Глава 5
· Эпителиальные ткани
На границе между
внутренней и внешней средой находится пограничный эпителий (эпидермис кожи,
эпителий и железы слизистых оболочек пищеварительного тракта, дыхательных
путей, мочевыделительной и половой систем). Пограничный эпителий образует
пласты. В виде пластов организован и эпителий, ограничивающий вторичные полости
тела (серозные оболочки: брюшная, плевральная, сердечная сумка). Островки,
тяжи, отдельные эпителиальные клетки находятся и во внутренней среде организма
(расположенные диффузно эндокринные клетки, клетки желёз внутренней секреции).
Эпителии происходят из всех первичных зародышевых листков.
Организация эпителиев
Эпителии характеризуются следующими чертами
организации: пограничное расположение, характерная пространственная геометрия,
практическое отсутствие межклеточного вещества, полярная дифференцировка, наличие
базальной мембраны, отсутствие кровеносных сосудов, выраженная способность к
регенерации пограничных эпителиев, специфический тип промежуточных нитей (цитокератины).
Пограничное расположение
Эпителии отделяют организм от внешней среды и от
вторичных полостей тела. Эту задачу выполняют пласты эпителия. Образуя
непрерывный слой, эпителий отделяет подлежащие ткани от внешней среды и от
вторичных полостей тела. Толщина пластов различна. Например, эпидермис кожи
имеет толщину до нескольких десятков мкм, тогда как эпителий на
поверхности альвеол лёгкого — около 0,2 мкм. Пласт — не
единственный тип организации эпителиев.
Незначительные межклеточные пространства
В эпителии
практически нет межклеточного вещества, клетки плотно примыкают одна к другой и
связаны при помощи специализированных межклеточных контактов. Эпителиоциты
формируют адгезионные (промежуточный, десмосома и полудесмосома), замыкающие
(плотный) и коммуникационные (щелевой) контакты.
Полярная дифференцировка эпителиальных клеток
Базальная и апикальная части клетки отличаются
как структурно, так и функционально. Этот признак обязателен для однослойных эпителиев
пограничного расположения (на границе внешней и внутренней сред, на поверхности
серозных оболочек), а также для эпителиальных клеток, находящихся в тесной
связи с кровеносными капиллярами (например, в эндокринных железах, печени).
Полярная дифференцировка эпителиальных клеток детерминирована генетически. Так,
липидный состав плазмолеммы апикальной и базальной частей эпителиальных клеток
существенно различается. В плазмолемме апикальной части клетки преобладают
фосфатидилэтаноламин и фосфатидилсерин. Плазмолемма базальной части содержит
преимущественно фосфатидилхолин, сфингомиелин и фосфатидилинозитол. Оболочка
проникшего в клетку вируса содержит липиды плазмолеммы той части клетки, где
вирус проник в клетку (апикальной или базальной). Более того, идентифицированы
гены, дефекты которых нарушают полярную дифференцировку пласта эпителия.
Апикальная
часть содержит микроворсинки, стереоцилии, реснички, секреторный
материал и участвует в образовании плотных и промежуточных контактов.
· Микроворсинки (рис. 5-1) присутствуют в эпителиальных
клетках, осуществляющих транспорт из внешней среды (например, всасывание в кишечнике,
реабсорбция в канальцах почки). Основная функция микроворсинок — увеличение
площади контакта. Характерные черты микроворсинок — наличие систем
транспорта и некоторая их подвижность за счёт актиновых микрофиламентов. Актиновые
микрофиламенты расположены на расстоянии 10 нм друг от друга и соединены в
единую систему (стержень микроворсинки) при помощи актинсвязывающих белков
фимбрина и фасцина. Актин периферически расположенных микрофиламентов может
взаимодействовать с сократительным белком (минимиозином), расположенным под
клеточной мембраной. Микрофиламенты микроворсинок соединены с микрофиламентами,
ориентированными параллельно апикальной поверхности клетки; они также связаны с
клеточной мембраной при помощи белка спектрина. Микроворсинки эпителиальных
клеток пищеварительной, мочевыделительной и половой систем содержат
актинсвязывающий белок виллин. Атрофия микроворсинок каёмчатых клеток кишечника
возникает при дефекте гена виллина (болезнь Дэвидсона).

