая канальцевый транспорт веществ и канальцевую секрецию), внутриклеточных мембран, участвующих в процессах активного транспорта жидкости, и лизосом.

В цитоплазме клетки содержатся высокоактивные ферменты – дегидрогеназы, липоамид-дегидрогеназа, гидролазы, а в щеточной каёмке – щелочная фосфатаза АТФ-аза, аминопептидазы и другие ферменты, обеспечивающие высокодифференцированный процесс реабсорбции глюкозы, аминокислот, белка, фосфатов и других веществ из канальцевой жидкости. В результате реабсорбции и секреции в проксимальных отделах первичная моча претерпевает значительные качественные изменения: из нее полностью исчезают сахар и белок. При заболевании почек эти вещества могут обнаруживаться в окончательной моче вследствие поражения клеток проксимальных отделов нефронов.

Эпителий нисходящей части петли Генле имеет в основном то же строение, что и эпителий проксимального отдела, однако ворсинки щеточной каемки встречаются реже, они короче, грубее; в клетке меньше митохондрий, внутриклеточных мембран и ферментов.

Клетки тонкого сегмента петли Генле небольшие, без щеточной каемки, с цитоплазмой низкой ферментативной активности. Восходящий сегмент петли Генле и извитая часть дистального отдела канальца выстланы клетками эпителия, которые по строению сходны с клетками проксимального отдела, но лишены щеточной каемки. Просвет этих канальцев на препарате округлый, ровный (рис. 25-27).

Рис. 25А. Ультрамикроскопическое строение проксимального канальца нефрона

Рис. 25Б. Ультрамикроскопическое строение дистального канальца нефрона

Рисунок 25 – Ультрамикроскопическое строение канальцев нефрона (по Е.Ф. Котовскому).
A – проксимального; B – дистального: 1 - эпителиоциты; 2 - базальная мембрана; 3 - микроворсинчатая каемка; 4 - пиноцитозные пузырьки; 5 - лизосомы; 6 - базальная исчерченность; 7 - кровеносный капилляр (Кузнецов С.Л., 2002)

В цитоплазме этих клеток содержится много митохондрий, внутриклеточных мембран. В ней определяется высокая активность гидролитических, гликолитических ферментов и ферментов цикла Кребса, что свидетельствует о их сложной функции по факультативной реабсорбции воды, натрия и других веществ.

Рис. 26А. Ультрамикроскопическое строение тонкого канальца петли нефрона

Рис. 26Б. Ультрамикроскопическое строение собирательной трубочки почки

Рисунок 26 – Ультрамикроскопическое строение тонкого канальца петли нефрона (A) и собирательной трубочки (B) почки (по Е. Ф. Котовскому):
1 - эпителиоциты; 2 - базальная мембрана; 3 - светлые эпителиоциты; 4 - темные эпителиоциты; 5 - микроворсинки; 6 - инвагинации плазмолеммы; 7 - кровеносный капилляр (Кузнецов С.Л., 2002)

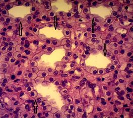
Рис. 27. Собирательные трубочки в мозговой зоне почки американской норки

Рисунок 27 – Собирательные трубочки в мозговой зоне почки американской норки. Окраска гематоксилином и эозином. Объектив ×40, окуляр ×10 (Распутина О.В., 2023)

По локализации различают следующие нефроны:

- суперфициальные, или подкапсульные (около 1%);

- корковые (85%);

- юкстамедуллярные, или околомозговые (около 14%).