Изучение форменных элементов крови


4.8.1. Нейтрофильные гранулоциты

Чаще всего сложности возникают при определении вида нейтрофильных гранулоцитов (юный, палочкоядерный либо сегментоядерный). Данная сложность вызвана тем, что созревание нейтрофильных гранулоцитов происходит не скачкообразно (от юных сразу к палочкоядерным, затем сразу к сегментоядерным), а постепенно, через ряд промежуточных форм.

Юные нейтрофилы (нейтрофильные метамиелоциты) имеют ядро бобовидное либо в виде толстой изогнутой палочки. У палочкоядерных нейтрофилов ядро имеет вид более тонкой и длинной палочки, которая при этом может изгибаться различным образом. Не существует чётких критериев, выраженных в единицах длины, которые позволили бы однозначно отнести все промежуточные формы клеток к палочкоядерным либо к сегментоядерным. Способность отличать их приходит с опытом. Часто при первых попытках подсчёта лейкоцитарной формулы обнаруживается необоснованное увеличение количества палочкоядерных форм. Обычно это происходит в результате неверной идентификации сегментоядерных гранулоцитов в качестве палочкоядерных. В данной ситуации необходимо обратить внимание на то, как выглядит сегментированное ядро. В сегментированных ядрах удаётся разглядеть тонкие перетяжки, соединяющие между собой сегменты ядра. В ядрах палочкоядерных нейтрофилов перетяжек нет. На Рисунок 22-25 представлены различные варианты палочкоядерных гранулоцитов. Перетяжек в их ядрах нет.

Рисунок 22 - Нейтрофил с ядром в виде толстой изогнутой палочки, близкий к юной форме

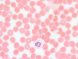
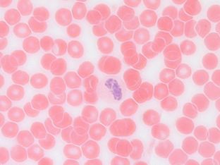
Рисунок 23 - Палочкоядерный нейтрофил. Концы вытянутого в форме палочки ядра смыкаются, образуя кольцо

Рисунок 22 – Нейтрофил с ядром в виде толстой изогнутой палочки, близкий к юной форме

Рисунок 23 – Палочкоядерный нейтрофил. Концы вытянутого в форме палочки ядра смыкаются, образуя кольцо

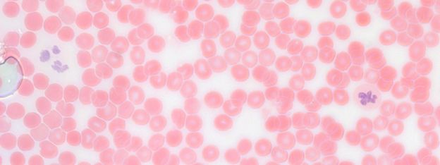
Рисунок 24 - Справа – нейтрофил с изогнутым ядром. Длина ядра меньше, чем у типичных палочкоядерных форм, но больше, чем у юных. Ядро тёмное, как у зрелых форм

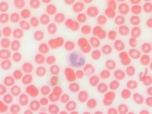
Рисунок 25 - Палочкоядерный нейтрофил. Лишь при внимательном рассмотрении удаётся заметить, что его ядро имеет вид изогнутой палочки

Рисунок 24 – Справа – нейтрофил с изогнутым ядром. Длина ядра меньше, чем у типичных палочкоядерных форм, но больше, чем у юных. Ядро тёмное, как у зрелых форм

Рисунок 25 – Палочкоядерный нейтрофил. Лишь при внимательном рассмотрении удаётся заметить, что его ядро имеет вид изогнутой палочки

В сегментоядерных нейтрофильных гранулоцитах сегменты ядра могут располагаться различным образом: тесно сближаться, расходиться, сохраняя связь в виде тонкой перетяжки, накладываться друг на друга и т.д. (рис. 26-28).

Рисунок 26 - Слева находится сегментоядерный нейтрофил, содержащий двусегментное ядро, напоминающее по форме ядро эозинофила

Рисунок 26 – Слева находится сегментоядерный нейтрофил, содержащий двусегментное ядро, напоминающее по форме ядро эозинофила. Справа – нейтрофил, в ядре которого только начинает формироваться перетяжка

Рисунок 27 - В находящемся справа нейтрофильном гранулоците сегменты ядра плотно сближены. В находяшемся слева, наоборот, сегменты расположены на значительном расстоянии

Рисунок 27 – В находящемся справа нейтрофильном гранулоците сегменты ядра плотно сближены. В находяшемся слева, наоборот, сегменты расположены на значительном расстоянии

Рисунок 28 - Сегментоядерный нейтрофильный гранулоцит с перекрещенными сегментами ядра

Рисунок 28 – Сегментоядерный нейтрофильный гранулоцит с перекрещенными сегментами ядра

 
 


 


© ФГБОУ ВО Новосибирский ГАУ
© Институт экспериментальной ветеринарии Сибири и Дальнего Востока СФНЦА РАН
(УДК 619:611.018.5 (075); ББК 48.32, я 73; И 395)