Рис. 5-1. Организация микроворсинки
в апикальной части каёмчатой клетки. Около 30 параллельно идущих микрофиламентов образуют стержень
микроворсинки. (+)–Концы двух переплетённых нитей F–актина микрофиламентов
направлены к вершине микроворсинки. Микрофиламенты заякорены
цитоплазматическими концами в терминальной сети. Терминальная сеть — густое
сплетение молекул спектрина, сшивающих примембранные микрофиламенты.
Непосредственно под терминальной сетью расположено сплетение промежуточных
филаментов. Микрофиламенты скреплены актин-связывающими белками фимбрином и
фасцином. К внутренней поверхности плазматической мембраны микрофиламенты
присоединены при помощи минимиозина. [17]
· Транспортные белки. В эпителиоцитах,
транспортирующих глюкозу из апикальной в базальную часть, в плазматическую
мембрану апикальной части встроены переносчики глюкозы. В плазматической
мембране апикальной части каёмчатых клеток крипт тонкой кишки присутствуют
системы транспорта ионов Cl– и Na+ из клетки в просвет
органа. Нарушение транспорта ионов Cl– и Na+ в каёмчатых
клетках крипт тонкой кишки вызывает диарею.
Базальная
часть содержит различные органеллы. Локализация митохондрий
преимущественно в базальной части связана с необходимостью АТФ для встроенных в
плазмолемму этой части клетки ионных насосов (например, Na+,K+‑АТФаза).
В базальной части клетки присутствуют рецепторы гормонов и факторов роста,
транспортные системы ионов и аминокислот. Переносчики глюкозы базальной части (обеспечивающие
выход глюкозы из клетки по концентрационному градиенту) отличаются от
встроенных в апикальную мембрану. Полярная дифференцировка проявляется и в
характере распределения белков, связанных с цитоскелетом. Так, в базальной
части преобладают анкирин и фодрин, локализующиеся совместно с Na+,K+‑АТФазой.
Полудесмосомы связывают базальную часть клетки эпителия с базальной мембраной.
Базальная мембрана
Базальная мембрана (базальная пластинка) имеет
толщину 20–100 нм, отделяет эпителий от подлежащей соединительной ткани, укрепляет
эпителиальный пласт, образуется за счёт эпителия и подлежащей соединительной
ткани, содержит коллаген типа IV, ламинин, энтактин и протеогликаны.
Эпителиальные клетки прикреплены к базальной мембране при помощи полудесмосом.
Через базальную мембрану осуществляется питание эпителия. У эпителиальных клеток
печени нет базальной мембраны.
Отсутствие кровеносных сосудов
Питание
эпителия, транспорт газов, выведение продуктов метаболизма из эпителия
осуществляются путём диффузии веществ через базальную мембрану между эпителием
и подлежащими кровеносными сосудами. В эпителиальных злокачественных опухолях
(карциномы) целостность базальной мембраны и межклеточных контактов нарушается,
и кровеносные сосуды прорастают в эпителиальную опухолевую ткань.
Пространственная организация
Эпителиальные клетки организованы в ассоциаты на
границе внутренней и внешней среды организма, а также во внутренней среде
следующим образом: пласт, тяж, островок, фолликул, трубочка, сеть.
Пласт.
Эпителиальные клетки, формирующие пласты,
всегда имеют пограничное положение (например, эпидермис, рис. 5-1А; эпителии
слизистой оболочки кожного и кишечного типа, мезотелии). Для клеток
однослойного пласта характерна полярная дифференцировка, а многослойные пласты
имеют значительные морфологические отличия между эпителиальными клетками разных
слоёв.

Рис. 5-1А. Эпидермис представлен многослойным плоским
ороговевающим эпителием, расположенным на базальной мембране (1). В
эпидермисе различают несколько слоёв. В базальном слое (2) находятся
цилиндрические клетки. Следующий слой — шиповатый (3) занимают клетки
полигональной формы с многочисленными отростками. Над шиповатым находится
зернистый слой (4), представленный уплощёнными клетками с гранулами кератогиалина.
Далее располагается блестящий слой (5). В клетках этого слоя содержится
светопреломляющее вещество элеидин, поэтому слой выглядит как блестящая
гомогенная полоска. В самом поверхностном — роговом слое (6) эпидермиса
толстым пластом расположены роговые чешуйки, совокупность которых образует на
препарате широкую равномерно окрашенную полосу. Окраска гематоксилином и
эозином.
Трубочка —
вариант пласта, свёрнутого в трубочку (например, потовые железы, канальцы нефрона,
рис. 5-1Б).

Рис. 5-1Б. Корковое вещество почки. Почечное тельце (1) образуют капиллярный
клубочек (2) и эпителиальная капсула, состоящая из внутреннего и
наружного (4) листков. Между листками имеется полость (3), куда
поступает клубочковый фильтрат. Вокруг почечного тельца видны многочисленные
срезы извитых проксимальных и дистальных канальцев (5). Полутонкий срез,
окраска метиленовым синим.
Островок.
Эпителиальные островки всегда погружены во внутреннюю среду организма и, как
правило, выполняют эндокринную функцию (например, островки Лангерханса поджелудочной
железы, рис. 5-1В).

