Изучение форменных элементов крови


 

 

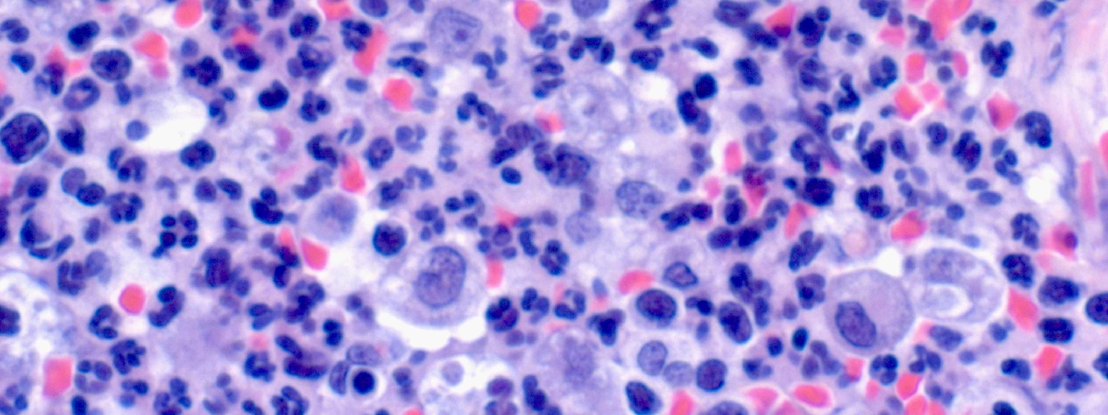
Рисунок 3 – Лимфатический узел собаки при гнойном лимфадените

Рисунок 3 – Лимфатический узел собаки при гнойном лимфадените

 
   


 


© ФГБОУ ВО Новосибирский ГАУ
© Институт экспериментальной ветеринарии Сибири и Дальнего Востока СФНЦА РАН
(УДК 619:611.018.5 (075); ББК 48.32, я 73; И 395)