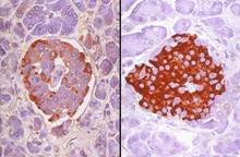
Рис. 5-1В. Островок Лангерханса
поджелудочной железы.
Иммунопероксидазное выявление различных клеточных типов при помощи АТ против
гормонов. Слева: осадок реакции коричневого цвета соответствует локализации
альфа-клеток. Справа: окрашены бета-клетки.
Фолликул —
имеющий полость островок эпителия. Типичный
пример — фолликулы щитовидной железы (рис. 5-1Г).

Рис. 5-1Г. Щитовидная железа. Стенка фолликулов (1) состоит из
одного слоя тиреоцитов (2). В полости фолликула находится
коллоид (3). От соединительнотканной капсулы внутрь органа отходят
септы (4), содержащие кровеносные сосуды. Окраска гематоксилином и эозином.
Тяж. По
принципу анастомозирующих тяжей из эпителиальных гепатоцитов организована
паренхима печени (рис. 5-1Д).

Рис. 5-1Д. Печень. Классическая
долька печени имеет
шестигранную форму. Тяжи гепатоцитов (1) радиально сходятся к центральной
вене (3). Между тяжами расположены выстланные эндотелиальными клетками синусоиды (2).
В области стыка нескольких долек находится портальная зона (4). Окраска
гематоксилином и эозином.
Сеть. В
вилочковой железе поддерживающий каркас состоит из отростчатых и контактирующих друг с другом эпителиальных клеток.
Способность к регенерации
Регенерация выражена у покровных эпителиев и вытекает
из их пограничного расположения. Необходимые условия для регенерации — доказанное
или предполагаемое наличие стволовых клеток (например, в эпидермисе, эпителии
слизистой оболочки трубчатых и полостных органов, мезотелии), возможность
репликации ДНК с последующим цитокинезом или без него (например, гепатоциты). У
погружённых во внутреннюю среду эпителиальных клеток регенераторные возможности
существенно меньше, вплоть до полной невозможности регенерации (например, b-клетки
островков поджелудочной железы). Для ряда эпителиев (например, эпителиальные клетки канальцев нефрона и эндокринные клетки
передней доли гипофиза) способность к регенерации как будто имеется, хотя её
механизмы неясны.
Цитокератины
Промежуточные филаменты клеток различных
эпителиев имеют разные молекулярные формы цитокератина. Более того, в различных
анатомических областях одного и того же эпителия могут экспрессироваться
различные формы цитокератина. Например, кератиноциты ладони и подошвы синтезируют
особые кератины, не встречающиеся в других частях тела. Известно более 20 форм
кератина с Mr от 48 до 68 кД; каждая форма кодирована своим
геном. По мере дифференцировки эпителиоцитов происходит перепрограммирование
синтеза кератинов (например, в эпидермисе). Экспрессия некоторых кератинов —
признак появления клеток, достигших состояния терминальной дифференцировки.
Так, цитокератин 1 служит маркёром терминальной дифференцировки
кератиноцитов. Иммуногистохимическое выявление конкретного цитокератина позволяет
определить принадлежность исследуемого материала к тому или иному типу
эпителиев, что имеет важное значение в диагностике опухолей.
Классификации эпителиальных пластов
Для эпителиальных пластов принята классификация,
учитывающая количество слоёв клеток (одно- и многослойные), рядность
однослойного эпителия (одно- и многорядные), форма клеток (для многослойных —
поверхностного слоя), характер полярной дифференцировки (рис. 5-2).
Слойность
Контакт всех клеток пласта с базальной мембраной
определяет слойность эпителия. Если все клетки пласта связаны с базальной
мембраной, эпителий — однослойный. Если это условие не выполняется, эпителий —
многослойный. Эктодермальные эпителии — многослойные. Энтодермальные
эпителии, как правило, — однослойные.
Рядность
Рядность однослойных эпителиев отражает наличие
(многорядный) или отсутствие (однорядный) в составе пласта клеток разной формы
(в т.ч. разных типов клеток). По сути дела, этот классифицирующий критерий
основан на одном из признаков, отличающих разные клетки — расположение их
ядер по отношению к базальной мембране.
Форма клеток
Однослойный эпителий: учитывают отношение высоты
к толщине клеток. Различают плоский, кубический и цилиндрический пласты
эпителия. Многослойный эпителий: учитывают форму клеток поверхностного слоя.

Рис. 5-2. Эпителиальные пласты. А. Однослойный плоский; Б. Однослойный
кубический; В. Однослойный цилиндрический каёмчатый; Г. Однослойный
цилиндрический многорядный мерцательный; Д. Многослойный плоский
неороговевающий; Е. Многослойный переходный в
растянутом состоянии; Ж. Многослойный переходный в обычном
состоянии. [17]
Однослойные
пласты (плоский, кубический, цилиндрический). Все клетки контактируют с
базальной мембраной. Однорядный эпителий — ядра клеток расположены в один
ряд, т.е. на одинаковом расстоянии от базальной мембраны. Представлен
одинаковыми клетками (например, однослойный эпителий канальцев почки).
Многорядный — ядра клеток расположены в несколько рядов, т.е. на различном
расстоянии от базальной мембраны. Представлен клетками различной величины и
формы. Типичный пример однослойного многорядного эпителия — мерцательный
эпителий слизистой оболочки воздухоносных путей.
Многослойные эпителии подразделяют на многослойный плоский ороговевающий,
многослойный плоский неороговевающий и многослойный переходный эпителии. Такие
пласты складываются из пролиферативных единиц.
· Многослойный плоский ороговевающий
эпителий (эпидермис, рис. 5-2А) присутствует в коже и имеет роговой слой, состоящий
из плотно упакованных роговых чешуек, содержащих ковалентно связанные с
плазмолеммой нерастворимые белки.

Рис. 5-2А. Эпидермис представлен многослойным плоским
ороговевающим эпителием, расположенным на базальной мембране (1). В
эпидермисе различают несколько слоёв. В базальном слое (2) находятся
цилиндрические клетки. Следующий слой — шиповатый (3) занимают клетки
полигональной формы с многочисленными отростками. Над шиповатым находится
зернистый слой (4), представленный уплощёнными клетками с гранулами кератогиалина.
Далее располагается блестящий слой (5). В клетках этого слоя содержится
светопреломляющее вещество элеидин, поэтому слой выглядит как блестящая
гомогенная полоска. В самом поверхностном — роговом слое (6)
эпидермиса толстым пластом расположены роговые чешуйки, совокупность которых
образует на препарате широкую равномерно окрашенную полосу. Окраска
гематоксилином и эозином.
· Многослойный плоский неороговевающий
эпителий не содержит рогового слоя (рис. 5-2Б).

Рис. 5-2Б. Роговица. Многослойный плоский неороговевающий
эпителий состоит из 5‑6 слоёв (1). Под базальной мембраной лежит
боуменова оболочка (3) — гомогенный слой, содержащий основное
вещество и неупорядоченно ориентированные тонкие коллагеновые и ретикулиновые
волокна. Собственное вещество роговицы (2) представлено правильно
расположенными коллагеновыми пластинками и уплощёнными фибробластами,
погружёнными в аморфное вещество. Окраска пикроиндигокармином.
· Многослойный переходный эпителий (см. рис.
14–14). Его поверхностные клетки имеют особую организацию. При растяжении
стенки органа поверхностные клетки меняют форму таким образом, что целостность
эпителиального пласта не нарушается.
Функции эпителиев
Транспорт
газов (O2 и CO2) через эпителий альвеол лёгких;
аминокислот и глюкозы при помощи специальных транспортных белков в эпителии
кишки; IgA и других молекул на поверхность эпителиальных пластов.
Эндоцитоз,
пиноцитоз. Эпителиальные клетки участвуют в пиноцитозе (например,
эпителий почечных канальцев) и в опосредуемом рецепторами эндоцитозе (например,
поглощение холестерина вместе с ЛНП или трансферрина большинством эпителиальных
клеток).
Секреция.
Экзоцитоз слизи, белков (гормонов, факторов роста, ферментов). Слизь
вырабатывается специальными слизистыми клетками эпителия желудка и половых
путей, бокаловидными клетками в эпителии кишки, трахеи и бронхов. Гормоны и
факторы роста вырабатываются эндокринными клетками.
Барьерная.
Разграничение сред путём образования надёжных барьеров из эпителиальных клеток,
связанных плотными контактами (например, между эпителиальными клетками
слизистой оболочки желудка и кишки).
Защита
организма от повреждающего действия физических и химических факторов внешней
среды.
Эпителиальные железы
Железы выполняют секреторную функцию, различают
экзокринные и эндокринные железы. Экзокринные железы вырабатывают продукт
(секрет), предназначенный для выделения на поверхность кожи и слизистых
оболочек. Эндокринные железы синтезируют гормоны, поступающие во внутреннюю
среду организма. Как эндокринные, так и экзокринные железы могут быть одноклеточными
или многоклеточными (рис. 5–3).

Рис. 5–3. Экзокринные железы внутри-
и внеэпителиальные. Бокаловидная
клетка — одноклеточная внутриэпителиальная экзокринная железа.
Эпителиальный пласт может содержать группы экзокринных секреторных клеток. Чаще
всего они отделяются от пласта в виде концевого секреторного отдела, связанного
с поверхностью эпителия выводным протоком. [17]
Эндокринные железы
Эндокринные железы (рис. 5–4) не имеют выводных
протоков и вырабатывают гормоны, поступающие во внутреннюю среду. Характеристика
разных эндокринных желёз дана в главе 9.

Рис. 5–4. Развитие и строение
экзокринных и эндокринных желёз. В результате индукционных взаимодействий между клетками эпителия и
происходящей из мезенхимы подлежащей соединительной ткани (А)
эпителиальные клетки усиленно размножаются и образуют вырост, постепенно
углубляющийся в соединительную ткань (Б). Клетки в области верхушки выроста
дифференцируются в секреторные, а остальные формируют выводной проток
железы (В). Если клетки секреторного отдела утрачивают связь с
эпителиальным пластом, формируется эндокринная железа (Г). Она
состоит из скоплений эндокринных клеток, окружённых соединительной тканью с
многочисленными кровеносными капиллярами. Два варианта организации эндокринной
железы (Д), сверху — островок, внизу — фолликул. В
последнем случае гормоны из эндокринных клеток поступают в просвет фолликула,
где они хранятся и откуда транспортируются в кровь. [17]
Экзокринные железы
Экзокринные железы (рис. 5–4) выделяют секреты во
внешнюю среду. Экзокринные железы могут быть окружены соединительнотканной
капсулой или содержать соединительнотканные перегородки — септы,
разделяющие железу на доли и более мелкие дольки. Эпителиальные клетки
секреторных отделов и выводных протоков — паренхима железы. Окружающие и
поддерживающие их соединительнотканные элементы — строма железы.
Морфология.
Экзокринные железы состоят из секреторных клеток, образующих секреторный
(концевой) отдел, и выводного протока. В состав секреторного отдела, кроме
железистых (секреторных) клеток, могут входить миоэпителиальные клетки. Они
образуют длинные отростки, охватывающие снаружи концевые отделы. Сокращаясь,
миоэпителиальные клетки облегчают продвижение секрета в выводной проток.
Железистая клетка синтезирует, накапливает, хранит и выделяет секрет. В
клетках, вырабатывающих белковый секрет, хорошо развита гранулярная
эндоплазматическая сеть, активно функционирует комплекс Гольджи. Гладкая
эндоплазматическая сеть выражена в клетках, вырабатывающих небелковые секреты (например,
стероидные гормоны). Выводной проток служит для оттока секрета из железы. В
крупных железах различают внутридольковые, междольковые, междолевые и главный
протоки.

Рис. 5–5. Классификация экзокринных
желёз. А. Простая
трубчатая неразветвлённая; Б. Простая альвеолярная
неразветвлённая; В. Сложная альвеолярно-трубчатая
неразветвлённая; Г. Простая альвеолярная
разветвлённая; Д. Сложная альвеолярная. [17]

Рис. 5–6. Способы выведения секрета
из клетки. А. Мерокриновый
(эккриновый): выделение секрета путём экзоцитоза; Б. Апокриновый:
отделение фрагментов апикальной части секреторной клетки, содержащих
секреторный продукт. [17]
Классификация. Железы классифицируют по следующим критериям: форма и
ветвление секреторного отдела, ветвление выводного протока, тип секрета (рис. 5–5).
В зависимости от формы секреторного отдела различают альвеолярные, трубчатые и
смешанные (альвеолярно-трубчатые) железы; в зависимости от ветвления секреторного
отдела — разветвлённые и неразветвлённые. Форма выводного протока определяет
деление желёз на простые (проток не ветвится) и сложные (проток ветвится). От
типа секрета зависит разделение на серозные (белковые), слизистые и
белково-слизистые железы.
Способ секреции.
Различают несколько вариантов отделения секрета (рис. 5–6). Эккриновый
(мерокриновый) — выделение секрета путём экзоцитоза (слюнные железы).
Апокриновый — отделение секрета вместе с фрагментом апикальной части
секреторной клетки (молочная железа). Голокриновый — полное разрушение
секреторной клетки (сальная железа).